50代で始める矯正治療について

治療法:上下とも裏側矯正 / 非抜歯 / 治療期間:2年 / 費用:100万円(調整費、保定費まで含む総額制) / リスク・副作用:痛み・治療後の後戻り・歯根吸収・歯髄壊死・歯肉退縮
矯正治療は50代からは手遅れだと思っていませんか?矯正治療をスタートするにあたって年齢による制限はありません。「もっと綺麗になりたい」「自分の歯で一生おいしく食べたい」と思われるのでしたら、10年後や20年後に「あの時、矯正治療をしておけばよかった。」と思うよりも、「あの時、矯正治療を受けておいて良かった!」と思えるように、二子玉川駅前矯正歯科では矯正治療をさせていただきます。
年齢で矯正治療を諦める必要はありません
「年齢的に、矯正治療なんて今さら手遅れなのではないか…」と心配されている方は少なくありません。実際、歯周病が進行してしまっている場合など、口腔内の問題によっては歯を動かすことが難しい場合があります。しかし、基本的に健康な歯茎と歯を支える歯槽骨があれば、年齢関係なく矯正治療は可能です。「もっと綺麗になりたい」「自分の歯で一生おいしく食べたい」というお気持ちを、年齢のことで諦める必要はないのです。まずは二子玉川駅前矯正歯科までご相談下さい。
50代で治療を開始するケースとは
50代になり、歯列矯正を始めようとお考えの方で、様々なケースがありますが、いくつかの共通する項目もあります。
- 将来の健康のために今のうちに歯並びを治しておきたい。
- いつまでも自分自身の歯でおいしく食べたい。
- 長年のコンプレックスを解消したい。
しかし「今なら間に合うのか」といったご不安を抱えられている方が少なくありません。もちろんお一人おひとり口腔内の状態は異なりますので、検査してからでなくては言えない部分もありますが、50代からの矯正治療については「決して遅いということはない」ということがいえます。「若い時に矯正治療をしておけばよかった。」とお考えの方も多くいらっしゃいますが、思い立ったこの機会に是非ご相談下さい。
50代で治療を開始することができるメリットとは
50代で始める矯正治療には、デメリットよりメリットの方が多いといえます。審美面もさることながら、今後迎える老後にも大きなメリットが期待できます。
- 噛み合わせが良くなることで消化が良くなる。
- 顎のバランス、全身のバランスが良くなることで、頭痛や肩・首凝りから解放されることが期待できる。
- 噛み合わせが良い状態で噛むことができ、脳の活性化さによって認知症の予防が期待できる。
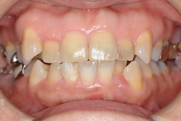
治療前

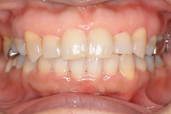
治療後

50代で矯正治療を受けてもこのようにきれいに整っています。治療後の方が印象は断然良くなっており、患者様の長年にわたるコンプレックスも解消されたといえるでしょう。治療前には自信の無かった笑顔が、治療後には自信をもって笑顔になれるよう好転したのです。
| 年齢・性別 | 50代女性 |
| 治療期間 | 2年 |
| 抜歯 | なし |
| 治療費 | 100万円(調整費、保定費まで含む総額制) |
| 備考 | 上下とも裏側矯正 |
| リスク・副作用 | 痛み・治療後の後戻り・歯根吸収・歯髄壊死・歯肉退縮 |
50代の矯正治療例 ~ ビフォーアフターとご説明
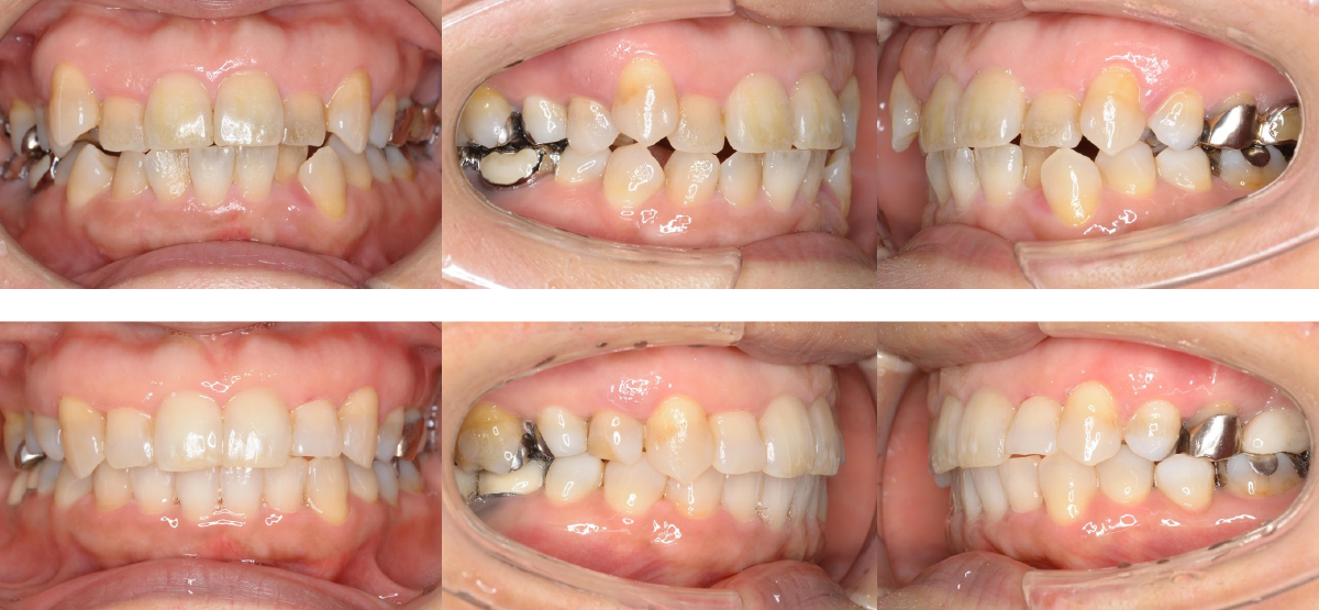
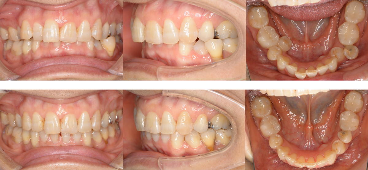
①50代の矯正治療例(50代女性・治療期間2年)

| 年齢・性別 | 50代女性 |
| 治療期間 | 2年 |
| 抜歯 | なし |
| 治療費 | 100万円(調整費、保定費まで含む総額制) |
| 備考 | 上下とも裏側矯正 |
| リスク・副作用 | 痛み・治療後の後戻り・歯根吸収・歯髄壊死・歯肉退縮 |
治療期間は2年です。
非抜歯で矯正治療を行い、キレイな歯並びになりました。
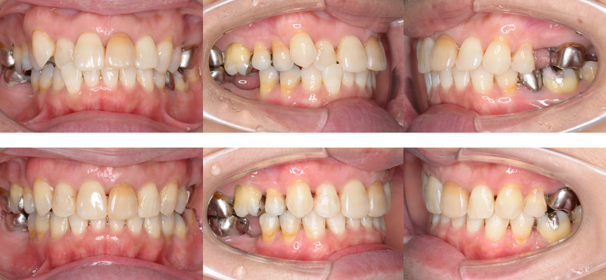
②50代の矯正治療例(50代女性・治療期間2年7か月)

| 年齢・性別 | 50代女性 |
| 治療期間 | 2年7か月 |
| 抜歯 | 下1本(小臼歯) |
| 治療費 | 80万円(調整費、保定費まで含む総額制) |
| 備考 | インビザライン |
| リスク・副作用 | 痛み・治療後の後戻り・歯根吸収・歯髄壊死・歯肉退縮 |
治療期間は2年7か月です。
1本抜歯で矯正治療を行い、キレイな歯並びになりました。
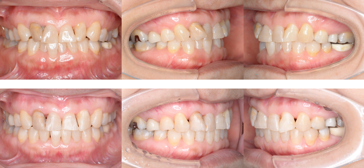
③50代の矯正治療例(50代女性・治療期間1年7か月)

| 年齢・性別 | 50代女性 |
| 治療期間 | 1年7か月 |
| 抜歯 | なし |
| 治療費 | 50万円(調整費、保定費まで含む総額制) |
| 備考 | インビザライン |
| リスク・副作用 | 痛み・治療後の後戻り・歯根吸収・歯髄壊死・歯肉退縮 |
治療期間は1年7か月です。
非抜歯で矯正治療を行い、キレイな歯並びになりました。
④50代の矯正治療例(50代女性・治療期間2年)

| 年齢・性別 | 50代女性 |
| 治療期間 | 2年 |
| 抜歯 | 上1本、下1本(小臼歯) |
| 治療費 | 60万円(調整費、保定費まで含む総額制) |
| 備考 | インビザライン |
| リスク・副作用 | 痛み・治療後の後戻り・歯根吸収・歯髄壊死・歯肉退縮 |
2本抜歯で矯正治療を行い、キレイな歯並びになりました。
⑤50代の矯正治療例(50代女性・治療期間1年11か月)

| 年齢・性別 | 50代女性 |
| 治療期間 | 1年11か月 |
| 抜歯 | なし |
| 治療費 | 50万円(調整費、保定費まで含む総額制) |
| 備考 | インビザライン |
| リスク・副作用 | 痛み・治療後の後戻り・歯根吸収・歯髄壊死・歯肉退縮 |
治療期間は1年11か月です。
非抜歯で矯正治療を行い、キレイな歯並びになりました。
| 年齢・性別 | 50代女性 |
| 治療期間 | 2年 |
| 抜歯 | なし |
| 治療費 | 100万円(調整費、保定費まで含む総額制) |
| 備考 | 上下とも裏側矯正 |
| リスク・副作用 | 痛み・治療後の後戻り・歯根吸収・歯髄壊死・歯肉退縮 |
50代から矯正治療を受けたい方は「無料相談」へ

「二子玉川駅前矯正歯科」では、経験豊富な矯正認定医の資格を持つ矯正専門の矯正医が、責任を持って50代の方の治療を担当します。また、歯並びに関する「無料相談」や「セカンドオピニオン」も行っておりますので、二子玉川で50代から矯正治療をお考えの方は、お気軽にお電話をいただくか、メールでご相談ください。経験豊富な矯正認定医の資格を持つ矯正専門の矯正医が、より素晴らしい笑顔へと歯並び治療でお手伝いさせていただきます。
初診無料相談のご予約 / メール相談(初診用) / 資料請求




