インビザライン(抜歯を伴う治療例)について

治療法:インビザライン / 抜歯:上2本(小臼歯) / 治療期間:2年7か月 / 費用:50万円(調整費、保定費まで含む総額制) / リスク・副作用:痛み・治療後の後戻り・歯根吸収・歯髄壊死・歯肉退縮
マウスピース矯正で、抜歯を伴う治療を断られてしまうこともあるようですが、マウスピース矯正はデジタルだから誰が治療しても同じというわけではありません。矯正医によって「できる・できない」が分かれてくることもあります。まずは経験豊富な矯正医に相談しましょう。
マウスピース矯正で抜歯矯正が断られてしまうことがある理由
マウスピース矯正において抜歯矯正が選択肢として優先されるかされないかについての理由にはいくつかの要因があります。まず、マウスピース矯正は奥歯を後方に移動させることに適しており、歯の並ぶスペースを作ることができる場合があり、結果として抜歯せずに済むからという場合です。もう一つの要因として、マウスピース矯正に精通していない歯科医師が抜歯を伴うマウスピース矯正に対応できない場合があげられます。
抜歯矯正のメリット
抜歯矯正のメリットは症例により異なりますが、一般的な利点には以下が挙げられます。
- 咬み合わせの改善: 抜歯を行うことで歯並びや咬み合わせを効果的に調整し、患者の噛み合わせを改善できます。
- 空間の確保: 歯を抜くことで、歯並びのための必要なスペースを確保し、他の歯を適切な位置に移動させやすくします。
- 審美的な向上: 抜歯により歯並びを整え、患者の笑顔や外見の美しさを向上させることが期待できます。
- 短期間での治療: 抜歯によりスペースの確保がしやすくなり、治療期間を短縮できる場合があります。
- 機能の改善: 歯並びや咬み合わせの改善により、食事や発音などの口腔機能が向上することがあります。
ただし、抜歯にはデメリットやリスクも存在します。
抜歯矯正のリスク
抜歯矯正にはいくつかのリスクが存在します。以下はその一例ですが、患者様の個別の状態により異なるため、矯正医との相談が必要です。
- 感染のリスク: 抜歯部位が感染する可能性があります。
- 出血の可能性: 抜歯に伴う出血が過度になる場合があります。これは処置後の注意が必要です。
- 歯茎や顎の不快感: 抜歯に伴う腫れや痛みが発生することがあり、これがいくらかの時間続くことがあります。
- 抜歯矯正の経験が少ない歯科医師の場合で、思うように歯が動かなかったりすることがあります。
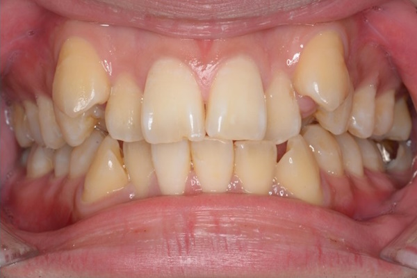
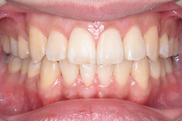
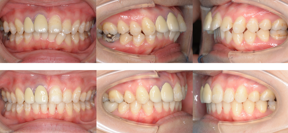
インビザラインで抜歯を伴う治療の例
治療前

治療後

たとえ抜歯を伴う治療でも、インビザラインでキレイに歯並びを整えることができます。インビザラインはデジタル技術を使っていますが、治療の成功や仕上がりは矯正医の技量が大きく影響を与えます。
| 年齢・性別 | 20代男性 |
| 治療期間 | 2年7か月 |
| 抜歯 | 上2本(小臼歯) |
| 治療費 | 50万円(調整費、保定費まで含む総額制) |
| 備考 | インビザライン |
| リスク・副作用 | 痛み・治療後の後戻り・歯根吸収・歯髄壊死・歯肉退縮 |
インビザライン(抜歯を伴う治療例) ~ ビフォーアフターとご説明
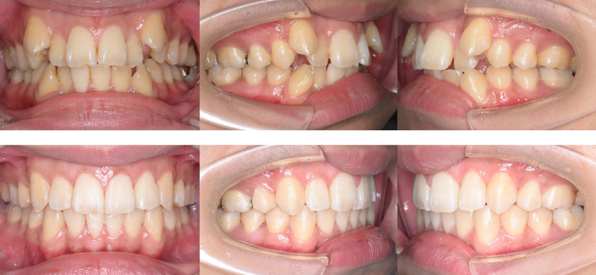
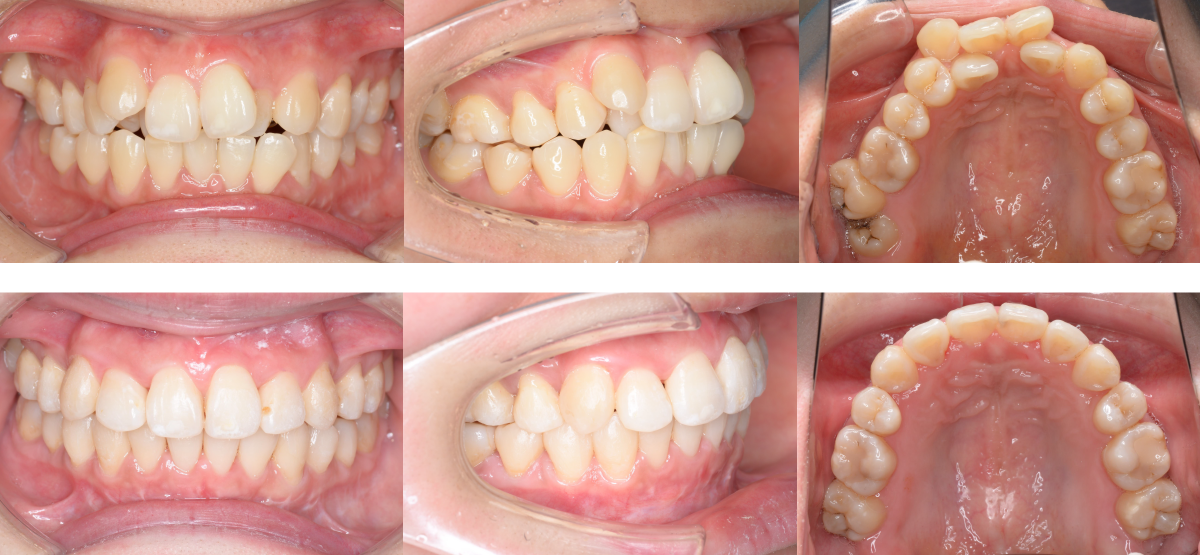
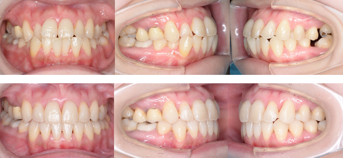
①インビザライン(抜歯を伴う治療例)の矯正治療例(20代男性・治療期間2年7か月)

| 年齢・性別 | 20代男性 |
| 治療期間 | 2年7か月 |
| 抜歯 | 上2本(小臼歯) |
| 治療費 | 50万円(調整費、保定費まで含む総額制) |
| 備考 | インビザライン |
| リスク・副作用 | 痛み・治療後の後戻り・歯根吸収・歯髄壊死・歯肉退縮 |
治療期間は2年7か月です。
2本抜歯で矯正治療を行い、キレイな歯並びになりました。
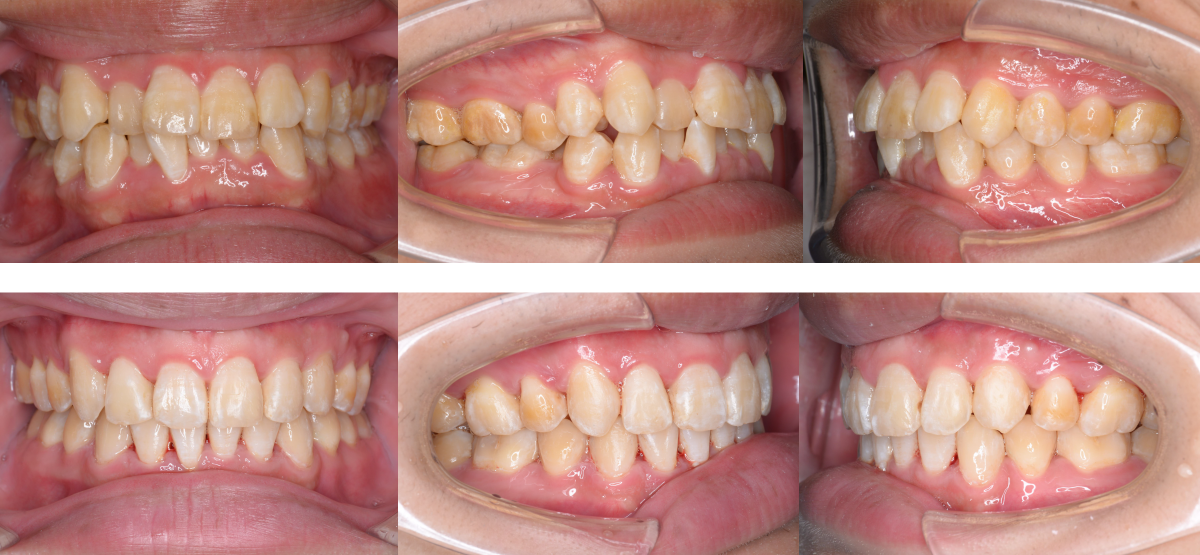
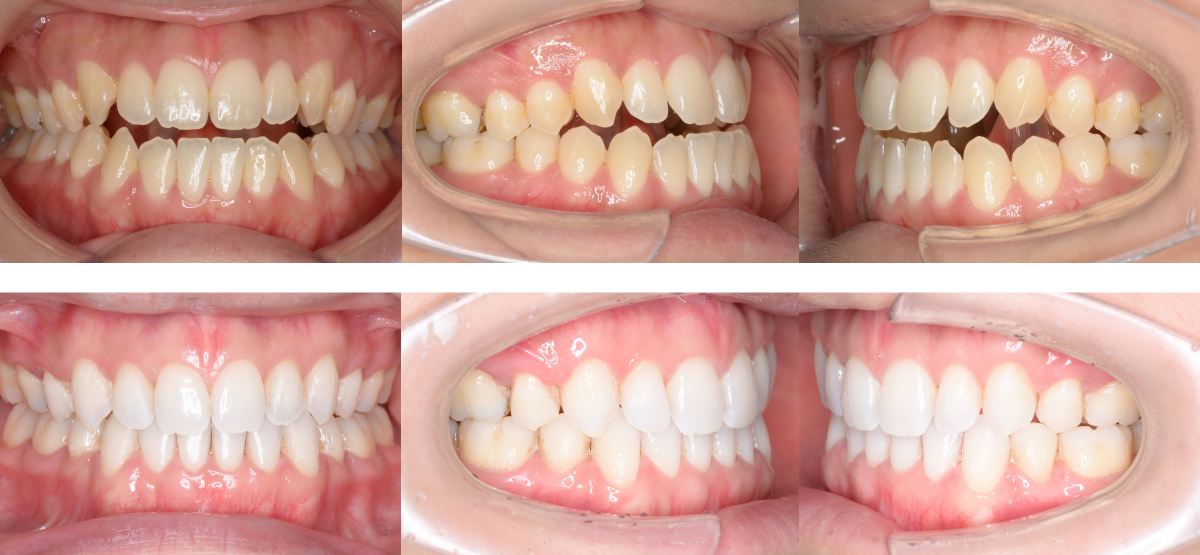
②インビザライン(抜歯を伴う治療例)の矯正治療例(30代女性・治療期間2年1か月)

| 年齢・性別 | 30代女性 |
| 治療期間 | 2年1か月 |
| 抜歯 | 上2本(小臼歯) |
| 治療費 | 50万円(調整費、保定費まで含む総額制) |
| 備考 | インビザライン |
| リスク・副作用 | 痛み・治療後の後戻り・歯根吸収・歯髄壊死・歯肉退縮 |
治療期間は2年1か月です。
2本抜歯で矯正治療を行い、キレイな歯並びになりました。
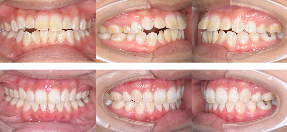
③インビザライン(抜歯を伴う治療例)の矯正治療例(30代女性・治療期間1年5か月)

| 年齢・性別 | 30代女性 |
| 治療期間 | 1年5か月 |
| 抜歯 | 下1本(小臼歯) |
| 治療費 | 50万円(調整費、保定費まで含む総額制) |
| 備考 | インビザライン |
| リスク・副作用 | 痛み・治療後の後戻り・歯根吸収・歯髄壊死・歯肉退縮 |
治療期間は1年5か月です。
1本抜歯で矯正治療を行い、キレイな歯並びになりました。
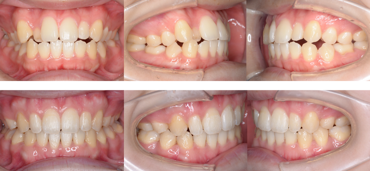
④インビザライン(抜歯を伴う治療例)の矯正治療例(20代男性・治療期間2年6か月)

| 年齢・性別 | 20代男性 |
| 治療期間 | 2年6か月 |
| 抜歯 | 上2本、下2本(小臼歯) |
| 治療費 | 50万円(調整費、保定費まで含む総額制) |
| 備考 | インビザライン |
| リスク・副作用 | 痛み・治療後の後戻り・歯根吸収・歯髄壊死・歯肉退縮 |
治療期間は2年6か月です。
4本抜歯で矯正治療を行い、キレイな歯並びになりました。
⑤インビザライン(抜歯を伴う治療例)の矯正治療例(10代女性・治療期間●年●か月)

| 年齢・性別 | 10代女性 |
| 治療期間 | ●年●か月 |
| 抜歯 | 上2本、下2本(小臼歯) |
| 治療費 | 80万円(調整費、保定費まで含む総額制) |
| 備考 | インビザライン |
| リスク・副作用 | 痛み・治療後の後戻り・歯根吸収・歯髄壊死・歯肉退縮 |
4本抜歯で矯正治療を行い、キレイな歯並びになりました。
⑥インビザライン(抜歯を伴う治療例)の矯正治療例(20代女性・治療期間2年7か月)

| 年齢・性別 | 20代女性 |
| 治療期間 | 2年7か月 |
| 抜歯 | 上2本、下2本(小臼歯) |
| 治療費 | 50万円(調整費、保定費まで含む総額制) |
| 備考 | インビザライン |
| リスク・副作用 | 痛み・治療後の後戻り・歯根吸収・歯髄壊死・歯肉退縮 |
治療期間は2年7か月です。
4本抜歯で矯正治療を行い、キレイな歯並びになりました。
⑦インビザライン(抜歯を伴う治療例)の矯正治療例(30代女性・治療期間1年10か月)

| 年齢・性別 | 30代女性 |
| 治療期間 | 1年10か月 |
| 抜歯 | 上2本(小臼歯) |
| 治療費 | 50万円(調整費、保定費まで含む総額制) |
| 備考 | インビザライン |
| リスク・副作用 | 痛み・治療後の後戻り・歯根吸収・歯髄壊死・歯肉退縮 |
治療期間は1年10か月です。
2本抜歯で矯正治療を行い、キレイな歯並びになりました。
⑧インビザライン(抜歯を伴う治療例)の矯正治療例(20代女性・治療期間1年8か月)

| 年齢・性別 | 20代女性 |
| 治療期間 | 1年8か月 |
| 抜歯 | 上2本、下2本(小臼歯) |
| 治療費 | 50万円(調整費、保定費まで含む総額制) |
| 備考 | インビザライン |
| リスク・副作用 | 痛み・治療後の後戻り・歯根吸収・歯髄壊死・歯肉退縮 |
治療期間は1年8か月です。
4本抜歯で矯正治療を行い、キレイな歯並びになりました。
| 年齢・性別 | 20代男性 |
| 治療期間 | 2年7か月 |
| 抜歯 | 上2本(小臼歯) |
| 治療費 | 50万円(調整費、保定費まで含む総額制) |
| 備考 | インビザライン |
| リスク・副作用 | 痛み・治療後の後戻り・歯根吸収・歯髄壊死・歯肉退縮 |
二子玉川で「インビザライン(抜歯を伴う治療)」の矯正治療を受けたい方は「無料相談」へ

「二子玉川駅前矯正歯科」では、経験豊富な矯正認定医の資格を持つ矯正専門の矯正医が、責任を持ってインビザライン(抜歯を伴う治療)を担当します。また、歯並びに関する「無料相談」や「セカンドオピニオン」も行っておりますので、二子玉川でインビザライン(抜歯を伴う治療)をお考えの方は、お気軽にお電話をいただくか、メールでご相談ください。経験豊富な矯正認定医の資格を持つ矯正専門の矯正医が、より素晴らしい笑顔へと歯並び治療でお手伝いさせていただきます。
初診無料相談のご予約 / メール相談(初診用) / 資料請求


