大人の正中のずれの症状について

治療法:インビザライン / 非抜歯 / 治療期間:1年6か月 / 費用:55万円(調整費、保定費まで含む総額制) / リスク・副作用:痛み・治療後の後戻り・歯根吸収・歯髄壊死・歯肉退縮
正中のずれとは、上顎と下顎の歯列の中心(正中線)が一致していない状態を指します。通常、上顎と下顎の正中は、顔面の中心線と一致していることが理想的ですが、左右いずれかに偏っている場合、審美的な違和感や咬合の不調和を引き起こすことがあります。原因としては、左右非対称な歯の萌出、歯の早期喪失、顎の成長のアンバランス、悪習癖(頬杖・片側咀嚼)などが挙げられます。正中のずれがあると、歯列全体や顎関節に不均等な力がかかるため、矯正治療においては重要な診断項目の一つとなります。特に重度の正中偏位は、骨格的な問題を伴うことがあり、単なる歯の移動だけでなく顎の成長方向や筋機能の評価も必要になります。
大人の正中のずれの治療例 ~ ビフォーアフターとご説明
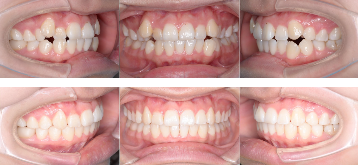
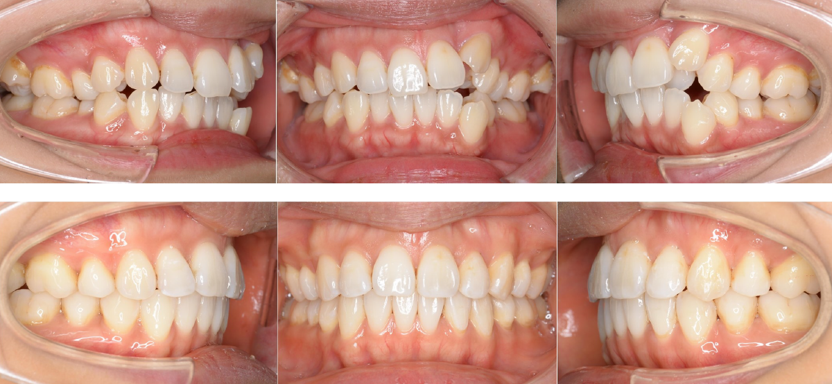
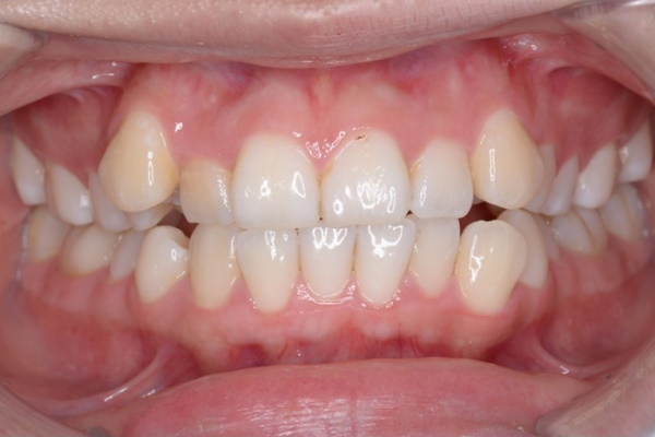
①大人の正中のずれの矯正治療例(20代女性・治療期間1年6か月)

| 年齢・性別 | 20代女性 |
| 治療期間 | 1年6か月 |
| 抜歯 | なし |
| 治療費 | 50万円(調整費、保定費まで含む総額制) |
| 備考 | インビザライン |
| リスク・副作用 | 痛み・治療後の後戻り・歯根吸収・歯髄壊死・歯肉退縮 |
東京都港区からご来院の20代女性で、八重歯(犬歯突出)と叢生(前歯のでこぼこ)の症状がありました。
治療法はインビザライン矯正で、治療期間は1年6か月です。
非抜歯で矯正治療を行い、キレイな歯並びになりました。
治療法はインビザライン矯正で、治療期間は1年6か月です。
非抜歯で矯正治療を行い、キレイな歯並びになりました。
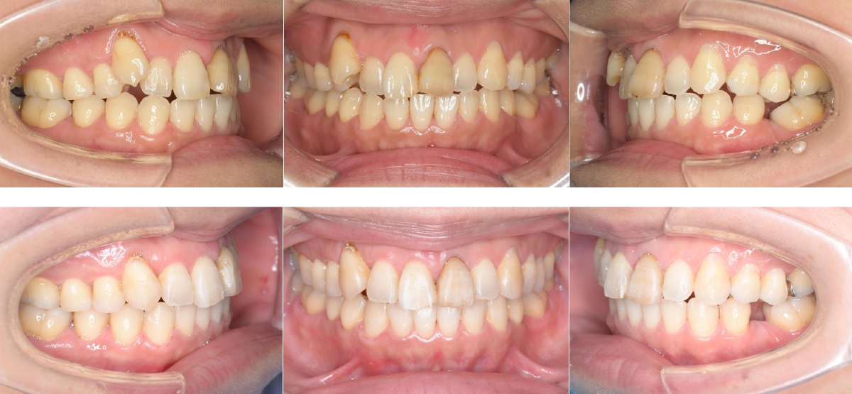
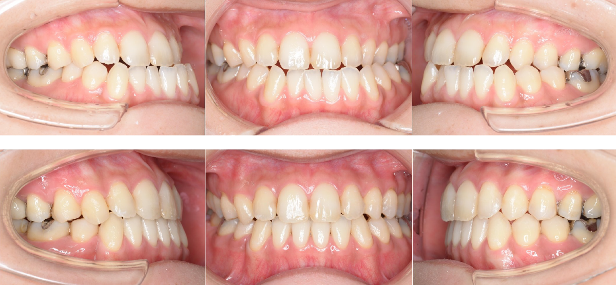
②大人の正中のずれの矯正治療例(40代女性・治療期間1年4か月)

| 年齢・性別 | 40代女性 |
| 治療期間 | 1年4か月 |
| 抜歯 | なし |
| 治療費 | 50万円(調整費、保定費まで含む総額制) |
| 備考 | インビザライン |
| リスク・副作用 | 痛み・治療後の後戻り・歯根吸収・歯髄壊死・歯肉退縮 |
東京都世田谷区内からご来院の40代女性で、正中のずれ(正中偏位)と八重歯(犬歯突出)と叢生(前歯のでこぼこ)の症状がありました。
治療法はインビザライン矯正で、治療期間は1年4か月です。
非抜歯で矯正治療を行い、キレイな歯並びになりました。
治療法はインビザライン矯正で、治療期間は1年4か月です。
非抜歯で矯正治療を行い、キレイな歯並びになりました。
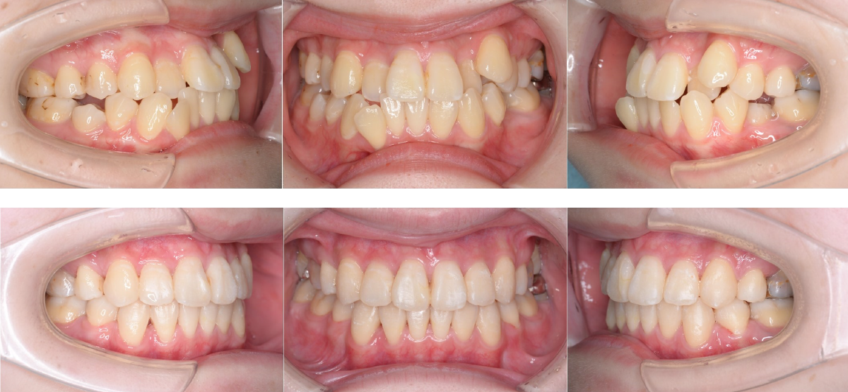
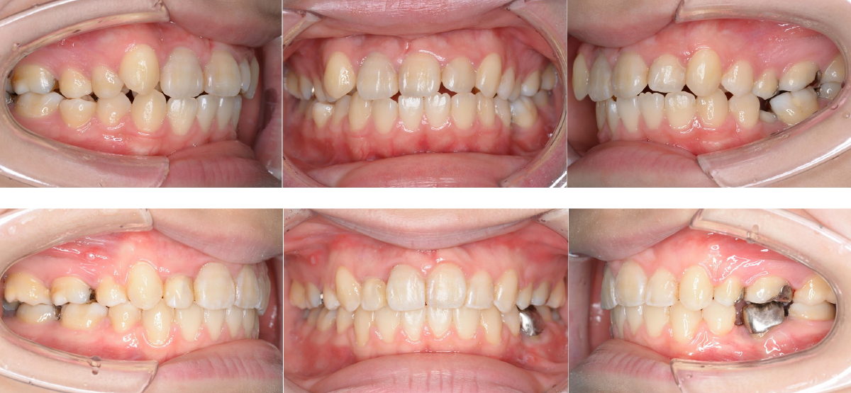
③大人の正中のずれの矯正治療例(20代女性・治療期間2年)

| 年齢・性別 | 20代女性 |
| 治療期間 | 2年 |
| 抜歯 | 上2本下2本(小臼歯) |
| 治療費 | 50万円(調整費、保定費まで含む総額制) |
| 備考 | インビザライン |
| リスク・副作用 | 痛み・治療後の後戻り・歯根吸収・歯髄壊死・歯肉退縮 |
東京都練馬区からご来院の20代女性で、叢生(前歯のでこぼこ)と八重歯(犬歯突出)と上下顎前突(口ゴボ)の症状がありました。
治療法はインビザライン矯正で、治療期間は2年です。
4本抜歯で矯正治療を行い、キレイな歯並びになりました。
治療法はインビザライン矯正で、治療期間は2年です。
4本抜歯で矯正治療を行い、キレイな歯並びになりました。
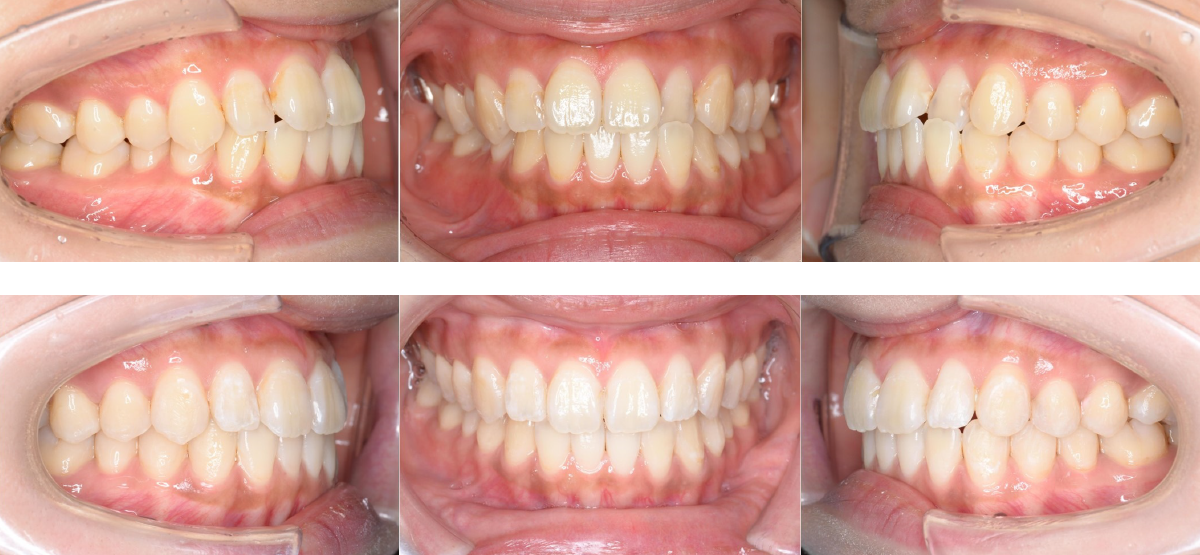
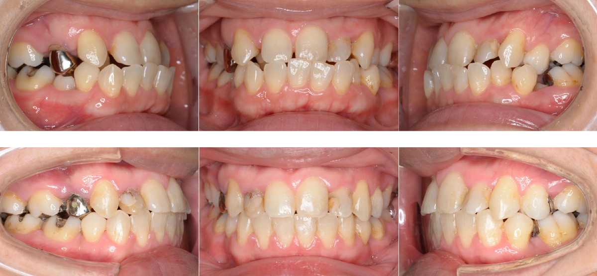
④大人の正中のずれの矯正治療例(20代女性・治療期間1年2か月)

| 年齢・性別 | 20代女性 |
| 治療期間 | 1年2か月 |
| 抜歯 | なし |
| 治療費 | 60万円(調整費、保定費まで含む総額制) |
| 備考 | インビザライン |
| リスク・副作用 | 痛み・治療後の後戻り・歯根吸収・歯髄壊死・歯肉退縮 |
神奈川県川崎市からご来院の20代女性で、叢生(前歯のでこぼこ)と交叉咬合(すれ違い)の症状がありました。
治療法はインビザライン矯正で、治療期間は1年2か月です。
非抜歯で矯正治療を行い、キレイな歯並びになりました。
治療法はインビザライン矯正で、治療期間は1年2か月です。
非抜歯で矯正治療を行い、キレイな歯並びになりました。
⑤大人の正中のずれの矯正治療例(30代女性・治療期間2年1か月)

| 年齢・性別 | 30代女性 |
| 治療期間 | 2年1か月 |
| 抜歯 | 上3本、下1本(小臼歯) |
| 治療費 | 99万円(調整費、保定費まで含む総額制) |
| 備考 | インビザライン |
| リスク・副作用 | 痛み・治療後の後戻り・歯根吸収・歯髄壊死・歯肉退縮 |
東京都町田市内からご来院の20代女性で、叢生(前歯のでこぼこ)と八重歯(犬歯突出)と交叉咬合(すれ違い)の症状がありました。
治療法は裏側矯正(舌側矯正)で、治療期間は2年1か月です。
上顎は第一大臼歯を抜歯し、親知らずを活かす計画で治療しました。
治療法は裏側矯正(舌側矯正)で、治療期間は2年1か月です。
上顎は第一大臼歯を抜歯し、親知らずを活かす計画で治療しました。
⑥大人の正中のずれの矯正治療例(30代女性・治療期間2年5か月)

| 年齢・性別 | 30代女性 |
| 治療期間 | 2年5か月 |
| 抜歯 | 下1本(小臼歯) |
| 治療費 | 99万円(調整費、保定費まで含む総額制) |
| 備考 | インビザライン |
| リスク・副作用 | 痛み・治療後の後戻り・歯根吸収・歯髄壊死・歯肉退縮 |
東京都世田谷区内からご来院の30代女性で、受け口(反対咬合)と交叉咬合(すれ違い)の症状がありました。
治療法は裏側矯正(舌側矯正)で、治療期間は2年5か月です。
1本抜歯で矯正治療を行い、キレイな歯並びになりました。
治療法は裏側矯正(舌側矯正)で、治療期間は2年5か月です。
1本抜歯で矯正治療を行い、キレイな歯並びになりました。
⑦大人の正中のずれの矯正治療例(20代女性・治療期間2年1か月)

| 年齢・性別 | 20代女性 |
| 治療期間 | 2年1か月 |
| 抜歯 | 上2本、下2本(小臼歯) |
| 治療費 | 40万円(調整費、保定費まで含む総額制) |
| 備考 | インビザライン |
| リスク・副作用 | 痛み・治療後の後戻り・歯根吸収・歯髄壊死・歯肉退縮 |
神奈川県横浜市からご来院の20代女性で、叢生(前歯のでこぼこ)と交叉咬合(すれ違い)の症状がありました。
治療法は裏側矯正(舌側矯正)で、治療期間は2年1か月です。
4本抜歯で矯正治療を行い、キレイな歯並びになりました。
治療法は裏側矯正(舌側矯正)で、治療期間は2年1か月です。
4本抜歯で矯正治療を行い、キレイな歯並びになりました。
⑧大人の正中のずれの矯正治療例(40代女性・治療期間2年3か月)

| 年齢・性別 | 40代女性 |
| 治療期間 | 2年3か月 |
| 抜歯 | 上1本、下2本(小臼歯) |
| 治療費 | 35万円(調整費、保定費まで含む総額制) |
| 備考 | インビザライン |
| リスク・副作用 | 痛み・治療後の後戻り・歯根吸収・歯髄壊死・歯肉退縮 |
神奈川県川崎市からご来院の40代女性で、叢生(前歯のでこぼこ)の症状がありました。
治療法は裏側矯正(舌側矯正)で、治療期間は2年3か月です。
3本抜歯で矯正治療を行い、キレイな歯並びになりました。
治療法は裏側矯正(舌側矯正)で、治療期間は2年3か月です。
3本抜歯で矯正治療を行い、キレイな歯並びになりました。
| 年齢・性別 | 20代女性 |
| 治療期間 | 1年6か月 |
| 抜歯 | なし |
| 治療費 | 50万円(調整費、保定費まで含む総額制) |
| 備考 | インビザライン |
| リスク・副作用 | 痛み・治療後の後戻り・歯根吸収・歯髄壊死・歯肉退縮 |
二子玉川で「大人の正中のずれ」の矯正治療を受けたい方は「無料相談」へ

「二子玉川駅前矯正歯科」では、経験豊富な矯正認定医の資格を持つ矯正専門の矯正医が、責任を持って大人の正中のずれの治療を担当します。また、歯並びに関する「無料相談」や「セカンドオピニオン」も行っておりますので、二子玉川で大人の正中のずれの矯正治療をお考えの方は、お気軽にお電話をいただくか、メールでご相談ください。経験豊富な矯正認定医の資格を持つ矯正専門の矯正医が、より素晴らしい笑顔へと歯並び治療でお手伝いさせていただきます。
初診無料相談のご予約 / メール相談(初診用) / 資料請求





