出っ歯の症状について

治療法:上下とも裏側矯正 / 抜歯:上1本、下2本(小臼歯) / 治療期間:2年3か月 / 費用:100万円(調整費、保定費まで含む総額制) / リスク・副作用:痛み・治療後の後戻り・歯根吸収・歯髄壊死・歯肉退縮
「出っ歯」は、「上顎前突(じょうがくぜんとつ)」といい、前歯で食べ物が噛みにくい、唇が開いてしまう、転倒の際に前歯が破折しやすくなるなどのデメリットが代表的です。また、出っ歯の場合、お顔全体の印象も左右することから、心理的なコンプレックスなどの影響も考えられます。
出っ歯(上顎前突)によって前歯で食べ物が咬み切りにくくなると、奥歯の喪失や顎関節症のリスクも
出っ歯(上顎前突)によって前歯で食べ物が咬み切りにくい場合、本来前歯が担うことを奥歯でカバーするようになり、奥歯の使用頻度が高くなりがちです。そのため奥歯に負担がかかり、奥歯の喪失リスクが高くなってしまいます。また、顎関節症などを発症して、食事しづらい状況になるリスクもあります。
出っ歯(上顎前突)によって唇が閉じにくくなると虫歯や歯周病のリスク上昇に
出っ歯(上顎前突)によって唇が閉じにくくなると多くのケースで、唇を閉じた際に、顎の先の緊張が見られシワが寄ります。日中は意識的に唇を閉じていることが出来ますが、就寝中は唇が開いてしまいます。そのことによって口腔内が乾燥し、むし歯、歯周病、口臭など様々なリスクにつながってきます。
転倒やぶつかった際の前歯の破折リスクが上昇する
出っ歯(上顎前突)の方とそうでない方とでは、出っ歯(上顎前突)の方の方がおよそ50%、前歯の破折リスクが高いことがわかっています。破折してしまうと、破修復が可能な場合もありますが、時に神経を抜かなければならなかったり、抜歯になってしまうこともあります。
審美的に問題を感じやすくなる
出っ歯(上顎前突)を治したい主な理由として、審美的な理由が多くあります。お顔の印象を決める際に口元が非常に重要になってきますので、矯正治療を受けて出っ歯(上顎前突)を治したいと思われる方が多いのも、そのあたりに理由があります。
出っ歯の治療前の横顔

治療後の横顔のEライン

出っ歯(上顎前突)を矯正治療すると、口元の突出感が改善します。口元の審美性の基準である「Eライン」に対し、唇がわずかに接する理想的な位置になります。 また出っ歯(上顎前突)を改善することで鼻の下縁から唇にかけての「ナソラビアルアングル」が広がり、鼻の高さもより高くなったような印象になってきたりします。
| 年齢・性別 | 10代女性 |
| 治療期間 | 2年2か月 |
| 抜歯 | 上2本、下2本(小臼歯) |
| 治療費 | 50万円(調整費、保定費まで含む総額制) |
| 備考 | インビザライン |
| リスク・副作用 | 痛み・治療後の後戻り・歯根吸収・歯髄壊死・歯肉退縮 |
出っ歯(上顎前突)の治療
歯は見えている部分を「歯冠(しかん)」、骨の中に埋まっている根っこの部分を「歯根(しこん)」といいます。歯根は骨の中にあるため、動きが歯冠に比べて緩やかです。そのため歯冠の移動速度と歯根の移動速度には時差が生じます。歯冠を移動させ、歯並びを綺麗にすることは重要ですが、歯根の移動も大切です。これらのことから出っ歯(上顎前突)の治療では一時的に出っ歯(上顎前突)の度合いが増すこともありますが、その後、きれいになっていきます。また、出っ歯(上顎前突)は前方の歯を後方に移動させるために、抜歯をするケースも少なくありませんが、二子玉川駅前矯正歯科では矯正用インプラント(アンカースクリュー)を用いたインプラント矯正に対応しており、抜歯をしないで済む場合もありますし、治療期間の短縮なども期待出来ます。
出っ歯(上顎前突)の治療例 ~ ビフォーアフターとご説明
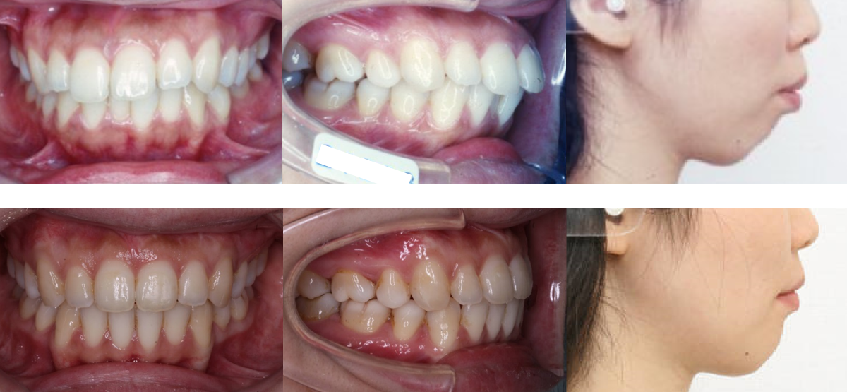
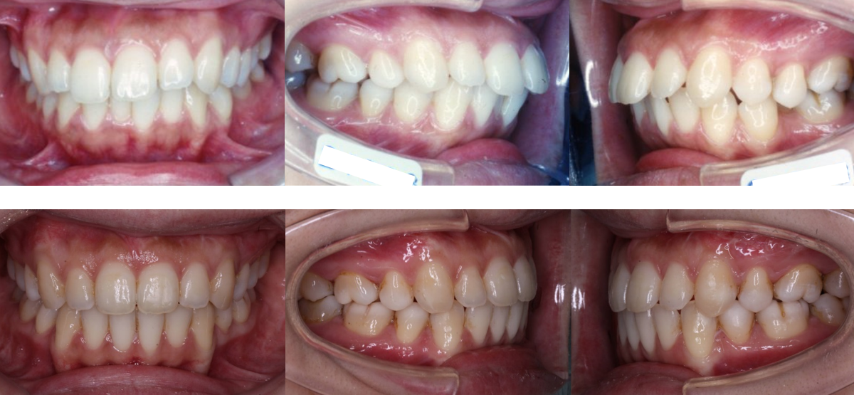
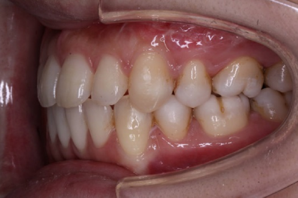
①出っ歯(上顎前突)の矯正治療例(20代女性・治療期間2年4か月)

| 年齢・性別 | 20代女性 |
| 治療期間 | 2年4か月 |
| 抜歯 | 上1本、下2本(小臼歯) |
| 治療費 | 100万円(調整費、保定費まで含む総額制) |
| 備考 | 裏側矯正、ガミースマイル、チルト改善 |
| リスク・副作用 | 痛み・治療後の後戻り・歯根吸収・歯髄壊死・歯肉退縮 |
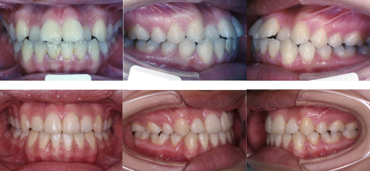
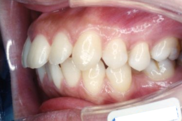
②出っ歯(上顎前突)の矯正治療例(10代女性・治療期間2年2か月)

| 年齢・性別 | 10代女性 |
| 治療期間 | 2年2か月 |
| 抜歯 | 上2本、下2本(小臼歯) |
| 治療費 | 50万円(調整費、保定費まで含む総額制) |
| 備考 | インビザライン |
| リスク・副作用 | 痛み・治療後の後戻り・歯根吸収・歯髄壊死・歯肉退縮 |
| 年齢・性別 | 10代女性 |
| 治療期間 | 2年2か月 |
| 抜歯 | 上2本、下2本(小臼歯) |
| 治療費 | 50万円(調整費、保定費まで含む総額制) |
| 備考 | インビザライン |
| リスク・副作用 | 痛み・治療後の後戻り・歯根吸収・歯髄壊死・歯肉退縮 |
二子玉川で「出っ歯(上顎前突)」の矯正治療を受けたい方は「無料相談」へ

「二子玉川駅前矯正歯科」では、経験豊富な矯正認定医の資格を持つ矯正専門の矯正医が、責任を持って出っ歯(上顎前突)の治療を担当します。また、歯並びに関する「無料相談」や「セカンドオピニオン」も行っておりますので、二子玉川で出っ歯(上顎前突)の矯正治療をお考えの方は、お気軽にお電話をいただくか、メールでご相談ください。経験豊富な矯正認定医の資格を持つ矯正専門の矯正医が、より素晴らしい笑顔へと歯並び治療でお手伝いさせていただきます。
初診無料相談のご予約 / メール相談(初診用) / 資料請求




