子供の埋伏歯の症状について

埋伏歯(埋まっている歯)は、歯が骨や歯茎の中に埋まっていて、自然に生えてこない状態を指します。埋伏歯の治療は、早期発見・早期治療を行うことで、患者さまの負担を最小限に抑えることができます。お子様のお口の状態が気になる場合は、二子玉川駅前矯正歯科にご相談ください。
治療シミュレーション動画
子供(小児)が埋伏歯になる原因
子供の埋伏歯(埋まっている歯)の原因には下記のようなものがあります。
- 乳歯が予定よりも長く残る
- 歯列の拡大不全
- 周囲の組織の異常な成長
- 歯の位置に関する遺伝的な要素
などです。このような原因によって埋伏歯(埋まっている歯)となります。
子供(小児)の埋伏歯に適した治療開始時期

埋伏歯の治療は、早期発見・早期治療が重要です。
早く発見し、早めに治療を行うことで、患者さまの負担を最小限に抑えることができます。
子供の埋伏歯(埋まっている歯)を放置してしまうと…
子供(小児)の埋伏歯を放置してしまうと、他の健康な永久歯の根を傷つけたり成長を妨げたりするなど、様々な問題が起こる可能性があります。さらに、埋伏歯が生えてこないままだと、その歯が本来の位置にないため、両隣の歯が倒れ込んでしまったり、かみ合わせが悪くなったりすることもあります。
子供(小児)の埋伏歯の治療例 ~ ビフォーアフターとご説明
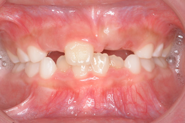
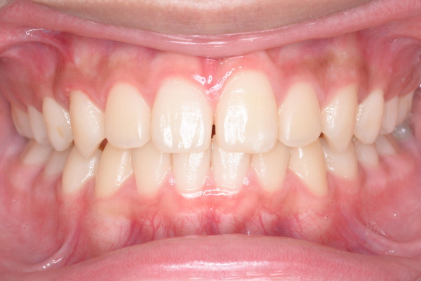
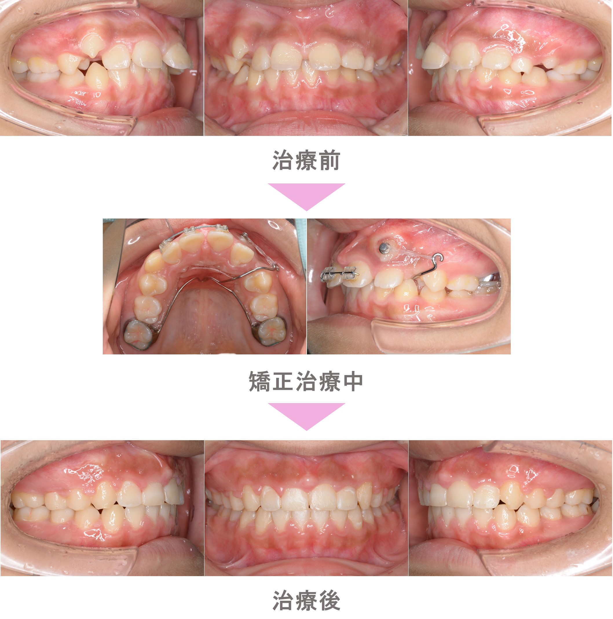
①子供(小児)の埋伏歯の矯正治療例(7歳男児・治療期間2年)

| 年齢・性別 | 7歳男児 |
| 治療期間 | 2年 |
| 抜歯 | なし |
| 治療費 | 約30万円(調整費、保定費まで含む総額制) |
| 備考 | 開窓牽引 |
世田谷区内からご来院の小学生男子で、埋伏歯(埋まっている歯)の症状がありました。
治療法は小児矯正(子供矯正)で、治療期間は2年です。
上顎の側方拡大とワイヤー治療を行い、萌出スペースを確保しました。
側方歯交換まで経過観察が必要です。
治療法は小児矯正(子供矯正)で、治療期間は2年です。
上顎の側方拡大とワイヤー治療を行い、萌出スペースを確保しました。
側方歯交換まで経過観察が必要です。
②子供(小児)の埋伏歯の矯正治療例(小学生女子・治療期間2年)

| 年齢・性別 | 小学生女子 |
| 治療期間 | 2年 |
| 抜歯 | なし |
| 治療費 | 約30万円(調整費、保定費まで含む総額制) |
| 備考 | 開窓牽引 |
世田谷区内からご来院の小学生女子で、埋伏歯(埋まっている歯)の症状がありました。
治療法は小児矯正(子供矯正)で、治療期間は2年です。
犬歯萌出スペース確保後、開窓牽引して配列しました。
側方歯交換まで経過観察が必要です。
治療法は小児矯正(子供矯正)で、治療期間は2年です。
犬歯萌出スペース確保後、開窓牽引して配列しました。
側方歯交換まで経過観察が必要です。
③子供(小児)の埋伏歯の矯正治療例(小学生女子・治療期間1年4か月)

| 年齢・性別 | 小学生女子 |
| 治療期間 | 1年4か月 |
| 抜歯 | なし |
| 治療費 | 約30万円(調整費、保定費まで含む総額制) |
| 備考 | 開窓牽引 |
世田谷区内からご来院の小学生女子で、埋伏歯(埋まっている歯)の症状がありました。
治療法は小児矯正(子供矯正)で、治療期間は1年4か月です。
犬歯萌出スペース確保後、開窓牽引して配列しました。
側方歯交換まで経過観察が必要です。
治療法は小児矯正(子供矯正)で、治療期間は1年4か月です。
犬歯萌出スペース確保後、開窓牽引して配列しました。
側方歯交換まで経過観察が必要です。
④子供(小児)の埋伏歯の矯正治療例(小学生女子・治療期間1年2か月)

| 年齢・性別 | 小学生女子 |
| 治療期間 | 1年2か月 |
| 抜歯 | なし |
| 治療費 | 約30万円(調整費、保定費まで含む総額制) |
| 備考 | 開窓牽引 |
世田谷区内からご来院の小学生女子で、埋伏歯(埋まっている歯)の症状がありました。
治療法は小児矯正(子供矯正)で、治療期間は1年2か月です。
犬歯萌出スペース確保後、開窓牽引して配列しました。
側方歯交換まで経過観察が必要です。
治療法は小児矯正(子供矯正)で、治療期間は1年2か月です。
犬歯萌出スペース確保後、開窓牽引して配列しました。
側方歯交換まで経過観察が必要です。
⑤子供(小児)の埋伏歯の矯正治療例(小学生女子・治療期間7か月)

| 年齢・性別 | 小学生女子 |
| 治療期間 | 7か月 |
| 抜歯 | なし |
| 治療費 | 約30万円(調整費、保定費まで含む総額制) |
| 備考 | 開窓牽引 |
世田谷区内からご来院の小学生女子で、埋伏歯(埋まっている歯)の症状がありました。
治療法は小児矯正(子供矯正)で、治療期間は7か月です。
犬歯萌出スペース確保後、開窓牽引して配列しました。
側方歯交換まで経過観察が必要です。
治療法は小児矯正(子供矯正)で、治療期間は7か月です。
犬歯萌出スペース確保後、開窓牽引して配列しました。
側方歯交換まで経過観察が必要です。
二子玉川で「子供(小児)の埋伏歯」の矯正治療を受けたい方は「無料相談」へ

「二子玉川駅前矯正歯科」では、経験豊富な矯正認定医の資格を持つ矯正専門の矯正医が、責任を持って子供(小児)の埋伏歯の治療を担当します。また、歯並びに関する「無料相談」や「セカンドオピニオン」も行っておりますので、二子玉川で子供(小児)の埋伏歯の矯正治療をお考えの方は、お気軽にお電話をいただくか、メールでご相談ください。経験豊富な矯正認定医の資格を持つ矯正専門の矯正医が、より素晴らしい笑顔へと歯並び治療でお手伝いさせていただきます。
初診無料相談のご予約 / メール相談(初診用) / 資料請求




