インビザライン(非抜歯での治療例)について

治療法:インビザライン / 非抜歯 / 治療期間:1年10か月 / 費用:50万円(調整費、保定費まで含む総額制) / リスク・副作用:痛み・治療後の後戻り・歯根吸収・歯髄壊死・歯肉退縮
矯正治療に抜歯はつきものと考える時代ではありません。マウスピース矯正は非抜歯矯正に強いという特徴があります。最終的な口元の仕上がりを相談しながら、非抜歯か抜歯かを選択していきましょう。
インビザラインで行う非抜歯矯正
意外と知られていないのが、インビザラインによるマウスピース矯正は、インビザラインは歯を後ろに動かすことに適しており、そのことが歯の並ぶスペースを作ることにつながり、 非抜歯の矯正治療がしやすいという特徴があります。これまでの歯列矯正では歯の並ぶスペースを作るために、歯を抜くという方法がとられてきました。しかしインビザラインによるマウスピース矯正では、非抜歯で治療ができてしまうことが多いのです。
非抜歯矯正のメリット
非抜歯矯正治療の主なメリットは、文字通り、歯を抜かずに治療が行えることに尽きます。通常、抜歯では麻酔が必要で、痛みを感じづらくなりますが、麻酔が切れた後に強い痛みを経験することもあります。非抜歯矯正ではこのような痛みや精神的なストレスはありません。
非抜歯矯正のリスク
非抜歯矯正のデメリットとしては、歯並びの改善が抜歯をせずにできる一方で、口元の突出感(口ゴボ)の改善ができない場合があります。そのため、仕上がりのことをよく相談の上、非抜歯か抜歯かを選択することが大切です。
インビザラインで非抜歯での治療の例
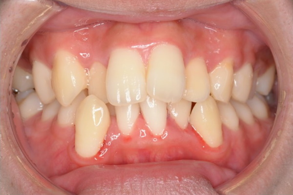
治療前

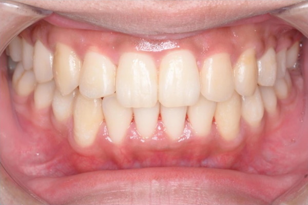
治療後

インビザラインは誰が治療しても同じというわけではありません。非抜歯での治療の成功も、矯正医の技量に左右される面があります。
| 年齢・性別 | 20代男性 |
| 治療期間 | 1年10か月 |
| 抜歯 | なし |
| 治療費 | 50万円(調整費、保定費まで含む総額制) |
| 備考 | インビザライン |
| リスク・副作用 | 痛み・治療後の後戻り・歯根吸収・歯髄壊死・歯肉退縮 |
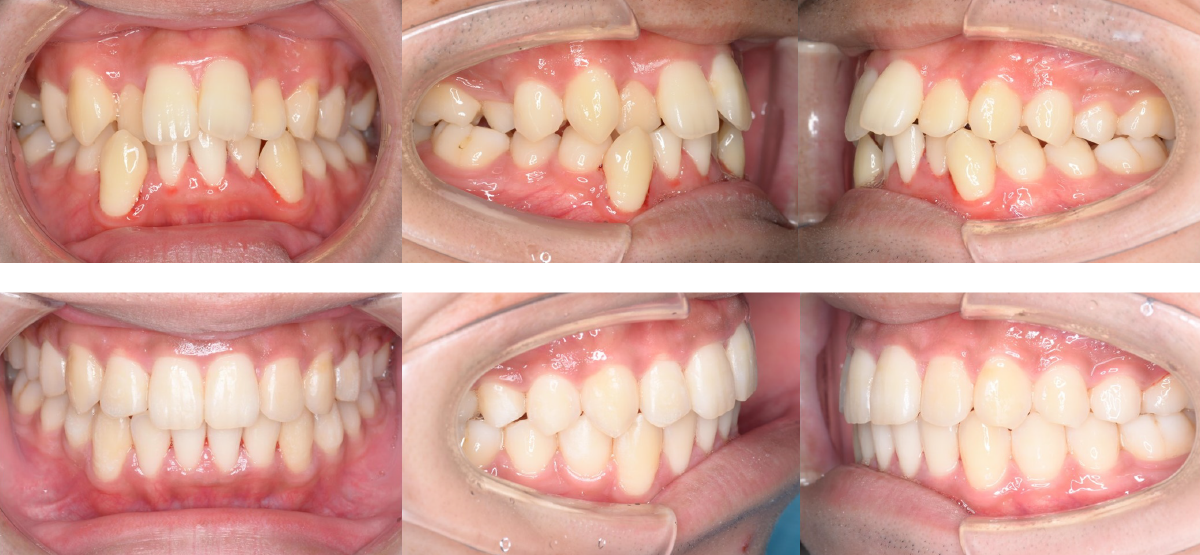
インビザライン(非抜歯での治療例) ~ ビフォーアフターとご説明
①インビザライン(非抜歯での治療例)の矯正治療例(20代男性・治療期間1年10か月)

| 年齢・性別 | 20代男性 |
| 治療期間 | 1年10か月 |
| 抜歯 | なし |
| 治療費 | 50万円(調整費、保定費まで含む総額制) |
| 備考 | インビザライン |
| リスク・副作用 | 痛み・治療後の後戻り・歯根吸収・歯髄壊死・歯肉退縮 |
治療期間は1年10か月です。
非抜歯で矯正治療を行い、キレイな歯並びになりました。
| 年齢・性別 | 20代男性 |
| 治療期間 | 1年10か月 |
| 抜歯 | なし |
| 治療費 | 50万円(調整費、保定費まで含む総額制) |
| 備考 | インビザライン |
| リスク・副作用 | 痛み・治療後の後戻り・歯根吸収・歯髄壊死・歯肉退縮 |
二子玉川で「インビザライン(非抜歯での治療)」の矯正治療を受けたい方は「無料相談」へ

「二子玉川駅前矯正歯科」では、経験豊富な矯正認定医の資格を持つ矯正専門の矯正医が、責任を持ってインビザライン(非抜歯での治療)を担当します。また、歯並びに関する「無料相談」や「セカンドオピニオン」も行っておりますので、二子玉川でインビザライン(非抜歯での治療)をお考えの方は、お気軽にお電話をいただくか、メールでご相談ください。経験豊富な矯正認定医の資格を持つ矯正専門の矯正医が、より素晴らしい笑顔へと歯並び治療でお手伝いさせていただきます。
初診無料相談のご予約 / メール相談(初診用) / 資料請求


