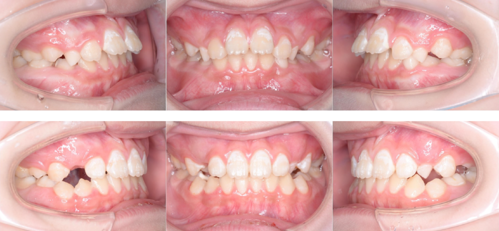
inv-first_5