子供の出っ歯の症状について

治療法:インビザラインファースト / 非抜歯 / 治療期間:1年8か月 / 費用:37万円(調整費、保定費まで含む総額制) / リスク・副作用:痛み・治療後の後戻り・歯根吸収・歯髄壊死・歯肉退縮
子供の出っ歯(上顎前突)では、まだ成長期にあるため、顔が成長発育していく上で、上顎前突傾向になることもあります。お子様のお口の状態が気になる場合には、まずは二子玉川駅前矯正歯科までご相談下さい。
出っ歯(上顎前突)の原因
子供の出っ歯(上顎前突)の原因は大きく以下の4つに分けられます。
- 上の歯が前方に出ている
- 上の顎骨が前方に出ている
- 下の歯が後方に下がっている
- 下の顎骨が後方に下がっている
ほとんどのケースは、これら4つのうちの複数が併発することで上の歯が前方に突出します。歯が前方に出ていることで、歯が欠けたり、折れたりするリスクが高くなります。
子供の出っ歯(上顎前突)の治療開始時期

上顎の骨の成長はおおよそ8~9歳でほとんどが完成します。しかし下顎の骨はおおよそ10~12歳頃に大きく成長します。
そのためその時期を逃すと効果は低くなります。できるだけ早い段階で矯正歯科を受診していただき、その上で適切な開始時期に治療をスタートできるようにすることが理想的です。
子供の時期に出っ歯(上顎前突)を放置してしまうと…
小児の上顎前突を治療せずに放置してしまうと、成人矯正でかなりの確率で抜歯矯正となってしまいます。下顎の成長を促せなかった場合、顎が小さいままになり、顎の下のたるみが生じてしまうこともあります。
子供の出っ歯(上顎前突)の治療例 ~ ビフォーアフターとご説明
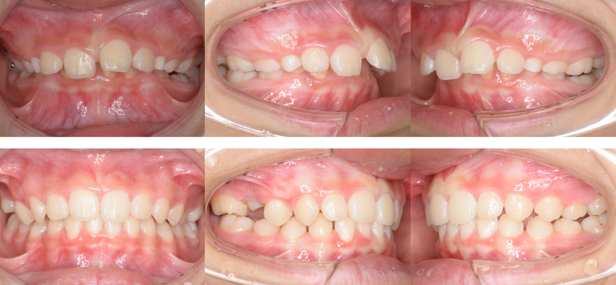
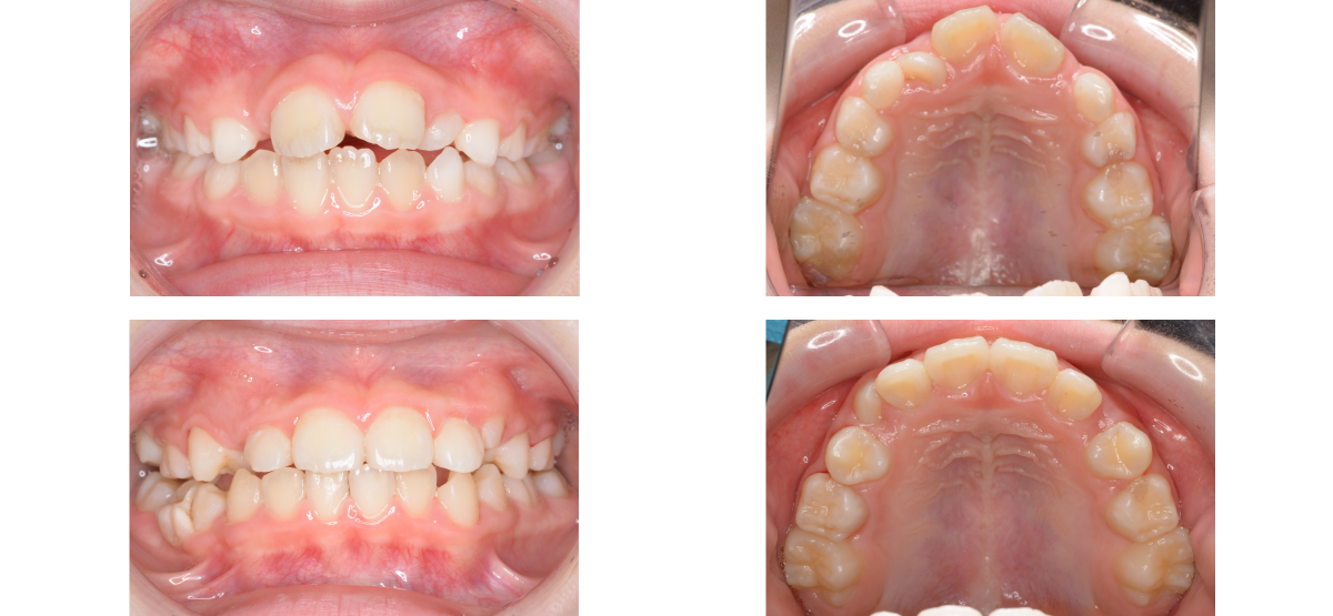
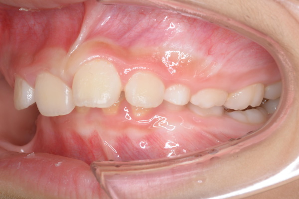
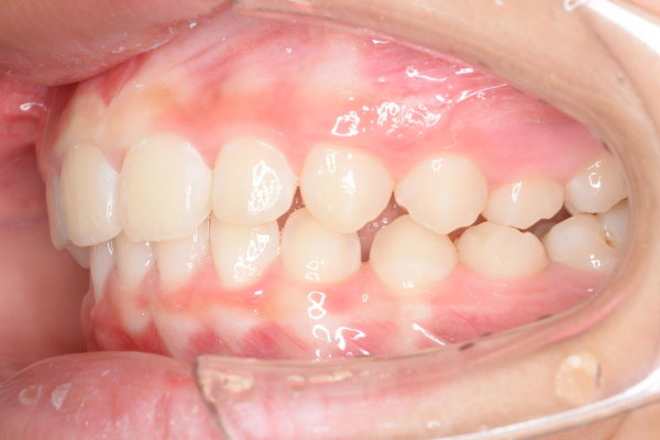
①子供(小児)の出っ歯の矯正治療例(9歳女児・治療期間1年8か月)

| 年齢・性別 | 9歳女児 |
| 治療期間 | 1年8か月 |
| 抜歯 | なし |
| 治療費 | 37万円(調整費、保定費まで含む総額制) |
| 備考 | インビザラインファースト |
| リスク・副作用 | 痛み・治療後の後戻り・歯根吸収・歯髄壊死・歯肉退縮 |
治療法は小児矯正(子供矯正)で、治療期間は1年8か月です。
可撤式矯正装置を用いて、過蓋咬合と前突を改善しました。
側方歯交換まで経過観察が必要です。
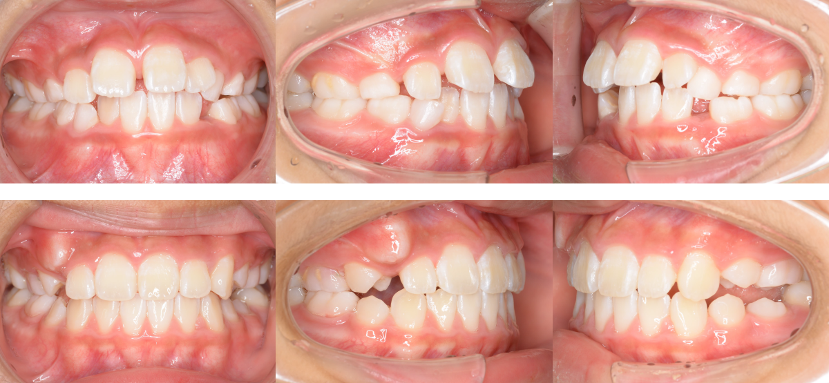
②子供(小児)の出っ歯の矯正治療例(9歳女児・治療期間1年2か月)

| 年齢・性別 | 9歳女児 |
| 治療期間 | 1年2か月 |
| 抜歯 | なし |
| 治療費 | 27万円(調整費、保定費まで含む総額制) |
| 備考 | インビザラインファースト |
| リスク・副作用 | 痛み・治療後の後戻り・歯根吸収・歯髄壊死・歯肉退縮 |
治療法は小児矯正(子供矯正)で、治療期間は1年2か月です。
可撤式矯正装置を用いました。
前歯も綺麗に整い、噛み合わせも改善されました。
側方歯交換まで経過観察が必要です。
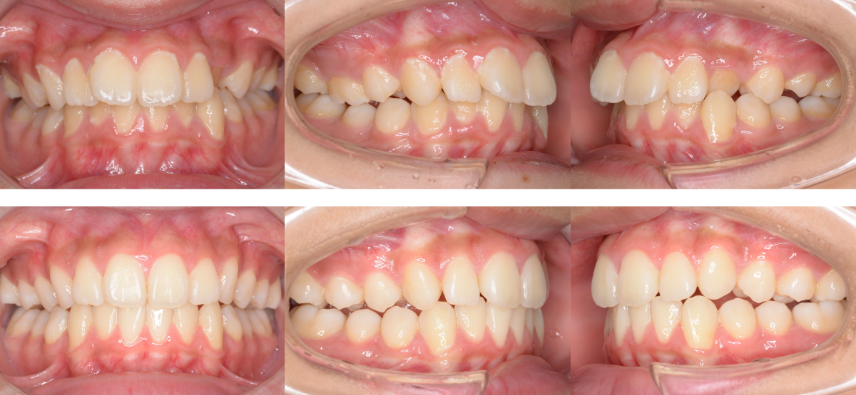
③子供(小児)の出っ歯の矯正治療例(11歳女児・治療期間11か月)

| 年齢・性別 | 11歳女児 |
| 治療期間 | 11か月 |
| 抜歯 | なし |
| 治療費 | 27万円(調整費、保定費まで含む総額制) |
| 備考 | インビザラインファースト |
| リスク・副作用 | 痛み・治療後の後戻り・歯根吸収・歯髄壊死・歯肉退縮 |
治療法は小児矯正(子供矯正)で、治療期間は11か月です。
可撤式矯正装置を用いて綺麗になりました。
側方歯交換まで経過観察が必要です。
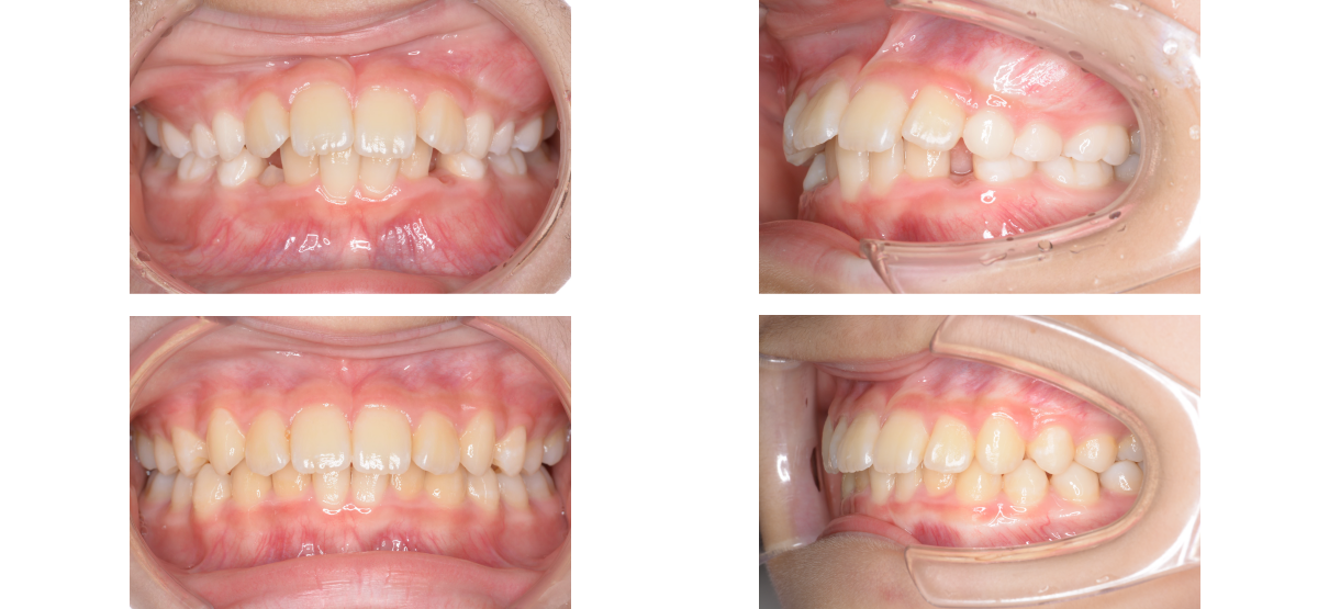
④子供(小児)の出っ歯の矯正治療例(10歳女児・治療期間1年6か月)

| 年齢・性別 | 10歳女児 |
| 治療期間 | 1年6か月 |
| 抜歯 | なし |
| 治療費 | 37万円(調整費、保定費まで含む総額制) |
| 備考 | インビザラインファースト |
| リスク・副作用 | 痛み・治療後の後戻り・歯根吸収・歯髄壊死・歯肉退縮 |
治療法は小児矯正(子供矯正)で、治療期間は1年6か月です。
可撤式矯正装置を用いて前突を改善しました。
第二大臼歯萌出後、歯列が崩れた場合は、二期治療が必要になります。
⑤子供(小児)の出っ歯の矯正治療例(小学生女子・治療期間1年7か月)

| 年齢・性別 | 小学生女子 |
| 治療期間 | 1年7か月 |
| 抜歯 | なし |
| 治療費 | 30万円(調整費、保定費まで含む総額制) |
| 備考 | |
| リスク・副作用 | 痛み・治療後の後戻り・歯根吸収・歯髄壊死・歯肉退縮 |
治療法は小児矯正(子供矯正)で、治療期間は1年7か月です。
上下歯列の拡大後、前歯を配列しました。
第二大臼歯萌出後、歯列が崩れた場合は、二期治療が必要になります。
| 年齢・性別 | 9歳女児 |
| 治療期間 | 1年8か月 |
| 抜歯 | なし |
| 治療費 | 37万円(調整費、保定費まで含む総額制) |
| 備考 | インビザラインファースト |
| リスク・副作用 | 痛み・治療後の後戻り・歯根吸収・歯髄壊死・歯肉退縮 |
二子玉川で「子供の出っ歯(上顎前突)」の矯正治療を受けたい方は「無料相談」へ

「二子玉川駅前矯正歯科」では、経験豊富な矯正認定医の資格を持つ矯正専門の矯正医が、責任を持って子供の出っ歯(上顎前突)の治療を担当します。また、歯並びに関する「無料相談」や「セカンドオピニオン」も行っておりますので、二子玉川で子供の出っ歯(上顎前突)の矯正治療をお考えの方は、お気軽にお電話をいただくか、メールでご相談ください。経験豊富な矯正認定医の資格を持つ矯正専門の矯正医が、より素晴らしい笑顔へと歯並び治療でお手伝いさせていただきます。
初診無料相談のご予約 / メール相談(初診用) / 資料請求




