過蓋咬合の症状について

治療法:上下とも裏側矯正、機械的矯正装置併用 / 非抜歯 / 治療期間:2年2か月 / 費用:100万円(調整費、保定費まで含む総額制) / リスク・副作用:痛み・治療後の後戻り・歯根吸収・歯髄壊死・歯肉退縮
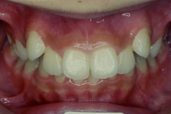
過蓋咬合(深噛み)は、咬んだ時に上の前歯が下の前歯に過剰に被さるかみ合わせのことをいいます。上の歯茎に下の歯が当たって痛みが出たり、下の歯が削れてしまい、しみることもあります。また過蓋咬合(深噛み)によって顎関節症になることがあります。
過蓋咬合(深噛み)は顎関節症につながるリスクが高い
顎関節症は、顎関節やあごのまわりの筋肉である咀嚼筋に痛みや雑音が生じたり、口が開かなくなったりする病気です。顎関節症のリスクとして、硬いものの長時間にわたる咀嚼、歯ぎしり・食いしばり、ストレスなどが考えられています。また、不正咬合も顎関節症の原因になると考えられています。特に過蓋咬合は顎関節症をひきおこしやすいといわれています。過蓋咬合(深噛み)では、スムーズに口の開閉が出来ないため、咀嚼筋に負荷がかかったり、顎関節の軟骨や骨に変形を引き起こすこともあります。
過蓋咬合(深噛み)の治療
過蓋咬合(深噛み)の治療では、まず下の前歯が見えるようにする必要があるので、一度上の前歯を前方に傾斜させます。一時的に出っ歯のように感じると思いますが、その後、しっかり出っ歯を治す治療をします。多くの場合、下の歯に矯正装置を着ける時期については、上の歯に矯正装置を着ける時期よりも遅い時期になります。
過蓋咬合(深噛み)の治療例 ~ ビフォーアフターとご説明
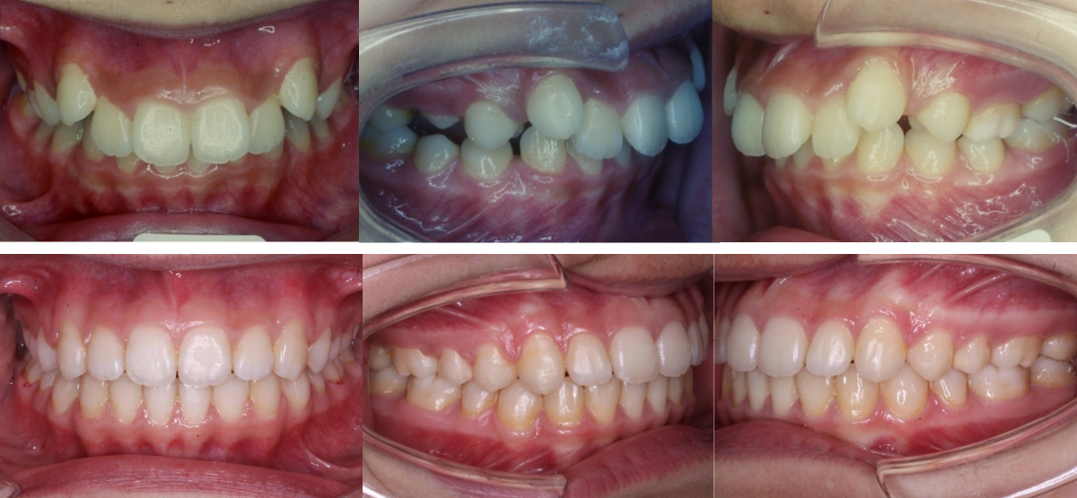
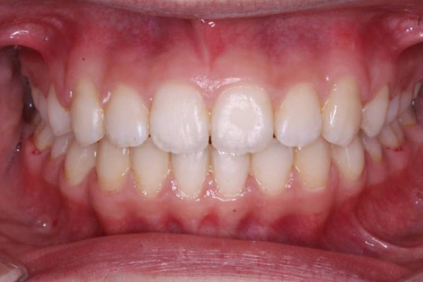
①過蓋咬合(深噛み)の矯正治療例(10代女性・治療期間2年2か月)

| 年齢・性別 | 10代女性 |
| 治療期間 | 2年2か月 |
| 抜歯 | なし |
| 治療費 | 100万円(調整費、保定費まで含む総額制) |
| 備考 | 裏側矯正、機械的矯正装置併用 |
| リスク・副作用 | 痛み・治療後の後戻り・歯根吸収・歯髄壊死・歯肉退縮 |
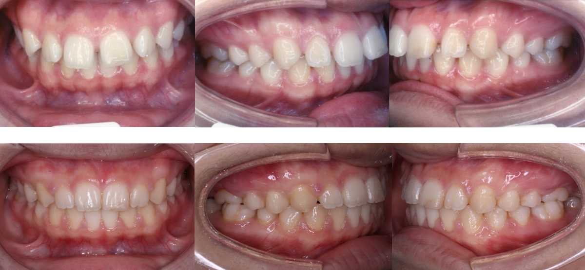
②過蓋咬合(深噛み)の矯正治療例(20代女性・治療期間2年)

| 年齢・性別 | 20代女性 |
| 治療期間 | 2年 |
| 抜歯 | なし |
| 治療費 | 50万円(調整費、保定費まで含む総額制) |
| 備考 | インビザライン、インプラントで前歯圧下、遠心移動 |
| リスク・副作用 | 痛み・治療後の後戻り・歯根吸収・歯髄壊死・歯肉退縮 |
| 年齢・性別 | 10代女性 |
| 治療期間 | 2年2か月 |
| 抜歯 | なし |
| 治療費 | 100万円(調整費、保定費まで含む総額制) |
| 備考 | 裏側矯正、機械的矯正装置併用 |
| リスク・副作用 | 痛み・治療後の後戻り・歯根吸収・歯髄壊死・歯肉退縮 |
二子玉川で「過蓋咬合(深噛み)」の矯正治療を受けたい方は「無料相談」へ

「二子玉川駅前矯正歯科」では、経験豊富な矯正認定医の資格を持つ矯正専門の矯正医が、責任を持って過蓋咬合(深噛み)の治療を担当します。また、歯並びに関する「無料相談」や「セカンドオピニオン」も行っておりますので、二子玉川で過蓋咬合(深噛み)の矯正治療をお考えの方は、お気軽にお電話をいただくか、メールでご相談ください。経験豊富な矯正認定医の資格を持つ矯正専門の矯正医が、より素晴らしい笑顔へと歯並び治療でお手伝いさせていただきます。
初診無料相談のご予約 / メール相談(初診用) / 資料請求




