インビザラインファースト(小児マウスピース矯正)について

治療法:インビザラインファースト / 非抜歯 / 治療期間:1年6か月 / 費用:37万円(調整費、保定費まで含む総額制) / リスク・副作用:痛み・治療後の後戻り・歯根吸収・歯髄壊死・歯肉退縮
インビザライン・ファーストは、混合歯列期のお子さま向けのマウスピース矯正です。透明で目立ちにくく、取り外し可能なマウスピースを使い、1~2週間ごとに交換して歯並びを整えます。装着時は目立たず、普段の食事や歯磨きも通常通り行えます。この治療法では、顎の大きさを広げるだけでなく、歯を個別に動かして整列させることが可能です。
インビザラインファーストで行う小児矯正
インビザラインファーストの特長は、「顎の大きさを広げる」と「歯並びを整える」を同時に行える点です。従来の小児矯正では2度に分けて行う必要がありましたが、インビザラインファーストでは同時に進めることができます。これにより治療期間が短縮し、治療費や負担も軽減されます。
インビザラインファーストのメリット
インビザラインファーストのメリットは症例により異なりますが、一般的な利点には以下が挙げられます。
- 矯正装置が目立たない
- 取り外し可能で食事やハミガキが普段通りにできる
- 永久歯の並ぶスペースを確保できる
- これから歯が生えてくるスペースを維持できる
- 二期治療をしなくて済むようになる場合もある
インビザラインファーストのデメリット
インビザラインファーストにはいくつかのデメリットが存在します。以下はその一例ですが、患者様の個別の状態により異なるため、矯正医との相談が必要です。
- 一般的な拡大床での治療よりも費用がかかる
- 自己管理が大切になる(使用時間など)
- 治療開始のタイミングに制限がある
インビザラインファースト(小児マウスピース矯正)の治療例 ~ ビフォーアフターとご説明
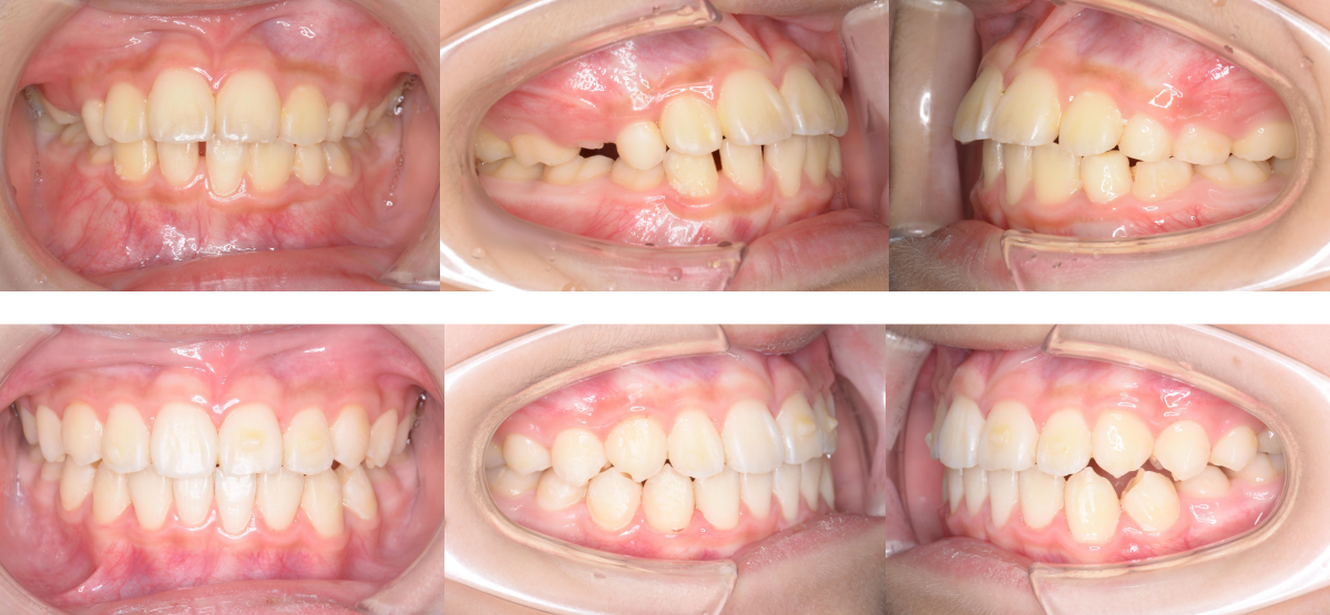
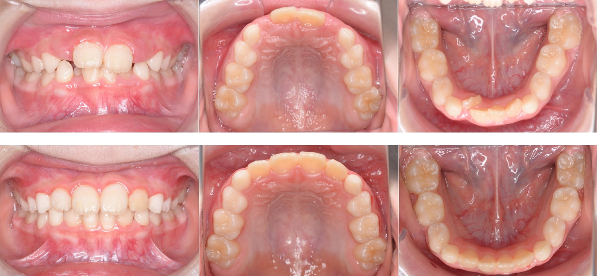
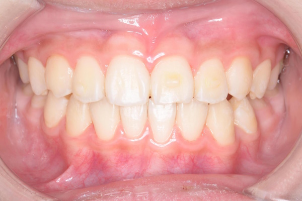
①インビザラインファーストの矯正治療例(小学生男子・治療期間1年6か月)
治療前
歯列弓が狭く歯並びに影響していました。

治療後
歯列弓がきれいに拡大されていることがわかります。

| 年齢・性別 | 小学生男子 |
| 治療期間 | 1年6か月 |
| 抜歯 | なし |
| 治療費 | 37万円(調整費、保定費まで含む総額制) |
| 備考 | インビザラインファースト |
| リスク・副作用 | 痛み・治療後の後戻り・歯根吸収・歯髄壊死・歯肉退縮 |
治療法はインビザラインファーストで、治療期間は1年6か月です。
上下正中のずれの改善、上下歯列の拡大と右下犬歯萌出スペースを確保しました。
第二大臼歯萌出後、歯列が崩れた場合は、二期治療が必要になります。
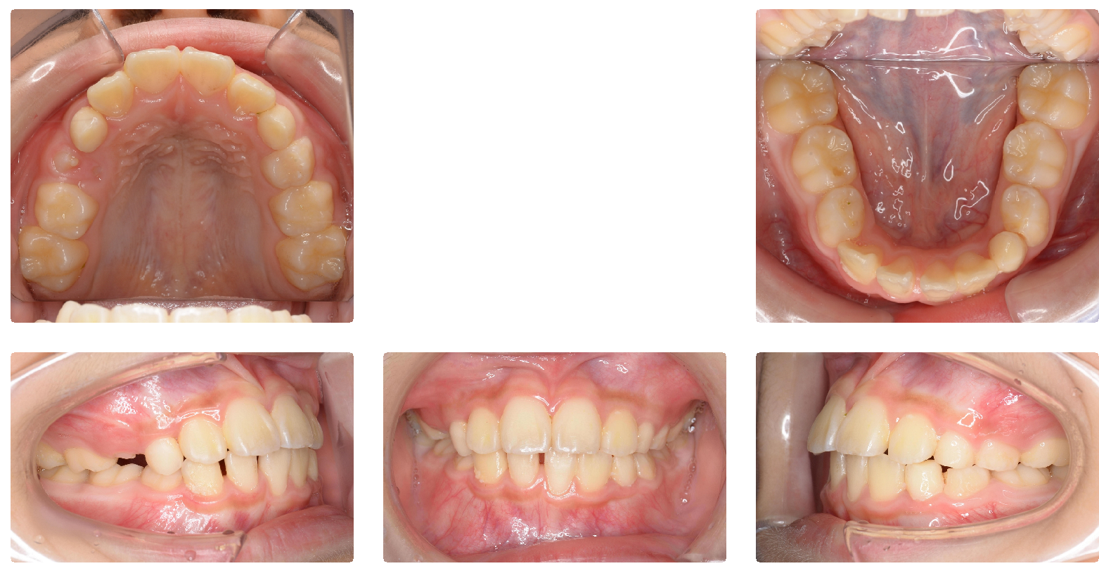
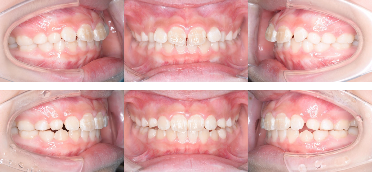
②インビザラインファーストの矯正治療例(小学生男子・治療期間10か月)

| 年齢・性別 | 小学生男子 |
| 治療期間 | 10か月 |
| 抜歯 | なし |
| 治療費 | 37万円(調整費、保定費まで含む総額制) |
| 備考 | インビザラインファースト |
| リスク・副作用 | 痛み・治療後の後戻り・歯根吸収・歯髄壊死・歯肉退縮 |
治療法はインビザラインファーストで、治療期間は1年4か月です。
上顎の側方拡大を行い、萌出スペースを確保しました。
側方歯交換まで経過観察が必要です。
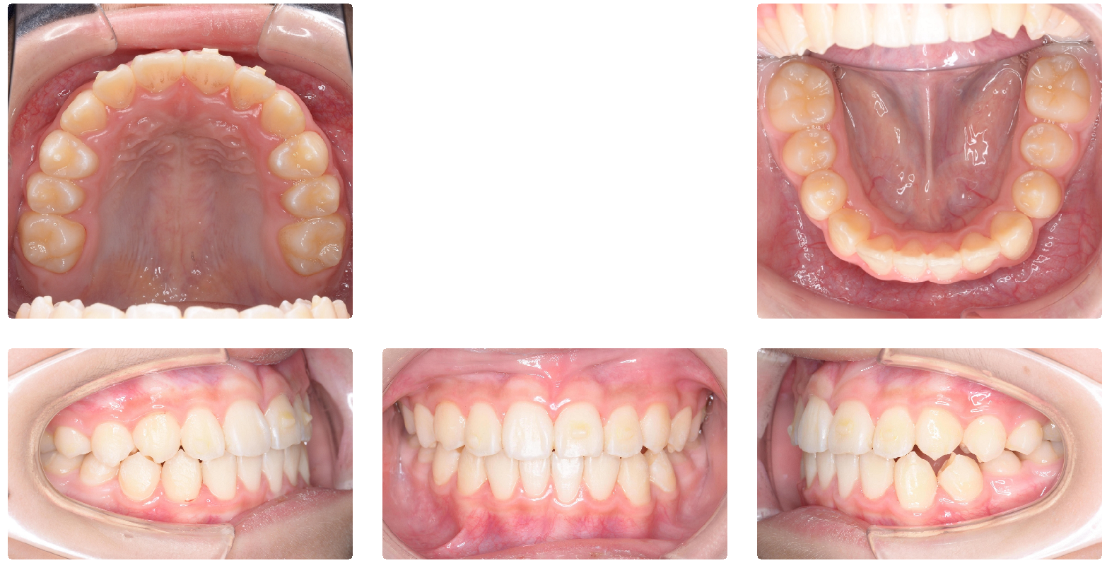
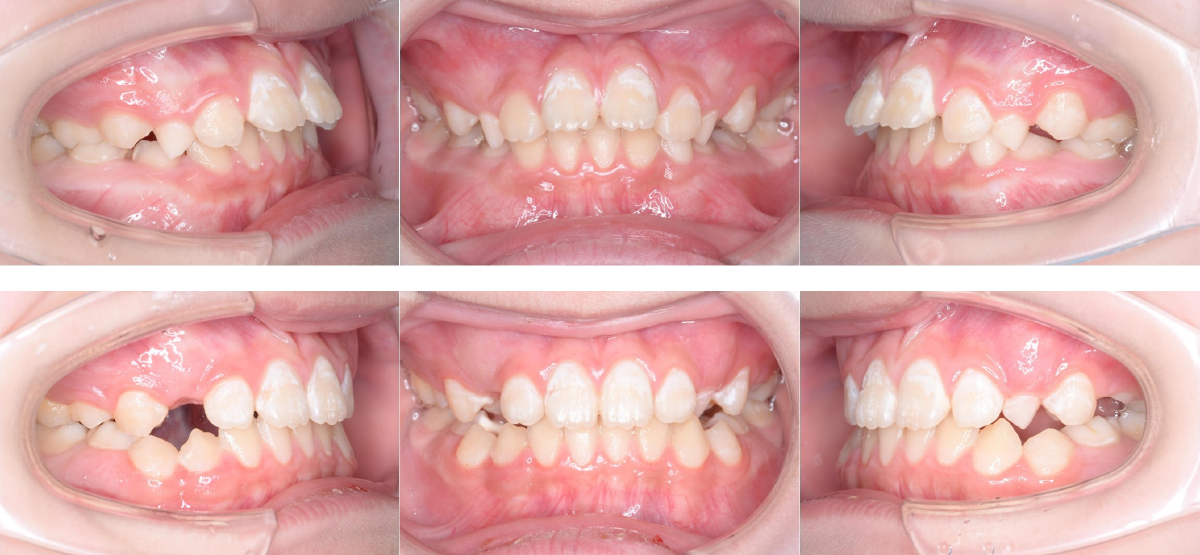
③インビザラインファーストの矯正治療例(小学生女子・治療期間9か月)

| 年齢・性別 | 小学生女子 |
| 治療期間 | 9か月 |
| 抜歯 | なし |
| 治療費 | 37万円(調整費、保定費まで含む総額制) |
| 備考 | インビザラインファースト |
| リスク・副作用 | 痛み・治療後の後戻り・歯根吸収・歯髄壊死・歯肉退縮 |
治療法はインビザラインファーストで、治療期間は9か月です。
上前歯の出っ歯と上下正中のずれの改善、上下歯列の拡大を行い萌出スペースを確保しました。
第二大臼歯萌出後、歯列が崩れた場合は、二期治療が必要になります。
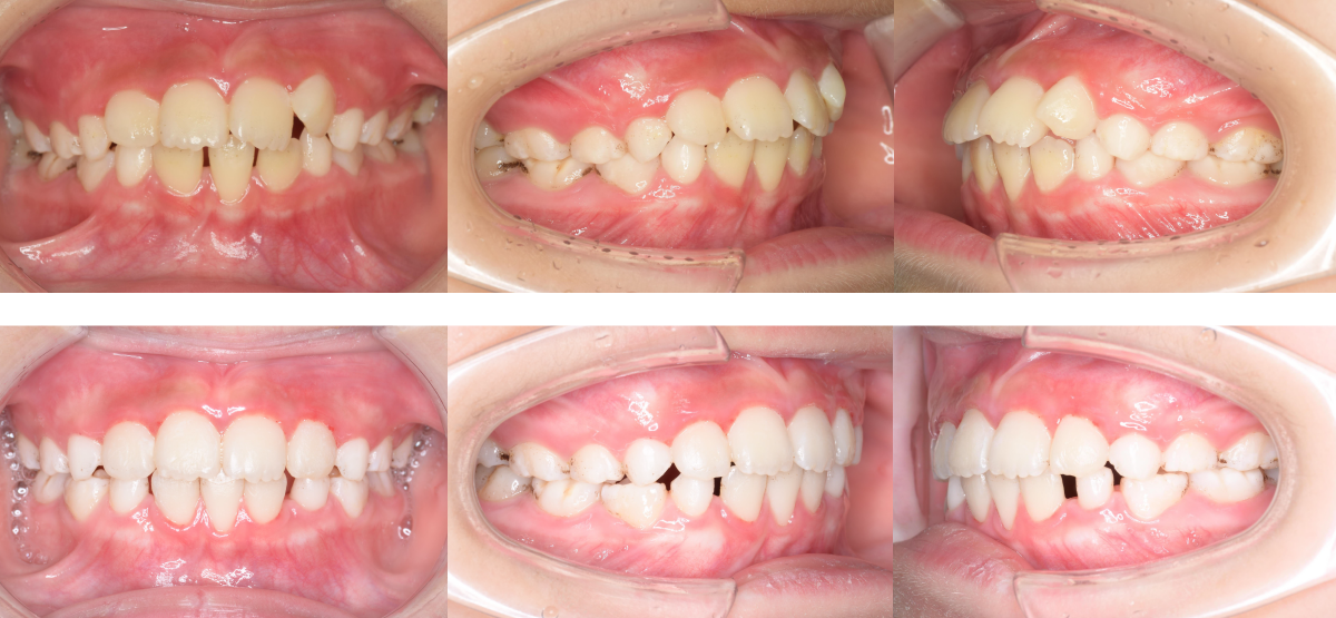
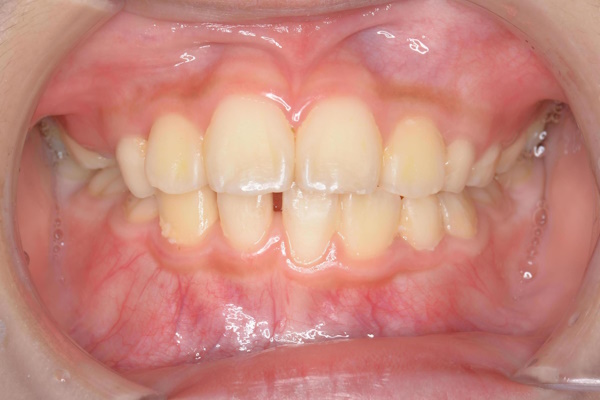
④インビザラインファーストの矯正治療例(小学生女子・治療期間8か月)

| 年齢・性別 | 小学生女子 |
| 治療期間 | 8か月 |
| 抜歯 | なし |
| 治療費 | 37万円(調整費、保定費まで含む総額制) |
| 備考 | インビザラインファースト |
| リスク・副作用 | 痛み・治療後の後戻り・歯根吸収・歯髄壊死・歯肉退縮 |
治療法はインビザラインファーストで、治療期間は8か月です。
上下正中の空隙閉鎖と過蓋咬合(深噛み)の改善、上下歯列の拡大と側方歯萌出スペースを確保しました。
第二大臼歯萌出後、歯列が崩れた場合は、二期治療が必要になります。
⑤インビザラインファーストの矯正治療例(小学生女子・治療期間8か月)

| 年齢・性別 | 小学生女子 |
| 治療期間 | 8か月 |
| 抜歯 | なし |
| 治療費 | 37万円(調整費、保定費まで含む総額制) |
| 備考 | インビザラインファースト |
| リスク・副作用 | 痛み・治療後の後戻り・歯根吸収・歯髄壊死・歯肉退縮 |
治療法はインビザラインファーストで、治療期間は8か月です。
上下顎の側方拡大を行い、萌出スペースの確保と叢生の改善を行いました。側方歯交換まで経過観察が必要です。
第二大臼歯萌出後、歯列が崩れた場合は、二期治療が必要になります。
| 年齢・性別 | 小学生男子 |
| 治療期間 | 1年6か月 |
| 抜歯 | なし |
| 治療費 | 37万円(調整費、保定費まで含む総額制) |
| 備考 | インビザラインファースト |
| リスク・副作用 | 痛み・治療後の後戻り・歯根吸収・歯髄壊死・歯肉退縮 |
二子玉川で「インビザラインファースト(小児マウスピース矯正)」の矯正治療を受けたい方は「無料相談」へ

「二子玉川駅前矯正歯科」では、経験豊富な矯正認定医の資格を持つ矯正専門の矯正医が、責任を持ってインビザラインファースト(小児マウスピース矯正)を担当します。また、歯並びに関する「無料相談」や「セカンドオピニオン」も行っておりますので、二子玉川でインビザラインファースト(小児マウスピース矯正)をお考えの方は、お気軽にお電話をいただくか、メールでご相談ください。経験豊富な矯正認定医の資格を持つ矯正専門の矯正医が、より素晴らしい笑顔へと歯並び治療でお手伝いさせていただきます。
初診無料相談のご予約 / メール相談(初診用) / 資料請求





