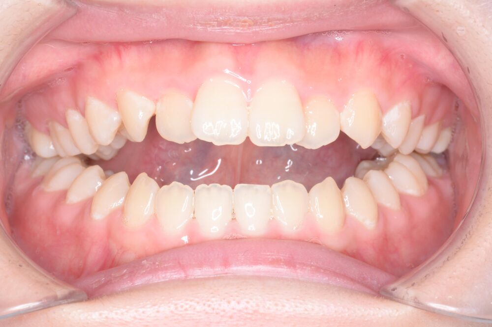
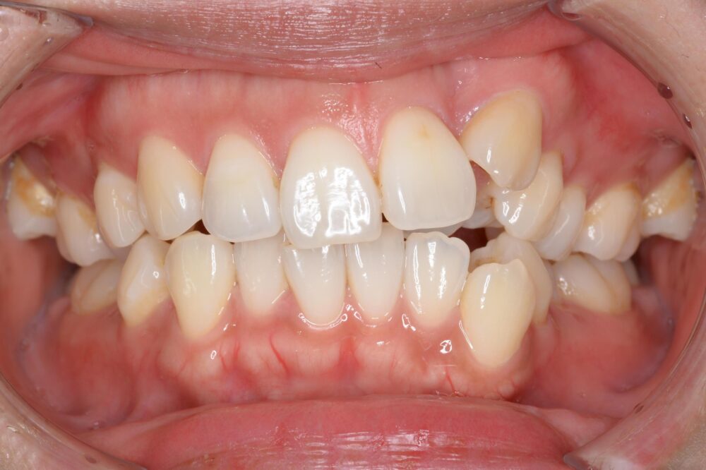
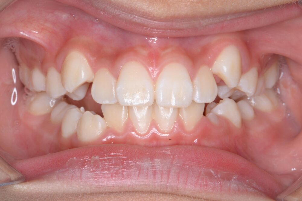
希望の歯並び・お悩み確認
① 一番直したい部分はどちらですか?
▼お悩みを指さしで教えてください!

② いつからお悩みでしたか?
③ 他の歯医者さんでお話を聞いたことはありますか?
④ いつまでに矯正を終わらせたいですか?
⑤ ご予算はございますか?
⑥ 以下から優先順位を教えてください!
→【健康な歯を残したい/治療費/治療期間/コンプレックス解消/嚙み合わせを良くしたい】
マウスピース矯正の利点
ワイヤー矯正
痛い・目立つといったネガティブイメージが先行
- 装置が目立つ
- 痛みを伴うことが多い
- 食事制限がある
- 歯磨きが難しい
マウスピース矯正~日本で約6割が選択
「痛い・目立つ」は過去のイメージです。マウスピース矯正のメリットを活かし、あなたらしい生活を続けながら理想の歯並びを目指しましょう。
- ほとんど目立たない
- 痛みが少ない
- 取り外して食事ができる
- 歯磨きが簡単
通院回数も少なく、衛生的でもあるため、自信に満ちた笑顔で生活できる
歯並びの重要性
歯並びは、歯の健康寿命に影響します
悪い歯並びがもたらす影響
- 虫歯・歯周病リスクの増加:歯並びが悪いと歯磨きが難しく、細菌が繁殖しやすい環境に
- 頭痛・肩こりの原因に:噛み合わせの不調和が全身の姿勢にまで影響
- 口臭の原因に:磨き残しや食べ物の残りが口臭を発生させる
- 心理的な影響:自分の歯並びに自信が持てず、笑顔を隠してしまう
- 咀嚼機能の低下:噛み合わせが悪いと消化不良や栄養吸収に影響
矯正治療は、審美だけでなく「生涯の健康」への投資です
嚙み合わせが歯の寿命を左右します
歯並びによる8020達成率の違い
※80歳で歯が20本以上残っている可能性

悪い嚙み合わせ:設置面積が小さい特定の歯に負担が集中
正常な嚙み合わせ:設置面積が大きい負担が全体に分散
嚙み合わせを最適化して負担を均等にすることが歯の寿命を大幅に伸ばす
ローコストマウスピースの危険性
どのマウスピース矯正も同じではありません
低価格のマウスピースは、安全性・効果を犠牲にしている可能性があります
- 歯科医師の診断・管理がない:オンライン完結で対面診断なしあなたのお口の状態を誰も確認していません
- 歯の移動を正確にコントロール不可:精度の低い装置では意図しない方向に歯が動き噛み合わせが悪化することも
- 安全性が保証されていない素材:医療グレードではない素材を使用しアレルギーや口内炎のリスクがあります
- 問題が発生しても対応できない:トラブル発生時の保証がなく、さらに高額な治療費が必要になることも
注意:格安マウスピース矯正で失敗すると、再治療に2倍以上の費用と時間がかかることも
格安マウスピース矯正の健康被害は、専門医も警鐘を鳴らしています
安さで取り返しのつかない健康被害が起こりえます
食事が出来なくなった
以前より目立つようになってしまった
痛みも出てきた
安全・確実なマウスピースメーカー
どのマウスピース矯正を選べば安全・確実なのか?
「インビザライン」は、世界シェアNo.1のマウスピースで、数多くの治療実績があります
支持される理由
- 世界中の矯正専門医の知見を集約し世界中の歯科医師に信頼されるブランド
- AIが膨大な過去の症例をもとに最適な治療計画を提案
- 年間1,500億円と、任天堂をも上回る研究開発費を投じて、常に進化し続ける技術力
100ヶ国以上で販売実績 | 2000万件の治療実績
ドクターの技術力の差
インビザラインでもドクターの技量で治療に差が出る
同じインビザラインでも経験豊富なドクターほど、短期間で効率よく治療できます。
▍同じ症例での経験が浅いDr.と熟練Dr.の治療期間の比較
| 経験が浅いDr. | 熟練のDr. | |
|---|---|---|
| 治療期間 | 2年半 | 1年 |
| マウスピースの数 | 90枚 | 30枚 |
同じ症例でも算出されるマウスピースの数が異なり、治療期間に1年6ヵ月の差が出ました。これが「担当医の実力の差」です。
一人ひとりに最適な治療計画をご提案します。

2021~2026年度 インビザライン・ダイヤモンドドクター(プロバイダー)に認定。
【資格】歯科医師 / インビザライン矯正(マウスピース矯正)認定医 / 世界舌側矯正歯科学会認定医 など
当院最大の強み:プロが描く治療計画
当院では、オーダーメイドの治療計画を作成するため、仕上がりが他院とは違います。
- インビザライン認定医の中でもエキスパート:インビザライン年間300症例以上を手掛け、ダイヤモンド・TOP PROVIDERに認定。
- 完全オーダーメイドの治療計画:AIの提案に頼らず、あなたの口腔状態を徹底分析した精密設計
- 最新技術の継続的な習得:インビザライン社との密接な連携による最新知識の更新
- 難症例にも対応する確かな技術力:他院では対応できないケースでも最適な解決策を提案






治療開始までの流れ
- カウンセリング:不安や悩みをお聞かせください
- 精密検査:レントゲン・3Dスキャン
- 治療計画説明
- マウスピース装着:装着方法の説明・練習
- 通院・調整:(通院期間:1~5ヶ月に1回)
保定期間:2年間(リテーナー就寝時使用で治療効果を維持)
就寝時のみ装着が必要│定期メンテナンスで経過観察
マウスピースの効果を出すには、1日20時間以上の装着と、定期検診が必要です。
医療費控除について
医療費控除で数万円〜数十万円の還付が受けられ、負担を大きく軽減できます。
▍所得500万円で年間の医療費が100万円の場合
100万円ー10万円=90万円
90万円×20%=18万円
医療費控除で還元される金額の目安
| 課税総所得金額別 (医療費控除前) |
1年間に支払った医療費 30万円の場合 |
1年間に支払った医療費 100万円の場合 |
1年間に支払った医療費 200万円の場合 |
|---|---|---|---|
| 150万円 | 30,900円 | 135,900円 | 225,000円 |
| 300万円 | 40,000円 | 180,000円 | 337,500円 |
| 500万円 | 60,000円 | 270,000円 | 550,000円 |
| 800万円 | 66,000円 | 297,000円 | 601,500円 |
| 1000万円 | 86,000円 | 387,000円 | 727,000円 |
| 2000万円 | 100,000円 | 450,000円 | 950,000円 |
※1年間で支払った医療費の総額(保険金などで補填される金額が無い場合)。総所得金額の5%(総所得金額が200万円未満の場合)または10万円を差し引いた額が医療費控除の額となります。そこへ所得税の税率を掛けたものが還付金の目安(軽減される税額)となります。
デンタルローンについて
デンタルローン活用で、クレジットカードより低金利での治療が可能です。
| クレジットカード | デンタルローンプラス | |
|---|---|---|
| メリット | ポイントが貯まる(還元率0.5%~1.0%) | 年利2.5%~5.0%(固定金利)、最高120回払い |
| デメリット | 年利12.0%~15.0%(分割払いおよびリボ払い金利) | ポイントはつかない |
矯正治療は、何十年も続く幸せへの投資です。
一生に一度の矯正治療だからこそ、後悔のない選択を。
今日決めた選択が、あなたの10年後、20年後の笑顔を作ります。どんな未来を選びますか?
自信に満ちた笑顔
人間関係やビジネスシーンでの印象が大きく変わります
健康な生活の基盤
口腔内の健康が全身の健康へとつながります
一生涯の財産
健康で美しい歯並びは一生の財産となります
私たちと一緒に、最高の笑顔を目指しましょう
二子玉川駅前矯正歯科は、あなたの人生を輝かせるパートナーとして、いつでもそばに寄り添います。美しい歯並びは、健康と自信に満ちた毎日への第一歩。あなたのその一歩を、私たちは全力でサポートいたします。
二子玉川駅前矯正歯科 スタッフ一同


