開咬の症状について

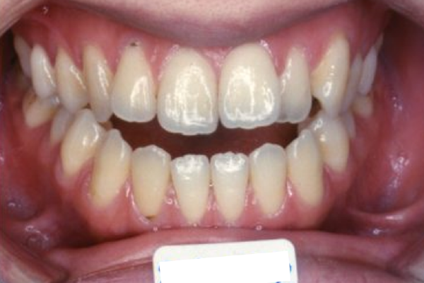
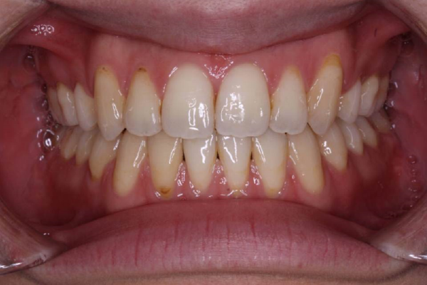
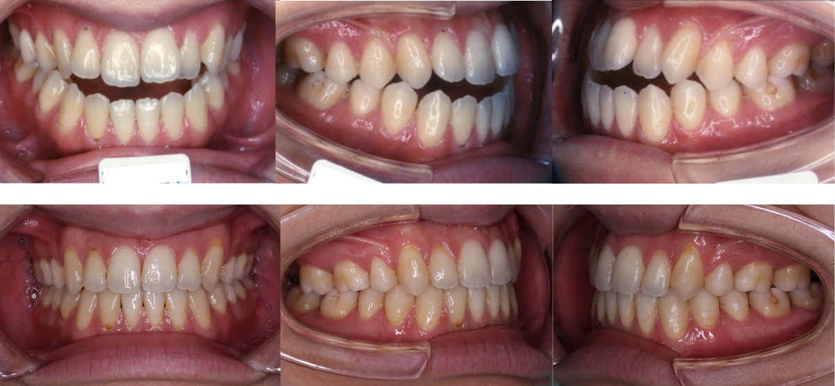
治療法:上下とも裏側矯正 / 抜歯:上2本(小臼歯) / 治療期間:2年2か月 / 費用:100万円(調整費、保定費まで含む総額制) / リスク・副作用:痛み・治療後の後戻り・歯根吸収・歯髄壊死・歯肉退縮
開咬(オープンバイト)は、奥歯で咬んだ時に、上下の前歯が当たらないことをいいます。開咬(オープンバイト)の場合は、下顎を動かしても前歯があたることはありません。前歯で食べものを噛み切れない、滑舌が悪い、唇が閉じにくいなどにつながります。
治療シミュレーション動画
舌の悪習慣が開咬(オープンバイト)につながる
舌の悪習癖は、開咬(オープンバイト)につながりやすいです。乳幼児の頃は母乳を飲む際、まだ歯が萌えていない歯茎と舌とで吸います。しかし、歯が萌えてくると口の奥で舌を使って飲み込むようになりますが、そのように変化しなかった方の多くは開咬になりがちです。
舌の裏側にあるスジ(舌小帯)が短いことが原因になることも
舌の裏側にあるスジ(舌小帯)が短いケースでは時に開咬の原因になります。舌小帯が短いケースでは、滑舌にも影響が出ることがあり、口腔外科などで切除することもあります。
開咬(オープンバイト)の治療
開咬(オープンバイト)の治療は難易度が高く、治療期間が長くなる傾向があります。また治療後の後戻りも多く発生するとされています。また、前歯が使われない分、奥歯に負担が過剰となるため、奥歯を失うリスクがとても高くなります。
治療前

治療後

開咬(オープンバイト)の治療は、MFT(筋機能療法)と呼ばれるトレーニングを矯正治療と並行して行ないます。
| 年齢・性別 | 10代女性 |
| 治療期間 | 2年2か月 |
| 抜歯 | 上2本(小臼歯) |
| 治療費 | 100万円(調整費、保定費まで含む総額制) |
| 備考 | 裏側矯正 |
| リスク・副作用 | 痛み・治療後の後戻り・歯根吸収・歯髄壊死・歯肉退縮 |
開咬の治療例 ~ ビフォーアフターとご説明
①開咬の矯正治療例(10代女性・治療期間2年2か月)

| 年齢・性別 | 10代女性 |
| 治療期間 | 2年2か月 |
| 抜歯 | 上2本(小臼歯) |
| 治療費 | 100万円(調整費、保定費まで含む総額制) |
| 備考 | 裏側矯正 |
| リスク・副作用 | 痛み・治療後の後戻り・歯根吸収・歯髄壊死・歯肉退縮 |
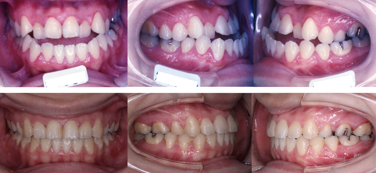
②開咬の矯正治療例(10代女性・治療期間2年4か月)

| 年齢・性別 | 10代女性 |
| 治療期間 | 2年4か月 |
| 抜歯 | 上2本(小臼歯) |
| 治療費 | 50万円(調整費、保定費まで含む総額制) |
| 備考 | インビザライン |
| リスク・副作用 | 痛み・治療後の後戻り・歯根吸収・歯髄壊死・歯肉退縮 |
| 年齢・性別 | 10代女性 |
| 治療期間 | 2年2か月 |
| 抜歯 | 上2本(小臼歯) |
| 治療費 | 100万円(調整費、保定費まで含む総額制) |
| 備考 | 裏側矯正 |
| リスク・副作用 | 痛み・治療後の後戻り・歯根吸収・歯髄壊死・歯肉退縮 |
二子玉川で「開咬(オープンバイト)」の矯正治療を受けたい方は「無料相談」へ

「二子玉川駅前矯正歯科」では、経験豊富な矯正認定医の資格を持つ矯正専門の矯正医が、責任を持って開咬(オープンバイト)の治療を担当します。また、歯並びに関する「無料相談」や「セカンドオピニオン」も行っておりますので、二子玉川で開咬(オープンバイト)の矯正治療をお考えの方は、お気軽にお電話をいただくか、メールでご相談ください。経験豊富な矯正認定医の資格を持つ矯正専門の矯正医が、より素晴らしい笑顔へと歯並び治療でお手伝いさせていただきます。
初診無料相談のご予約 / メール相談(初診用) / 資料請求



