切端咬合の症状について

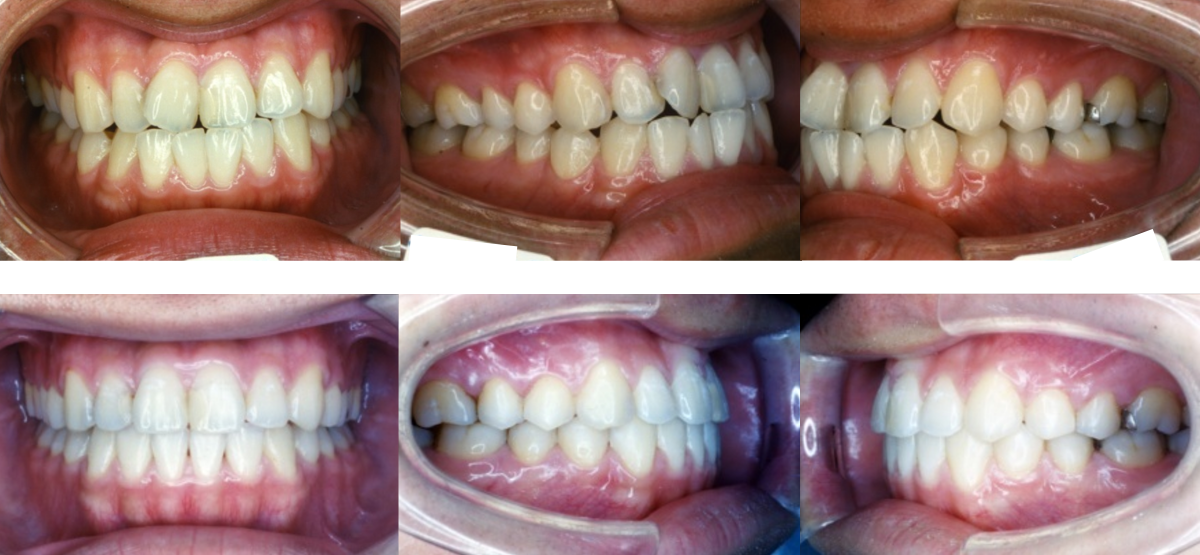
治療法:上下とも裏側矯正 / 非抜歯 / 治療期間:1年2か月 / 費用:80万円(調整費、保定費まで含む総額制) / リスク・副作用:痛み・治療後の後戻り・歯根吸収・歯髄壊死・歯肉退縮
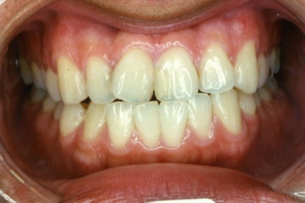
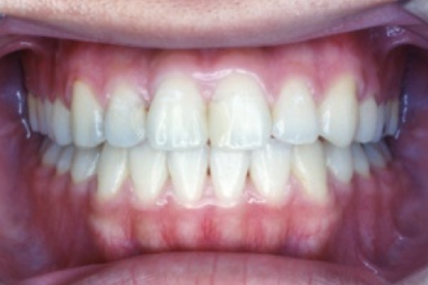
切端咬合(ぶつかる咬み合わせ)は、下顎が前に出ていることで、本来、上の前歯が下の前歯よりも前方にあるものが、上下の前歯の先が当たってしまう状態のかみ合わせのことをいいます。放っておくと、歯の先が欠けたり磨耗したりする場合があります。
切端咬合(ぶつかる咬み合わせ)になる原因
切端咬合(ぶつかる咬み合わせ)になる主な原因には下記のようなものがあります。
- 骨の問題 … 上顎に対し下顎の骨が正常な状態より前にあり、上下の前歯がちょうどぶつかる位置にある場合で、小児期に下顎が成長する過程で認められる場合。
- 歯並びの問題 … 歯並びのデコボコにより部分的に上の前歯が舌側に入っている歯とその歯に対応する下の前歯との間で切端咬合が認められる場合。
などです。このような原因によって切端咬合(ぶつかる咬み合わせ)となります。
切端咬合(ぶつかる咬み合わせ)になると・・・
切端咬合(ぶつかる咬み合わせ)は、奥歯をかみ合わせる度に顎をずらす必要があるため、顎に対する負担が大きいため顎関節症の原因になったり、小児期の顎の成長に悪影響を与えることもあります。また、切端咬合(ぶつかる咬み合わせ)を起こしている箇所は、歯にダメージをうけたり、歯がすり減ったり、歯茎が下がったりすることもあるため、早めに治療を開始する必要があります。
切端咬合(ぶつかる咬み合わせ)の治療
乳歯の時に受け口(下顎前突)だった場合や、大人の前歯が萌出中に受け口(下顎前突)になっている場合には注意が必要です。上の乳歯が抜けたらできるだけ早い段階で矯正歯科を受診されることをお勧めします。
1期治療のタイミングとしては、上下の前歯が生えそろった頃に開始しますが、切端咬合(ぶつかる咬み合わせ)の場合は、できるだけ早い段階で治療を行い切端咬合(ぶつかる咬み合わせ)を回避するようにします。
切端咬合(ぶつかる咬み合わせ)の治療例 ~ ビフォーアフターとご説明
①切端咬合(ぶつかる咬み合わせ)の矯正治療例(10代男性・治療期間1年2か月)

| 年齢・性別 | 10代男性 |
| 治療期間 | 1年2か月 |
| 抜歯 | なし |
| 治療費 | 80万円(調整費、保定費まで含む総額制) |
| 備考 | 裏側矯正、ディスキング |
| リスク・副作用 | 痛み・治療後の後戻り・歯根吸収・歯髄壊死・歯肉退縮 |
| 年齢・性別 | 10代男性 |
| 治療期間 | 1年2か月 |
| 抜歯 | なし |
| 治療費 | 80万円(調整費、保定費まで含む総額制) |
| 備考 | 裏側矯正、ディスキング |
| リスク・副作用 | 痛み・治療後の後戻り・歯根吸収・歯髄壊死・歯肉退縮 |
二子玉川で「切端咬合(ぶつかる咬み合わせ)」の矯正治療を受けたい方は「無料相談」へ

「二子玉川駅前矯正歯科」では、経験豊富な矯正認定医の資格を持つ矯正専門の矯正医が、責任を持って切端咬合(ぶつかる咬み合わせ)の治療を担当します。また、歯並びに関する「無料相談」や「セカンドオピニオン」も行っておりますので、二子玉川で切端咬合(ぶつかる咬み合わせ)の矯正治療をお考えの方は、お気軽にお電話をいただくか、メールでご相談ください。経験豊富な矯正認定医の資格を持つ矯正専門の矯正医が、より素晴らしい笑顔へと歯並び治療でお手伝いさせていただきます。
初診無料相談のご予約 / メール相談(初診用) / 資料請求





