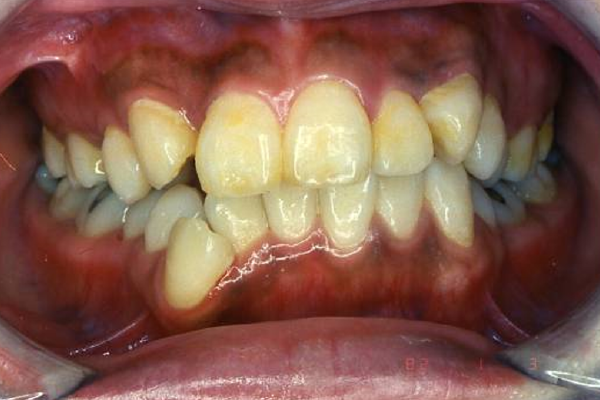
叢生(でこぼこ)の症状について

治療法:インビザライン/治療期間:2年/費用:50万/リスク・副作用:痛み・治療後の後戻り・歯根吸収・歯髄壊死・歯肉退縮
「歯並びがデコボコになっている状態」のことを「叢生(そうせい)」と呼びます。乱杭歯(らんぐいば)と呼ぶこともあります。歯の大きさや本数に対してアゴの骨の大きさの調和が取れていない=歯の生え揃うスペースが足りないことが主な原因です。食べカスが挟まりやすい、磨き残しが多くなる、頬をかみやすい。人によっては歯並びの悪さが気になっておもいきり笑うことが出来ないなどのデメリットがあります。
叢生によって虫歯や歯周病のリスクが高まる
食べカスが挟まりやすかったり、磨き残しが多くなったりすると、虫歯や歯周病のリスクが高まります。虫歯は、多くの方が歯医者で治せると思っていますが、一度削った歯は元通りにはなりません。人工物を詰めたり被せたりしても、自分の歯の部分はどんどん無くなっていっていまいます。
歯周病になると全身の病になりやすくなる
日本では成人の80%以上が歯周病といわれていますが、磨き残しは主な原因となります。歯周病は日本人が歯を失う原因の第1位で、口腔内の細菌によって歯を支えている骨(歯槽骨)が溶かされていき、最後には歯が抜け落ちてしまう病気です。さらに歯周病は、狭心症・心筋梗塞、脳梗塞、糖尿病、誤嚥性肺炎、骨粗鬆症、認知症などの全身の病と密接な関係があることがわかっています。気付かないうちに体を蝕んでいくことから「サイレントキラー」とも呼ばれている恐ろしい病気です。また歯周病は完治が非常に難しい病気ですので、そもそも歯周病にならないことが最も大切です。
審美的に問題を感じやすくなる
叢生を治したい方の最も多い理由は審美的な問題です。叢生の方は、ご自身で叢生の歯並びを気にされ、他人に歯を見られることを好まないケースが多く、そのために笑顔に自信が持てなくなってしまっている場合もあります。
叢生の笑顔

叢生改善後の笑顔

治療前は上唇が上がり、歯茎が多く見えていますが、治療後は上唇が丁度良い位置まで下がり、歯茎が見えなくなり歯の露出度が適度になっています。治療後の方が印象は断然良くなっており、患者様のコンプレックスが解消されたといえるでしょう。治療前には自信の無かった笑顔が、治療後には自信をもって笑顔になれるよう好転したのです。
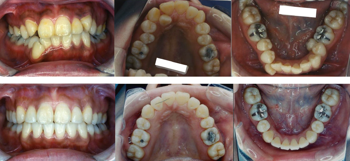
| 年齢・性別 | 30代女性 |
| 治療期間 | 2年 |
| 抜歯 | 上2本、下2本(小臼歯) |
| 治療費 | 50万円(調整費、保定費まで含む総額制) |
| 備考 | インビザライン |
| リスク・副作用 | 痛み・治療後の後戻り・歯根吸収・歯髄壊死・歯肉退縮 |
叢生の治療
叢生の治療では症状が重い方は、先に側方の歯を並べて前歯の並ぶスペースを作り、その後に前歯を並べるといったケースもあります。叢生の治療では抜歯矯正になるケースも少なくありませんが、その際は、叢生の方の多くは多数のむし歯治療をされていることが多いため、歯の神経を抜いていたり、大きな被せ物をしていたりする歯を優先的に選びます。またインプラント矯正を行うことで、非抜歯で治療を行うことも可能なケースもあります。治療期間は早い方で1年以内、通常は1.5~2.5年程度になります。
叢生の治療例 ~ ビフォーアフターとご説明
①叢生(でこぼこ)の矯正治療例(30代女性・治療期間2年)

| 年齢・性別 | 30代女性 |
| 治療期間 | 2年 |
| 抜歯 | 上2本、下2本(小臼歯) |
| 治療費 | 50万円(調整費、保定費まで含む総額制) |
| 備考 | インビザライン |
| リスク・副作用 | 痛み・治療後の後戻り・歯根吸収・歯髄壊死・歯肉退縮 |
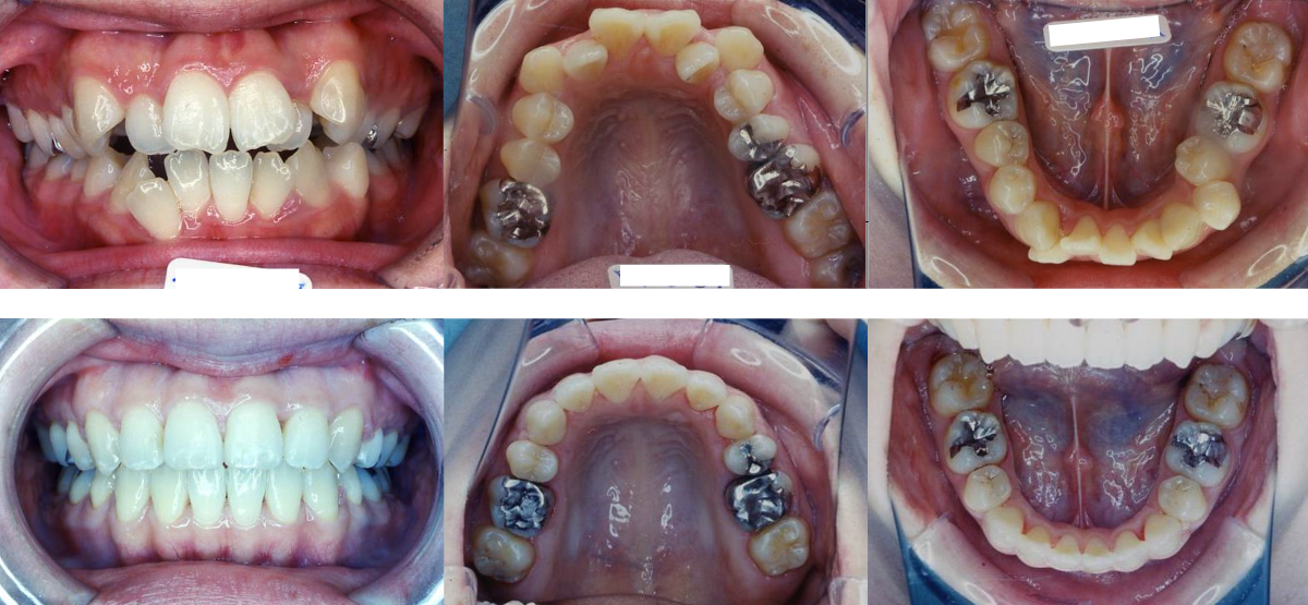
②叢生(でこぼこ)の矯正治療例(30代女性・治療期間2年2か月)

| 年齢・性別 | 30代女性 |
| 治療期間 | 2年2か月 |
| 抜歯 | 上2本、下2本(小臼歯) |
| 治療費 | 100万円(調整費、保定費まで含む総額制) |
| 備考 | 裏側矯正 |
| リスク・副作用 | 痛み・治療後の後戻り・歯根吸収・歯髄壊死・歯肉退縮 |
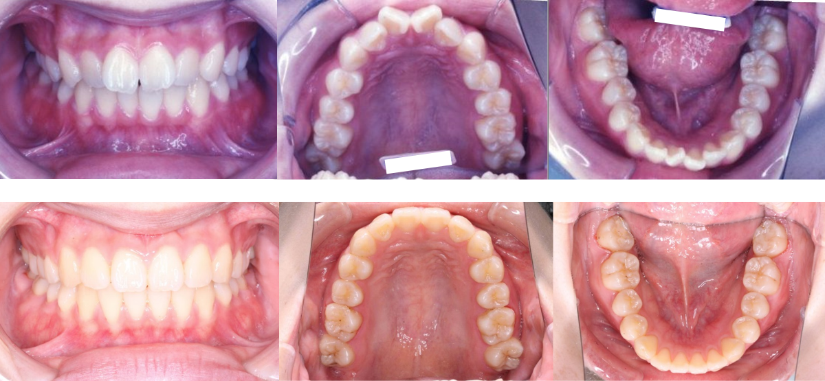
③叢生(でこぼこ)の矯正治療例(20代女性・治療期間1年6か月)

| 年齢・性別 | 20代女性 |
| 治療期間 | 1年6か月 |
| 抜歯 | なし |
| 治療費 | 50万円(調整費、保定費まで含む総額制) |
| 備考 | インビザライン |
| リスク・副作用 | 痛み・治療後の後戻り・歯根吸収・歯髄壊死・歯肉退縮 |
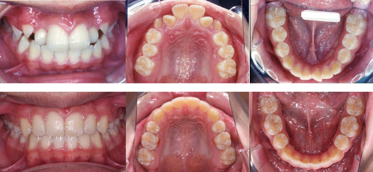
④叢生(でこぼこ)の矯正治療例(10代男性・治療期間1年7か月)

| 年齢・性別 | 10代男性 |
| 治療期間 | 1年7か月 |
| 抜歯 | 上2本、下2本(小臼歯) |
| 治療費 | 90万円(調整費、保定費まで含む総額制) |
| 備考 | 裏側矯正 |
| リスク・副作用 | 痛み・治療後の後戻り・歯根吸収・歯髄壊死・歯肉退縮 |
| 年齢・性別 | 30代女性 |
| 治療期間 | 2年 |
| 抜歯 | 上2本、下2本(小臼歯) |
| 治療費 | 50万円(調整費、保定費まで含む総額制) |
| 備考 | インビザライン |
| リスク・副作用 | 痛み・治療後の後戻り・歯根吸収・歯髄壊死・歯肉退縮 |
二子玉川で「叢生」の矯正治療を受けたい方は「無料相談」へ

「二子玉川駅前矯正歯科」では、経験豊富な矯正認定医の資格を持つ矯正専門の矯正医が、責任を持って叢生治療を担当します。また、歯並びに関する「無料相談」や「セカンドオピニオン」も行っておりますので、二子玉川で叢生の矯正治療をお考えの方は、お気軽にお電話をいただくか、メールでご相談ください。経験豊富な矯正認定医の資格を持つ矯正専門の矯正医が、より素晴らしい笑顔へと歯並び治療でお手伝いさせていただきます。
初診無料相談のご予約 / メール相談(初診用) / 資料請求




