交叉咬合の症状について

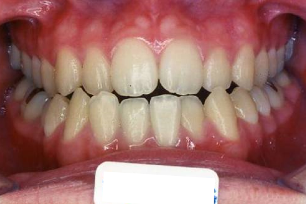
治療法:インビザライン / 非抜歯 / 治療期間:2年2か月 / 費用:50万円(調整費、保定費まで含む総額制) / リスク・副作用:痛み・治療後の後戻り・歯根吸収・歯髄壊死・歯肉退縮
交叉咬合(すれ違い)は、上の歯が下の歯に被さるのが正常な歯並びですが、歯並びの途中で交叉してしまっている状態をいいます。一般的には、上の奥歯が下の奥歯の内側に入ってしまっている状態です。
交叉咬合(すれ違い)になる原因
交叉咬合(すれ違い)になる主な原因は大きく3つにわけられます。
- 永久歯が生える際に、生える位置が悪くて交叉してしまう場合。
- いつも同じ側に頬杖をつくなどの外力や、おしゃぶりの長期使用、指しゃぶり、口呼吸が原因で起こる場合。
- 遺伝的に、あごの成長にアンバランスが起こることで生じる場合。
などです。このような原因によって交叉咬合(すれ違い)となります。
交叉咬合(すれ違い)になると・・・
成長期に交叉咬合(すれ違い)の状態になると、顎の成長が正常に行われなくなるリスクがあります。顎がずれて成長してしまい、顔が歪んでしまうこともあります。また、下顎がスムーズに動かしにくくなるため、顎関節に負担がかかり、顎関節症を起こしやすくなります。
審美的に問題を感じやすくなる
交叉咬合(すれ違い)を治したい方の最も多い理由は審美的な問題です。交叉咬合(すれ違い)の方は、顔が歪んでしまった場合には、見た目の深刻なコンプレックスに悩まされることもあります。
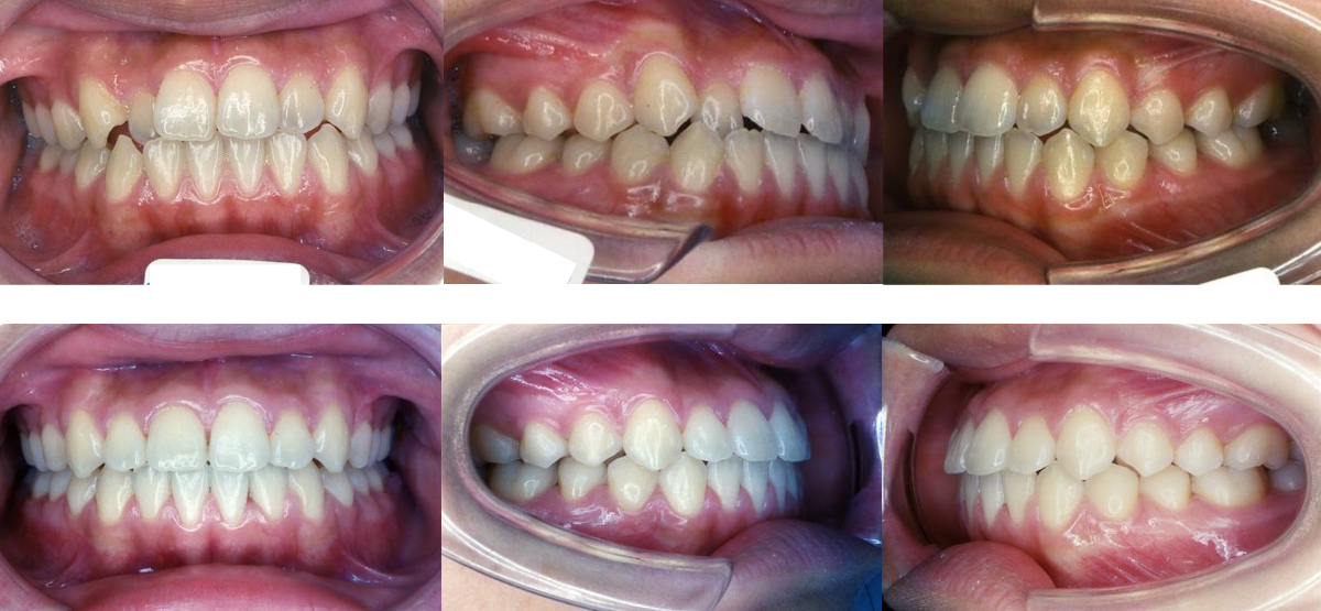
交叉咬合の治療前

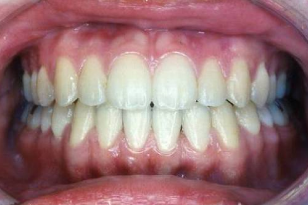
交叉咬合の治療後

治療後の方が印象は断然良くなっており、患者様のコンプレックスが解消されたといえるでしょう。治療前には自信の無かった笑顔が、治療後には自信をもって笑顔になれるよう好転したのです。
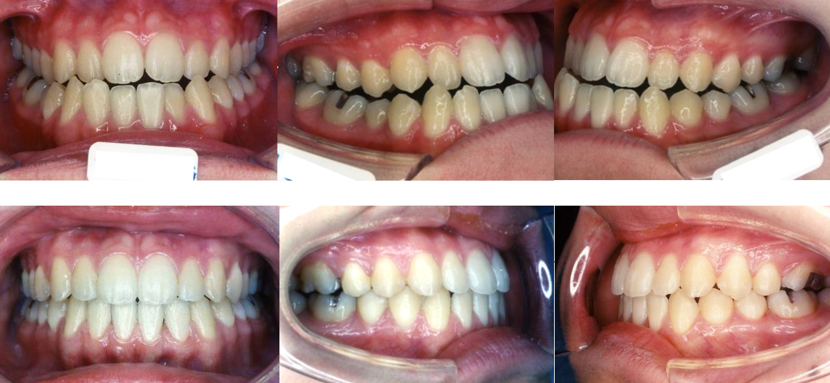
| 年齢・性別 | 10代女性 |
| 治療期間 | 2年2か月 |
| 抜歯 | なし |
| 治療費 | 50万円(調整費、保定費まで含む総額制) |
| 備考 | インビザライン |
| リスク・副作用 | 痛み・治療後の後戻り・歯根吸収・歯髄壊死・歯肉退縮 |
交叉咬合(すれ違い)の治療
交叉咬合(すれ違い)の治療法として、治療する年齢、お口の状態などによっても適する治療法が変わってきますので、詳しくはご相談ください。
交叉咬合(すれ違い)の治療例 ~ ビフォーアフターとご説明
①交叉咬合(すれ違い)の矯正治療例(10代女性・治療期間2年2か月)

| 年齢・性別 | 10代女性 |
| 治療期間 | 2年2か月 |
| 抜歯 | なし |
| 治療費 | 50万円(調整費、保定費まで含む総額制) |
| 備考 | インビザライン |
| リスク・副作用 | 痛み・治療後の後戻り・歯根吸収・歯髄壊死・歯肉退縮 |
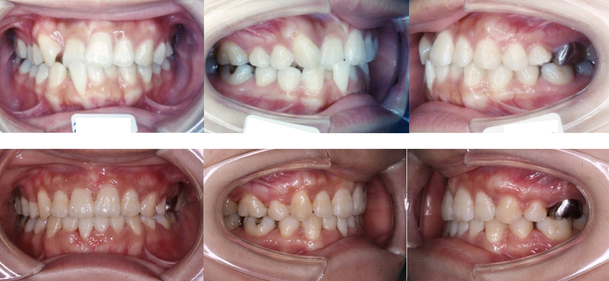
②交叉咬合(すれ違い)の矯正治療例(20代女性・治療期間2年5か月)

| 年齢・性別 | 20代女性 |
| 治療期間 | 2年5か月 |
| 抜歯 | 上2本、下2本(小臼歯) |
| 治療費 | 100万円(調整費、保定費まで含む総額制) |
| 備考 | 裏側矯正 |
| リスク・副作用 | 痛み・治療後の後戻り・歯根吸収・歯髄壊死・歯肉退縮 |
③交叉咬合(すれ違い)の矯正治療例(10代女性・治療期間1年)

| 年齢・性別 | 10代女性 |
| 治療期間 | 1年 |
| 抜歯 | なし |
| 治療費 | 50万円(調整費、保定費まで含む総額制) |
| 備考 | インビザライン |
| リスク・副作用 | 痛み・治療後の後戻り・歯根吸収・歯髄壊死・歯肉退縮 |
| 年齢・性別 | 10代女性 |
| 治療期間 | 2年2か月 |
| 抜歯 | なし |
| 治療費 | 50万円(調整費、保定費まで含む総額制) |
| 備考 | インビザライン |
| リスク・副作用 | 痛み・治療後の後戻り・歯根吸収・歯髄壊死・歯肉退縮 |
二子玉川で「交叉咬合(すれ違い)」の矯正治療を受けたい方は「無料相談」へ

「二子玉川駅前矯正歯科」では、経験豊富な矯正認定医の資格を持つ矯正専門の矯正医が、責任を持って交叉咬合(すれ違い)の治療を担当します。また、歯並びに関する「無料相談」や「セカンドオピニオン」も行っておりますので、二子玉川で交叉咬合(すれ違い)の矯正治療をお考えの方は、お気軽にお電話をいただくか、メールでご相談ください。経験豊富な矯正認定医の資格を持つ矯正専門の矯正医が、より素晴らしい笑顔へと歯並び治療でお手伝いさせていただきます。
初診無料相談のご予約 / メール相談(初診用) / 資料請求



