乳歯の受け口の症状について

治療法:プレオルソ / 非抜歯 / 治療期間:2か月 / 費用:10万円(調整費、保定費まで含む総額制) / リスク・副作用:痛み・治療後の後戻り・歯根吸収・歯髄壊死・歯肉退縮
乳歯の受け口(下顎前突)は「反対咬合」とも呼ばれ、下の前歯が上の前歯より前に突き出ている状態を指します。正常なかみ合わせでは、上の前歯が下の前歯に少し重なりますが、受け口(下顎前突)では逆に、下の前歯が前に出てしまい、かみ合わせが不正確な状態となります。健康な歯と顎を維持するためには、早期の対応が大切です。
乳歯の受け口の原因
乳歯の受け口の原因には下記のようなものがあります。
- 骨格や遺伝的な要因
- 指しゃぶりや舌の癖、口呼吸などの口腔内の習慣
などです。このような原因によって乳歯の受け口となります。
乳歯の受け口に適した治療開始時期
乳歯の受け口の治療開始はできるだけ早い方が望ましいです。受け口に気付かれた場合には、早めに二子玉川駅前矯正歯科までご相談ください。早期治療のメリットを考慮し、適切なタイミングで治療を始めることで、お子さまの健康な噛み合わせを促進できます。
乳歯の受け口を放置してしまうと…
乳歯の受け口を放置すると、以下のようなリスクが生じる可能性があります。
- 歯並びの悪化 … 受け口が進行すると、歯の前後関係が正確でなくなり、歯並びが乱れることがあります。これにより、永久歯の生えるタイミングや方向にも影響を及ぼす可能性があります。
- 歯の噛み合わせの問題 … 受け口によって噛み合わせが不正確になると、噛む力が偏り、咀嚼の機能が低下します。これが将来的な噛み合わせの不調や消化機能にも影響を及ぼすことがあります。
- 顎の成長に影響 … 歯の位置が不適切なまま成長すると、顎の成長にも影響を与える可能性があります。顎の発育が乱れると、後に顎の骨格的な問題が生じることもあります。
- 発音の問題 … 正しいかみ合わせが形成されないため、発音にも影響が及ぶことがあります。特に舌の動きや発声の制御に問題が生じることが考えられます。
これらのリスクを最小限に抑えるためには、乳歯の受け口が発見されたら早期に歯科医師に相談し、適切な治療を受けることが重要です。適切な時期に治療を行うことで、お子さまの将来の歯と顎の健康を保つことができます。
乳歯の受け口の治療例 ~ ビフォーアフターとご説明
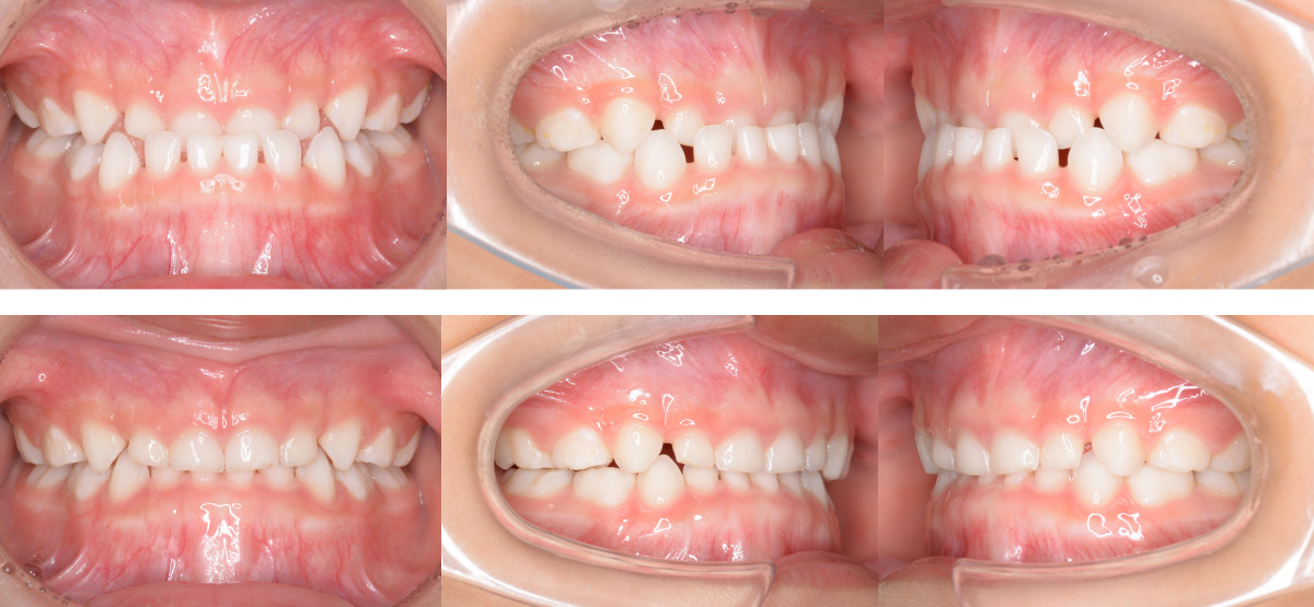
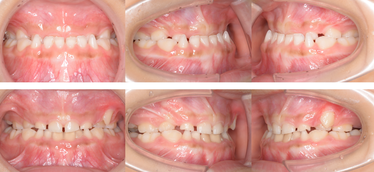
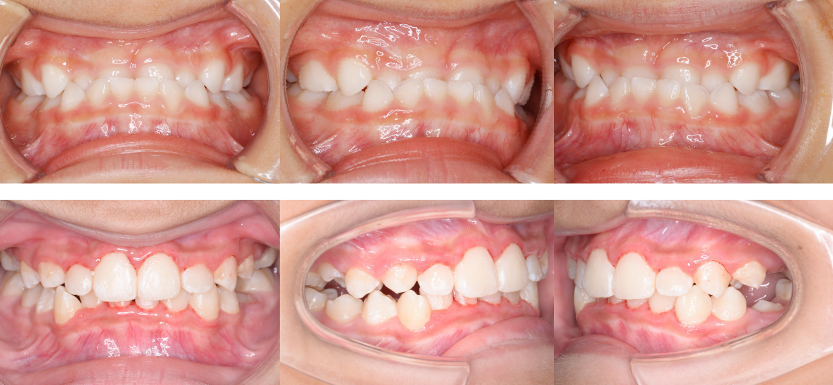
①乳歯の受け口の矯正治療例(4歳女児・治療期間2か月)

| 年齢・性別 | 4歳女児 |
| 治療期間 | 2か月 |
| 抜歯 | なし |
| 治療費 | 10万円(調整費、保定費まで含む総額制) |
| 備考 | プレオルソ |
| リスク・副作用 | 痛み・治療後の後戻り・歯根吸収・歯髄壊死・歯肉退縮 |
治療法はプレオルソで、治療期間は2か月です。
非抜歯で矯正治療を行い、キレイな歯並びになりました。
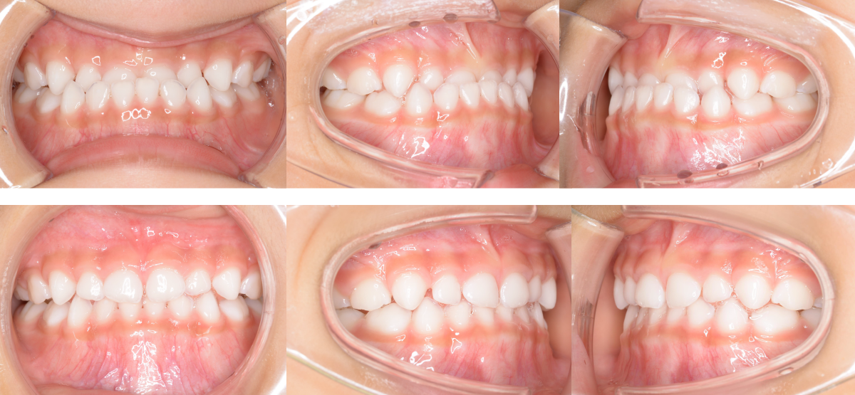
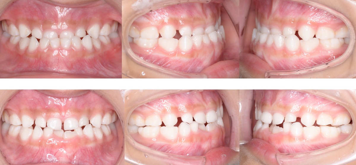
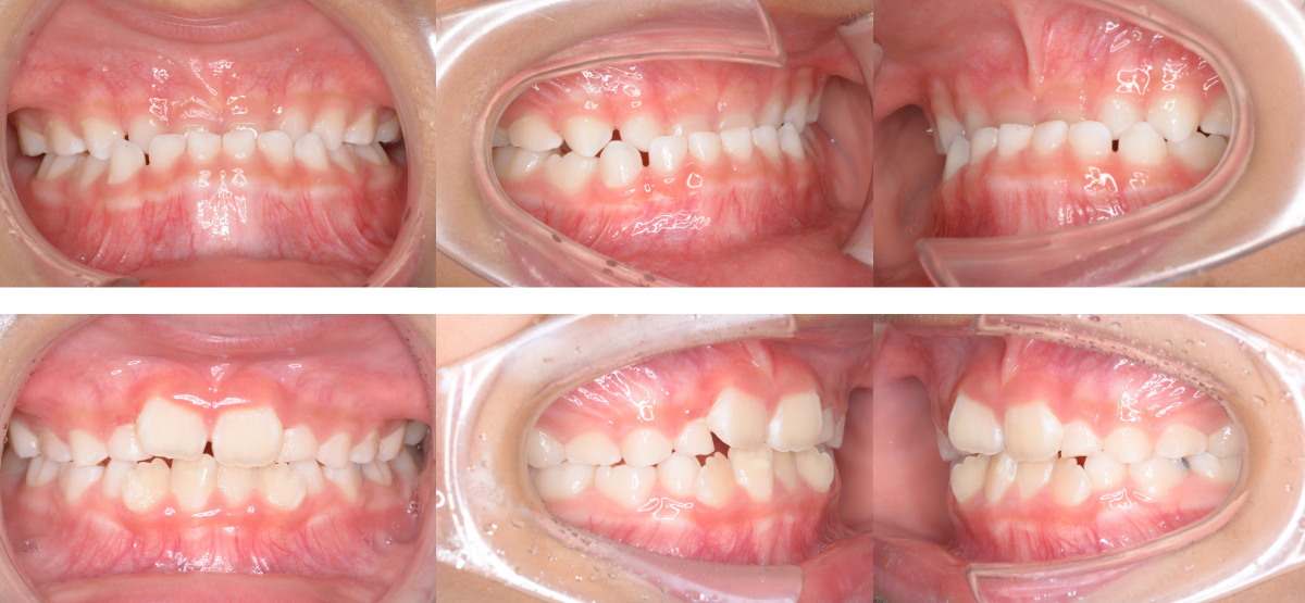
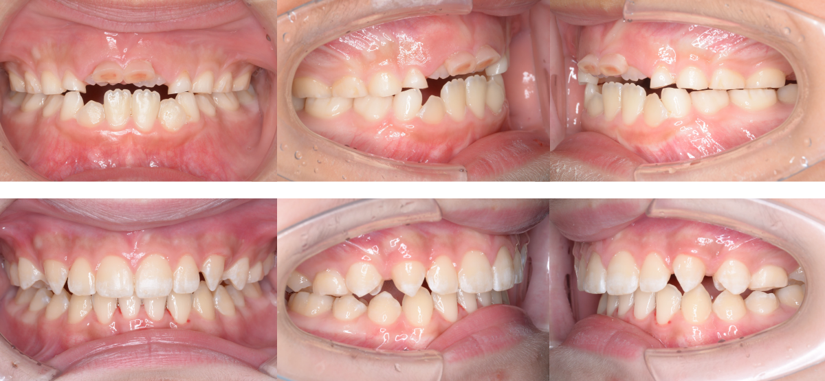
②乳歯の受け口の矯正治療例(4歳男児・治療期間3か月)

| 年齢・性別 | 4歳男児 |
| 治療期間 | 3か月 |
| 抜歯 | なし |
| 治療費 | 8万円(調整費、保定費まで含む総額制) |
| 備考 | プレオルソ |
| リスク・副作用 | 痛み・治療後の後戻り・歯根吸収・歯髄壊死・歯肉退縮 |
治療法はプレオルソで、治療期間は3か月です。
非抜歯で矯正治療を行い、キレイな歯並びになりました。
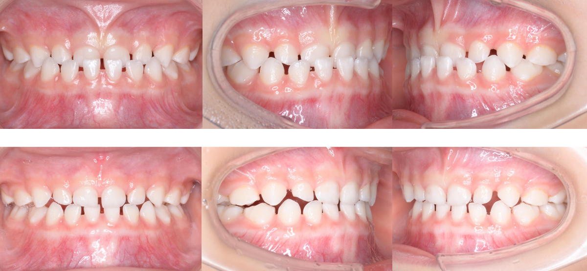
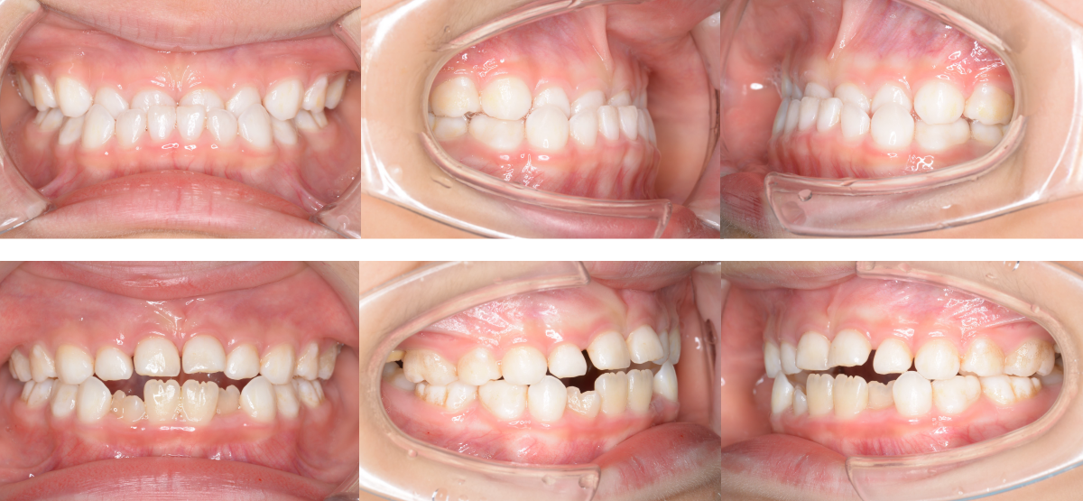
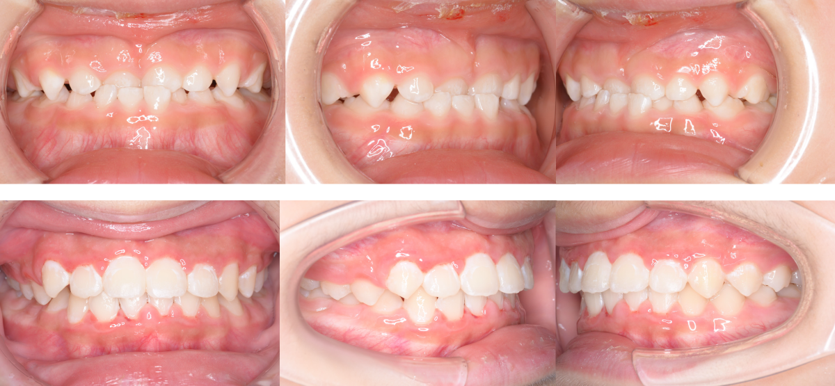
③乳歯の受け口の矯正治療例(4歳女児・治療期間2か月)

| 年齢・性別 | 4歳女児 |
| 治療期間 | 2か月 |
| 抜歯 | なし |
| 治療費 | 10万円(調整費、保定費まで含む総額制) |
| 備考 | プレオルソ |
| リスク・副作用 | 痛み・治療後の後戻り・歯根吸収・歯髄壊死・歯肉退縮 |
治療法はプレオルソで、治療期間は2か月です。
非抜歯で矯正治療を行い、キレイな歯並びになりました。
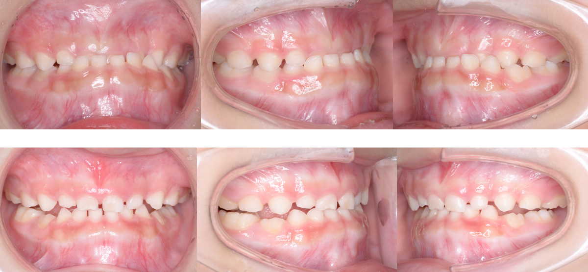
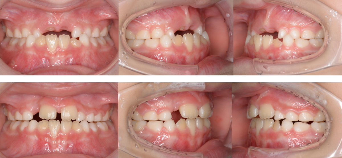
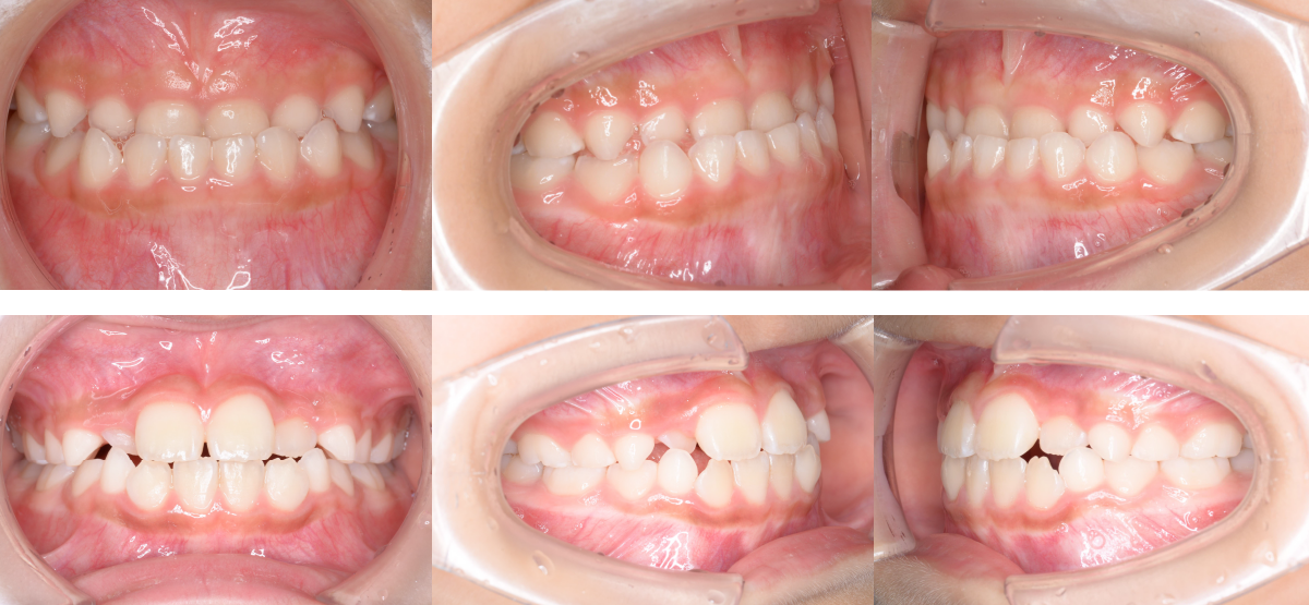
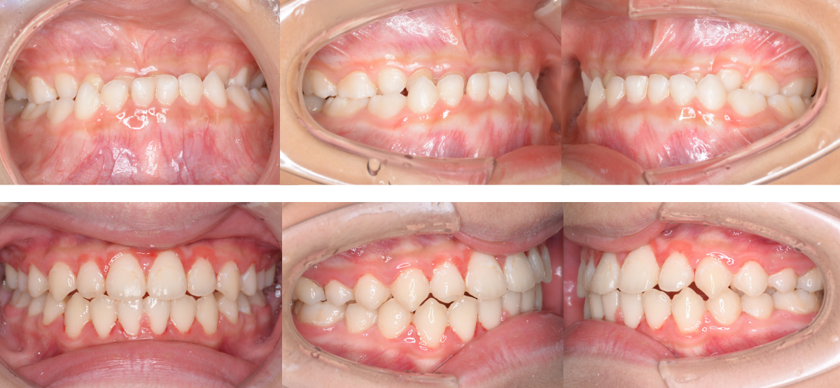
④乳歯の受け口の矯正治療例(5歳女児・治療期間2か月)

| 年齢・性別 | 5歳女児 |
| 治療期間 | 2か月 |
| 抜歯 | なし |
| 治療費 | 10万円(調整費、保定費まで含む総額制) |
| 備考 | プレオルソ |
| リスク・副作用 | 痛み・治療後の後戻り・歯根吸収・歯髄壊死・歯肉退縮 |
治療法はプレオルソで、治療期間は2か月です。
非抜歯で矯正治療を行い、キレイな歯並びになりました。
⑤乳歯の受け口の矯正治療例(4歳女児・治療期間2か月)

| 年齢・性別 | 4歳女児 |
| 治療期間 | 2か月 |
| 抜歯 | なし |
| 治療費 | 10万円(調整費、保定費まで含む総額制) |
| 備考 | プレオルソ |
| リスク・副作用 | 痛み・治療後の後戻り・歯根吸収・歯髄壊死・歯肉退縮 |
治療法はプレオルソで、治療期間は2か月です。
非抜歯で矯正治療を行い、キレイな歯並びになりました。
⑥乳歯の受け口の矯正治療例(6歳女児・治療期間2か月)

| 年齢・性別 | 6歳女児 |
| 治療期間 | 2か月 |
| 抜歯 | なし |
| 治療費 | 10万円(調整費、保定費まで含む総額制) |
| 備考 | プレオルソ |
| リスク・副作用 | 痛み・治療後の後戻り・歯根吸収・歯髄壊死・歯肉退縮 |
治療法はプレオルソで、治療期間は2か月です。
非抜歯で矯正治療を行い、キレイな歯並びになりました。
⑦乳歯の受け口の矯正治療例(6歳女児・治療期間3か月)

| 年齢・性別 | 6歳女児 |
| 治療期間 | 3か月 |
| 抜歯 | なし |
| 治療費 | 10万円(調整費、保定費まで含む総額制) |
| 備考 | プレオルソ |
| リスク・副作用 | 痛み・治療後の後戻り・歯根吸収・歯髄壊死・歯肉退縮 |
治療法はプレオルソで、治療期間は3か月です。
非抜歯で矯正治療を行い、キレイな歯並びになりました。
⑧乳歯の受け口の矯正治療例(4歳男児・治療期間1年6か月)

| 年齢・性別 | 4歳男児 |
| 治療期間 | 1年6か月 |
| 抜歯 | なし |
| 治療費 | 10万円(調整費、保定費まで含む総額制) |
| 備考 | プレオルソ |
| リスク・副作用 | 痛み・治療後の後戻り・歯根吸収・歯髄壊死・歯肉退縮 |
治療法はプレオルソで、治療期間は1年6か月です。
非抜歯で矯正治療を行い、キレイな歯並びになりました。
⑨乳歯の受け口の矯正治療例(7歳女児・治療期間6か月)

| 年齢・性別 | 7歳女児 |
| 治療期間 | 6か月 |
| 抜歯 | なし |
| 治療費 | 10万円(調整費、保定費まで含む総額制) |
| 備考 | プレオルソ |
| リスク・副作用 | 痛み・治療後の後戻り・歯根吸収・歯髄壊死・歯肉退縮 |
治療法はプレオルソで、治療期間は6か月です。
非抜歯で矯正治療を行い、キレイな歯並びになりました。
⑩乳歯の受け口の矯正治療例(6歳男児・治療期間1年6か月)

| 年齢・性別 | 6歳男児 |
| 治療期間 | 1年6か月 |
| 抜歯 | なし |
| 治療費 | 10万円(調整費、保定費まで含む総額制) |
| 備考 | プレオルソ |
| リスク・副作用 | 痛み・治療後の後戻り・歯根吸収・歯髄壊死・歯肉退縮 |
治療法はプレオルソで、治療期間は1年6か月です。
非抜歯で矯正治療を行い、キレイな歯並びになりました。
⑪乳歯の受け口の矯正治療例(5歳男児・治療期間1年)

| 年齢・性別 | 5歳男児 |
| 治療期間 | 1年 |
| 抜歯 | なし |
| 治療費 | 7万円(調整費、保定費まで含む総額制) |
| 備考 | プレオルソ |
| リスク・副作用 | 痛み・治療後の後戻り・歯根吸収・歯髄壊死・歯肉退縮 |
治療法はプレオルソで、治療期間は1年です。
非抜歯で矯正治療を行い、キレイな歯並びになりました。
⑫乳歯の受け口の矯正治療例(3歳男児・治療期間2年)

| 年齢・性別 | 3歳男児 |
| 治療期間 | 2年 |
| 抜歯 | なし |
| 治療費 | 5万円(調整費、保定費まで含む総額制) |
| 備考 | プレオルソ |
| リスク・副作用 | 痛み・治療後の後戻り・歯根吸収・歯髄壊死・歯肉退縮 |
治療法はプレオルソで、治療期間は2年です。
非抜歯で矯正治療を行い、キレイな歯並びになりました。
⑬乳歯の受け口の矯正治療例(5歳女児・治療期間2年)

| 年齢・性別 | 5歳女児 |
| 治療期間 | 2年 |
| 抜歯 | なし |
| 治療費 | 10万円(調整費、保定費まで含む総額制) |
| 備考 | プレオルソ |
| リスク・副作用 | 痛み・治療後の後戻り・歯根吸収・歯髄壊死・歯肉退縮 |
治療法はプレオルソで、治療期間は2年です。
非抜歯で矯正治療を行い、キレイな歯並びになりました。
⑭乳歯の受け口の矯正治療例(3歳男児・治療期間2年)

| 年齢・性別 | 3歳男児 |
| 治療期間 | 2年 |
| 抜歯 | なし |
| 治療費 | 8万円(調整費、保定費まで含む総額制) |
| 備考 | プレオルソ |
| リスク・副作用 | 痛み・治療後の後戻り・歯根吸収・歯髄壊死・歯肉退縮 |
治療法はプレオルソで、治療期間は2年です。
非抜歯で矯正治療を行い、キレイな歯並びになりました。
⑮乳歯の受け口の矯正治療例(7歳男児・治療期間2年)

| 年齢・性別 | 7歳男児 |
| 治療期間 | 2年 |
| 抜歯 | なし |
| 治療費 | 10万円(調整費、保定費まで含む総額制) |
| 備考 | プレオルソ |
| リスク・副作用 | 痛み・治療後の後戻り・歯根吸収・歯髄壊死・歯肉退縮 |
治療法はプレオルソで、治療期間は2年です。
非抜歯で矯正治療を行い、キレイな歯並びになりました。
⑯乳歯の受け口の矯正治療例(7歳男児・治療期間3か月)

| 年齢・性別 | 7歳男児 |
| 治療期間 | 3か月 |
| 抜歯 | なし |
| 治療費 | 10万円(調整費、保定費まで含む総額制) |
| 備考 | プレオルソ |
| リスク・副作用 | 痛み・治療後の後戻り・歯根吸収・歯髄壊死・歯肉退縮 |
治療法はプレオルソで、治療期間は3か月です。
非抜歯で矯正治療を行い、キレイな歯並びになりました。
⑰乳歯の受け口の矯正治療例(6歳男児・治療期間2年)

| 年齢・性別 | 6歳男児 |
| 治療期間 | 2年 |
| 抜歯 | なし |
| 治療費 | 10万円(調整費、保定費まで含む総額制) |
| 備考 | プレオルソ |
| リスク・副作用 | 痛み・治療後の後戻り・歯根吸収・歯髄壊死・歯肉退縮 |
治療法はプレオルソで、治療期間は2年です。
非抜歯で矯正治療を行い、キレイな歯並びになりました。
| 年齢・性別 | 4歳女児 |
| 治療期間 | 2か月 |
| 抜歯 | なし |
| 治療費 | 10万円(調整費、保定費まで含む総額制) |
| 備考 | プレオルソ |
| リスク・副作用 | 痛み・治療後の後戻り・歯根吸収・歯髄壊死・歯肉退縮 |
二子玉川で「乳歯の受け口」の矯正治療を受けたい方は「無料相談」へ

「二子玉川駅前矯正歯科」では、経験豊富な矯正認定医の資格を持つ矯正専門の矯正医が、責任を持って乳歯の受け口の治療を担当します。また、歯並びに関する「無料相談」や「セカンドオピニオン」も行っておりますので、二子玉川で乳歯の受け口の矯正治療をお考えの方は、お気軽にお電話をいただくか、メールでご相談ください。経験豊富な矯正認定医の資格を持つ矯正専門の矯正医が、より素晴らしい笑顔へと歯並び治療でお手伝いさせていただきます。
初診無料相談のご予約 / メール相談(初診用) / 資料請求




