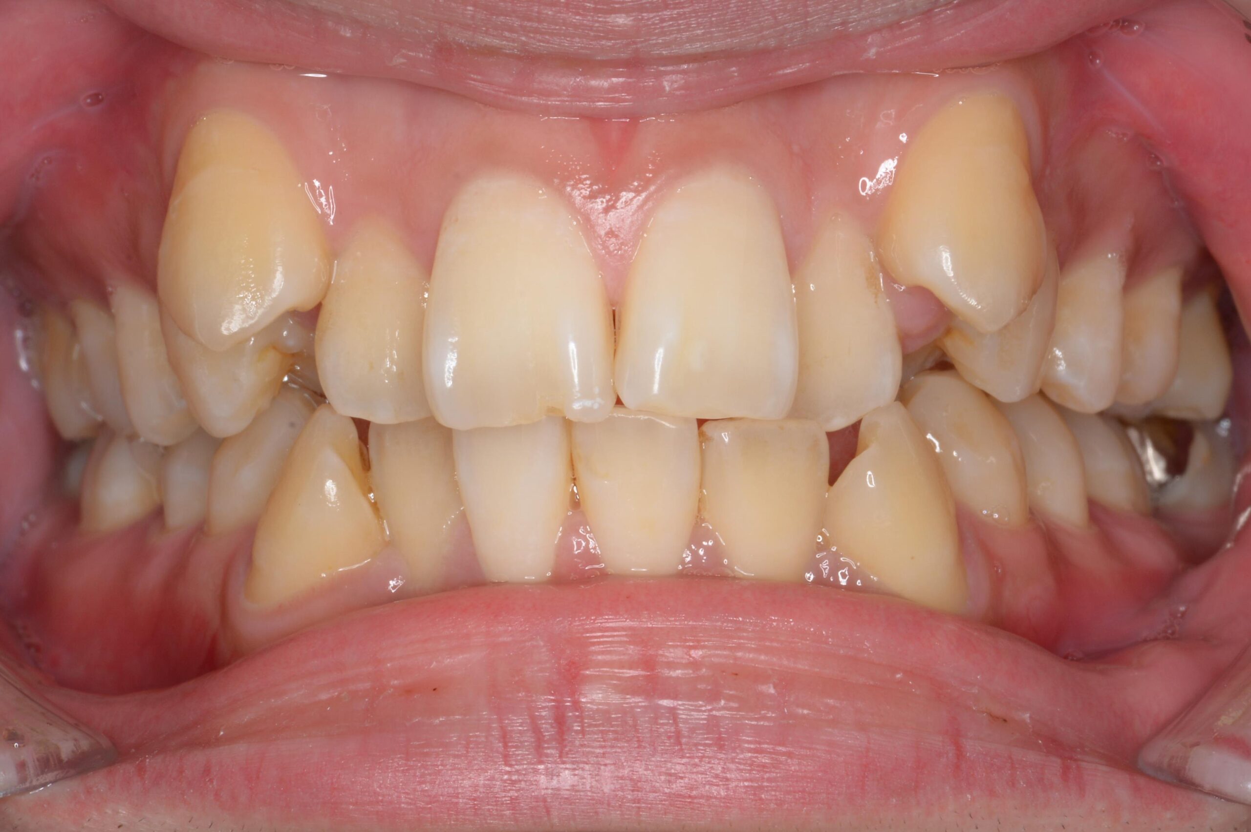
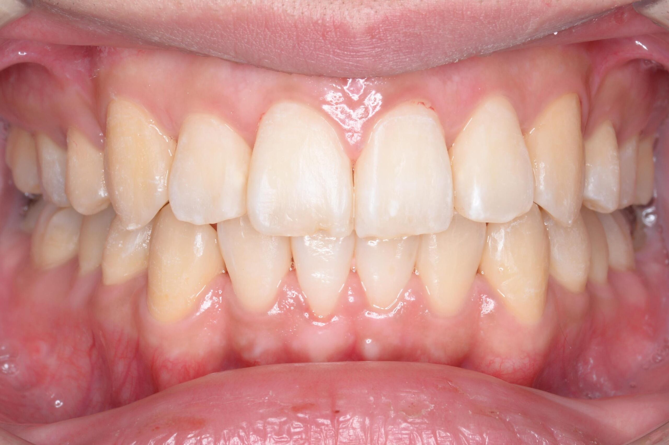
2025年2月14日 / 最終更新日 : 2025年2月14日 tom インビザライン矯正 インビザライン矯正 “インビザライン矯正”へ1件のコメント A WordPress Commenter より: 2025年2月14日 3:25 AM Hi, this is a comment. To get started with moderating, editing, and deleting comments, please visit the Comments screen in the dashboard. Commenter avatars come from Gravatar. 返信 コメントを残す コメントをキャンセルメールアドレスが公開されることはありません。 ※ が付いている欄は必須項目ですコメント ※ 名前 ※ メール ※ サイト 次回のコメントで使用するためブラウザーに自分の名前、メールアドレス、サイトを保存する。
Hi, this is a comment.
To get started with moderating, editing, and deleting comments, please visit the Comments screen in the dashboard.
Commenter avatars come from Gravatar.