すきっ歯の症状について

治療法:インビザライン / 非抜歯 / 治療期間:1年3か月 / 費用:50万円(調整費、保定費まで含む総額制) / リスク・副作用:痛み・治療後の後戻り・歯根吸収・歯髄壊死・歯肉退縮
すきっ歯(空隙歯列)は、食べ物が挟まりやすかったり、歯の動揺(歯が動く・歯が揺れる)などありますが、患者様のお悩みとしては審美的な部分が多くあります。
治療シミュレーション動画
すきっ歯(空隙歯列)の原因
すきっ歯(空隙歯列)は、歯が生えてきていない、歯の本数が足りない、骨の中に余分な歯が埋まっている、歯ぐきにあるスジ(小帯)が長いなどがあります。歯が噛むたびに揺さぶられるので、隙間はだんだんと開いていき、やがて歯が抜け落ちてしまうリスクもあります。
すきっ歯(空隙歯列)のリスク
通常、噛む力が隣の歯に分散します。しかし、すきっ歯(空隙歯列)の場合では、隣に寄り添う歯が無い(隙間があいている)ため、1本1本の歯が単独で噛む力を受け止めることになります。そのため、歯に過剰な力がかかり、揺さぶられます。釘を抜く時は揺さぶると抜きやすいのと同じく、すきっ歯(空隙歯列)も抜け落ちやすくなります。
すきっ歯(空隙歯列)の見た目について
すきっ歯(空隙歯列)では、上の歯の正中部の隙間が気になるという方が多くいらっしゃいます。
すきっ歯(空隙歯列)の治療
すきっ歯(空隙歯列)は、原因として、骨の中に歯が埋まっている、歯がまだ生えてきていない、小帯が長いなど、外科処置が必要になる場合があります。また舌の悪習癖が原因の場合には、筋機能療法を行いつつ、矯正治療を進めていきます。
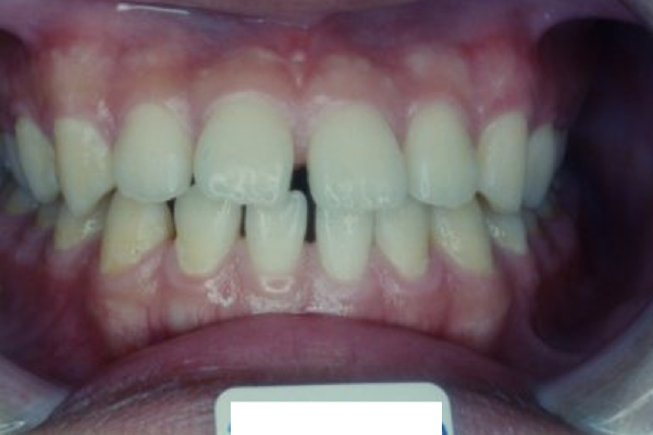
すきっ歯の治療前

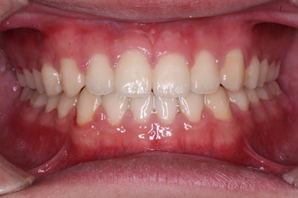
すきっ歯の治療後

すきっ歯(空隙歯列)の治療では、抜歯をすることは比較的少ない治療です。治療期間も比較的短くおよそ1~1.5年程度です。
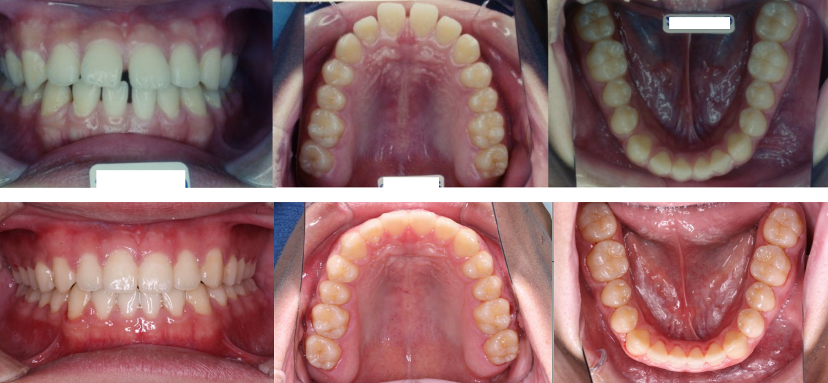
| 年齢・性別 | 10代男性 |
| 治療期間 | 1年3か月 |
| 抜歯 | なし |
| 治療費 | 50万円(調整費、保定費まで含む総額制) |
| 備考 | インビザライン |
| リスク・副作用 | 痛み・治療後の後戻り・歯根吸収・歯髄壊死・歯肉退縮 |
すきっ歯(空隙歯列)の治療例 ~ ビフォーアフターとご説明
①すきっ歯(空隙歯列)の矯正治療例(10代男性・治療期間1年3か月)

| 年齢・性別 | 10代男性 |
| 治療期間 | 1年3か月 |
| 抜歯 | なし |
| 治療費 | 50万円(調整費、保定費まで含む総額制) |
| 備考 | インビザライン |
| リスク・副作用 | 痛み・治療後の後戻り・歯根吸収・歯髄壊死・歯肉退縮 |
| 年齢・性別 | 10代男性 |
| 治療期間 | 1年3か月 |
| 抜歯 | なし |
| 治療費 | 50万円(調整費、保定費まで含む総額制) |
| 備考 | インビザライン |
| リスク・副作用 | 痛み・治療後の後戻り・歯根吸収・歯髄壊死・歯肉退縮 |
二子玉川で「すきっ歯(空隙歯列)」の矯正治療を受けたい方は「無料相談」へ

「二子玉川駅前矯正歯科」では、経験豊富な矯正認定医の資格を持つ矯正専門の矯正医が、責任を持ってすきっ歯(空隙歯列)の治療を担当します。また、歯並びに関する「無料相談」や「セカンドオピニオン」も行っておりますので、二子玉川ですきっ歯(空隙歯列)の矯正治療をお考えの方は、お気軽にお電話をいただくか、メールでご相談ください。経験豊富な矯正認定医の資格を持つ矯正専門の矯正医が、より素晴らしい笑顔へと歯並び治療でお手伝いさせていただきます。
初診無料相談のご予約 / メール相談(初診用) / 資料請求



