子供の受け口の症状について

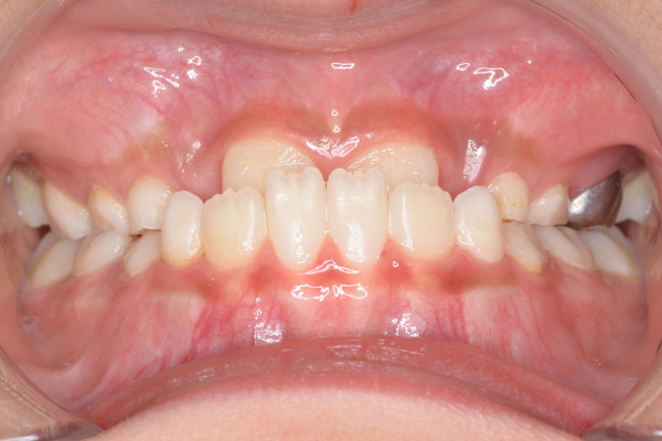
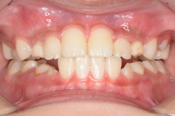
治療法:インビザラインファースト / 非抜歯 / 治療期間:1年2か月 / 費用:37万円(調整費、保定費まで含む総額制) / リスク・副作用:痛み・治療後の後戻り・歯根吸収・歯髄壊死・歯肉退縮
子供の受け口(下顎前突)は「反対咬合」ともいいます。子供の下顎前突の場合、矯正治療を受けるか受けないかで、成人になった際の顔の形(あごや側貌)が大きく変わってきます。お子さまのお口の状態が気になる方は、早めに二子玉川駅前矯正歯科までご相談ください。
治療シミュレーション動画
子供の受け口(下顎前突)の原因
子供の受け口(下顎前突)の原因は大きく以下の5つに分けられます。
- 下の前歯が前方に出ている
- 下の顎骨が前方に出ている
- 上の前歯が後方に下がっている
- 上の顎骨が後方に下がっている
- 前歯に問題があり、顎がずれて前方で噛んでいる
子供の受け口(下顎前突)放置したまま成長していくと、症状が悪化(あごの形や側貌への影響など)する場合が多いので、早めに二子玉川駅前矯正歯科までご相談ください。
子供の受け口(下顎前突)の治療開始時期

子供の受け口(下顎前突)は、進行してしまうと、その度合いによっては手術が必要になる場合もあるため、おおよそ、5~7歳位で、なるべく早く治療を始めることをおすすめいたします。
上顎骨の成長は、おおよそ8~9歳で終了してしまうため、その時期に向けて治療をすすめていくことで比較的スムーズに上顎骨を前方へ成長促進させていくことが可能です。
子供の受け口(下顎前突)を放置してしまうと…
お子さまの受け口(下顎前突)を成人になるまで放置すると、下顎が大きくなって、横顔が三日月のようになってしまいます。
下顎が大きくなってしまうと、多くの場合、成人矯正で手術を伴った外科矯正治療となります。

子供の受け口(下顎前突)の治療例 ~ ビフォーアフターとご説明
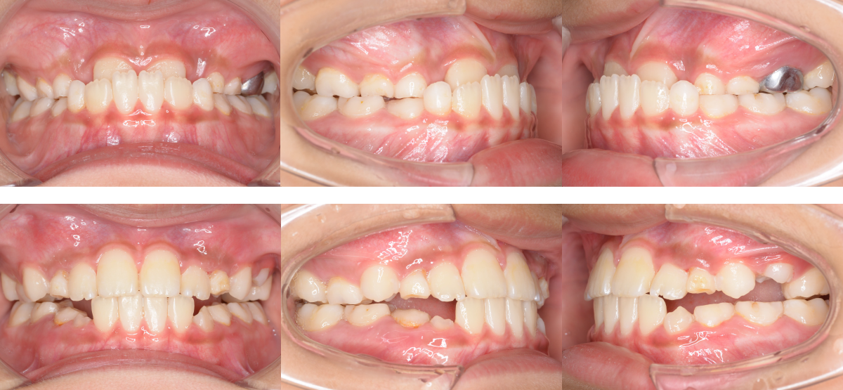
①子供(小児)の受け口の矯正治療例(7歳男児・治療期間1年2か月)

| 年齢・性別 | 7歳男児 |
| 治療期間 | 1年2か月 |
| 抜歯 | なし |
| 治療費 | 37万円(調整費、保定費まで含む総額制) |
| 備考 | インビザラインファースト |
| リスク・副作用 | 痛み・治療後の後戻り・歯根吸収・歯髄壊死・歯肉退縮 |
治療法は小児矯正(子供矯正)で、治療期間は1年2か月です。
上顎の側方拡大を行い萌出スペースを確保しました。
側方歯交換まで経過観察が必要です。
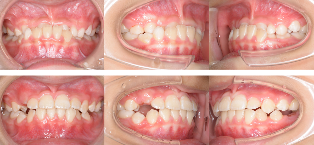
②子供(小児)の受け口の矯正治療例(8歳女児・治療期間1年3か月)

| 年齢・性別 | 8歳女児 |
| 治療期間 | 1年3か月 |
| 抜歯 | なし |
| 治療費 | 37万円(調整費、保定費まで含む総額制) |
| 備考 | インビザラインファースト |
| リスク・副作用 | 痛み・治療後の後戻り・歯根吸収・歯髄壊死・歯肉退縮 |
治療法は小児矯正(子供矯正)で、治療期間は1年3か月です。
上顎の側方拡大を行い萌出スペースを確保しました。
側方歯交換まで経過観察が必要です。
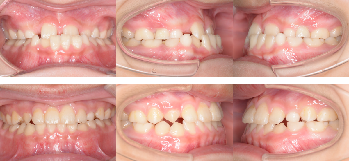
③子供(小児)の受け口の矯正治療例(8歳男児・治療期間1年10か月)

| 年齢・性別 | 8歳男児 |
| 治療期間 | 1年10か月 |
| 抜歯 | なし |
| 治療費 | 27万円(調整費、保定費まで含む総額制) |
| 備考 | インビザラインファースト |
| リスク・副作用 | 痛み・治療後の後戻り・歯根吸収・歯髄壊死・歯肉退縮 |
治療法は小児矯正(子供矯正)で、治療期間は1年10か月です。
上顎の側方拡大を行い萌出スペースを確保しました。
側方歯交換まで経過観察が必要です。
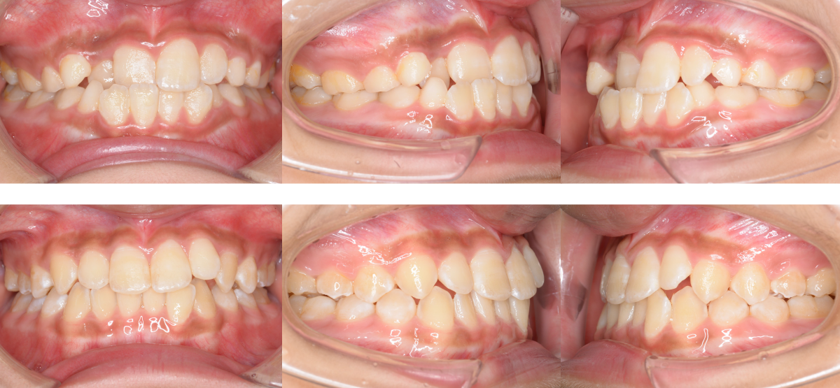
④子供(小児)の受け口の矯正治療例(小学生女子・治療期間1年10か月)

| 年齢・性別 | 小学生女子 |
| 治療期間 | 1年10か月 |
| 抜歯 | なし |
| 治療費 | 30万円(調整費、保定費まで含む総額制) |
| 備考 | |
| リスク・副作用 | 痛み・治療後の後戻り・歯根吸収・歯髄壊死・歯肉退縮 |
治療法は小児矯正(子供矯正)で、治療期間は1年10か月です。
上下拡大床の使用後、前歯部の配列を行いました。
側方歯交換まで経過観察が必要です。
| 年齢・性別 | 7歳男児 |
| 治療期間 | 1年2か月 |
| 抜歯 | なし |
| 治療費 | 37万円(調整費、保定費まで含む総額制) |
| 備考 | インビザラインファースト |
| リスク・副作用 | 痛み・治療後の後戻り・歯根吸収・歯髄壊死・歯肉退縮 |
二子玉川で「子供の子供の受け口(下顎前突)」の矯正治療を受けたい方は「無料相談」へ

「二子玉川駅前矯正歯科」では、経験豊富な矯正認定医の資格を持つ矯正専門の矯正医が、責任を持って子供の受け口(下顎前突)の治療を担当します。また、歯並びに関する「無料相談」や「セカンドオピニオン」も行っておりますので、二子玉川で子供の受け口(下顎前突)の矯正治療をお考えの方は、お気軽にお電話をいただくか、メールでご相談ください。経験豊富な矯正認定医の資格を持つ矯正専門の矯正医が、より素晴らしい笑顔へと歯並び治療でお手伝いさせていただきます。
初診無料相談のご予約 / メール相談(初診用) / 資料請求





