子供(小児)の過蓋咬合の症状について

過蓋咬合は「ディープバイト」とも呼ばれ、下の前歯が見えなくなるほど上の前歯が下の前歯にかぶさってしまっている状態です。深く噛み合わさる事で、顎の動きが制限されて、顎関節へ過剰な負担がかかってしまい痛みが出ることもあります。歯肉に炎症が起こることもありますので、早めの受診をおすすめします。
治療シミュレーション動画
子供(小児)の過蓋咬合の原因
過蓋咬合の原因として以下のようなものが考えられます。
- 上顎に対して下顎が後方にある場合
- 乳歯を虫歯などで早期に失って奥歯が十分に伸びてこれなくなっている場合
- 遺伝による骨格や歯の異常がある場合
子供(小児)のうちに過蓋咬合を改善することで、顎への負担を軽減させたり、歯周病のリスクを低減することにもつながります。
子供(小児)の過蓋咬合の治療
顎の正常な成長を阻害させるような悪習癖がある場合は改善に取り組みます。上下の顎のアンバランスがある場合には骨格的な要因から改善に取り組みます。
子供(小児)の過蓋咬合に適した治療開始時期

子供(小児)の過蓋咬合の治療は基本的に、前歯が4本揃った6歳前後から開始して、多くの場合でマウスピースや床矯正装置など、取り外し可能なタイプの装置を使用します。
子供(小児)の過蓋咬合の治療例 ~ ビフォーアフターとご説明
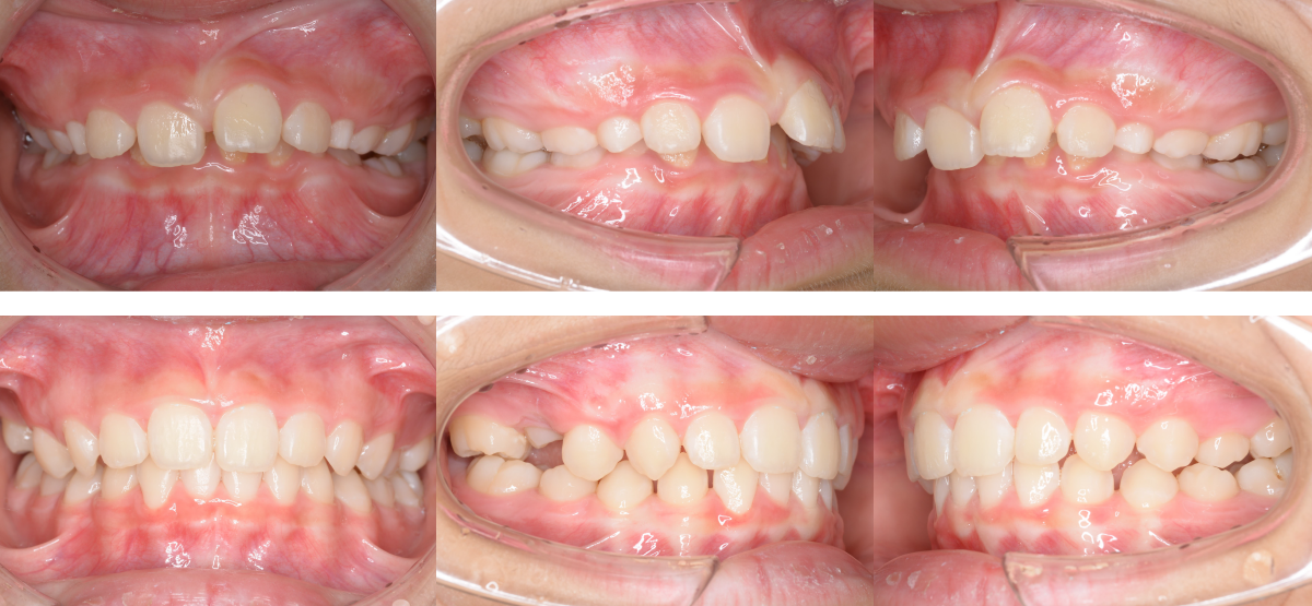
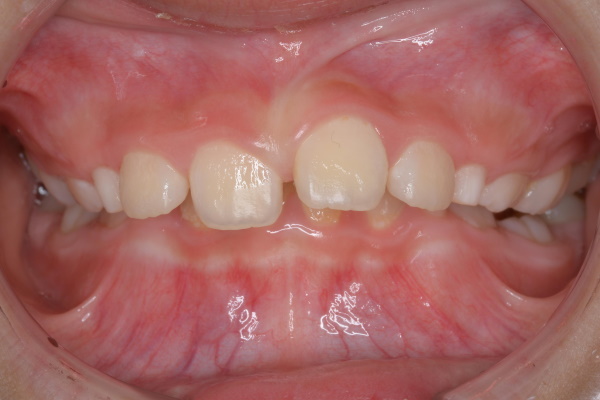
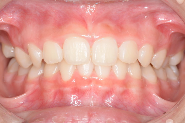
①子供(小児)の過蓋咬合の矯正治療例(9歳女児・治療期間1年8か月)

| 年齢・性別 | 9歳女児 |
| 治療期間 | 1年8か月 |
| 抜歯 | なし |
| 治療費 | 37万円(調整費、保定費まで含む総額制) |
| 備考 | インビザラインファースト |
世田谷区内からご来院の小学生女子で、出っ歯(上顎前突)と過蓋咬合(深噛み)とすきっ歯(空隙歯列)の症状がありました。
治療法は小児矯正(子供矯正)で、治療期間は1年8か月です。
可撤式矯正装置を用いて、過蓋咬合と前突を改善しました。
側方歯交換まで経過観察が必要です。
治療法は小児矯正(子供矯正)で、治療期間は1年8か月です。
可撤式矯正装置を用いて、過蓋咬合と前突を改善しました。
側方歯交換まで経過観察が必要です。
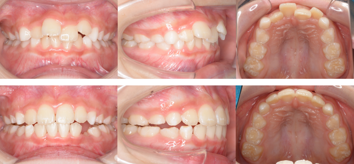
②子供(小児)の過蓋咬合の矯正治療例(7歳女児・治療期間1年1か月)

| 年齢・性別 | 7歳女児 |
| 治療期間 | 1年1か月 |
| 抜歯 | なし |
| 治療費 | 37万円(調整費、保定費まで含む総額制) |
| 備考 | インビザラインファースト |
世田谷区内からご来院の小学生女子で、叢生(前歯のでこぼこ)と過蓋咬合(深噛み)の症状がありました。
治療法は小児矯正(子供矯正)で、治療期間は1年1か月です。
可撤式矯正装置を用いて、萌出スペースを確保しました。
側方歯交換まで経過観察が必要です。
治療法は小児矯正(子供矯正)で、治療期間は1年1か月です。
可撤式矯正装置を用いて、萌出スペースを確保しました。
側方歯交換まで経過観察が必要です。
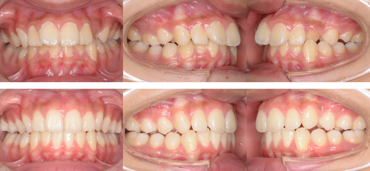
③子供(小児)の過蓋咬合の矯正治療例(11歳女児・治療期間11か月)

| 年齢・性別 | 11歳女児 |
| 治療期間 | 11か月 |
| 抜歯 | なし |
| 治療費 | 27万円(調整費、保定費まで含む総額制) |
| 備考 | インビザラインファースト |
世田谷区内からご来院の小学生女子で、と過蓋咬合(深噛み)と叢生(前歯のでこぼこ)の症状がありました。
治療法は小児矯正(子供矯正)で、治療期間は11か月です。
可撤式矯正装置を用いて綺麗になりました。
側方歯交換まで経過観察が必要です。
治療法は小児矯正(子供矯正)で、治療期間は11か月です。
可撤式矯正装置を用いて綺麗になりました。
側方歯交換まで経過観察が必要です。
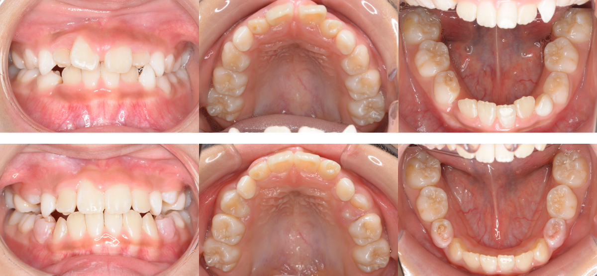
④子供(小児)の過蓋咬合の矯正治療例(9歳女児・治療期間1年6か月)

| 年齢・性別 | 9歳女児 |
| 治療期間 | 1年6か月 |
| 抜歯 | なし |
| 治療費 | 37万円(調整費、保定費まで含む総額制) |
| 備考 | インビザラインファースト |
世田谷区内からご来院の小学生女子で、と過蓋咬合(深噛み)と叢生(前歯のでこぼこ)の症状がありました。
治療法は小児矯正(子供矯正)で、治療期間は1年6か月です。
前歯の叢生の改善のため、可撤式矯正装置を用いて叢生改善、バイトアップしました。
側方歯交換まで経過観察が必要です。
治療法は小児矯正(子供矯正)で、治療期間は1年6か月です。
前歯の叢生の改善のため、可撤式矯正装置を用いて叢生改善、バイトアップしました。
側方歯交換まで経過観察が必要です。
二子玉川で「子供(小児)の過蓋咬合」の矯正治療を受けたい方は「無料相談」へ

「二子玉川駅前矯正歯科」では、経験豊富な矯正認定医の資格を持つ矯正専門の矯正医が、責任を持って子供(小児)の過蓋咬合の治療を担当します。また、歯並びに関する「無料相談」や「セカンドオピニオン」も行っておりますので、二子玉川で子供(小児)の過蓋咬合の矯正治療をお考えの方は、お気軽にお電話をいただくか、メールでご相談ください。経験豊富な矯正認定医の資格を持つ矯正専門の矯正医が、より素晴らしい笑顔へと歯並び治療でお手伝いさせていただきます。
初診無料相談のご予約 / メール相談(初診用) / 資料請求




