40代で始める矯正治療について

治療法:インビザライン / 非抜歯 / 治療期間:1年2か月 / 費用:50万円(調整費、保定費まで含む総額制) / リスク・副作用:痛み・治療後の後戻り・歯根吸収・歯髄壊死・歯肉退縮
40代になると、仕事も充実し、家族のことも、経済的にも安定してくるなど、自身の健康や美容を見つめなおす時期でもあります。40代で矯正治療を始めることは、人生の新しいスタートを切る素晴らしい機会といえます。
年齢で矯正治療を諦める必要はありません
「年齢的に、矯正治療なんて今さら手遅れなのではないか…」と心配されている方は少なくありません。実際、歯周病が進行してしまっている場合など、口腔内の問題によっては歯を動かすことが難しい場合があります。しかし、基本的に健康な歯茎と歯を支える歯槽骨があれば、年齢関係なく矯正治療は可能です。「もっと綺麗になりたい」「自分の歯で一生おいしく食べたい」というお気持ちを、年齢のことで諦める必要はないのです。まずは二子玉川駅前矯正歯科までご相談下さい。
40代で治療を開始するケースとは
40代になり、歯列矯正を始めようとお考えの方で、様々なケースがありますが、いくつかの共通する項目もあります。
- 40代になり、自身の健康や美容を見つめなおさなければならないと思った。
- これまでは忙しくてお口のことを考える余裕が無かったが余裕が出てきた。
- 40代であれば、矯正治療もまだ間に合うのかなと気になった。
このように「今ならできる」「今なら間に合うのか」といったことでご不安やご質問を抱えられている方が少なくありません。もちろんお一人おひとり口腔内の状態は異なりますので、検査してからでなくては言えない部分もありますが、40代からの矯正治療は「決して遅いということはない」「治療をスタートする方がたくさんいる」ということがいえます。「若い時に矯正治療をしておけばよかった。」とお考えの方も多くいらっしゃいますが、思い立ったこの機会に是非ご相談下さい。
40代で治療を開始することができるメリットとは
人生80年90年と寿命が延びた今、40代は「折り返し地点前」といえます。この時期に矯正治療を受けるメリットとして様々なものがありますが、代表的なものとして主に以下のようなものがあげられます。
- 歯周病のリスク低減
- 良く噛むことができるようになり胃腸への負担も軽減
- まだ人生折り返し地点前で長年のコンプレックスを解消
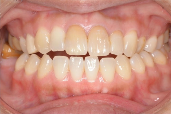
治療前

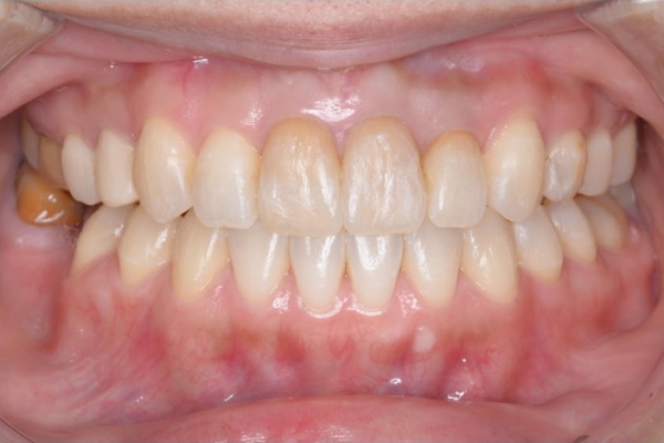
治療後

40代でも歯並びがしっかり整っています。治療後の方が印象は断然良くなっており、患者様の長年のコンプレックスも解消されたといえるでしょう。治療前には自信の無かった笑顔が、治療後には自信をもって笑顔になれるよう好転したのです。
| 年齢・性別 | 40代女性 |
| 治療期間 | 1年2か月 |
| 抜歯 | なし |
| 治療費 | 50万円(調整費、保定費まで含む総額制) |
| 備考 | インビザライン |
| リスク・副作用 | 痛み・治療後の後戻り・歯根吸収・歯髄壊死・歯肉退縮 |
40代の矯正治療例 ~ ビフォーアフターとご説明
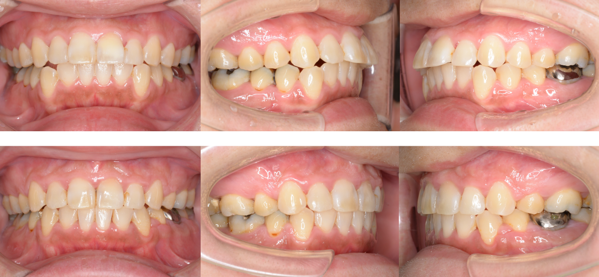
①40代の矯正治療例(40代女性・治療期間1年2か月)

| 年齢・性別 | 40代女性 |
| 治療期間 | 1年2か月 |
| 抜歯 | なし |
| 治療費 | 50万円(調整費、保定費まで含む総額制) |
| 備考 | インビザライン |
| リスク・副作用 | 痛み・治療後の後戻り・歯根吸収・歯髄壊死・歯肉退縮 |
治療期間は1年2か月です。
非抜歯で矯正治療を行い、キレイな歯並びになりました。
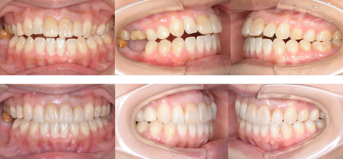
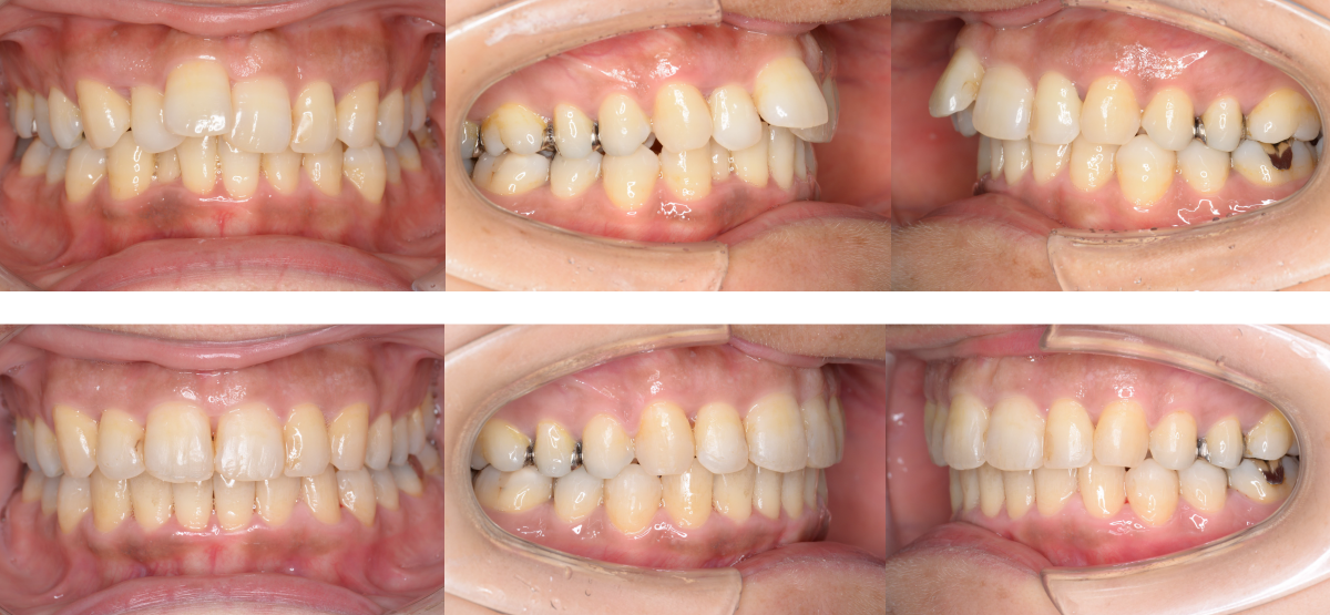
②40代の矯正治療例(40代女性・治療期間2年3か月)

| 年齢・性別 | 40代女性 |
| 治療期間 | 2年3か月 |
| 抜歯 | 上1本、下2本(小臼歯) |
| 治療費 | 35万円(調整費、保定費まで含む総額制) |
| 備考 | 上下とも裏側矯正 |
| リスク・副作用 | 痛み・治療後の後戻り・歯根吸収・歯髄壊死・歯肉退縮 |
治療期間は2年3か月です。
3本抜歯で矯正治療を行い、キレイな歯並びになりました。
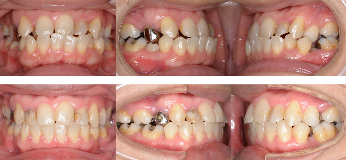
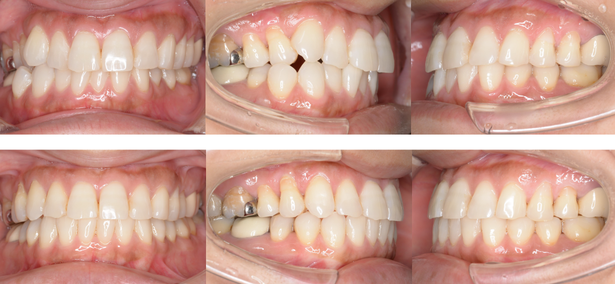
③40代の矯正治療例(40代女性・治療期間2年1か月)

| 年齢・性別 | 40代女性 |
| 治療期間 | 2年1か月 |
| 抜歯 | 上2本、下2本(小臼歯) |
| 治療費 | 100万円(調整費、保定費まで含む総額制) |
| 備考 | 上下とも裏側矯正 |
| リスク・副作用 | 痛み・治療後の後戻り・歯根吸収・歯髄壊死・歯肉退縮 |
治療期間は2年1か月です。
4本抜歯で矯正治療を行い、キレイな歯並びになりました。
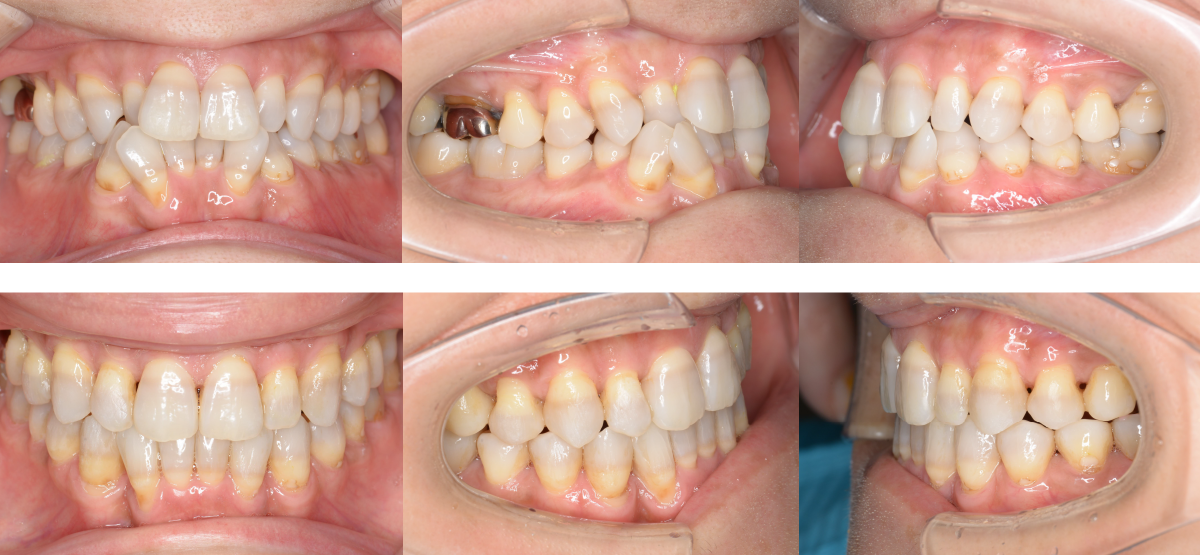
④40代の矯正治療例(40代女性・治療期間1年1か月)

| 年齢・性別 | 40代女性 |
| 治療期間 | 1年1か月 |
| 抜歯 | なし |
| 治療費 | 50万円(調整費、保定費まで含む総額制) |
| 備考 | インビザライン |
| リスク・副作用 | 痛み・治療後の後戻り・歯根吸収・歯髄壊死・歯肉退縮 |
治療期間は1年1か月です。
非抜歯で矯正治療を行い、キレイな歯並びになりました。
⑤40代の矯正治療例(40代女性・治療期間1年9か月)

| 年齢・性別 | 40代女性 |
| 治療期間 | 1年9か月 |
| 抜歯 | なし |
| 治療費 | 99万円(調整費、保定費まで含む総額制) |
| 備考 | 上下とも裏側矯正 |
| リスク・副作用 | 痛み・治療後の後戻り・歯根吸収・歯髄壊死・歯肉退縮 |
治療期間は1年9か月です。
非抜歯にて右側の側方クロスバイトも綺麗に改善されました。
⑥40代の矯正治療例(40代女性・治療期間2年1か月)

| 年齢・性別 | 40代女性 |
| 治療期間 | 2年1か月 |
| 抜歯 | なし |
| 治療費 | 80万円(調整費、保定費まで含む総額制) |
| 備考 | インビザライン |
| リスク・副作用 | 痛み・治療後の後戻り・歯根吸収・歯髄壊死・歯肉退縮 |
治療期間は2年1か月です。
非抜歯で矯正治療を行い、キレイな歯並びになりました。
| 年齢・性別 | 40代女性 |
| 治療期間 | 1年2か月 |
| 抜歯 | なし |
| 治療費 | 50万円(調整費、保定費まで含む総額制) |
| 備考 | インビザライン |
| リスク・副作用 | 痛み・治療後の後戻り・歯根吸収・歯髄壊死・歯肉退縮 |
40代から矯正治療を受けたい方は「無料相談」へ

「二子玉川駅前矯正歯科」では、経験豊富な矯正認定医の資格を持つ矯正専門の矯正医が、責任を持って40代の方の治療を担当します。また、歯並びに関する「無料相談」や「セカンドオピニオン」も行っておりますので、二子玉川で40代から矯正治療をお考えの方は、お気軽にお電話をいただくか、メールでご相談ください。経験豊富な矯正認定医の資格を持つ矯正専門の矯正医が、より素晴らしい笑顔へと歯並び治療でお手伝いさせていただきます。
初診無料相談のご予約 / メール相談(初診用) / 資料請求




