八重歯の治療例の症状について

治療法:インビザライン/治療期間:1年9か月/費用:50万/リスク・副作用:痛み・治療後の後戻り・歯根吸収・歯髄壊死・歯肉退縮
八重歯(犬歯突出)とは、犬歯が歯列の外にはみ出した状態で、叢生の一種です。犬歯は歯の根の部分が長く、噛み合わせにとっては要(かなめ)の歯で、犬歯が食べ物をすり潰すなど、顎をずらしたときの衝撃を受け止めるという大切な役割を果たしますが、この犬歯が外にはみ出していることで他の歯に過剰な負担がかかることにもつながります。
八重歯(犬歯突出)になる原因
八重歯(犬歯突出)になる主な原因は大きく3つにわけられます。
- 顎の成長が不十分で、歯が生え揃うスペースが足りず、犬歯がはみ出てしまう。
- 顎の大きさと歯の大きさがアンバランスになり、犬歯がはみ出てしまう。
- 乳歯が抜けるのが遅かったため、永久歯が外側に向かって生えてきてしまい、結果として犬歯がはみ出てしまう。
などです。このような原因によって八重歯(犬歯突出)となります。
八重歯(犬歯突出)になると・・・
叢生と同様、八重歯(犬歯突出)によって、歯の清掃性が悪くなり、磨き残しが多くなってしまいます。
それによって、虫歯や歯周病のリスクが上がってきます。また、噛み合わせが正常ではないため、前歯や奥歯への負担が過剰になることもあります。
審美的に問題を感じやすくなる
八重歯(犬歯突出)を治したい方の最も多い理由は審美的な問題です。日本ではかわいいなどといわれることもありますが、八重歯(犬歯突出)の方は、ご自身で八重歯(犬歯突出)の歯並びを気にされ、他人に歯を見られることを好まないケースが多く、そのために笑顔に自信が持てなくなってしまっている場合もあります。
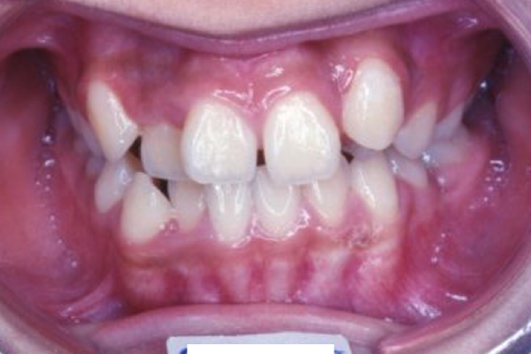
八重歯の笑顔

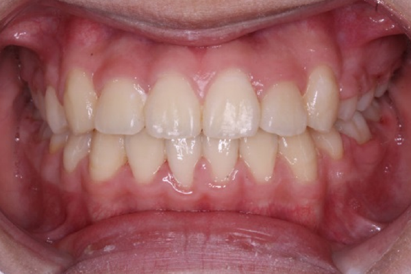
八重歯改善後の笑顔

治療前は上唇が上がり、歯茎が多く見えていますが、治療後は上唇が丁度良い位置まで下がり、歯茎が見えなくなり歯の露出度が適度になっています。治療後の方が印象は断然良くなっており、患者様のコンプレックスが解消されたといえるでしょう。治療前には自信の無かった笑顔が、治療後には自信をもって笑顔になれるよう好転したのです。
| 年齢・性別 | 10代女性 |
| 治療期間 | 1年9か月 |
| 抜歯 | 上1本、下1本(小臼歯)、左上乳犬歯 |
| 治療費 | 50万円(調整費、保定費まで含む総額制) |
| 備考 | インビザライン |
| リスク・副作用 | 痛み・治療後の後戻り・歯根吸収・歯髄壊死・歯肉退縮 |
八重歯(犬歯突出)の治療
八重歯(犬歯突出)の治療では、叢生と同様、症状が重い方は、先に側方の歯を並べて前歯の並ぶスペースを作り、その後に前歯を並べるといったケースもあります。八重歯(犬歯突出)の治療では抜歯矯正になるケースも少なくありませんが、その際は、八重歯(犬歯突出)の方の多くは多数のむし歯治療をされていることが多いため、歯の神経を抜いていたり、大きな被せ物をしていたりする歯を優先的に選びます。またインプラント矯正を行うことで、非抜歯で治療を行うことも可能なケースもあります。治療期間は早い方で1年以内、通常は1.5~2.5年程度になります。
八重歯(犬歯突出)の治療例 ~ ビフォーアフターとご説明
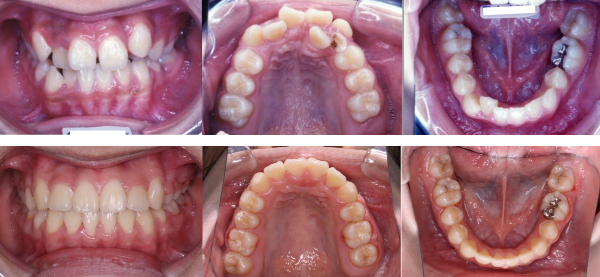
①八重歯(犬歯突出)の矯正治療例(10代女性・治療期間1年9か月)

| 年齢・性別 | 10代女性 |
| 治療期間 | 1年9か月 |
| 抜歯 | 上1本、下1本(小臼歯)、左上乳犬歯 |
| 治療費 | 50万円(調整費、保定費まで含む総額制) |
| 備考 | インビザライン |
| リスク・副作用 | 痛み・治療後の後戻り・歯根吸収・歯髄壊死・歯肉退縮 |
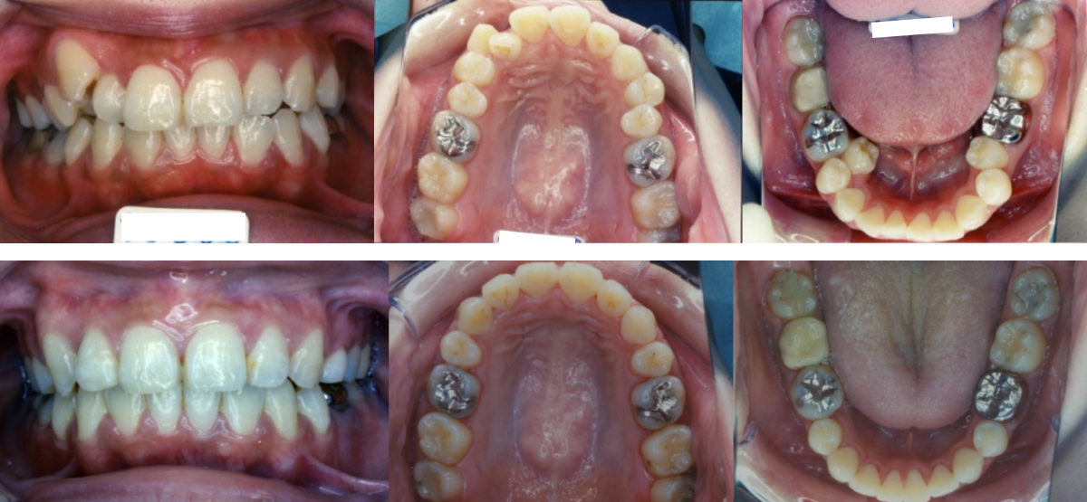
②八重歯(犬歯突出)の矯正治療例(20代女性・治療期間2年1か月)

| 年齢・性別 | 20代女性 |
| 治療期間 | 2年1か月 |
| 抜歯 | 上2本、下2本(小臼歯) |
| 治療費 | 100万円(調整費、保定費まで含む総額制) |
| 備考 | 裏側矯正 |
| リスク・副作用 | 痛み・治療後の後戻り・歯根吸収・歯髄壊死・歯肉退縮 |
| 年齢・性別 | 10代女性 |
| 治療期間 | 1年9か月 |
| 抜歯 | 上1本、下1本(小臼歯)、左上乳犬歯 |
| 治療費 | 50万円(調整費、保定費まで含む総額制) |
| 備考 | インビザライン |
| リスク・副作用 | 痛み・治療後の後戻り・歯根吸収・歯髄壊死・歯肉退縮 |
二子玉川で「八重歯(犬歯突出)」の矯正治療を受けたい方は「無料相談」へ

「二子玉川駅前矯正歯科」では、経験豊富な矯正認定医の資格を持つ矯正専門の矯正医が、責任を持って八重歯(犬歯突出)の治療を担当します。また、歯並びに関する「無料相談」や「セカンドオピニオン」も行っておりますので、二子玉川で八重歯(犬歯突出)の矯正治療をお考えの方は、お気軽にお電話をいただくか、メールでご相談ください。経験豊富な矯正認定医の資格を持つ矯正専門の矯正医が、より素晴らしい笑顔へと歯並び治療でお手伝いさせていただきます。
| 年齢・性別 | 10代女性 |
| 治療期間 | 1年9か月 |
| 抜歯 | 上1本、下1本(小臼歯)、左上乳犬歯 |
| 治療費 | 50万円(調整費、保定費まで含む総額制) |
| 備考 | インビザライン |
| リスク・副作用 | 痛み・治療後の後戻り・歯根吸収・歯髄壊死・歯肉退縮 |
初診無料相談のご予約 / メール相談(初診用) / 資料請求




