iTero Lumina(アイテロ ルミナ)
院長よりひとこと

二子玉川駅前矯正歯科のインビザラインによるマウスピース矯正治療では、「iTero(アイテロ)」を使用しています。これまで先進の「iTeroエレメント5Dプラス(iTero Element 5D Plus)」を導入し、使用していましたが、常に最新鋭の機器で診療したいという想いから、さらに新しく登場した「iTero Lumina(アイテロ ルミナ)口腔内スキャナー」をすぐに導入しました。
iTero Lumina(アイテロ ルミナ)口腔内スキャナー とは
iTero Lumina 口腔内スキャナーは、先進のテクノロジーによって、iTero エレメント 5D 口腔内スキャナーの視野との比較で「3倍広い視野」で、「2倍高速のスキャン」を可能にします。

まるで写真のようにリアルなキャン画像
口腔内写真を代替する優れた視覚化が可能となり、写真のようなリアルな 3D画像で患者様の歯並びの記録をデジタルデータとして採得可能です。
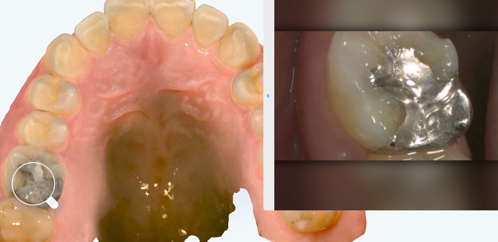
従来のiTero と iTero Lumina 比較画像
従来のiTero と iTero Lumina のスキャンデータ画像を比較すると明らかにその精細度に違いがあります。



iTero Lumina(拡大画像)
拡大スキャンデータは非常に精細で、なおかつスキャナーに搭載されているカメラによって、実際の写真を映し出すことも可能です。

iTero Lumina 口腔内スキャナーの仕組み

iTero Lumina に搭載されているiTero Multi-Direct Capture テクノロジーは、 iTero5Dと比較すると、3倍の視野と最大撮影深度が25mmとなり、口蓋、歯牙欠損部、部分萌出や叢生などの難しい条件でもスキャンが採得しやすくなりました。
iTero Lumina 口腔内スキャナーのメリット

臨床診断のクオリティ向上
使用されるソフトウェアは取得できるデータ量が多く、よりリアルな口腔内スキャンを、口腔内写真の代わりに使用できます。それにより臨床診断のクオリティの向上につながります。
スキャン時間短縮
FOV(Field of View)の撮影深度が広がったことにより、短時間でスキャンが可能です。これまでの2倍の速度でスキャンが可能にですので、スキャンされる時間という点で、患者様のご負担が減少します。
患者様のエンゲージメント向上
ワンドサイズを50%小型化するとともに、スキャンを高速化し、成人の患者様にも、小児や10代の患者様にも、より快適なスキャンが可能となります。高画質3Dデータを実装した事により、患者様の口腔内への理解がより深まることが期待できます。
お子様やお口の小さな方のスキャンにも適しています
iTero Lumina では、非常に高精度のスキャンが可能となったことによって製作するマウスピースの精度が向上しますが、カメラもとても小さく、スキャンの速度も大幅に向上してることから、お子様や、お口の小さい方にも安心してスキャンを受けていただけます。もちろん、粘土の様な印象材を噛み込んで歯型取りするようなことはありません。
嘔吐反射に不安をお持ちの方にも
嘔吐反射とは
嘔吐反射とは、口腔内や喉の奥に異物が触れた際に、喉の筋肉が不随意に収縮して吐き気を催す生理的な反応を指します。これは身体が異物を排除し、気道を守るための防御機能の一つであり、多くの人にとって自然な反応です。特に歯科治療や食事の際に強く現れることがあり、個人差が大きい特徴があります。
嘔吐反射は、軽度でほとんど気にならない場合もあれば、過敏に反応してしまう場合もあります。過敏な嘔吐反射は、歯科治療や口腔内のケアを困難にし、場合によっては患者さんにとって大きなストレスとなることがあります。
嘔吐反射の原因
嘔吐反射の原因は多岐にわたりますが、主に以下のような要因が挙げられます。
- 生理的要因
嘔吐反射は喉の奥や口蓋、舌の後方に刺激が加わった際に脳幹が反応する仕組みです。この反射は個人によって感度が異なり、過敏な場合は軽い刺激でも強い嘔吐反射が起こります。 - 心理的要因
緊張や不安、過去の不快な経験が嘔吐反射を悪化させることがあります。歯科治療に対する恐怖や苦手意識も、過敏な嘔吐反射を引き起こす要因となることが多いです。 - 解剖学的要因
喉や口腔内の解剖学的な特徴、例えば口蓋の形状や舌の位置などが、刺激を受けやすい条件を作ることがあります。 - 病的要因
鼻詰まりや副鼻腔炎などで呼吸がしにくくなる場合や、逆流性食道炎のような消化器系の問題がある場合も、嘔吐反射が敏感になることがあります。 - 加齢や学習
子供は嘔吐反射が強い傾向がありますが、成長や訓練によって慣れることも可能です。一方、加齢に伴い反射が強くなる場合もあります。
iTero Lumina は嘔吐反射に不安をお持ちの方にもお勧めできます

iTero Luminaは、先進技術を搭載した高性能な3D光学スキャナーです。従来の年度の様な印象材を用いた歯型取りと違って、スキャナーによるスキャンをするだけですので、口腔内に異物が入っている感覚が少なく歯型のデジタルデータを採得可能です。スキャナヘッドのサイズが、従来のiTeroと比較して大幅に小型化されており、なおかつスキャンにかかる時間も従来の半分以下に短縮されています。これにより、嘔吐反射が起こりにくいだけでなく、より快適な治療体験を提供できるようになりました。
お子様の場合、口腔内が小さいために型取り時の嘔吐反射が懸念されることが多くあります。そのような場合でも、iTero Luminaを使用したマウスピース矯正なら、お子様にも負担をかけずにスムーズに治療を進めることが可能です。もし、お子様のマウスピース矯正を検討中であったり、嘔吐反射が気になる方は、治療を受けるクリニックにiTero Luminaが導入されているかどうかを確認されることをおすすめします。快適かつ安心な矯正治療への第一歩をぜひ踏み出してください。


