一般歯科連携(被せ物)について

治療法:上下とも裏側矯正 / 非抜歯 / 治療期間:1年1か月 / 費用:84万円(調整費、保定費まで含む総額制) / リスク・副作用:痛み・治療後の後戻り・歯根吸収・歯髄壊死・歯肉退縮
矯正治療では、むし歯や歯周病の管理が重要です。矯正治療中は二子玉川駅前矯正歯科でも定期的にお口の中をチェックしますが、一般歯科医院で行う検査とは異なります。矯正治療以外の分野については、一般歯科医院と連携し、むし歯や歯周病の予防にも配慮しています。
一般歯科連携(被せ物)の治療例 ~ ビフォーアフターとご説明
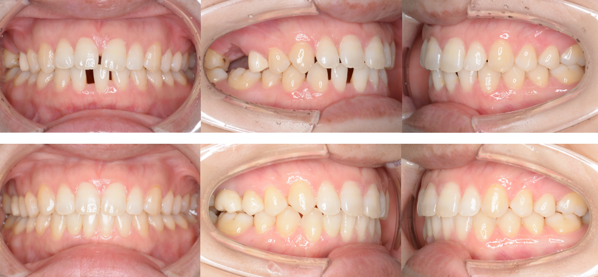
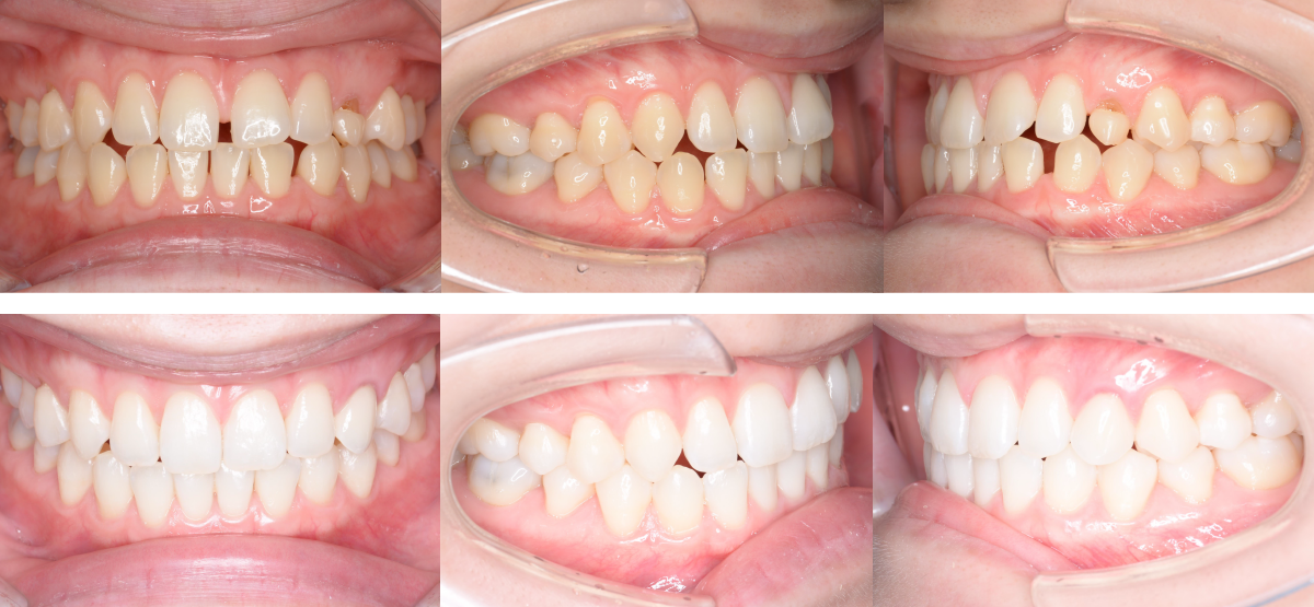
①一般歯科連携(被せ物)の矯正治療例(30代女性・治療期間1年1か月)

| 年齢・性別 | 30代女性 |
| 治療期間 | 1年1か月 |
| 抜歯 | なし |
| 治療費 | 約84万円(調整費、保定費まで含む総額制) |
| 備考 | 裏側矯正 |
| リスク・副作用 | 痛み・治療後の後戻り・歯根吸収・歯髄壊死・歯肉退縮 |
港区からご来院の30代女性で、すきっ歯(空隙歯列)の症状がありました。
治療期間は1年1か月です。
非抜歯で矯正治療を行い、キレイな歯並びになりました。
治療期間は1年1か月です。
非抜歯で矯正治療を行い、キレイな歯並びになりました。
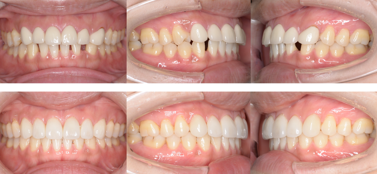
②一般歯科連携(被せ物)の矯正治療例(30代女性・治療期間2年)

| 年齢・性別 | 30代女性 |
| 治療期間 | 2年 |
| 抜歯 | なし |
| 治療費 | 約93万円(調整費、保定費まで含む総額制) |
| 備考 | 裏側矯正 |
| リスク・副作用 | 痛み・治療後の後戻り・歯根吸収・歯髄壊死・歯肉退縮 |
川崎市からご来院の30代女性で、すきっ歯(空隙歯列)の症状がありました。
治療期間は2年です。
非抜歯で矯正治療を行い、キレイな歯並びになりました。
治療期間は2年です。
非抜歯で矯正治療を行い、キレイな歯並びになりました。
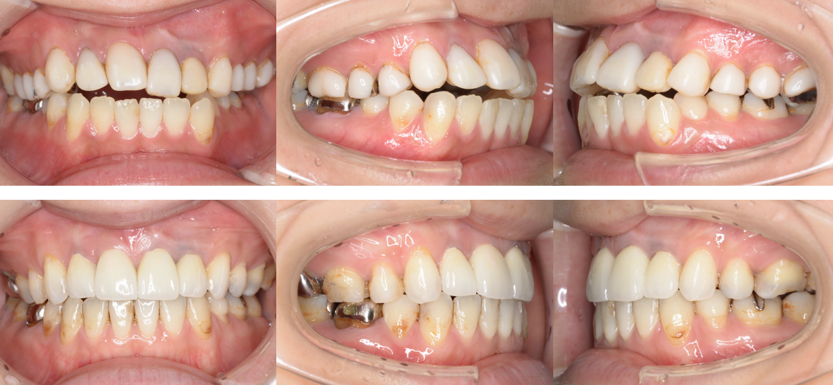
③一般歯科連携(被せ物)の矯正治療例(30代女性・治療期間1年9か月)

| 年齢・性別 | 30代女性 |
| 治療期間 | 1年9か月 |
| 抜歯 | 上2本、下2本(小臼歯) |
| 治療費 | 100万円(調整費、保定費まで含む総額制) |
| 備考 | 裏側矯正 |
| リスク・副作用 | 痛み・治療後の後戻り・歯根吸収・歯髄壊死・歯肉退縮 |
川崎市からご来院の30代女性で、開咬(オープンバイト)と上下顎前突(口ゴボ)の症状がありました。
治療期間は1年9か月です。
抜歯治療にて、噛み合わせと見た目が改善され綺麗になりました。
治療期間は1年9か月です。
抜歯治療にて、噛み合わせと見た目が改善され綺麗になりました。
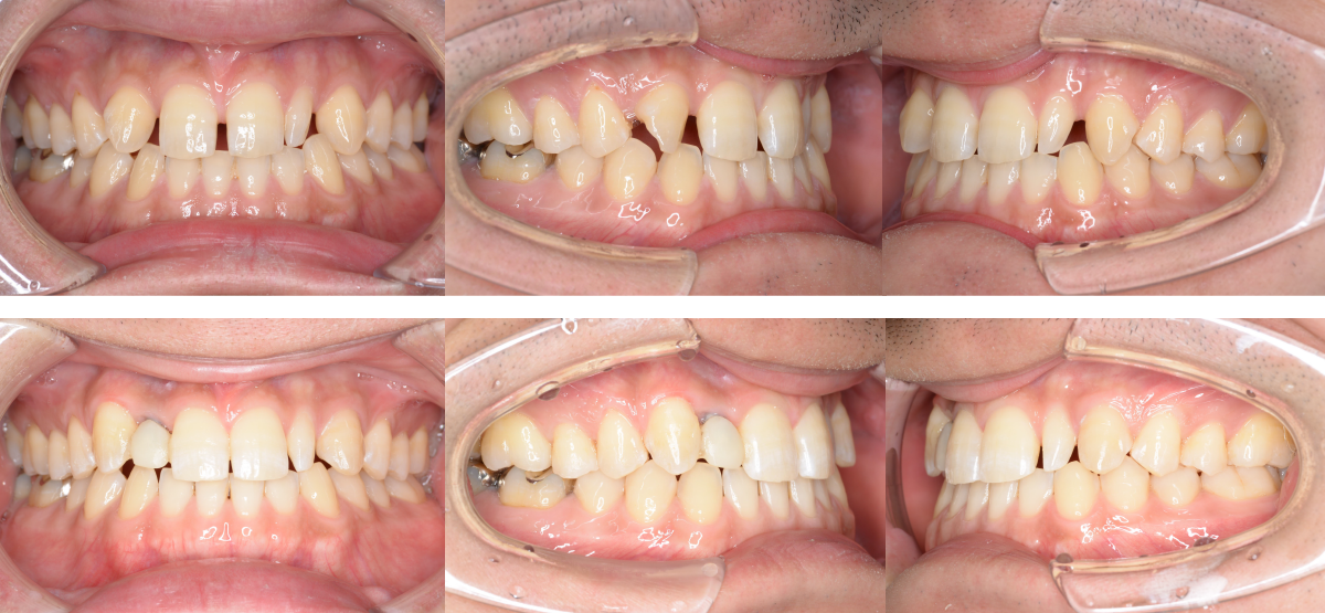
④一般歯科連携(被せ物)の矯正治療例(30代男性・治療期間11か月)

| 年齢・性別 | 30代男性 |
| 治療期間 | 11か月 |
| 抜歯 | なし |
| 治療費 | 約36万円(調整費、保定費まで含む総額制) |
| 備考 | 裏側矯正 |
| リスク・副作用 | 痛み・治療後の後戻り・歯根吸収・歯髄壊死・歯肉退縮 |
世田谷区内からご来院の30代男性で、叢生(前歯のでこぼこ)の症状がありました。
治療法は部分矯正で、治療期間は11か月です。
非抜歯で矯正治療を行い、キレイな歯並びになりました。
治療法は部分矯正で、治療期間は11か月です。
非抜歯で矯正治療を行い、キレイな歯並びになりました。
⑤一般歯科連携(被せ物)の矯正治療例(20代女性・治療期間5か月)

| 年齢・性別 | 20代女性 |
| 治療期間 | 5か月 |
| 抜歯 | なし |
| 治療費 | 50万円(調整費、保定費まで含む総額制) |
| 備考 | インビザライン |
| リスク・副作用 | 痛み・治療後の後戻り・歯根吸収・歯髄壊死・歯肉退縮 |
練馬区からご来院の20代女性で、すきっ歯(空隙歯列)の症状がありました。
治療法はインビザライン矯正(マウスピース矯正)で、治療期間は1年9か月です。
非抜歯で矯正治療を行い、キレイな歯並びになりました。
治療法はインビザライン矯正(マウスピース矯正)で、治療期間は1年9か月です。
非抜歯で矯正治療を行い、キレイな歯並びになりました。
⑥一般歯科連携(被せ物)の矯正治療例(50代女性・治療期間2年2か月)

| 年齢・性別 | 50代女性 |
| 治療期間 | 2年2か月 |
| 抜歯 | なし |
| 治療費 | 100万円(調整費、保定費まで含む総額制) |
| 備考 | 裏側矯正、QH拡大、歯冠長延長術、補綴物再作製 |
| リスク・副作用 | 痛み・治療後の後戻り・歯根吸収・歯髄壊死・歯肉退縮 |
50代の女性です。
二子玉川で「一般歯科連携(被せ物)」の矯正治療を受けたい方は「無料相談」へ

「二子玉川駅前矯正歯科」では、経験豊富な矯正認定医の資格を持つ矯正専門の矯正医が、一般歯科と連携し、責任を持って治療を担当します。また、歯並びに関する「無料相談」や「セカンドオピニオン」も行っておりますので、二子玉川で一般歯科連携(被せ物)の矯正治療をお考えの方は、お気軽にお電話をいただくか、メールでご相談ください。経験豊富な矯正認定医の資格を持つ矯正専門の矯正医が、より素晴らしい笑顔へと歯並び治療でお手伝いさせていただきます。
初診無料相談のご予約 / メール相談(初診用) / 資料請求



