埋伏歯の症状について

治療法:上下とも裏側矯正 / 非抜歯 / 治療期間:1年11か月 / 費用:80万円(調整費、保定費まで含む総額制) / リスク・副作用:痛み・治療後の後戻り・歯根吸収・歯髄壊死・歯肉退縮
埋伏歯(埋まっている歯)は通常、口腔内で正常な位置に収まるべき歯が、歯肉や骨の下に埋もれてしまっている状態を指します。埋伏歯が放置されると、歯の先が欠けたり磨耗したりする可能性があります。また、埋伏歯の周りの歯茎や骨に炎症や感染が生じることもあります。
埋伏歯(埋まっている歯)の原因
埋伏歯(埋まっている歯)の主な原因には下記のようなものがあります。
- 歯の発育や成長の問題 … 歯が正常な位置に成長することなく、歯肉や骨の下に埋もれてしまう場合があります。これは、歯の発育や成長に関わる遺伝的な要因や環境的な要因によるものがあります。
- スペースの不足 … 口腔内に十分なスペースがないため、歯が正常な位置に収まることができず、埋伏歯となる場合があります。他の歯の配置や大きさ、顎の発育などが関係することがあります。
- 障害物の存在 … 歯の成長や移動を妨げる障害物が存在する場合、埋伏歯が生じることがあります。嚢胞や腫瘍、隣接する歯の位置異常などが埋伏歯の原因となることがあります。
などです。このような原因によって埋伏歯(埋まっている歯)となります。
埋伏歯(埋まっている歯)になると・・・
埋伏歯(埋まっている歯)を放置すると、以下のようなリスクが生じる可能性があります。
- 咬合の問題 … 埋伏歯が正常な位置に収まっていないため、咬合(かみあわせ)に問題が生じることがあります。これにより、咬合力が不均等に分散され、周囲の歯や顎に過剰な圧力がかかる可能性があります。
- 歯の損傷 … 埋伏歯が周囲の歯に接触している場合、摩擦や咬合の影響で歯の先端が欠けたり、磨耗したりすることがあります。長期間にわたって放置されると、歯の損傷が進行する可能性があります。
- 炎症や感染 … 埋伏歯が歯茎や周囲の組織に圧迫をかけたり、歯垢や食物のたまり場となったりすると、炎症や感染が生じるリスクがあります。これにより、歯茎の腫れや痛み、歯周炎などの状態が発生する可能性があります。
- 咬合不安定性 … 埋伏歯の影響により、正常な咬合の安定性が損なわれることがあります。これにより、噛み合わせの不快感や咬合のバランスの崩れなどが生じる可能性があります。
埋伏歯(埋まっている歯)の治療
埋伏歯の矯正治療は、埋もれている歯を正しい位置に移動させ、咬合や口腔健康を回復する治療法です。乳歯が残っている場合は乳歯の抜歯をしたり、矯正装置を使用して歯を引っ張り、移動させる治療が行われます。埋伏歯の治療は、早期発見と定期的な歯科検診が重要です。この治療により、歯列の発育や咬合の安定性が改善されます。
埋伏歯(埋まっている歯)の治療例 ~ ビフォーアフターとご説明
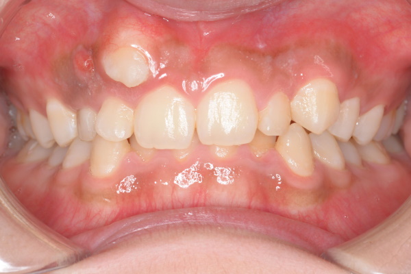
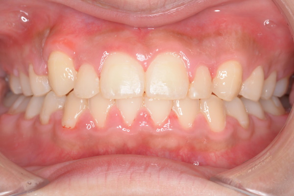
①埋伏歯(埋まっている歯)の矯正治療例(女子学生・治療期間1年11か月)

| 年齢・性別 | 女子学生 |
| 治療期間 | 1年11か月 |
| 抜歯 | なし |
| 治療費 | 80万円(調整費、保定費まで含む総額制) |
| 備考 | 上下とも裏側矯正、非抜歯 |
| リスク・副作用 | 痛み・治療後の後戻り・歯根吸収・歯髄壊死・歯肉退縮 |
治療法は上下とも裏側矯正で、治療期間は1年11か月です。
右上の乳犬歯を抜歯して、永久歯は非抜歯で治療を行いました。
②埋伏歯(埋まっている歯)の矯正治療例(30代男性・治療期間1年2か月)

| 年齢・性別 | 30代男性 |
| 治療期間 | 1年2か月 |
| 抜歯 | なし |
| 治療費 | 20万円(調整費、保定費まで含む総額制) |
| 備考 | 裏側部分矯正、非抜歯 |
| リスク・副作用 | 痛み・治療後の後戻り・歯根吸収・歯髄壊死・歯肉退縮 |
治療法は部分矯正(プチ矯正)で、治療期間は1年2か月です。
非抜歯で矯正治療を行い、キレイな歯並びになりました。
| 年齢・性別 | 女子学生 |
| 治療期間 | 1年11か月 |
| 抜歯 | なし |
| 治療費 | 80万円(調整費、保定費まで含む総額制) |
| 備考 | 上下とも裏側矯正、非抜歯 |
| リスク・副作用 | 痛み・治療後の後戻り・歯根吸収・歯髄壊死・歯肉退縮 |
二子玉川で「埋伏歯(埋まっている歯)」の矯正治療を受けたい方は「無料相談」へ

「二子玉川駅前矯正歯科」では、経験豊富な矯正認定医の資格を持つ矯正専門の矯正医が、責任を持って埋伏歯(埋まっている歯)の治療を担当します。また、歯並びに関する「無料相談」や「セカンドオピニオン」も行っておりますので、二子玉川で埋伏歯(埋まっている歯)の矯正治療をお考えの方は、お気軽にお電話をいただくか、メールでご相談ください。経験豊富な矯正認定医の資格を持つ矯正専門の矯正医が、より素晴らしい笑顔へと歯並び治療でお手伝いさせていただきます。
初診無料相談のご予約 / メール相談(初診用) / 資料請求





