子供の叢生・八重歯の症状について

治療法:インビザラインファースト / 非抜歯 / 治療期間:1年6か月 / 費用:37万円(調整費、保定費まで含む総額制) / リスク・副作用:痛み・治療後の後戻り・歯根吸収・歯髄壊死・歯肉退縮
子供(小児)の「叢生(そうせい)」の場合、下の前歯が綺麗に並んでいなかったり、前歯が重なって生えてきてしまったりしています。これは歯が並ぶために必要な顎骨の大きさが小さく、歯の並ぶスペースが十分でないことが主な原因となります。日本人の顔は小顔の傾向になってきており、お子さまの顔の骨がより小さくなってきていますので、歯を綺麗に並べるためには、子供の成長の力を利用した矯正治療が必要になります。
子供(小児)が叢生になる原因
以下のような原因が考えられます
主に以下のような原因の一つまたは複数によって歯が重なり合ってしまいます。もちろん大人の歯並びなってからでも治療は可能ですが、抜歯矯正になったりするので、治療の難易度は高くなります。まだ成長途中にある時期に、子供の成長の力を利用しながら、歯の並ぶスペースを確保していくような矯正治療を行うことで、成人矯正の難易度も格段に下がったり、時には成人矯正の必要が無くなる場合もあります。
顎の骨が小さい場合
顎の骨が小さい場合には歯の並ぶスペースが十分でないため叢生になりやすくなります。
むし歯などで乳歯を早期に失っている場合
早期に乳歯を失うことで、正しく永久歯が生えてこなくなることがあります。
咬み合わせが悪い場合
咬み合わせが悪い場合にも叢生になりやすくなります。
歯の本数に異常がある場合
歯の本数に異常がある場合も叢生になりやすくなります。
鼻炎などによる口呼吸
鼻炎などによる口呼吸がある場合も叢生になりやすくなります。
子供(小児)の叢生を放置してしまった場合
子供(小児)の叢生を放置してしまった場合、むし歯のリスクが高ったり、歯の並ぶためのスペースの確保をできないままになってしまうため、成人矯正の時に抜歯矯正になることが多くなります。
子供(小児)の叢生に適した治療開始時期

子供(小児)の叢生は、ほとんどの場合、永久歯に生えかわる6~8歳以降に治療がスタートします。治療開始時期は、できるだけ遅くならないようにしましょう。「あごの狭さ」が原因の子どもは、できるだけ小学校低学年のうちに治療を開始することをおすすめします。中学生や高校生になってからではあごの骨が成長してしまっているため、歯を抜いての抜歯矯正が一般的な方法になってしまうためです。
子供(小児)の叢生の治療例 ~ ビフォーアフターとご説明
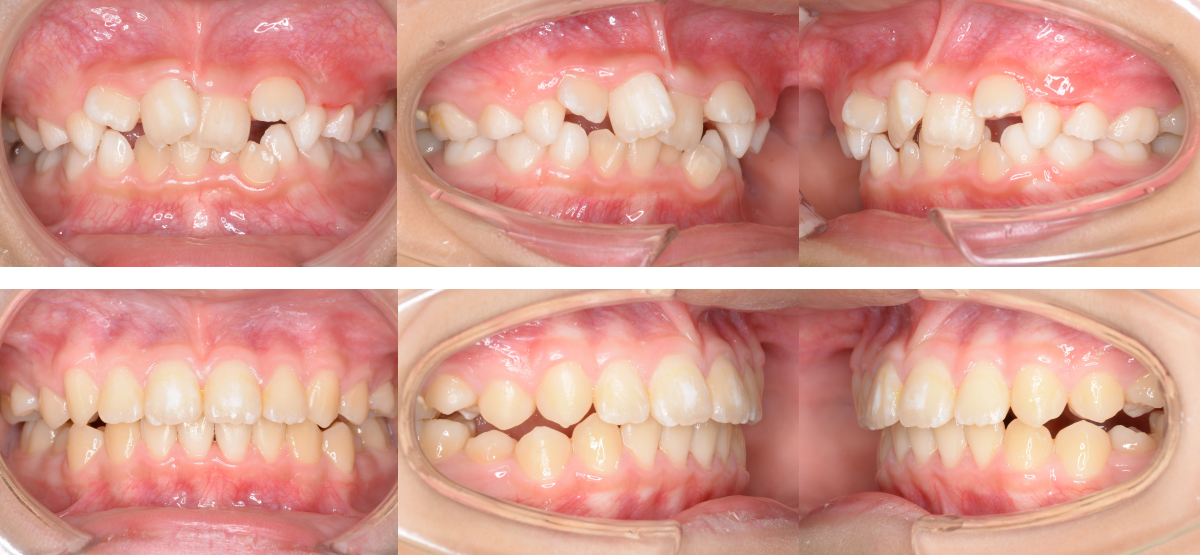
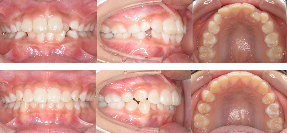
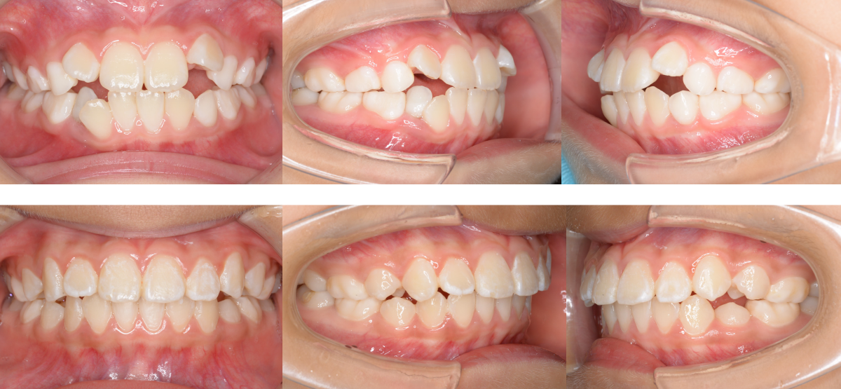
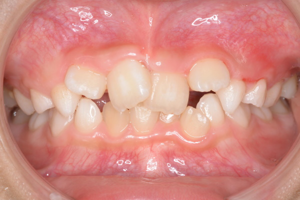
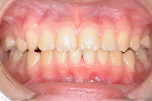
①子供(小児)の叢生の矯正治療例(8歳女児・治療期間1年6か月)

| 年齢・性別 | 8歳女児 |
| 治療期間 | 1年6か月 |
| 抜歯 | なし |
| 治療費 | 37万円(調整費、保定費まで含む総額制) |
| 備考 | インビザラインファースト |
| リスク・副作用 | 痛み・治療後の後戻り・歯根吸収・歯髄壊死・歯肉退縮 |
治療法は小児矯正(子供矯正)で、治療期間は1年6か月です。
上顎の側方拡大を行い、萌出スペースを確保しました。
側方歯交換まで経過観察が必要です。
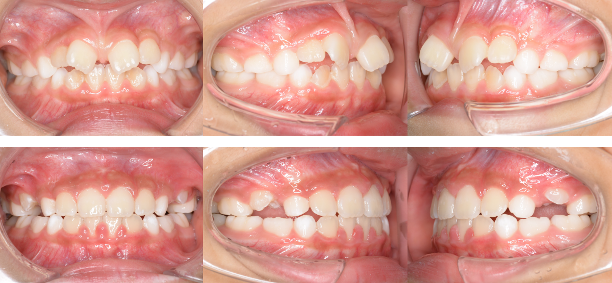
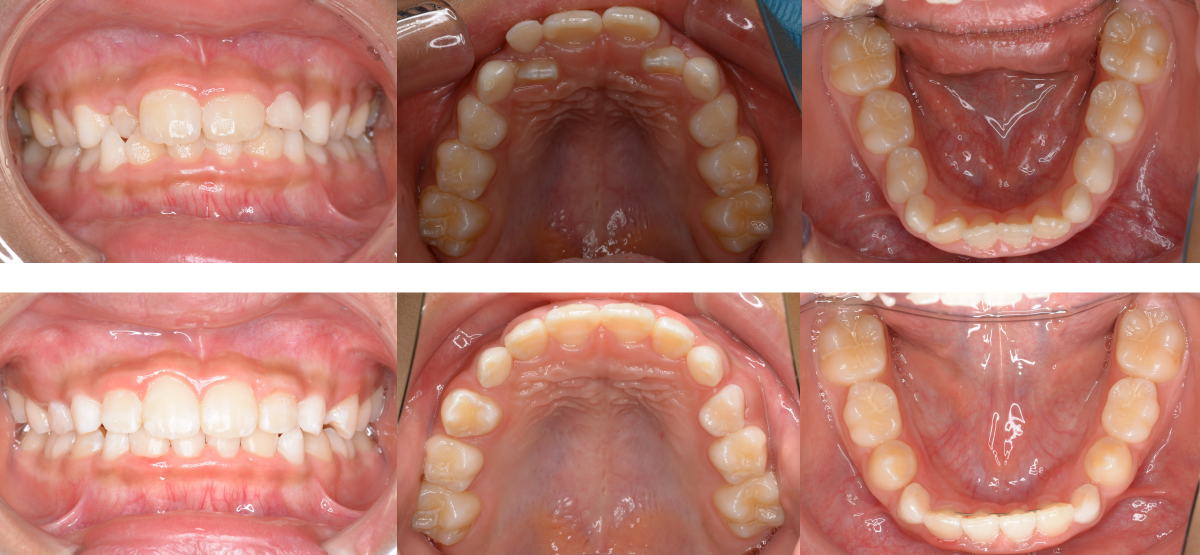
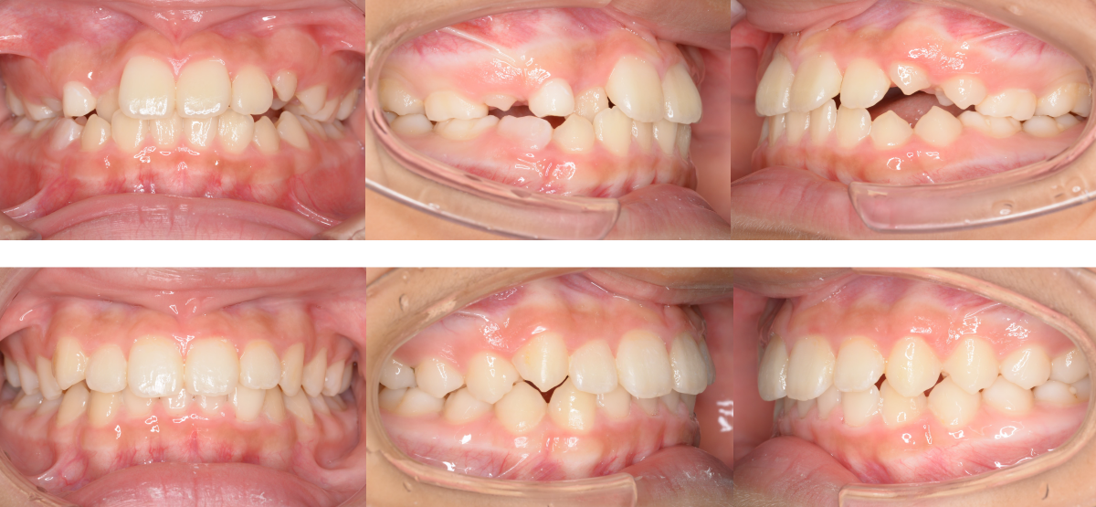
②子供(小児)の叢生の矯正治療例(8歳男児・治療期間1年4か月)

| 年齢・性別 | 8歳男児 |
| 治療期間 | 1年4か月 |
| 抜歯 | なし |
| 治療費 | 27万円(調整費、保定費まで含む総額制) |
| 備考 | インビザラインファースト |
| リスク・副作用 | 痛み・治療後の後戻り・歯根吸収・歯髄壊死・歯肉退縮 |
治療法は小児矯正(子供矯正)で、治療期間は1年4か月です。
上顎の側方拡大を行い、萌出スペースを確保しました。
側方歯交換まで経過観察が必要です。
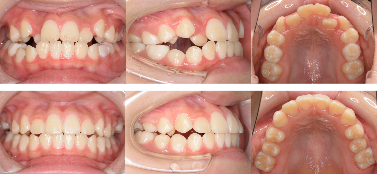
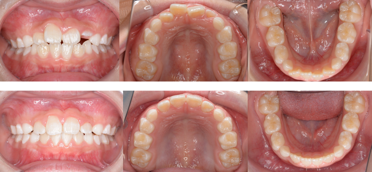
③子供(小児)の叢生の矯正治療例(10歳男児・治療期間1年5か月)

| 年齢・性別 | 10歳男児 |
| 治療期間 | 1年5か月 |
| 抜歯 | なし |
| 治療費 | 27万円(調整費、保定費まで含む総額制) |
| 備考 | インビザラインファースト |
| リスク・副作用 | 痛み・治療後の後戻り・歯根吸収・歯髄壊死・歯肉退縮 |
治療法は小児矯正(子供矯正)で、治療期間は1年5か月です。
上顎歯列の側方拡大後、前歯を配列しました。
第二大臼歯萌出後、歯列が崩れた場合は、二期治療が必要になります。
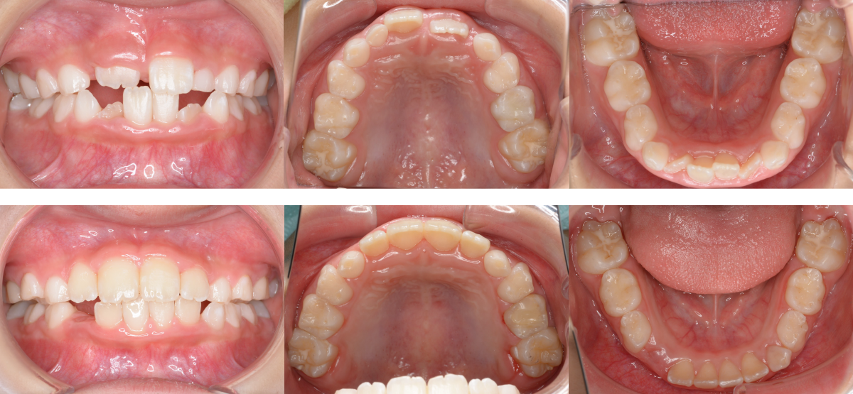
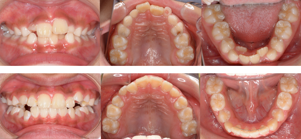
④子供(小児)の叢生の矯正治療例(7歳女児・治療期間1年3か月)

| 年齢・性別 | 7歳女児 |
| 治療期間 | 1年3か月 |
| 抜歯 | なし |
| 治療費 | 37万円(調整費、保定費まで含む総額制) |
| 備考 | インビザラインファースト |
| リスク・副作用 | 痛み・治療後の後戻り・歯根吸収・歯髄壊死・歯肉退縮 |
前歯が反対になっていることを主訴に来院されました。
治療法は第一期治療(小児矯正)で、治療期間は1年3か月です。
上下歯列の側方拡大を行い、萌出スペースを確保しました。
側方歯交換に伴い歯列が乱れた場合は、二期治療が必要になります。
⑤子供(小児)の叢生の矯正治療例(小学生女子・治療期間1年5か月)

| 年齢・性別 | 小学生女子 |
| 治療期間 | 1年5か月 |
| 抜歯 | なし |
| 治療費 | 35万円(調整費、保定費まで含む総額制) |
| 備考 | |
| リスク・副作用 | 痛み・治療後の後戻り・歯根吸収・歯髄壊死・歯肉退縮 |
治療法は小児矯正(子供矯正)で、治療期間は1年5か月です。
可撤式拡大装置を用い側方拡大後、前歯部配列を行いました。
側方歯交換に伴い歯列が乱れた場合は、二期治療が必要になります。
⑥子供(小児)の叢生の矯正治療例(小学生男子・治療期間1年9か月)

| 年齢・性別 | 小学生男子 |
| 治療期間 | 1年9か月 |
| 抜歯 | なし |
| 治療費 | 30万円(調整費、保定費まで含む総額制) |
| 備考 | |
| リスク・副作用 | 痛み・治療後の後戻り・歯根吸収・歯髄壊死・歯肉退縮 |
治療法は小児矯正(子供矯正)で、治療期間は1年9か月です。
上下可撤式矯正装置も用い側方拡大を行いました。
側方歯交換に伴い歯列が乱れた場合は、二期治療が必要になります。
⑦子供(小児)の叢生の矯正治療例(小学生女子・治療期間1年4か月)

| 年齢・性別 | 小学生女子 |
| 治療期間 | 1年4か月 |
| 抜歯 | なし |
| 治療費 | 30万円(調整費、保定費まで含む総額制) |
| 備考 | |
| リスク・副作用 | 痛み・治療後の後戻り・歯根吸収・歯髄壊死・歯肉退縮 |
治療法は小児矯正(子供矯正)で、治療期間は1年4か月です。
上下側方拡大を行い前歯萌出スペース後、前歯を並べました。
側方歯交換まで経過観察が必要です。
⑧子供(小児)の叢生の矯正治療例(小学生女子・治療期間2年2か月)

| 年齢・性別 | 小学生女子 |
| 治療期間 | 2年2か月 |
| 抜歯 | なし |
| 治療費 | 30万円(調整費、保定費まで含む総額制) |
| 備考 | |
| リスク・副作用 | 痛み・治療後の後戻り・歯根吸収・歯髄壊死・歯肉退縮 |
治療法は小児矯正(子供矯正)で、治療期間は2年2か月です。
上下の側方拡大を行い萌出スペースを確保し、前歯部の配列を行いました。
側方歯交換まで経過観察が必要です。
⑨子供(小児)の叢生の矯正治療例(小学生女子・治療期間1年10か月)

| 年齢・性別 | 小学生女子 |
| 治療期間 | 1年10か月 |
| 抜歯 | なし |
| 治療費 | 30万円(調整費、保定費まで含む総額制) |
| 備考 | |
| リスク・副作用 | 痛み・治療後の後戻り・歯根吸収・歯髄壊死・歯肉退縮 |
治療法は小児矯正(子供矯正)で、治療期間は1年10か月です。
非抜歯で矯正治療を行い、キレイな歯並びになりました。
⑩子供(小児)の叢生の矯正治療例(小学生女子・治療期間1年7か月)

| 年齢・性別 | 小学生女子 |
| 治療期間 | 1年7か月 |
| 抜歯 | なし |
| 治療費 | 35万円(調整費、保定費まで含む総額制) |
| 備考 | |
| リスク・副作用 | 痛み・治療後の後戻り・歯根吸収・歯髄壊死・歯肉退縮 |
治療法は小児矯正(子供矯正)で、治療期間は1年7か月です。
上下拡大床の使用後、前歯部の配列を行いました。
第二大臼歯萌出後、歯列が崩れた場合は、二期治療が必要になります。
| 年齢・性別 | 8歳女児 |
| 治療期間 | 1年6か月 |
| 抜歯 | なし |
| 治療費 | 37万円(調整費、保定費まで含む総額制) |
| 備考 | インビザラインファースト |
| リスク・副作用 | 痛み・治療後の後戻り・歯根吸収・歯髄壊死・歯肉退縮 |
二子玉川で「子供(小児)の叢生」の矯正治療を受けたい方は「無料相談」へ

「二子玉川駅前矯正歯科」では、経験豊富な矯正認定医の資格を持つ矯正専門の矯正医が、責任を持って子供(小児)の叢生の治療を担当します。また、歯並びに関する「無料相談」や「セカンドオピニオン」も行っておりますので、二子玉川で子供(小児)の叢生の矯正治療をお考えの方は、お気軽にお電話をいただくか、メールでご相談ください。経験豊富な矯正認定医の資格を持つ矯正専門の矯正医が、より素晴らしい笑顔へと歯並び治療でお手伝いさせていただきます。
初診無料相談のご予約 / メール相談(初診用) / 資料請求




