

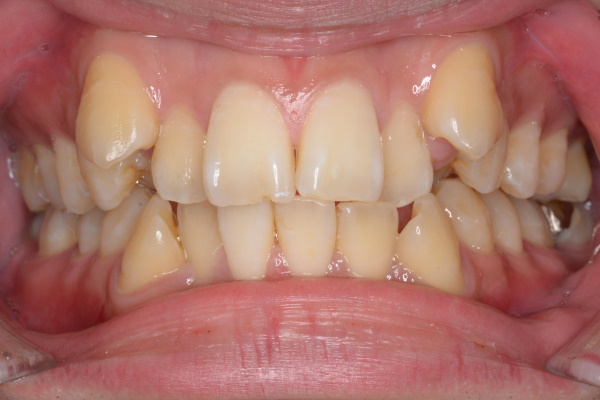
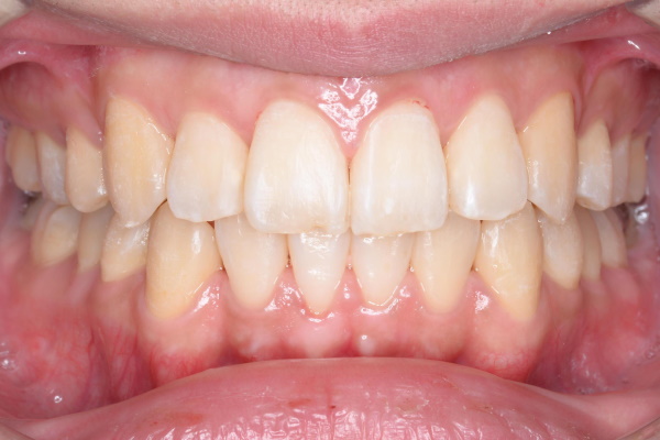
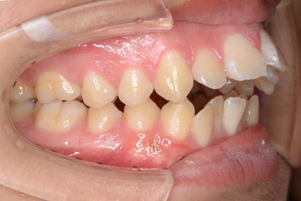
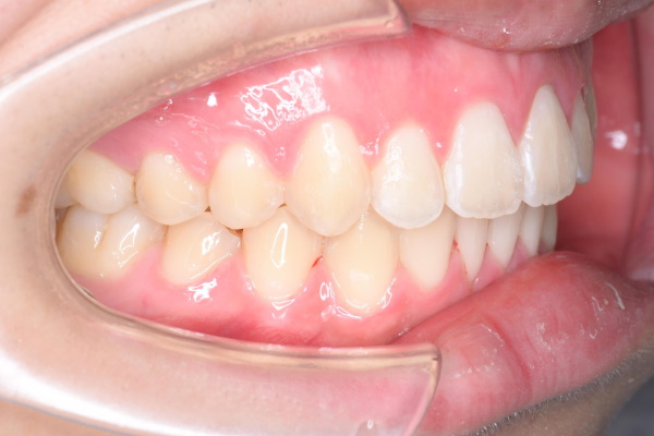
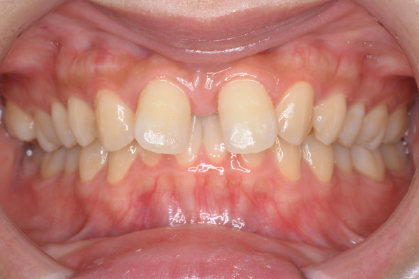
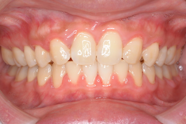
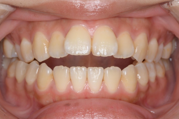
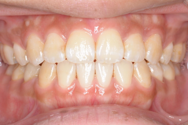
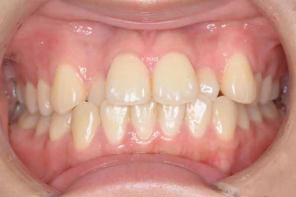
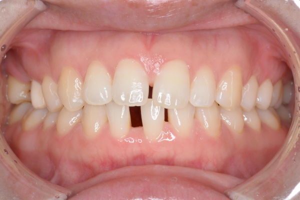
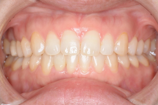
治療法:インビザライン/抜歯:上2本(小臼歯)/治療期間:2年7か月/費用:50万/リスク・副作用:痛み・治療後の後戻り・歯根吸収・歯髄壊死・歯肉退縮


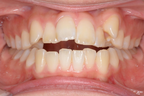
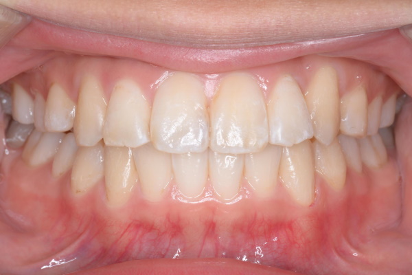
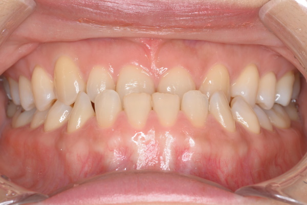
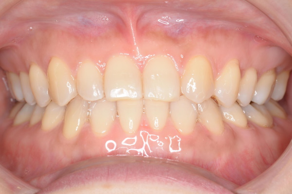
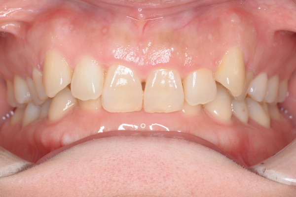
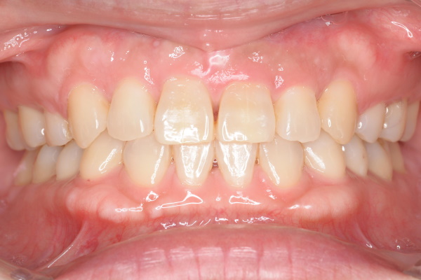
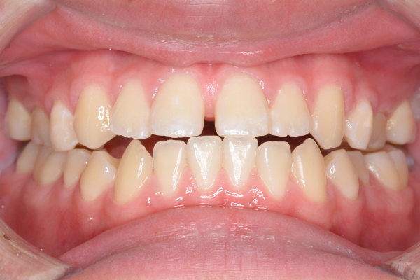
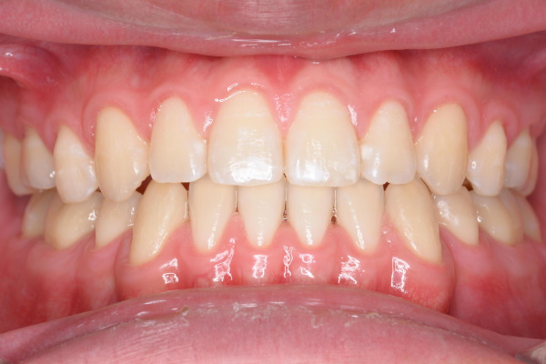
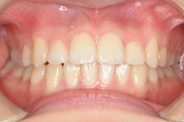
治療法:インビザライン / 非抜歯 / 治療期間:2年6か月 / 費用:50万円(調整費、保定費まで含む総額制) / リスク・副作用:痛み・治療後の後戻り・歯根吸収・歯髄壊死・歯肉退縮


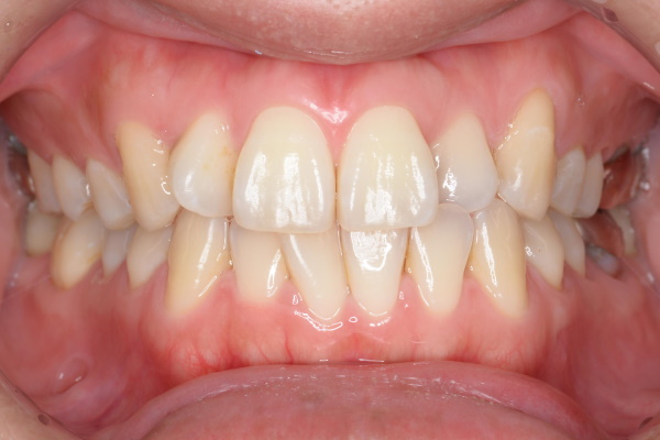
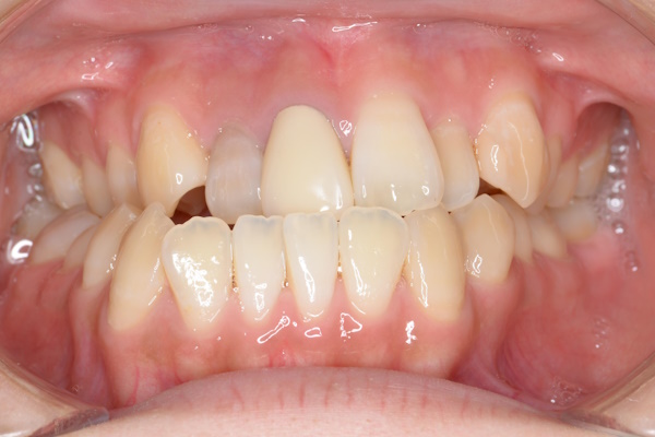
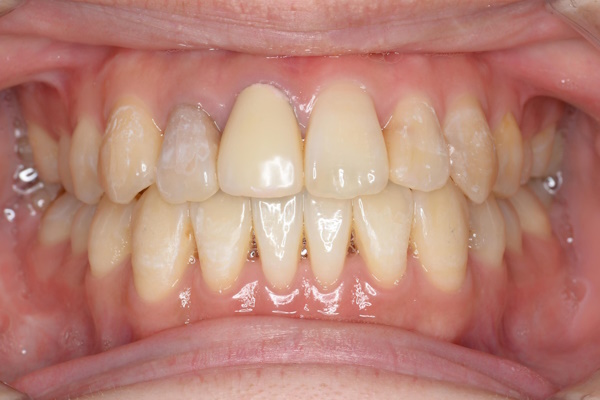
治療法:上下とも裏側矯正 / 抜歯:上3本、下1本(小臼歯) / 治療期間:1年10か月 / 費用:99万円(調整費、保定費まで含む総額制) / リスク・副作用:痛み・治療後の後戻り・歯根吸収・歯髄壊死・歯肉退縮


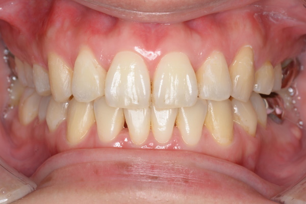
治療法:上下とも裏側矯正 / 抜歯:上2本、下1本(小臼歯) / 治療期間:1年10か月 / 費用:100万円(調整費、保定費まで含む総額制) / リスク・副作用:痛み・治療後の後戻り・歯根吸収・歯髄壊死・歯肉退縮


治療法:インビザライン / 非抜歯 / 治療期間:1年6か月 / 費用:50万円(調整費、保定費まで含む総額制) / リスク・副作用:痛み・治療後の後戻り・歯根吸収・歯髄壊死・歯肉退縮


治療法:上下とも裏側矯正 / 抜歯:下2本(小臼歯) / 治療期間:1年9か月 / 費用:99万円(調整費、保定費まで含む総額制) / リスク・副作用:痛み・治療後の後戻り・歯根吸収・歯髄壊死・歯肉退縮


治療法:上下とも裏側矯正 / 抜歯:下1本(小臼歯) / 治療期間: 2年5か月 / 費用:99万円(調整費、保定費まで含む総額制) / リスク・副作用:痛み・治療後の後戻り・歯根吸収・歯髄壊死・歯肉退縮


治療法:上が裏側矯正、下が表側矯正(ハーフリンガル) / 非抜歯 / 治療期間:2年5か月 / 費用:91万円(調整費、保定費まで含む総額制) / リスク・副作用:痛み・治療後の後戻り・歯根吸収・歯髄壊死・歯肉退縮


治療法:上が裏側矯正、下が表側矯正(ハーフリンガル) / 非抜歯 / 治療期間:1年6か月 / 費用:95万円(調整費、保定費まで含む総額制) / リスク・副作用:痛み・治療後の後戻り・歯根吸収・歯髄壊死・歯肉退縮


治療法:上下とも裏側矯正 / 抜歯:上2本(小臼歯) / 治療期間:1年10か月 / 費用:100万円(調整費、保定費まで含む総額制) / リスク・副作用:痛み・治療後の後戻り・歯根吸収・歯髄壊死・歯肉退縮


治療法:上下とも裏側矯正 / 抜歯:上2本、下2本(小臼歯) / 治療期間:1年11か月 / 費用:99万円(調整費、保定費まで含む総額制) / リスク・副作用:痛み・治療後の後戻り・歯根吸収・歯髄壊死・歯肉退縮


治療法:上下とも裏側矯正 / 抜歯:上2本、下2本(小臼歯) / 治療期間:2年3か月 / 費用:99万円(調整費、保定費まで含む総額制) / リスク・副作用:痛み・治療後の後戻り・歯根吸収・歯髄壊死・歯肉退縮


治療法:上下とも裏側矯正 / 抜歯:上2本、下2本(小臼歯) / 治療期間:2年3か月 / 費用:99万円(調整費、保定費まで含む総額制) / リスク・副作用:痛み・治療後の後戻り・歯根吸収・歯髄壊死・歯肉退縮


治療法:インビザライン / 非抜歯 / 治療期間:2年2か月 / 費用:80万円(調整費、保定費まで含む総額制) / リスク・副作用:痛み・治療後の後戻り・歯根吸収・歯髄壊死・歯肉退縮


治療法:裏側部分矯正 / 非抜歯 / 治療期間:10か月 / 費用:34万円(調整費、保定費まで含む総額制) / リスク・副作用:痛み・治療後の後戻り・歯根吸収・歯髄壊死・歯肉退縮


治療法:インビザラインモデレート / 非抜歯 / 治療期間:1年5か月 / 費用:40万円(調整費、保定費まで含む総額制) / リスク・副作用:痛み・治療後の後戻り・歯根吸収・歯髄壊死・歯肉退縮


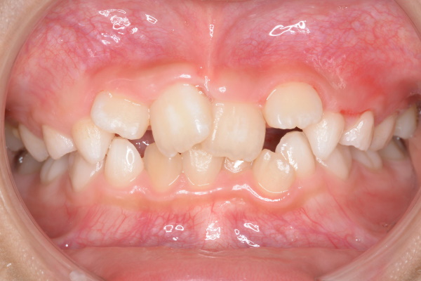
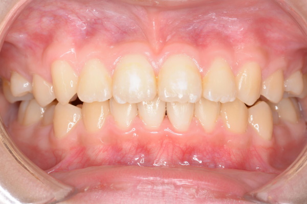
治療法:小児矯正(子供矯正) / 非抜歯 / 治療期間:1年4か月 / 費用:30万円(調整費、保定費まで含む総額制) / リスク・副作用:痛み・治療後の後戻り・歯根吸収・歯髄壊死・歯肉退縮


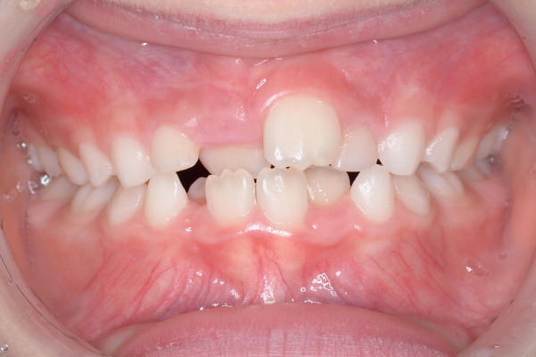
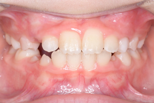
治療法:プレオルソ / 非抜歯 / 治療期間:2か月 / 費用:10万円(調整費、保定費まで含む総額制) / リスク・副作用:痛み・治療後の後戻り・歯根吸収・歯髄壊死・歯肉退縮


治療法:インビザラインファースト(マウスピース小児矯正) / 非抜歯 / 治療期間:1年4か月 / 費用:37万円(調整費、保定費まで含む総額制) / リスク・副作用:痛み・治療後の後戻り・歯根吸収・歯髄壊死・歯肉退縮


治療法:小児矯正(子供矯正) / 非抜歯 / 治療期間:2年 / 費用:30万円(調整費、保定費まで含む総額制) / リスク・副作用:痛み・治療後の後戻り・歯根吸収・歯髄壊死・歯肉退縮


治療法:裏側部分矯正 / 非抜歯 / 治療期間:1年2か月 / 費用:20万円(調整費、保定費まで含む総額制) / リスク・副作用:痛み・治療後の後戻り・歯根吸収・歯髄壊死・歯肉退縮


治療法:上が裏側矯正、下が表側矯正(ハーフリンガル) / 非抜歯 / 治療期間:1年1か月 / 費用:84万円(調整費、保定費まで含む総額制) / リスク・副作用:痛み・治療後の後戻り・歯根吸収・歯髄壊死・歯肉退縮


治療法:上下とも裏側矯正 / 非抜歯 / 治療期間:2年 / 費用:100万円(調整費、保定費まで含む総額制) / リスク・副作用:痛み・治療後の後戻り・歯根吸収・歯髄壊死・歯肉退縮


治療法:インビザライン / 非抜歯 / 治療期間:1年2か月 / 費用:50万円(調整費、保定費まで含む総額制) / リスク・副作用:痛み・治療後の後戻り・歯根吸収・歯髄壊死・歯肉退縮


治療法:上下とも裏側矯正 / 非抜歯 / 治療期間:2年 / 費用:100万円(調整費、保定費まで含む総額制) / リスク・副作用:痛み・治療後の後戻り・歯根吸収・歯髄壊死・歯肉退縮