再矯正治療について

治療法:インビザライン / 非抜歯 / 治療期間:2年2か月 / 費用:80万円(調整費、保定費まで含む総額制) / リスク・副作用:痛み・治療後の後戻り・歯根吸収・歯髄壊死・歯肉退縮
近年、マウスピース矯正が登場し、自己着脱可能で目立ちにくいという利点から、矯正治療を受ける人が増加しています。さらに、歯科医師にとっても扱いやすくなり、マウスピース矯正を導入する歯科医院も増えています。
しかし、このような増加に伴い、矯正治療が失敗したり、再治療が必要な患者が増えています。そのため、再治療を求めて矯正歯科を探しているという患者様も少なくありません。
二子玉川駅前矯正歯科では矯正専門の矯正歯科として、そのような再治療のケースにも対応しております。
矯正治療を諦める必要はありません
矯正治療は、歯並びや噛み合わせの問題を解決し、美しい笑顔を手に入れるための有効な方法です。しかし、時には治療が失敗したり、望んだ結果が得られなかったりすることもあります。そんな時、多くの人々が矯正治療を諦めてしまうかもしれませんが、それは必ずしも正しい選択ではありません。矯正治療が失敗した場合や後戻りしてしまった場合でも、諦める必要はありません。現代の歯科技術や矯正治療はますます進歩しており、再治療の選択肢は豊富です。また、二子玉川駅前矯正歯科では多くの経験があります。新しい治療計画やアプローチを検討することで、以前の問題を解決し、理想的な歯並びや噛み合わせを手に入れることができるかもしれません。ですから、矯正治療で失敗したり後戻りしてしまった方には、決して諦める必要はありません。再び前進し、理想的な結果を手に入れるために、矯正医と共に新たな治療計画を立てることをお勧めします。未来の美しい笑顔のために、まずはご相談ください。
再治療をするケースとは
矯正治療で再治療になるケースはさまざまですが、一般的には次のような状況が考えられます。これらのケースは、矯正治療中に歯科医師が注意深く管理することで最小限に抑えることができますが、時には再治療が必要となることもあります。中には残念ながら歯科医師の力量不足で再治療になるようなこともあります。
歯の移動が不十分な場合
一度の治療では歯の移動が不十分で、望ましい結果が得られなかった場合があります。この場合、再度の矯正治療が必要となることがあります。
歯の移動が過度な場合
逆に、歯が予想以上に移動してしまったり、過度な圧力がかかった場合にも再治療が必要となることがあります。過度な歯の移動は歯根や歯茎にダメージを与える可能性があります。
装置の問題
治療中に装置に問題が生じた場合、再治療が必要となることがあります。例えば、装置が壊れたり、緩んだりした場合には、再度の調整や修理が必要となります。
予期せぬ合併症
矯正治療中に予期せぬ合併症が生じた場合、再治療が必要となることがあります。例えば、歯茎の炎症や感染症、歯の根管治療が必要になることがあります。
後戻りによる再治療
歯科矯正では、歯を望ましい位置に移動させ、理想的な咬み合わせを実現するために装置を使用します。しかし、矯正装置を外した後、歯の周囲の組織が元の位置に戻ろうとするため、時には歯が再び移動してしまうことがあります。これが後戻りと呼ばれる現象です。後戻りが起きる原因は様々で、リテーナーの不適切な使用や破損、噛み合わせの変化、成長に伴う変化などが考えられます。また、適切なリテーナーの使用を怠ったり、矯正装置の適切な維持管理が行われなかったりすると、後戻りのリスクが高まります。しかし、後戻りが生じた場合でも、再度の治療で問題を解決することができます。歯科医師との相談を通じて、再治療プランを立て、歯を再び望ましい位置に移動させることが可能です。適切なリテーナーの使用や、定期的な歯科医院でのフォローアップも重要です。再治療には時間と忍耐が必要ですが、理想的な咬み合わせと美しい笑顔を取り戻すために努力する価値があります。
再治療を行うメリット
再矯正治療の治療例 ~ ビフォーアフターとご説明
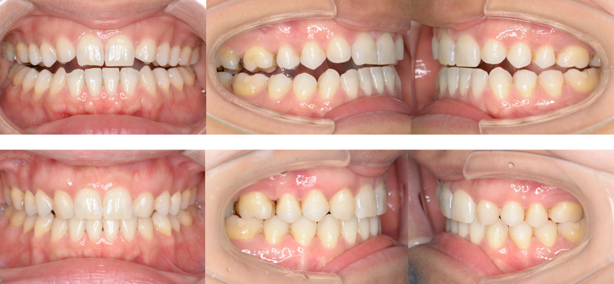
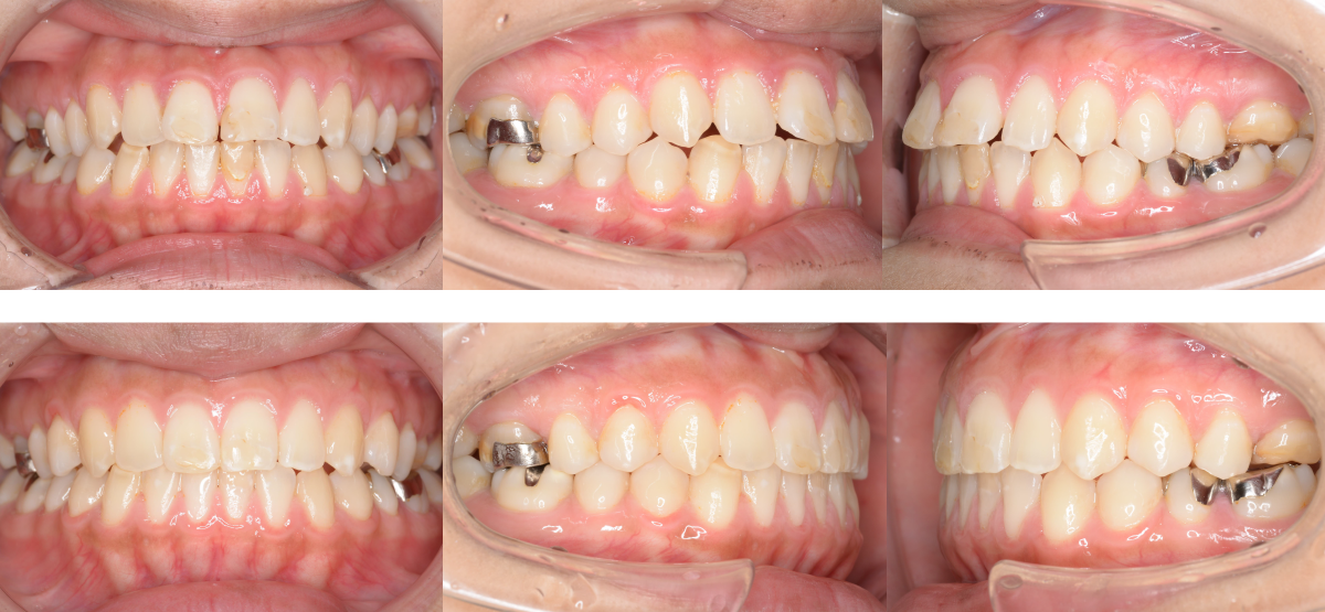
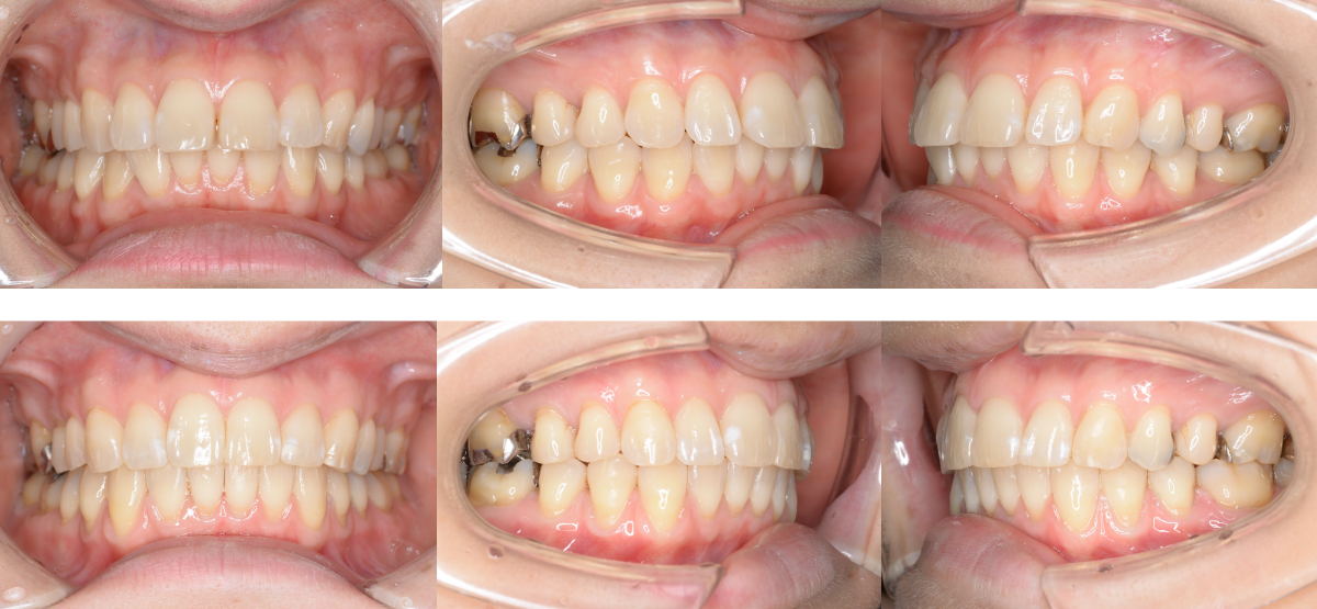
①再矯正治療の矯正治療例(30代女性・治療期間2年2か月)

| 年齢・性別 | 30代女性 |
| 治療期間 | 2年2か月 |
| 抜歯 | なし |
| 治療費 | 80万円(調整費、保定費まで含む総額制) |
| 備考 | インビザライン |
| リスク・副作用 | 痛み・治療後の後戻り・歯根吸収・歯髄壊死・歯肉退縮 |
治療法はインビザライン矯正で、治療期間は2年2か月です。
非抜歯で矯正治療を行い、キレイな歯並びになりました。
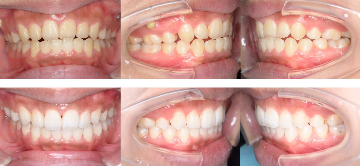
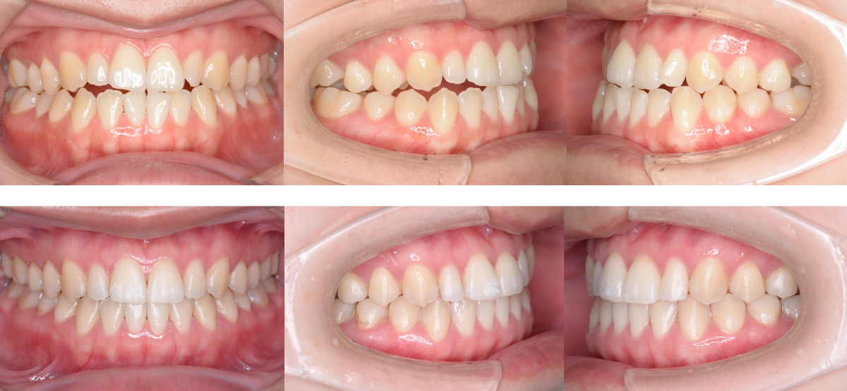
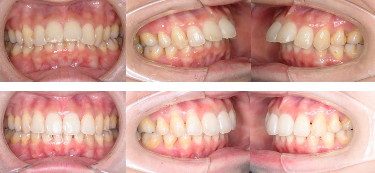
②再矯正治療の矯正治療例(20代女性・治療期間2年1か月)

| 年齢・性別 | 20代女性 |
| 治療期間 | 2年1か月 |
| 抜歯 | なし |
| 治療費 | 50万円(調整費、保定費まで含む総額制) |
| 備考 | インビザライン |
| リスク・副作用 | 痛み・治療後の後戻り・歯根吸収・歯髄壊死・歯肉退縮 |
治療法はインビザライン矯正で、治療期間は2年1か月です。
非抜歯で矯正治療を行い、キレイな歯並びになりました。
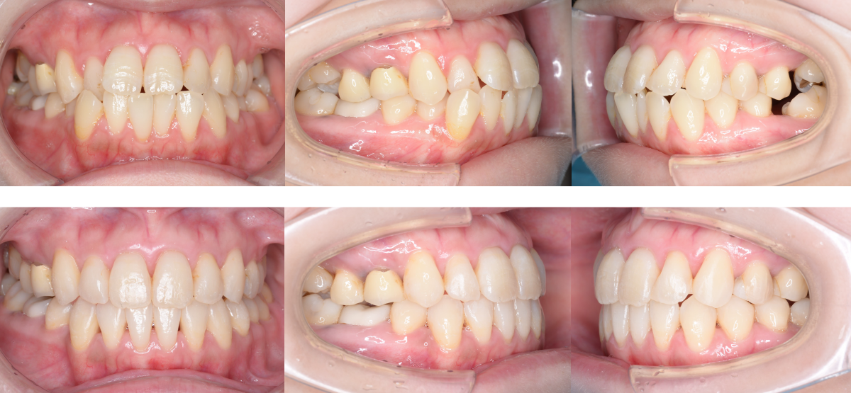
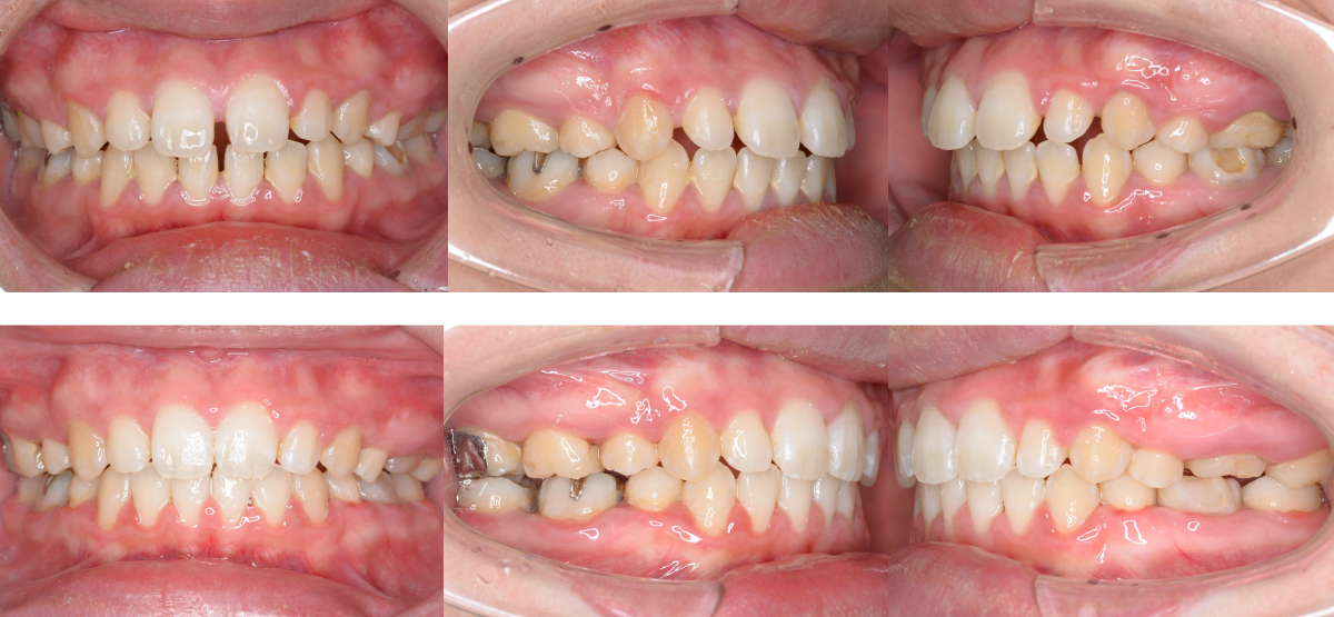
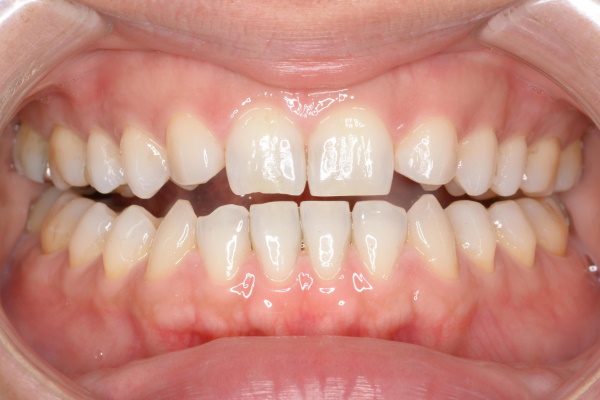
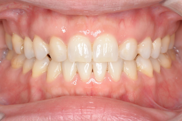
③再矯正治療の矯正治療例(30代女性・治療期間1年5か月)

| 年齢・性別 | 30代女性 |
| 治療期間 | 1年5か月 |
| 抜歯 | 下1本(小臼歯) |
| 治療費 | 50万円(調整費、保定費まで含む総額制) |
| 備考 | インビザライン |
| リスク・副作用 | 痛み・治療後の後戻り・歯根吸収・歯髄壊死・歯肉退縮 |
治療法はインビザライン矯正で、治療期間は1年5か月です。
1本抜歯で矯正治療を行い、キレイな歯並びになりました。
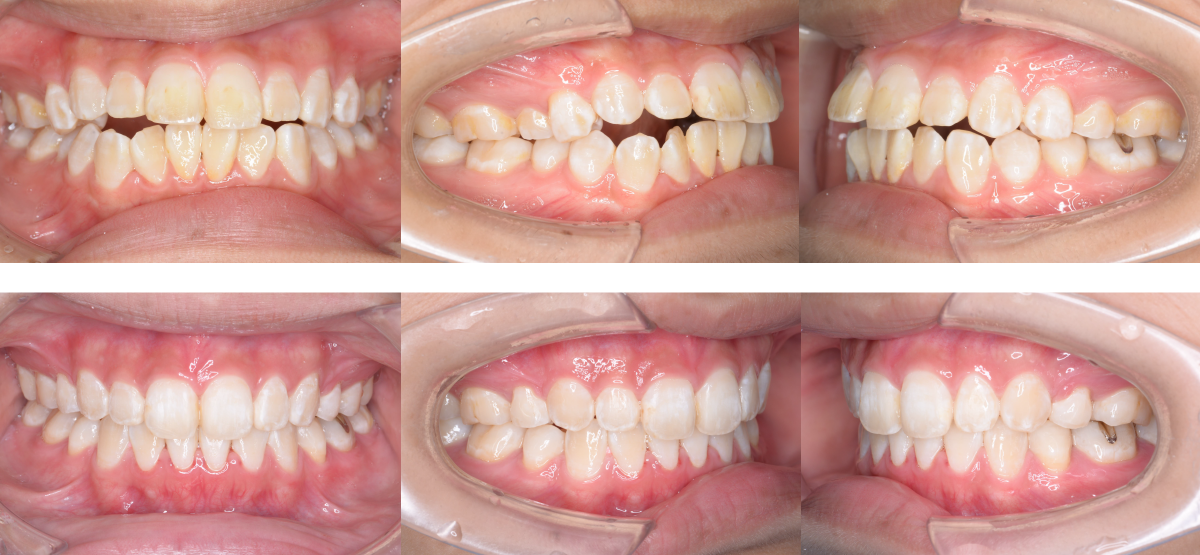
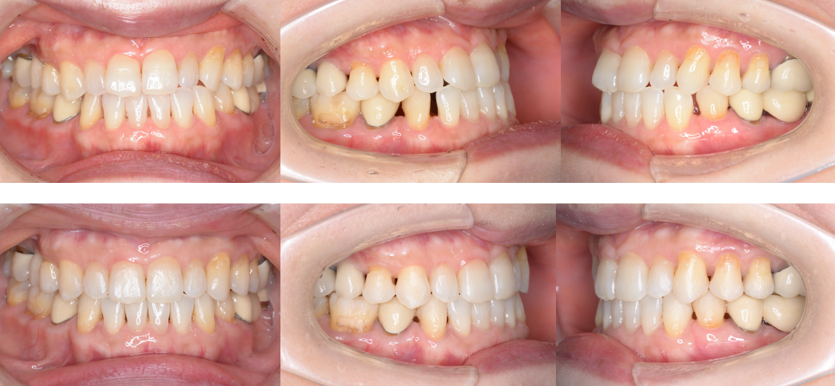
④再矯正治療の矯正治療例(10代女性)

| 年齢・性別 | 10代女性 |
| 治療期間 | |
| 抜歯 | 上2本、下2本(小臼歯) |
| 治療費 | 80万円(調整費、保定費まで含む総額制) |
| 備考 | インビザライン |
| リスク・副作用 | 痛み・治療後の後戻り・歯根吸収・歯髄壊死・歯肉退縮 |
治療法はインビザライン矯正です。
4本抜歯で矯正治療を行い、キレイな歯並びになりました。
⑤再矯正治療の矯正治療例(20代女性・治療期間1年2か月)

| 年齢・性別 | 20代女性 |
| 治療期間 | 1年2か月 |
| 抜歯 | なし |
| 治療費 | 100万円(調整費、保定費まで含む総額制) |
| 備考 | 上下とも裏側矯正 |
| リスク・副作用 | 痛み・治療後の後戻り・歯根吸収・歯髄壊死・歯肉退縮 |
治療法は裏側矯正(舌側矯正)で、治療期間は1年2か月です。
非抜歯で矯正治療を行い、キレイな歯並びになりました。
⑥再矯正治療の矯正治療例(20代女性・治療期間1年8か月)

| 年齢・性別 | 20代女性 |
| 治療期間 | 1年8か月 |
| 抜歯 | なし |
| 治療費 | 50万円(調整費、保定費まで含む総額制) |
| 備考 | インビザライン |
| リスク・副作用 | 痛み・治療後の後戻り・歯根吸収・歯髄壊死・歯肉退縮 |
治療法はインビザライン矯正で、治療期間は1年8か月です。
非抜歯で矯正治療を行い、キレイな歯並びになりました。
⑦再矯正治療の矯正治療例(20代女性・治療期間1年2か月)

| 年齢・性別 | 20代女性 |
| 治療期間 | 1年2か月 |
| 抜歯 | なし |
| 治療費 | 約88万円(調整費、保定費まで含む総額制) |
| 備考 | 上が裏側矯正、下が表側矯正(ハーフリンガル) |
| リスク・副作用 | 痛み・治療後の後戻り・歯根吸収・歯髄壊死・歯肉退縮 |
治療法は裏側矯正と表側矯正(ハーフリンガル)で、治療期間は1年2か月です。
非抜歯で矯正治療を行い、キレイな歯並びになりました。
⑧再矯正治療の矯正治療例(50代女性・治療期間1年2か月)

| 年齢・性別 | 50代女性 |
| 治療期間 | 1年2か月 |
| 抜歯 | なし |
| 治療費 | 50万円(調整費、保定費まで含む総額制) |
| 備考 | インビザライン |
| リスク・副作用 | 痛み・治療後の後戻り・歯根吸収・歯髄壊死・歯肉退縮 |
治療法はインビザライン矯正で、治療期間は1年2か月です。
非抜歯で矯正治療を行い、キレイな歯並びになりました。
⑨再矯正治療の矯正治療例(40代女性・治療期間1年6か月)

| 年齢・性別 | 40代女性 |
| 治療期間 | 1年6か月 |
| 抜歯 | なし |
| 治療費 | 約81万円(調整費、保定費まで含む総額制) |
| 備考 | 上下とも裏側矯正 |
| リスク・副作用 | 痛み・治療後の後戻り・歯根吸収・歯髄壊死・歯肉退縮 |
治療法は裏側矯正(舌側矯正)で、治療期間は1年6か月です。
非抜歯で矯正治療を行い、キレイな歯並びになりました。
⑩再矯正治療の矯正治療例(40代女性)

| 年齢・性別 | 40代女性 |
| 治療期間 | |
| 抜歯 | なし |
| 治療費 | 50万円(調整費、保定費まで含む総額制) |
| 備考 | インビザライン |
| リスク・副作用 | 痛み・治療後の後戻り・歯根吸収・歯髄壊死・歯肉退縮 |
治療法はインビザライン矯正です。
非抜歯で矯正治療を行い、キレイな歯並びになりました。
| 年齢・性別 | 30代女性 |
| 治療期間 | 2年2か月 |
| 抜歯 | なし |
| 治療費 | 80万円(調整費、保定費まで含む総額制) |
| 備考 | インビザライン |
| リスク・副作用 | 痛み・治療後の後戻り・歯根吸収・歯髄壊死・歯肉退縮 |
二子玉川で「再矯正治療」の矯正治療を受けたい方は「無料相談」へ

「二子玉川駅前矯正歯科」では、経験豊富な矯正認定医の資格を持つ矯正専門の矯正医が、責任を持って再矯正治療を担当します。また、歯並びに関する「無料相談」や「セカンドオピニオン」も行っておりますので、二子玉川で再矯正治療をお考えの方は、お気軽にお電話をいただくか、メールでご相談ください。経験豊富な矯正認定医の資格を持つ矯正専門の矯正医が、より素晴らしい笑顔へと歯並び治療でお手伝いさせていただきます。
初診無料相談のご予約 / メール相談(初診用) / 資料請求





