二子玉川でインビザライン矯正・裏側矯正なら「二子玉川駅前矯正歯科」
インビザライン(マウスピース矯正)には、7つのランクが設定されています。二子玉川の矯正歯科「二子玉川駅前矯正歯科」は、トップクラスにあたるダイヤモンドドクターの認定医院です。 インビザライン矯正を年間150症例以上行った医院(当院は300症例以上の実績)が認定されます。
6年連続
ダイヤモンドドクター
ダイヤモンドプロバイダー
世界トップシェア
インビザライン
症例以上
全矯正治療
症例実績
症例
2026年1月時点
インビザライン
症例実績
症例
2026年1月時点
インビザライン
経験年数
6年連続
ダイヤモンドドクター
ダイヤモンドプロバイダー
世界トップシェア
インビザライン
症例以上
全矯正治療
症例実績
症例
2026年1月時点
インビザライン
症例実績
症例
2026年1月時点
インビザライン
経験年数
二子玉川の矯正歯科「二子玉川駅前矯正歯科」は、全国の歯科医院で1%しか獲得できないインビザライン「ダイヤモンドドクター(プロバイダー)」認定医院です。インビザライン(マウスピース矯正)には、7つのランクが設定されています。当院はトップクラスにあたるダイヤモンドドクターの認定を受けています。 インビザライン矯正を年間150症例以上行った医院(当院は300症例以上の実績)が認定されます。
二子玉川駅「西口」より徒歩2分
土日も診療
夜8時 (平日)まで
「長い・目立つ・高い」矯正の “3大お悩み” 。せっかく矯正しようと思っても、治療期間が数年に及ぶなど、長い期間を要することはネックになりがちです。金属のブラケットとワイヤー。ギラギラとした矯正装置を付けることに抵抗がある方も少なくありません。矯正治療は健康保険適用外の自由診療です。そのため治療の費用が高額になることがネックになることも。二子玉川の矯正歯科(歯列矯正専門の歯医者)「二子玉川駅前矯正歯科」ではこれらのお悩みやご負担を少しでも軽減できるよう、最大限の努力を行っております。
矯正治療の症例や、治療が終了した患者様について、随時更新中!
二子玉川の矯正歯科「二子玉川駅前矯正歯科」。患者さんから人気、評判の当院の特徴をご紹介します。iTeroエレメント5D PLUSを利用した無料シミュレーション、見えない裏側矯正(舌側矯正)、透明なマウスピース矯正(インビザライン)、歯を抜かない矯正(非抜歯矯正)など精密で目立たない矯正治療、痛みを抑えた矯正治療をできる限り少ない通院回数でご提供します。相談・検査まで無料。基本的にお求めやすい金額(安い・安価)で治療費を設定し、毎月の調節料や期間が延びても追加費用が発生しない治療費定額制となっています。デンタルローンによる分割払いやクレジットカード払いにも対応。二子玉川周辺だけでなく、世田谷区、用賀、桜新町、川崎市、狛江市、高津区、中原区、さらには東京、神奈川、千葉、茨城、栃木、群馬、埼玉など関東全域、その他の県などの遠方からも、口コミ・評判で多くの患者様が矯正治療で来院されます。
相談+検査"無料"
二子玉川駅徒歩2分の立地にある矯正歯科専門の矯正歯科「二子玉川駅前矯正歯科」では、相談 ・ 検査 までの料金が「無料」となっています。また矯正治療にかかる費用の総額を初めにお伝えする「トータルフィー制度(治療費定額制)」を採用しています。治療後2年保証もついており、事前に総額を把握でき、治療期間が伸びても金額の変更はありません。
安心の治療費制度について
目立たない・見えない矯正装置
二子玉川駅前矯正歯科は、矯正歯科専門であることや、世田谷区二子玉川にある矯正歯科ということもあり、開院より多くの方にご来院いただいております。見えない裏側矯正(舌側矯正)や、薄さ0.5mmの透明な取り外しできるマウスピース矯正「インビザライン」、クリアブラケット矯正を基本とし、見えない・目立たない矯正治療に力を入れております。
目立ちにくい矯正治療方法について
インビザライン矯正・裏側矯正が得意です
東京都世田谷区の二子玉川駅「西口」から徒歩2分にある矯正歯科専門の矯正歯科「二子玉川駅前矯正歯科」は、インビザライン矯正・裏側矯正の得意な医院として、「インビザライン・ダイヤモンドドクター」や「裏側矯正治療の世界標準」である世界舌側矯正歯科学会(WSLO)の認定医の資格を取得しています。表側からの矯正と治療期間、治療の質ともに一切変わらずに治療ができ、インビザライン矯正を希望される患者様も多く、またワイヤー矯正を希望される患者様の約90%が裏側矯正で治療されます。裏側矯正では舌の違和感を軽減するために最新の超小型裏側矯正装置を導入しており、従来の装置に比べ違和感が大幅に改善されています。
見えない矯正治療について
歯を抜かない短期間の精密矯正

二子玉川駅から徒歩2分にある矯正歯科専門の矯正歯科「二子玉川駅前矯正歯科」では、ねじ状の小さな器具を奥歯部分の骨に埋め込み、それを固定源として歯を後ろに引っ張る「歯科矯正用アンカースクリュー」や近赤外線によって矯正治療期間の短縮が期待できる「光加速矯正(オルソパルス・オーソパルス)」を使った治療をご提供しています。目的の歯だけを動かし、歯がきちんと並ぶスペースを確保するので、歯を抜かずに治療できます。また、スムーズに歯が動くことで治療期間も短縮できます。
非抜歯矯正治療について
来院間隔を長く・
世田谷区の二子玉川にある矯正歯科専門の矯正歯科「二子玉川駅前矯正歯科」は、矯正治療の治療期間をできる限り短くするだけでなく、通院回数を少しでも減らし、東京、神奈川、千葉、茨城、栃木、群馬、埼玉など関東全域、その他の県など遠方からの患者様も無理なく通院できるよう、来院間隔を4~16週間に1回の通院ですむよう治療計画を立案しています。
患者様のご負担を軽減するために
痛みの少ない矯正歯科治療
東京都世田谷区の二子玉川駅「西口」徒歩2分の場所にある、矯正歯科専門の矯正歯科「二子玉川駅前矯正歯科」では、「iTero(アイテロ)エレメント5Dプラス」の「口腔内スキャナ」による光学スキャン、近赤外線によって治療期間の短縮や、治療に伴う痛みの軽減が期待できる「光加速矯正(オーソパルス・オルソパルス)」、摩擦抵抗を抑えてスムーズな歯の移動と痛みの低減を実現する「セルフライゲーションシステム」、弱い力を継続的にかけられる合金ワイヤーを採用しています。矯正治療中の痛みが減少し、より快適にストレスなく治療を受けられます。
患者様にやさしい治療のために
世田谷区二子玉川駅2分にある「スマイル+さくらい歯列矯正歯科二子玉川」。患者さんから人気、評判の当院の特徴をご紹介します。iTeroエレメント5D PLUSを利用した無料シミュレーション、見えない裏側矯正(舌側矯正)、透明なマウスピース矯正(インビザライン)、歯を抜かない矯正(非抜歯矯正)など精密で目立たない矯正治療、痛みを抑えた矯正治療をできる限り少ない通院回数でご提供します。相談・検査まで無料。基本的にお求めやすい金額(安い・安価)で治療費を設定し、毎月の調節料や期間が延びても追加費用が発生しない治療費定額制となっています。デンタルローンによる分割払いやクレジットカード払いにも対応。二子玉川周辺だけでなく、世田谷区、用賀、桜新町、川崎市、狛江市、高津区、中原区、その他、東京、神奈川、千葉、茨城、栃木、群馬、埼玉など関東全域、その他の県などの遠方からも、口コミ・評判で多くの患者様が矯正治療で来院されます。
二子玉川の矯正歯科「二子玉川駅前矯正歯科」では、患者様のニーズに合わせた矯正治療プランをご用意しています。見えない裏側矯正(舌側矯正)、透明なマウスピース矯正(インビザライン)、前歯の部分矯正(プチ矯正、すきっ歯、出っ歯、八重歯など)、短期矯正(スピード矯正)、歯を抜かない矯正(非抜歯矯正)、小児矯正(子供の矯正)、後戻り矯正、ブライダル矯正プラン、就活矯正プラン、痛みの少ない矯正治療、アンカースクリューを用いた矯正治療等。気になるプラン(安い、安価)をご覧ください。世田谷区、二子玉川、用賀、桜新町、川崎市、狛江市、高津区、中原区、さらには東京、神奈川、千葉、茨城、栃木、群馬、埼玉など関東全域、その他の県などの遠方からも、口コミ・評判で多くの患者様が矯正治療で来院されます。
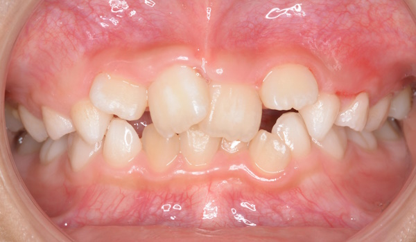
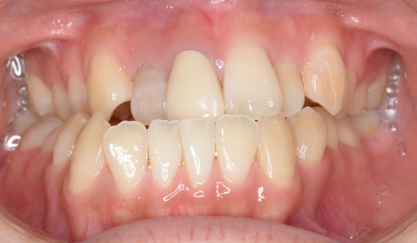
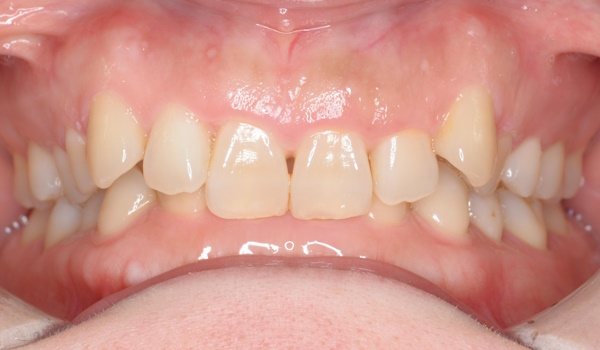
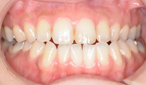
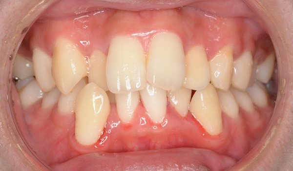
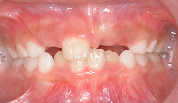
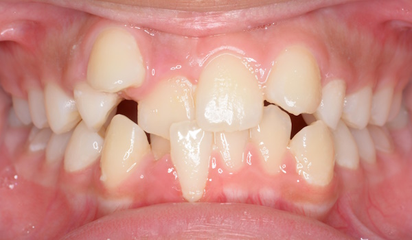
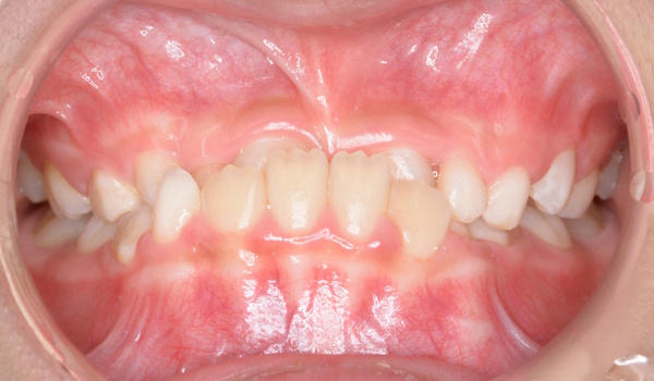
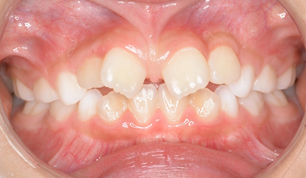
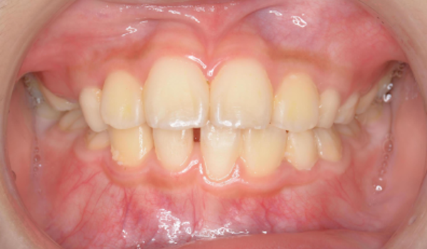
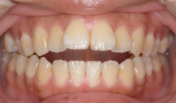
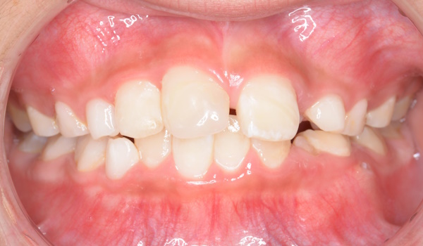
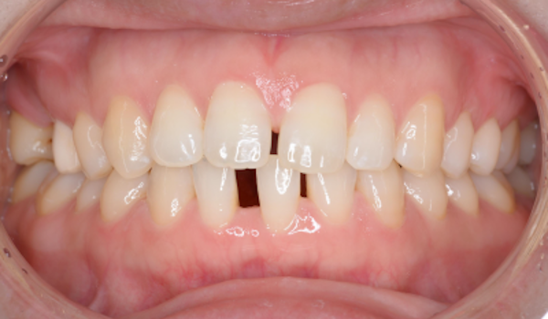
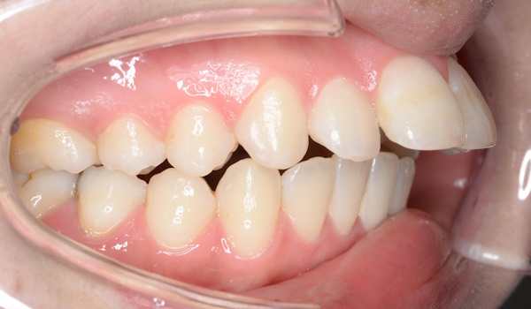
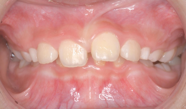
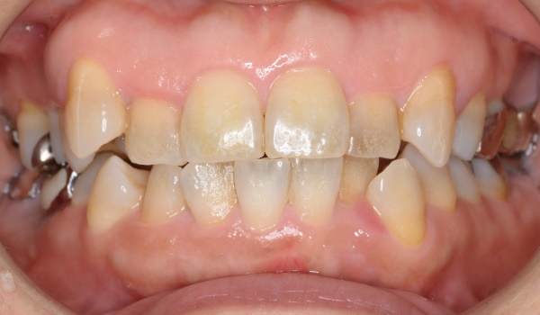
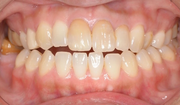
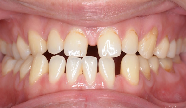
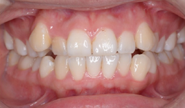
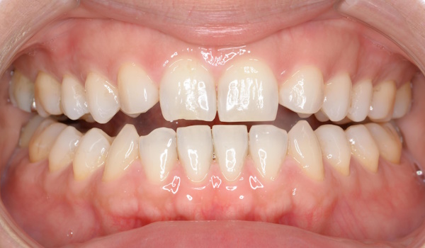
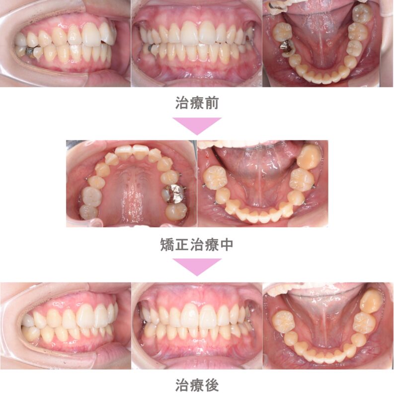
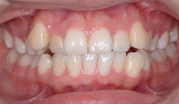
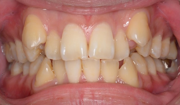
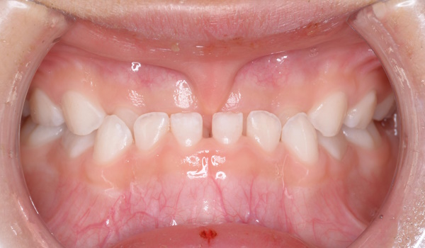
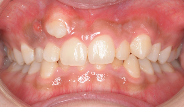
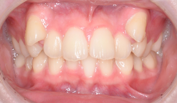
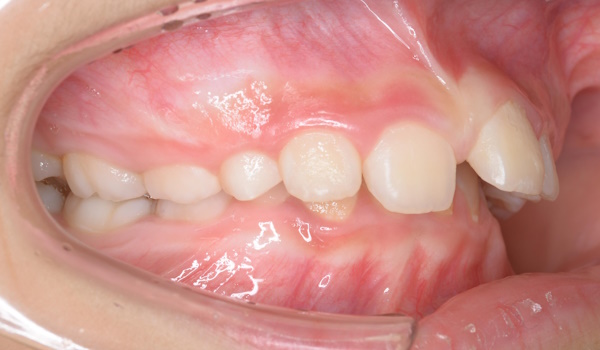
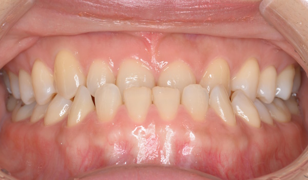
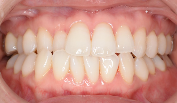
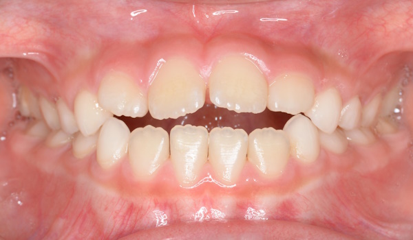
二子玉川の矯正歯科「二子玉川駅前矯正歯科」で、実際に、歯列矯正治療を行なったケースをもとに、乳歯列期、混合歯列期、永久歯列期においての代表的な歯並びの治療法について、治療期間や治療費用などを解説いたします。写真付きですので、ご自身の歯並びと照らしあわせながらご参考ください。
二子玉川の矯正歯科「二子玉川駅前矯正歯科」での歯列矯正治療を受けられた患者様の症例です。ご自身と似たような症例があるかなど、ご参考下さい。
二子玉川の矯正歯科(矯正専門の歯医者)「二子玉川駅前矯正歯科」では、患者さんの笑顔を生み出せるよう、スタッフ一同明るく笑顔で対応できるよう心掛けています。 もし治療や価格、アクセスに関するご質問や不安な点等ございましたら、お気軽にお相談ください。 世田谷区、二子玉川、用賀、桜新町、川崎市、狛江市、高津区、中原区などから通われる患者さん、その他、東京、神奈川、千葉、茨城、栃木、群馬、埼玉など関東全域、その他の県などの遠方からもいらっしゃる患者様の美しい歯並びと笑顔をサポートいたします。 歯並びなどでお悩みの方は是非、一度足を運んでみてください。
はじめまして。二子玉川駅前矯正歯科、院長の櫻井雄太と申します。 矯正治療(歯列矯正)によって歯並び・噛み合わせを整えることは、さまざまな効果につながります。自分に自信が持てるようになったり、積極的になれたり、メンタル面への効果も期待できるでしょう。私自身も矯正治療(歯列矯正)を経験し、歯並びが綺麗になってコンプレックスが改善される喜びを実感した一人です。「この喜びを皆様に共感して欲しい」という気持ちで、日々矯正治療(歯列矯正)に取り組んでいます。
当院では、患者様に「目立たない方法で矯正治療(歯列矯正)を受けて頂きたい」という思いで、開院当初より表側から見えない裏側矯正(舌側矯正)と、透明で目立たないマウスピース型矯正装置(インビザライン)を採用し、今日に至るまで幅広い症例に対応してきました。小学生から60代の方まで、老若男女問わず、多くの患者様に治療を受けていただいています。 スポーツや楽器の演奏、接客業・営業などのお仕事等、さまざまな理由で矯正治療(歯列矯正)をあきらめている方に、裏側矯正(舌側矯正)とマウスピース型矯正装置(インビザライン)による治療をおすすめしています。

「キレイな歯並びになりたい」という理由から治療を希望される方が多いのですが、当院の矯正治療(歯列矯正)は、「見た目だけでなく、正しい咬合に調整」することを目標としています。 そのため、お口の中の状態によっては、マウスピース型矯正装置(インビザライン)でも効率良く治療を行うためにワイヤー矯正装置も取り入れる場合がございます。この場合、できるだけワイヤーが見えないように奥歯だけにワイヤーを装着するなど、見た目に配慮し、装着期間をなるべく短くするように努めます。ご希望の装置をメインとした、快適性の高い矯正治療(歯列矯正)を心がけています。
また、装置の特性を生かし、「できるだけ歯を抜かない矯正治療」に努めています。どうしても抜歯が必要な患者様にも、裏側矯正(舌側矯正)やマウスピース矯正装置(インビザライン)で対応が可能です。まずは矯正治療(歯列矯正)をあきらめないで、お気軽にご相談いただきたいと思います。 当院での矯正治療(歯列矯正)をきっかけに、患者様の人生がより豊かになることを心より願っています。
二子玉川の矯正歯科「二子玉川駅前矯正歯科」は、二子玉川駅から徒歩2分の立地にあります。ここでは多くの患者様から評判の良い「スマイル+さくらい歯列矯正歯科二子玉川」の内観などの一部をご紹介します。
世田谷区二子玉川にある矯正歯科「二子玉川駅前矯正歯科」は、二子玉川駅西口から徒歩2分の立地にあります。3Fまでお越しください。エレベーターと階段があります。
二子玉川駅前矯正歯科の入口です。「TK第1ビル」の3Fまで来たら、エレベーターを降りてすぐ右側に入口があります。階段でお越しの場合には3Fの左手が入口です。
二子玉川駅前矯正歯科では、キッズスペースも完備しています。お子様をお連れの場合でも安心して診療を受けていただけます。
二子玉川駅前矯正歯科の受付と待合室です。お越しの際はまずは受付でお手続き下さい。また、お待ちの際にはソファーでリラックスしてお待ちください。
世田谷区にある二子玉川駅前矯正歯科では、カウンセリングルームを完備しています。矯正治療についてのご相談はこちらの個室で落ち着いた環境でお伺いさせていただきます。
世田谷区二子玉川の二子玉川駅前矯正歯科の診療スペースです。天井にはモニターを設置しており、あおむけの状態でもモニター画面を見ることができます。
二子玉川駅前矯正歯科では、お子さま連れの患者さまにも安心してご来院いただけるよう、充実したキッズスペースをご用意しています。絵本やぬいぐるみ、ブロックやパズルなど、さまざまなおもちゃを取り揃え、待ち時間も楽しく過ごせる環境を整えました。お子さまが遊びながら自然に“歯医者さんは楽しい場所”と感じていただけるよう配慮しています。これにより、小さなお子さまの不安や緊張の軽減にもつながり、親御さまも安心して治療に専念できる空間です 。笑顔と安心を届ける当院のキッズスペースで、どうぞリラックスしてお過ごしください。
二子玉川の矯正歯科「二子玉川駅前矯正歯科」では、は、世田谷区二子玉川駅すぐにある矯正専門の矯正歯科です。ここでは、患者様から評判がよく、口コミなどの要因にもなっている質の高い矯正治療を支える先進の医療設備についてご紹介します。
二子玉川駅前矯正歯科では、「光加速矯正(オーソパルス・オルソパルス)」を採用しています。当院の短期集中治療なら、治療期間を1/2~1/3程度まで短縮させることも可能です。
世田谷区二子玉川の二子玉川駅前矯正歯科では「iTero(アイテロ)」を完備しています。お口をスキャンしてデータ化するため、シリコンの型取りは必要ありません。
二子玉川駅前矯正歯科で導入している「iTero(アイテロ)」では付属の口腔内スキャンを使用し、特殊な光を歯に当てるだけで、お口の中をデジタルで再現することができます。
アウトカムシミュレーションでは、スキャナーで読み取ったデータを用い、現在の歯並びから治療後の歯並びを治療前にシミュレーションしてその場で確認することができます。
クリンチェックは、歯牙移動シミュレーションソフトウェアです。口腔内スキャンによるデジタルデータを元に、治療開始から治療終了までの歯の動きを細かく再現します。
二子玉川駅前矯正歯科では、矯正治療に重要な「セファログラム」を完備しています。同じ規格で撮影することで、歯の動きや傾きの変化、骨の動きなどを把握できます。
二子玉川の矯正歯科「二子玉川駅前矯正歯科」は、「iTero Lumina(アイテロ ルミナ)」導入医院です。「iTero Lumina(アイテロ ルミナ)」は、米国アラインテクノロジー社が開発した、光学印象口腔内スキャナーです。お口の中をスキャンすることで、歯型をデジタルデータで3次元化し、矯正の制度を上げることができます。また現在の歯並びから治療後の歯並びを治療前にシミュレーションしてその場で確認することができます。当院ではこのiTeroの中でも、ハイスペックな上位モデルである「iTero Lumina(アイテロ ルミナ)」を導入しています。
二子玉川の矯正歯科「二子玉川駅前矯正歯科」は、「光加速矯正(オーソパルス・オルソパルス)」導入医院です。「光加速矯正(オーソパルス・オルソパルス)」は、自分で簡単に光加速治療ができる装置です。光加速矯正(オーソパルス・オルソパルス)は、光を当てることによって骨の再生を刺激し、矯正治療のスピードを加速します。近赤外線を歯の周囲組織に照射することで、細胞エネルギーを活性化させ、矯正治療のスピードを加速させ、痛みも軽減する新しい治療法です。
二子玉川の矯正歯科「二子玉川駅前矯正歯科」は、「振動型フィッテング装置(バイブアジャストメント)」導入医院です。振動型フィッテング装置(バイブアジャストメント)は、歯の周囲組織に微細な振動を与える装置で、歯の周囲組織の細胞が活性化されます。光加速装置と併用してバイブアジャストメントを1日6分間使用することで、治療期間を従来の半分以下の日数に短縮することも期待できます。
This website stores cookies on your computer. These cookies are used to provide a more personalized experience and to track your whereabouts around our website in compliance with the European General Data Protection Regulation. If you decide to to opt-out of any future tracking, a cookie will be setup in your browser to remember this choice for one year.
Accept or Deny