口ゴボ・あご無し・間延びした人中の改善
院長よりひとこと

また、合わせて口ゴボの改善につなげていくことも可能です。
この方法には臼歯の圧下を得意とするマウスピース型の矯正装置を使用する「インビザライン矯正」が適しています。
下顎を反時計回りにオートローテーションさせることで改善
下記のような症状・特徴のあるケースでは、矯正治療によって、下顎を反時計回りにオートローテーションさせることで「顎の骨の骨切り手術」を避けて治療(非外科による治療)で改善できるケースもあります。※もちろん個人差によりできる・できないはあります。
- 面長な顔立ち
- 口ゴボ・口元が突出している
- 下顎が後退している
- ガミースマイルがある
下顎の反時計回りオートローテーションとは
マウスピース矯正であるインビザライン矯正では「臼歯の圧下」を得意とします。臼歯を圧下させていくと、咬合高径が下がっていき、結果として下顎が「反時計回りに回転」していきます。このことによって下顎の前歯が噛み込んでくるので、開咬(オープンバイト)の症状が治っていきます。
※大臼歯をほんの1~2ミリ圧下(歯ぐき方向に押し込むような動き)させるだけで、オトガイ部(下顎の先端部分)では3~6ミリも変わってくるのです。


面長・口元が突出・下顎が後退しているケースを改善

反時計回りのオートローテーションを行いながら細かな調整を重ねていくことで、下顎が前方に移動して、顎なしの改善につながっていきます。面長で下顎が後退している顔だちは、下顔面が長くなりますので口を閉じると人中が間延びしてしまいます。下顔面を短くするような顎の移動を行うことで上下の唇が押し付けあって人中も圧縮されて短く見せることができます。
下顔面を短くしながらオトガイをだしてEラインを作り、口ゴボの改善をはかっていくことができます。
この治療方法には、マウスピース型の矯正装置を使用する「インビザライン矯正」が適しています。
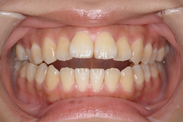
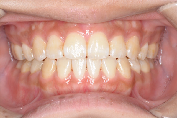
反時計回りのオートローテーションによる改善例
反時計回りのオートローテーションによって、開咬が改善し、顎の無い状態が改善、Eラインもとてもキレイに整った例です。下の2枚の写真を見て頂くと、まず、開咬がしっかり改善していることがわかります。反時計回りのオートローテーションにより、下顎が前方に移動して、無理なく開咬が改善しています。


さらに側貌を確認するとわかりやすいのが、反時計回りのオートローテーションを行いながら細かな調整を重ねていくことで、下顎が前方に移動して、顎なしの改善につながっている点です。顎の無い状態が改善し、美しいEラインが完成しています。


このように、特にインビザライン矯正では「臼歯の圧下」を得意としており、臼歯を圧下させていくことで、咬合高径が下がっていき、結果として下顎が「反時計回りに回転」し、下顎の前歯が噛み込んでくるので、開咬(オープンバイト)の症状が治っていきます。同時に、反時計回りのオートローテーションを微調整していくことで、下顎の前方移動により、顎なしの改善につながっていきます。
治療法:上下とも裏側矯正/抜歯:上2本、下2本(小臼歯)/治療期間:1年11か月/費用:約99万円(調整費、保定費まで含む総額制)/リスク・副作用:痛み・治療後の後戻り・歯根吸収・歯髄壊死・歯肉退縮
口ゴボ・あご無し・間延びした人中の改善の「無料相談」を受付中
二子玉川で口ゴボ・あご無し・間延びした人中の改善をお考えの方はぜひ無料相談へ
口ゴボ・あご無し・間延びした人中の改善の実績豊富な矯正歯科専門医が、あなたの笑顔をより素晴らしいものにするお手伝いをさせていただきます。



