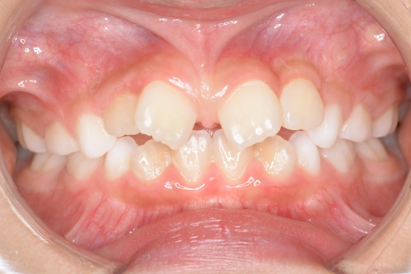
子供のすきっ歯の症状について

治療法:インビザラインファースト / 非抜歯 / 治療期間:1年4か月 / 費用:27万円(調整費、保定費まで含む総額制) / リスク・副作用:痛み・治療後の後戻り・歯根吸収・歯髄壊死・歯肉退縮
子供(小児)のすきっ歯(空隙歯列)は、成長の段階で、多くのケースで当たり前にみられる「アグリーダックリングステージ」と、問題があるがために、すきっ歯(空隙歯列)になる場合がありますので、子供(小児)のすきっ歯(空隙歯列)に気付かれた場合には、早めに受診ください。
アグリーダックリングステージとは
アグリーダックリングステージ(みにくいアヒルの子の段階)とは、前歯が永久歯に生え変わる時期に見られます。原因としては、顔の成長にともなって、顎の骨も大きくなりますが、歯の大きさは変わらないため、隙間が生じます。大人の犬歯(糸切り歯)が生えてくる頃に自然と隙間が閉鎖していくのが一般的です。
問題がある場合の子供(小児)のすきっ歯(空隙歯列)
様々な場合に応じた治療が必要です
余分な歯(過剰歯)がある場合
余分な歯(過剰歯)がある場合には過剰歯を抜く必要があります。
歯が萌えてこない場合
生えてくる予定の歯が、隣の歯に引っかかるなどの状態の場合は、その歯の方向を修正するようにして引っ張り出す必要があります。
歯の本数が足りない場合
7歳以上の子どもでは10人に1人の割合で大人の歯の本数が足りないという報告が小児歯科学会からされています。大人の歯が生まれつき足りない原因は不明です。
小帯(歯ぐきにあるスジ)が長い場合
小帯(歯ぐきにあるスジ)が長い場合は、治療を行う場合と経過観察する場合があります。
口腔習癖(舌の癖)
口腔習癖(舌の癖)などがある場合には、矯正治療専門医院で、専門的な治療を行う必要があります。
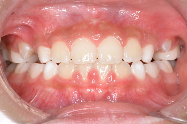
問題がある場合の子供(小児)のすきっ歯(空隙歯列)を放置してしまうと・・・
問題がある場合の子供(小児)のすきっ歯(空隙歯列)の治療を放置してしまった場合、骨の中では状況が悪化したり、永久歯の歯根を溶かしてしまったり、成人矯正の時に難症例となってしまっていたりします。きちんと子供(小児)のうちから矯正治療を行なう事で、より無理なく歯並びを整えていくことにつながります。
子供のすきっ歯(空隙歯列)に適した治療開始時期

子供(小児)のすきっ歯(空隙歯列)は、乳歯の時期にはほとんどの方が気にならなくても、上の前歯が生え変わる7歳頃~が気になりだすことが多いです。
原因を特定し、取り出さなければならない余分な歯(過剰歯)があれば取り出し、上手く生えてこない歯は引っ張り出し、歯の本数が足りない場合には、大人の歯並びになった時の咬み合わせを考慮した治療計画を立てます。
子供のすきっ歯(空隙歯列)の治療例 ~ ビフォーアフターとご説明
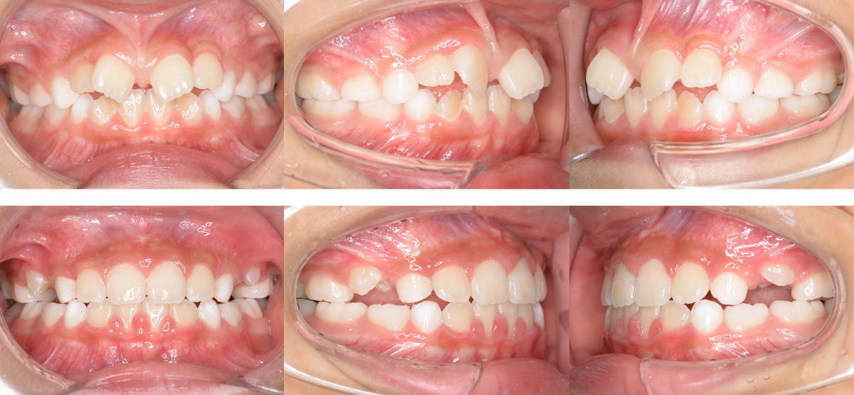
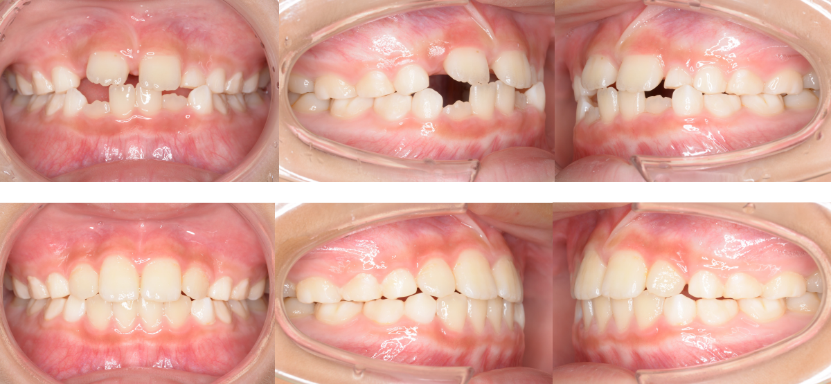
①子供(小児)のすきっ歯の矯正治療例(8歳男児・治療期間1年4か月)

| 年齢・性別 | 8歳男児 |
| 治療期間 | 1年4か月 |
| 抜歯 | なし |
| 治療費 | 27万円(調整費、保定費まで含む総額制) |
| 備考 | インビザラインファースト |
| リスク・副作用 | 痛み・治療後の後戻り・歯根吸収・歯髄壊死・歯肉退縮 |
治療法は小児矯正(子供矯正)で、治療期間は1年4か月です。
上顎の側方拡大とワイヤー治療を行い萌出スペースを確保しました。
側方歯交換まで経過観察が必要です。
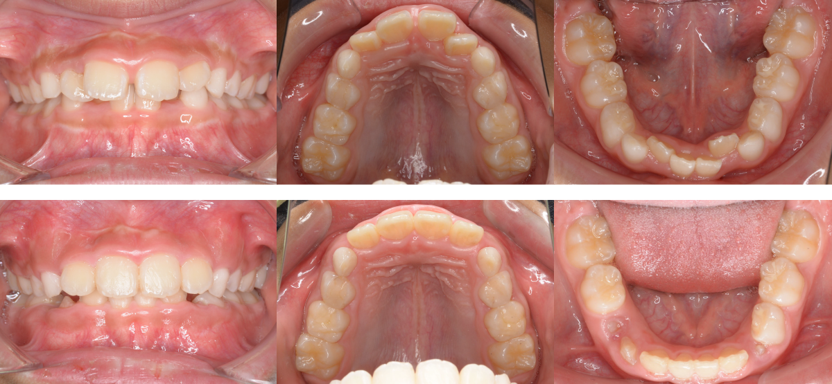
②子供(小児)のすきっ歯の矯正治療例(9歳男児・治療期間1年)

| 年齢・性別 | 9歳男児 |
| 治療期間 | 1年 |
| 抜歯 | なし |
| 治療費 | 37万円(調整費、保定費まで含む総額制) |
| 備考 | インビザラインファースト |
| リスク・副作用 | 痛み・治療後の後戻り・歯根吸収・歯髄壊死・歯肉退縮 |
前歯の隙間を気にされて来院されました。
治療法は第一期治療(小児矯正)で、治療期間は1年です。
可撤式矯正装置を使用後、前歯部の配列をしました。
側方歯交換に伴い歯列が乱れた場合は、二期治療が必要になります。
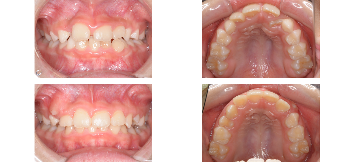
③子供(小児)のすきっ歯の矯正治療例(8歳女児・治療期間1年3か月)

| 年齢・性別 | 8歳女児 |
| 治療期間 | 1年3か月 |
| 抜歯 | なし |
| 治療費 | 27万円(調整費、保定費まで含む総額制) |
| 備考 | インビザラインファースト |
| リスク・副作用 | 痛み・治療後の後戻り・歯根吸収・歯髄壊死・歯肉退縮 |
前歯の凸凹を主訴に来院されました。
治療法は第一期治療(小児矯正)で、治療期間は1年3か月です。
上下に可撤式矯正装置を用いて側方拡大を行い、萌出スペースを確保しました。
側方歯交換に伴い歯列が乱れた場合は、二期治療が必要になります。
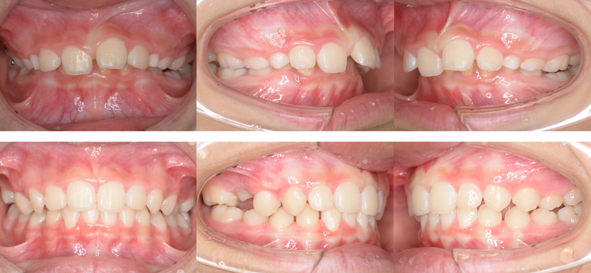
④子供(小児)のすきっ歯の矯正治療例(9歳女児・治療期間1年8か月)

| 年齢・性別 | 9歳女児 |
| 治療期間 | 1年8か月 |
| 抜歯 | なし |
| 治療費 | 37万円(調整費、保定費まで含む総額制) |
| 備考 | インビザラインファースト |
| リスク・副作用 | 痛み・治療後の後戻り・歯根吸収・歯髄壊死・歯肉退縮 |
治療法は小児矯正(子供矯正)で、治療期間は1年8か月です。
上下に可撤式矯正装置を用いて側方拡大を行い、萌出スペースを確保しました。
側方歯交換に伴い歯列が乱れた場合は、二期治療が必要になります。
⑤子供(小児)のすきっ歯の矯正治療例(小学生男子・治療期間1年8か月)

| 年齢・性別 | 小学生男子 |
| 治療期間 | 1年8か月 |
| 抜歯 | なし |
| 治療費 | 30万円(調整費、保定費まで含む総額制) |
| 備考 | |
| リスク・副作用 | 痛み・治療後の後戻り・歯根吸収・歯髄壊死・歯肉退縮 |
治療法は小児矯正(子供矯正)で、治療期間は1年8か月です。
上下顎の側方拡大と前歯部の配列を行いました。
側方歯交換まで経過観察が必要です。
| 年齢・性別 | 8歳男児 |
| 治療期間 | 1年4か月 |
| 抜歯 | なし |
| 治療費 | 27万円(調整費、保定費まで含む総額制) |
| 備考 | インビザラインファースト |
| リスク・副作用 | 痛み・治療後の後戻り・歯根吸収・歯髄壊死・歯肉退縮 |
二子玉川で「子供のすきっ歯(空隙歯列)」の矯正治療を受けたい方は「無料相談」へ

「二子玉川駅前矯正歯科」では、経験豊富な矯正認定医の資格を持つ矯正専門の矯正医が、責任を持って子供のすきっ歯(空隙歯列)の治療を担当します。また、歯並びに関する「無料相談」や「セカンドオピニオン」も行っておりますので、二子玉川で子供のすきっ歯(空隙歯列)の矯正治療をお考えの方は、お気軽にお電話をいただくか、メールでご相談ください。経験豊富な矯正認定医の資格を持つ矯正専門の矯正医が、より素晴らしい笑顔へと歯並び治療でお手伝いさせていただきます。
初診無料相談のご予約 / メール相談(初診用) / 資料請求




