受け口の症状について

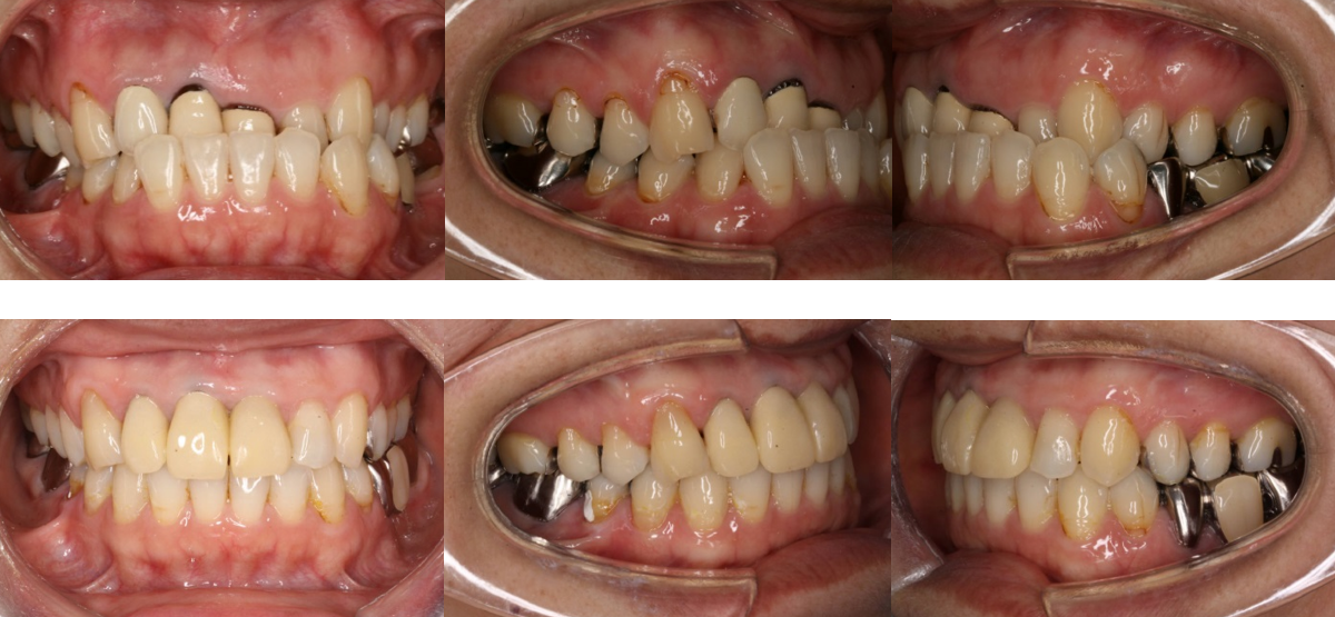
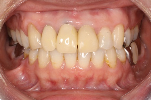
治療法:上下とも裏側矯正 / 非抜歯 / 治療期間:2年2か月 / 費用:100万円(調整費、保定費まで含む総額制) / リスク・副作用:痛み・治療後の後戻り・歯根吸収・歯髄壊死・歯肉退縮
受け口は、「下顎前突(下顎前突)」や「反対咬合(はんたいこうごう)」といいます。食事がしにくい、滑舌が悪い、顎関節が痛くなるなどや、顎が前に突き出すようになり、見た目が気になるなどのデメリットがあります。また受け口(下顎前突)の原因として「機能的」なものと「骨格的」なものとでは治療方針が変わってきます。
治療シミュレーション動画
受け口(下顎前突)によって食事に影響が出る
受け口(下顎前突)の方は、前歯の咬み合わせが上下逆になっており、前歯で食べ物を噛み切りづらくなりがちです。そのため奥歯の使用頻度が高まり、年齢を重ねると、奥歯を失っているケースが多いといわれています。また「サ」行の音が発音しにくかったり、舌の悪習癖を伴っているので、それも相まって、さらに滑舌が悪くなったりします。
受け口(下顎前突)によって顎関節症のリスクが上昇
受け口(下顎前突)の方は、前歯で噛んだ時には奥歯では噛めないなどの状態によって、顎関節に負担のかかる状況で噛んでいるため、顎関節症のリスクが高まります。
受け口(下顎前突)の治療
受け口(下顎前突)の治療方法は症状によって、大きく下記の2つに分けられます。
機能的な原因によるもの
前歯で噛むと奥歯で噛めなくなるなど、機能的な原因によるものでは、通常の矯正治療と変わりませんが、叢生や舌の悪習癖を伴っている場合が多いため、治療期間は1.5~2.5年程かかります。
骨格的な原因によるもの
前歯では全く噛めないなど、骨格的な原因によるものでは、矯正治療単独では改善が見込めないことから、顎の骨の形態修正を伴った、外科矯正の場合がほとんどです。
外科矯正のメリット
- 受け口(下顎前突)をあごの骨ごと改善できるので、側貌や咬み合わせを根本的に治すことが出来る
- 下顎の突出が解決すると、審美的にも改善され、コンプレックスの解消につながることがある。
- 健康保険適用で治療を受けられる
外科矯正のデメリット
- 全身麻酔での手術となるため、10日程度の入院が必要になり、術後の腫れなどが生じる。
- 下顎骨内の神経に障害が発生するリスクがある。
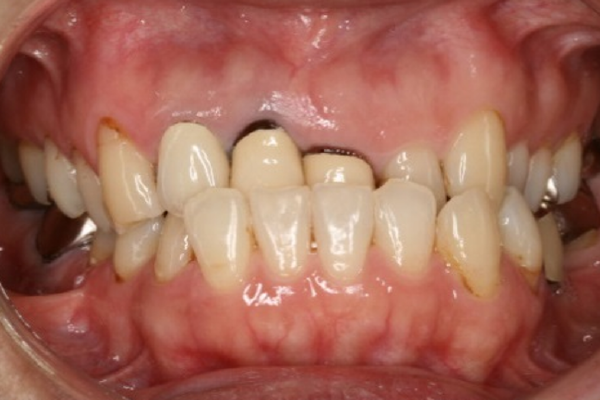
受け口の治療前

受け口の治療後

上の写真のように、以前であれば外科矯正を行ったようなケースでも、今はインプラント矯正によって、受け口(下顎前突)や、オトガイ部の突出感も改善できることがあります。
| 年齢・性別 | 50代女性 |
| 治療期間 | 2年2か月 |
| 抜歯 | なし |
| 治療費 | 100万円(調整費、保定費まで含む総額制) |
| 備考 | 裏側矯正、QH拡大、歯冠長延長術、補綴物再作製 |
| リスク・副作用 | 痛み・治療後の後戻り・歯根吸収・歯髄壊死・歯肉退縮 |
受け口(下顎前突)の治療例 ~ ビフォーアフターとご説明
①受け口(下顎前突)の矯正治療例(50代女性・治療期間2年2か月)

| 年齢・性別 | 50代女性 |
| 治療期間 | 2年2か月 |
| 抜歯 | なし |
| 治療費 | 100万円(調整費、保定費まで含む総額制) |
| 備考 | 裏側矯正、QH拡大、歯冠長延長術、補綴物再作製 |
| リスク・副作用 | 痛み・治療後の後戻り・歯根吸収・歯髄壊死・歯肉退縮 |
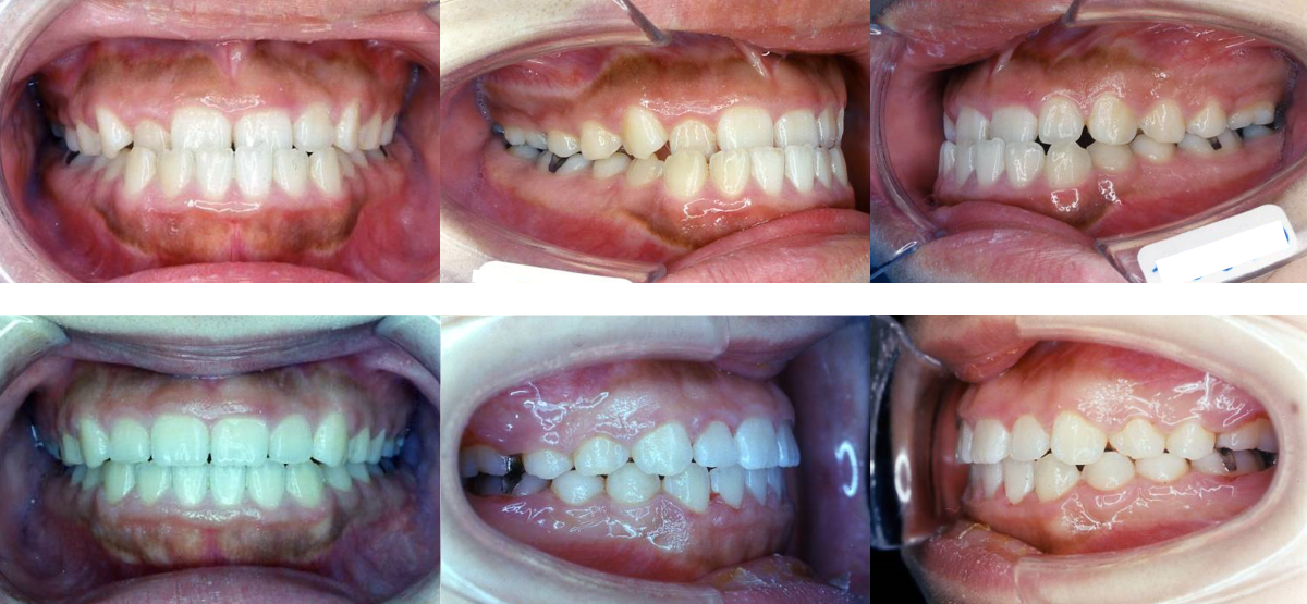
②受け口(下顎前突)の矯正治療例(20代男性・治療期間2年3か月)

| 年齢・性別 | 20代男性 |
| 治療期間 | 2年3か月 |
| 抜歯 | なし |
| 治療費 | 50万円(調整費、保定費まで含む総額制) |
| 備考 | インビザライン、インプラントで下顎遠心移動 |
| リスク・副作用 | 痛み・治療後の後戻り・歯根吸収・歯髄壊死・歯肉退縮 |
③受け口(下顎前突)の矯正治療例(10代女性・治療期間2年)

| 年齢・性別 | 10代女性 |
| 治療期間 | 2年 |
| 抜歯 | なし |
| 治療費 | 100万円(調整費、保定費まで含む総額制) |
| 備考 | 裏側矯正 |
| リスク・副作用 | 痛み・治療後の後戻り・歯根吸収・歯髄壊死・歯肉退縮 |
④受け口(下顎前突)の矯正治療例(10代女性・治療期間2年1か月)

| 年齢・性別 | 10代女性 |
| 治療期間 | 2年1か月 |
| 抜歯 | 下1本(小臼歯) |
| 治療費 | 50万円(調整費、保定費まで含む総額制) |
| 備考 | インビザライン |
| リスク・副作用 | 痛み・治療後の後戻り・歯根吸収・歯髄壊死・歯肉退縮 |
| 年齢・性別 | 50代女性 |
| 治療期間 | 2年2か月 |
| 抜歯 | なし |
| 治療費 | 100万円(調整費、保定費まで含む総額制) |
| 備考 | 裏側矯正、QH拡大、歯冠長延長術、補綴物再作製 |
| リスク・副作用 | 痛み・治療後の後戻り・歯根吸収・歯髄壊死・歯肉退縮 |
二子玉川で「受け口(下顎前突)」の矯正治療を受けたい方は「無料相談」へ

「二子玉川駅前矯正歯科」では、経験豊富な矯正認定医の資格を持つ矯正専門の矯正医が、責任を持って受け口(下顎前突)の治療を担当します。また、歯並びに関する「無料相談」や「セカンドオピニオン」も行っておりますので、二子玉川で受け口(下顎前突)の矯正治療をお考えの方は、お気軽にお電話をいただくか、メールでご相談ください。経験豊富な矯正認定医の資格を持つ矯正専門の矯正医が、より素晴らしい笑顔へと歯並び治療でお手伝いさせていただきます。
初診無料相談のご予約 / メール相談(初診用) / 資料請求





