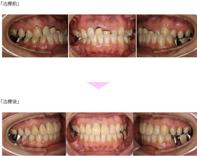
一般歯科連携(被せ物)