子供の正中のずれの症状について

治療法:インビザラインファースト / 非抜歯 / 治療期間:1年11か月 / 費用:37万円(調整費、保定費まで含む総額制) / リスク・副作用:痛み・治療後の後戻り・歯根吸収・歯髄壊死・歯肉退縮
子供の正中のずれは、上顎と下顎の歯の中心が一致しない状態です。治療は、矯正装置を使って上下の歯の中心を整え、噛み合わせを改善することが含まれます。この治療は成長段階で最も効果的であり、将来の歯並びやかみ合わせの問題を予防します。
子供の正中のずれの治療例 ~ ビフォーアフターとご説明
①子供(小児)の正中のずれの矯正治療例(小学生男子・治療期間1年11か月)

| 年齢・性別 | 小学生男子 |
| 治療期間 | 1年11か月 |
| 抜歯 | なし |
| 治療費 | 30万円(調整費、保定費まで含む総額制) |
| 備考 | インビザライン・ファースト |
| リスク・副作用 | 痛み・治療後の後戻り・歯根吸収・歯髄壊死・歯肉退縮 |
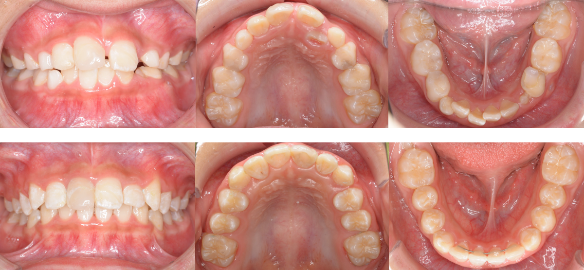
世田谷区内からご来院の小学生男子で、叢生(前歯のでこぼこ)の症状がありました。
治療法は小児矯正(子供矯正)で、治療期間は1年11か月です。
インビザライン・ファーストを用い、主訴の改善を行いました。
側方歯交換に伴い歯列が乱れた場合は、二期治療が必要になります。
治療法は小児矯正(子供矯正)で、治療期間は1年11か月です。
インビザライン・ファーストを用い、主訴の改善を行いました。
側方歯交換に伴い歯列が乱れた場合は、二期治療が必要になります。
②子供(小児)の正中のずれの矯正治療例(小学生男子・治療期間1年11か月)

| 年齢・性別 | 小学生男子 |
| 治療期間 | 1年11か月 |
| 抜歯 | なし |
| 治療費 | 約32万円(調整費、保定費まで含む総額制) |
| 備考 | インビザライン・ファースト |
| リスク・副作用 | 痛み・治療後の後戻り・歯根吸収・歯髄壊死・歯肉退縮 |
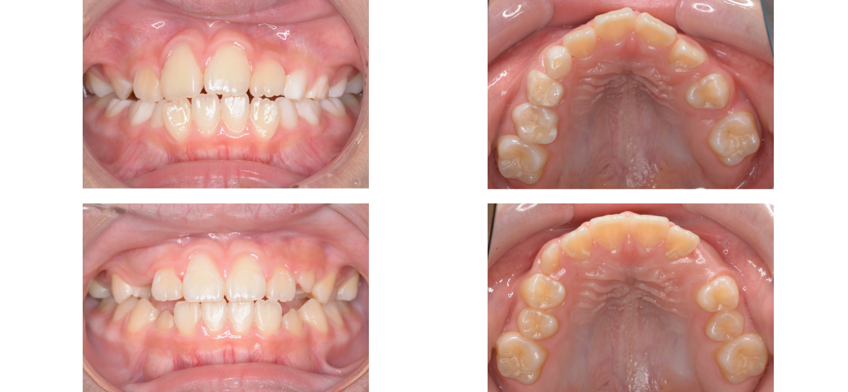
川崎市からご来院の小学生男子で、叢生(前歯のでこぼこ)の症状がありました。
治療法は小児矯正(子供矯正)で、治療期間は1年11か月です。
インビザライン・ファーストを用い、前歯部の配列を行いました。
第二大臼歯萌出後、歯列が崩れた場合は、二期治療が必要になります。
治療法は小児矯正(子供矯正)で、治療期間は1年11か月です。
インビザライン・ファーストを用い、前歯部の配列を行いました。
第二大臼歯萌出後、歯列が崩れた場合は、二期治療が必要になります。
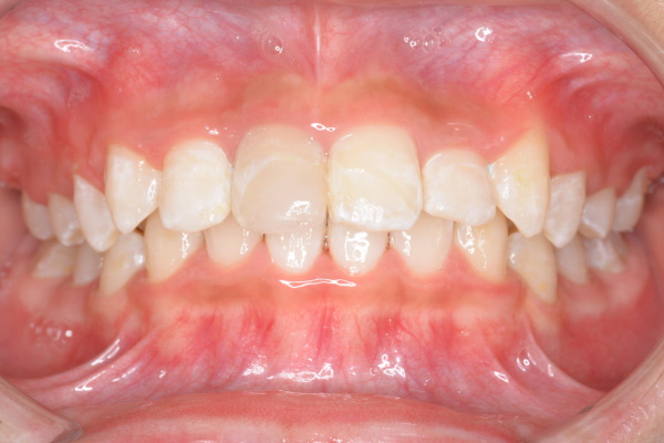
③子供(小児)の正中のずれの矯正治療例(小学生男子・治療期間1年6か月)

| 年齢・性別 | 小学生男子 |
| 治療期間 | 1年6か月 |
| 抜歯 | なし |
| 治療費 | 37万円(調整費、保定費まで含む総額制) |
| 備考 | インビザラインファースト |
| リスク・副作用 | 痛み・治療後の後戻り・歯根吸収・歯髄壊死・歯肉退縮 |
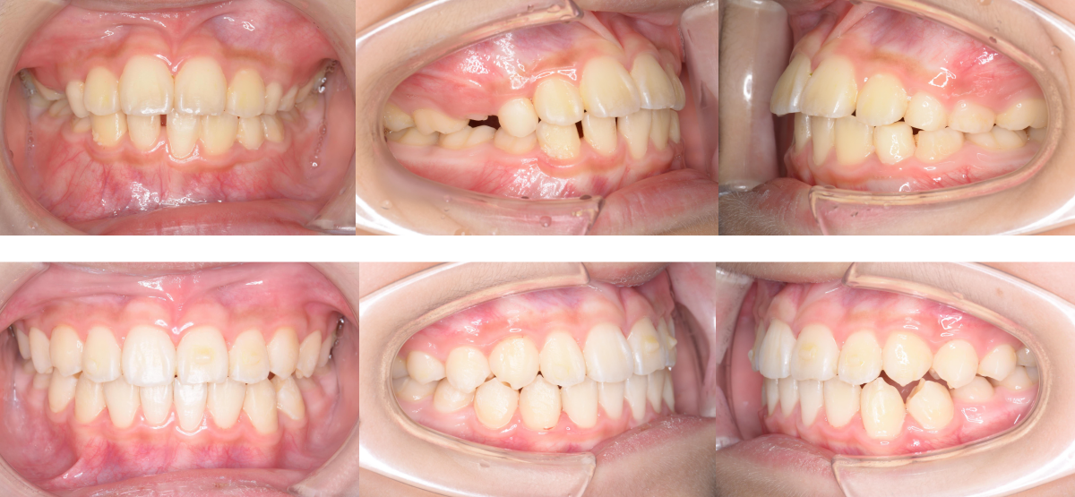
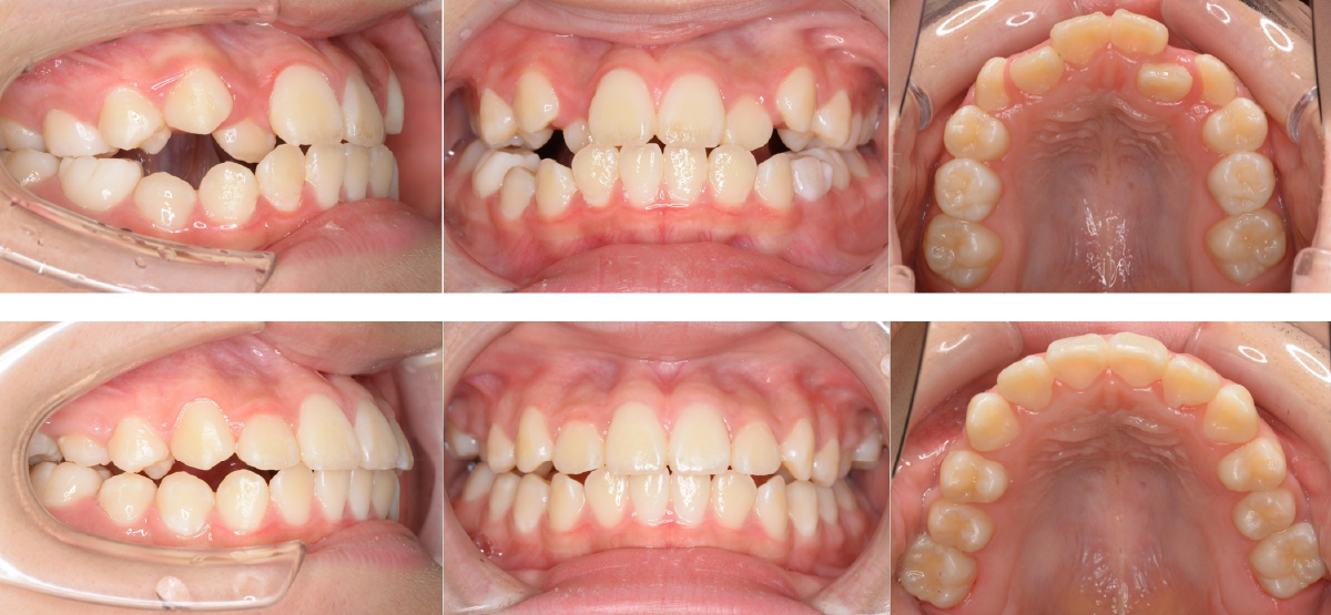
世田谷区内からご来院の小学生男子で、叢生(前歯のでこぼこ)と出っ歯(上顎前突)の症状がありました。
治療法はインビザラインファーストで、治療期間は1年6か月です。
上下正中のずれの改善、上下歯列の拡大と右下犬歯萌出スペースを確保しました。
第二大臼歯萌出後、歯列が崩れた場合は、二期治療が必要になります。
治療法はインビザラインファーストで、治療期間は1年6か月です。
上下正中のずれの改善、上下歯列の拡大と右下犬歯萌出スペースを確保しました。
第二大臼歯萌出後、歯列が崩れた場合は、二期治療が必要になります。
④子供(小児)の正中のずれの矯正治療例(小学生女子・治療期間1年4か月)

| 年齢・性別 | 小学生女子 |
| 治療期間 | 1年4か月 |
| 抜歯 | なし |
| 治療費 | 30万円(調整費、保定費まで含む総額制) |
| 備考 | 小児矯正 |
| リスク・副作用 | 痛み・治療後の後戻り・歯根吸収・歯髄壊死・歯肉退縮 |
神奈川県川崎市からご来院の小学生女子で、叢生(前歯のでこぼこ)と八重歯(犬歯突出)の症状がありました。
治療法は小児矯正で、治療期間は1年4か月です。
上顎歯列の側方拡大後、前歯を配列しました。
第二大臼歯萌出後、歯列が崩れた場合は、二期治療が必要になります。
治療法は小児矯正で、治療期間は1年4か月です。
上顎歯列の側方拡大後、前歯を配列しました。
第二大臼歯萌出後、歯列が崩れた場合は、二期治療が必要になります。
| 年齢・性別 | 小学生男子 |
| 治療期間 | 1年11か月 |
| 抜歯 | なし |
| 治療費 | 30万円(調整費、保定費まで含む総額制) |
| 備考 | |
| リスク・副作用 | 痛み・治療後の後戻り・歯根吸収・歯髄壊死・歯肉退縮 |
二子玉川で「子供の正中のずれ」の矯正治療を受けたい方は「無料相談」へ

「二子玉川駅前矯正歯科」では、経験豊富な矯正認定医の資格を持つ矯正専門の矯正医が、責任を持って子供の正中のずれの治療を担当します。また、歯並びに関する「無料相談」や「セカンドオピニオン」も行っておりますので、二子玉川で子供の正中のずれの矯正治療をお考えの方は、お気軽にお電話をいただくか、メールでご相談ください。経験豊富な矯正認定医の資格を持つ矯正専門の矯正医が、より素晴らしい笑顔へと歯並び治療でお手伝いさせていただきます。
初診無料相談のご予約 / メール相談(初診用) / 資料請求





