子供(小児)の開咬の症状について

治療法:インビザラインファースト / 非抜歯 / 治療期間:1年3か月 / 費用:37万円(調整費、保定費まで含む総額制) / リスク・副作用:痛み・治療後の後戻り・歯根吸収・歯髄壊死・歯肉退縮
開咬は「オープンバイト」と呼ばれており、奥歯では噛んでいる状態でも前歯は開いている状態です。そのため、前歯で食べ物を噛み切ることができず、また、サ行やラ行などの発音がしにくいなど、生活に支障を感じることが多くあります。また、前歯で噛めないため奥歯の負担が大きく、顎関節への負担や将来的に歯周病の進行、歯を失う原因にもなってしまうので、子供(小児)のうちに改善しておくことが大切となります。
子供の開咬の原因
悪習癖(指しゃぶり、唇を噛むなど)、舌の筋力不足、上下の骨のアンバランスなどが主な原因となります。顎が小さく、歯が大きい場合にも歯が前方にあふれ出るようになってしまい、開咬になる場合もあります。
子供の開咬の治療
悪習癖がある場合は悪習癖の改善に取り組み、舌の筋力不足の場合は口腔筋などのトレーニングを同時に行います。また、顎が小さい場合は顎の拡大を行いますが、過度の拡大は開咬を悪化させる場合もあるため、慎重に行う必要があります。
子供の開咬に適した治療開始時期

7歳までの子供(小児)の場合、矯正治療をストレスなく行えるかがポイントになります。小さなお子さまでも矯正治療が行える装置があります。開咬は悪習癖などによって悪化するため、悪習癖がみられる場合には特に早めに受診することをおすすめします。
子供の開咬の治療例 ~ ビフォーアフターとご説明
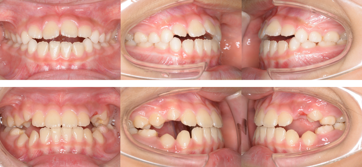
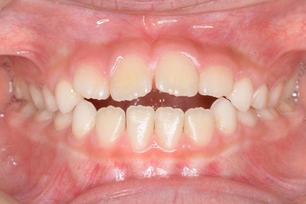
①子供(小児)の開咬の矯正治療例(7歳女児・治療期間1年3か月)

| 年齢・性別 | 7歳女児 |
| 治療期間 | 1年3か月 |
| 抜歯 | なし |
| 治療費 | 37万円(調整費、保定費まで含む総額制) |
| 備考 | インビザラインファースト |
| リスク・副作用 | 痛み・治療後の後戻り・歯根吸収・歯髄壊死・歯肉退縮 |
治療法は小児矯正(子供矯正)で、治療期間は1年3か月です。
上下顎の側方拡大を行い開咬の治療を行いました。
側方歯交換まで経過観察が必要です。
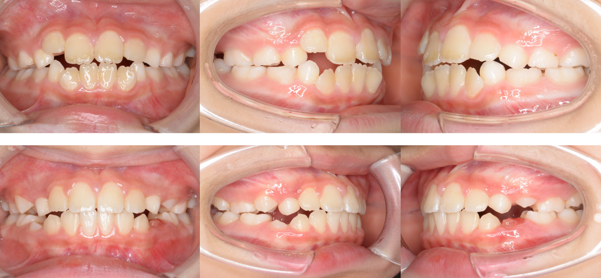
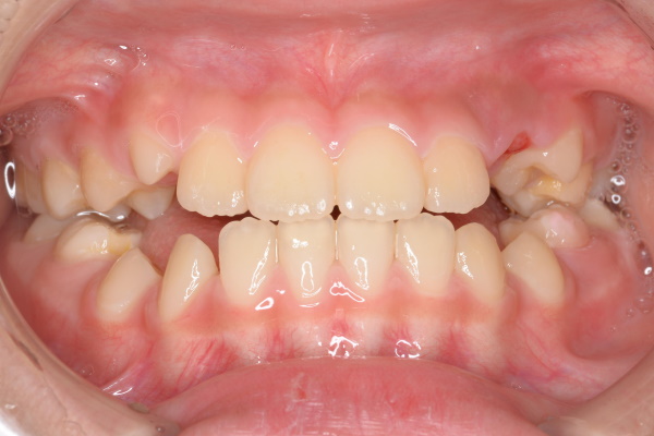
②子供(小児)の開咬の矯正治療例(8歳女児・治療期間1年6か月)

| 年齢・性別 | 8歳女児 |
| 治療期間 | 1年6か月 |
| 抜歯 | なし |
| 治療費 | 37万円(調整費、保定費まで含む総額制) |
| 備考 | インビザラインファースト |
| リスク・副作用 | 痛み・治療後の後戻り・歯根吸収・歯髄壊死・歯肉退縮 |
前歯の萌出スペース不足を主訴に来院されました。
治療法は第一期治療(小児矯正)で、治療期間は1年5か月です。
可撤式矯正装置を用い、萌出スペースを確保しました。
側方歯交換に伴い歯列が乱れた場合は、二期治療が必要になります。
| 年齢・性別 | 7歳女児 |
| 治療期間 | 1年3か月 |
| 抜歯 | なし |
| 治療費 | 37万円(調整費、保定費まで含む総額制) |
| 備考 | インビザラインファースト |
| リスク・副作用 | 痛み・治療後の後戻り・歯根吸収・歯髄壊死・歯肉退縮 |
二子玉川で「子供(小児)の開咬」の矯正治療を受けたい方は「無料相談」へ

「二子玉川駅前矯正歯科」では、経験豊富な矯正認定医の資格を持つ矯正専門の矯正医が、責任を持って子供(小児)の開咬の治療を担当します。また、歯並びに関する「無料相談」や「セカンドオピニオン」も行っておりますので、二子玉川で子供(小児)の開咬の矯正治療をお考えの方は、お気軽にお電話をいただくか、メールでご相談ください。経験豊富な矯正認定医の資格を持つ矯正専門の矯正医が、より素晴らしい笑顔へと歯並び治療でお手伝いさせていただきます。
初診無料相談のご予約 / メール相談(初診用) / 資料請求




