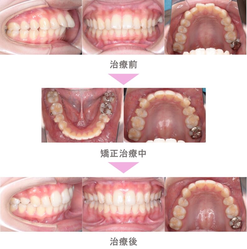
出っ歯(上顎前突)