顎矯正手術(外科矯正)について

治療法:上下とも裏側矯正 / 非抜歯 / 治療期間:2年 / 費用:100万円(調整費、保定費まで含む総額制) / リスク・副作用:痛み・治療後の後戻り・歯根吸収・歯髄壊死・歯肉退縮
顎矯正手術(外科矯正)は、通常の矯正歯科治療だけでは改善が難しい、歯や骨格の問題が深刻な場合に採用される治療法です。通常の歯の矯正治療に加えて、顎の骨を手術によって移動させることで、噛み合わせを改善します。これにより、歯の並びだけでなく、上下顎の骨格の位置やバランスに起因する問題も解決することが可能です。骨格的な偏位や大きさの問題、バランスの崩れなどが原因で、通常の歯の矯正治療だけでは解決しづらい場合に、外科矯正が選択されます。
顎矯正手術(外科矯正)の治療例 ~ ビフォーアフターとご説明
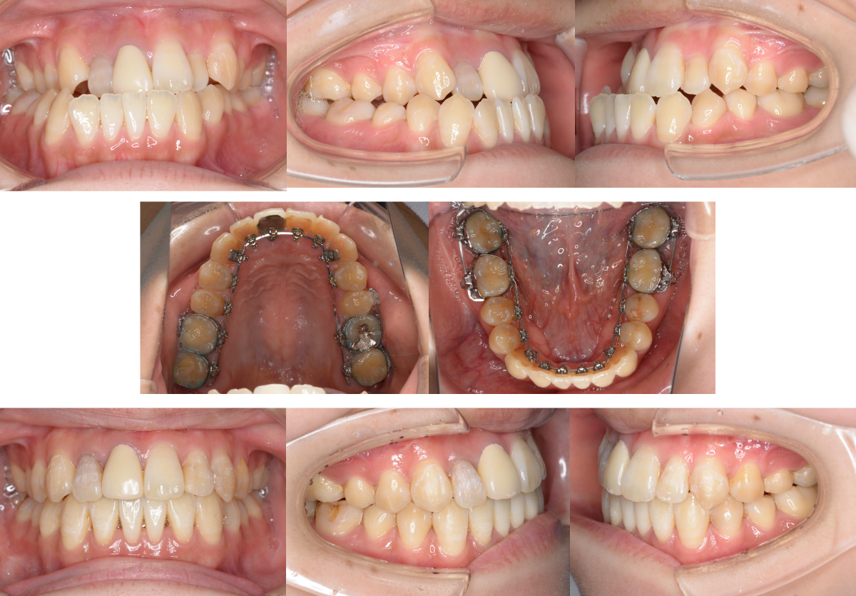
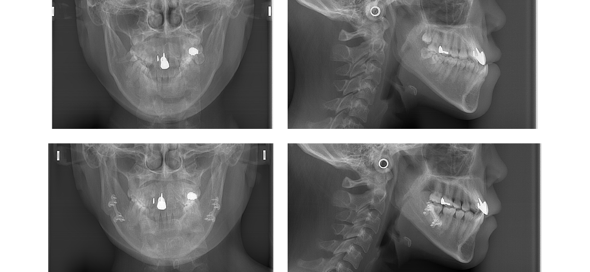
①顎矯正手術(外科矯正)の矯正治療例(20代女性・治療期間2年)





| 年齢・性別 | 20代女性 |
| 治療期間 | 2年 |
| 抜歯 | なし |
| 治療費 | 100万円(調整費、保定費まで含む総額制) |
| 備考 | 裏側矯正 |
| リスク・副作用 | 痛み・治療後の後戻り・歯根吸収・歯髄壊死・歯肉退縮 |
川崎市からご来院の20代女性で、受け口(反対咬合)と交叉咬合(すれ違い)の症状がありました。
治療法は裏側矯正(舌側矯正)で、治療期間は2年です。
非抜歯で矯正治療を行い、キレイな歯並びになりました。
治療法は裏側矯正(舌側矯正)で、治療期間は2年です。
非抜歯で矯正治療を行い、キレイな歯並びになりました。
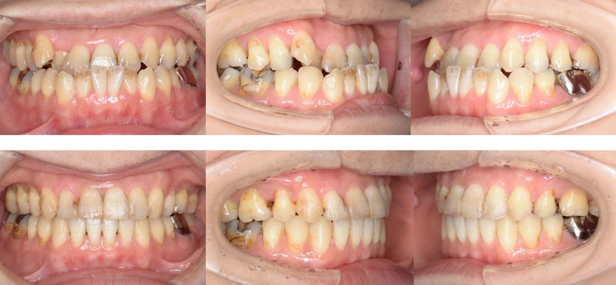
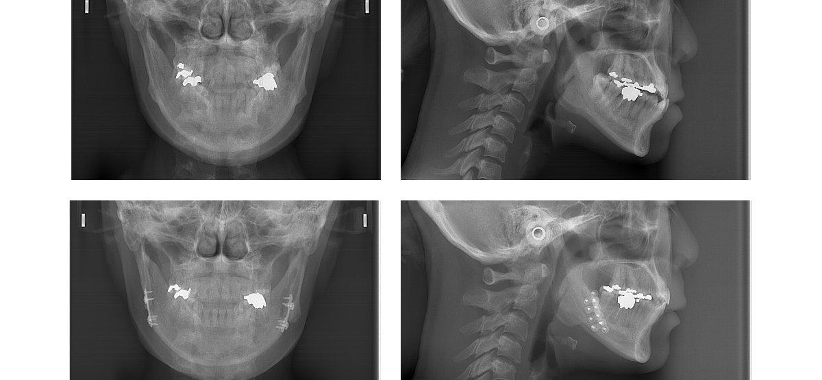
②顎矯正手術(外科矯正)の矯正治療例(30代女性・治療期間2年5か月)



| 年齢・性別 | 30代女性 |
| 治療期間 | 2年5か月 |
| 抜歯 | 上2本(小臼歯) |
| 治療費 | 100万円(調整費、保定費まで含む総額制) |
| 備考 | 裏側矯正 |
| リスク・副作用 | 痛み・治療後の後戻り・歯根吸収・歯髄壊死・歯肉退縮 |
横浜市からご来院の30代女性で、受け口(反対咬合)と交叉咬合(すれ違い)の症状がありました。
治療法は裏側矯正(舌側矯正)で、治療期間は2年5か月です。
2本抜歯で矯正治療を行い、キレイな歯並びになりました。
治療法は裏側矯正(舌側矯正)で、治療期間は2年5か月です。
2本抜歯で矯正治療を行い、キレイな歯並びになりました。
二子玉川で「外科矯正」の矯正治療を受けたい方は「無料相談」へ

「二子玉川駅前矯正歯科」では、経験豊富な矯正認定医の資格を持つ矯正専門の矯正医が、責任を持って外科矯正の治療を担当します。また、歯並びに関する「無料相談」や「セカンドオピニオン」も行っておりますので、二子玉川で外科矯正の治療をお考えの方は、お気軽にお電話をいただくか、メールでご相談ください。経験豊富な矯正認定医の資格を持つ矯正専門の矯正医が、より素晴らしい笑顔へと歯並び治療でお手伝いさせていただきます。
初診無料相談のご予約 / メール相談(初診用) / 資料請求


