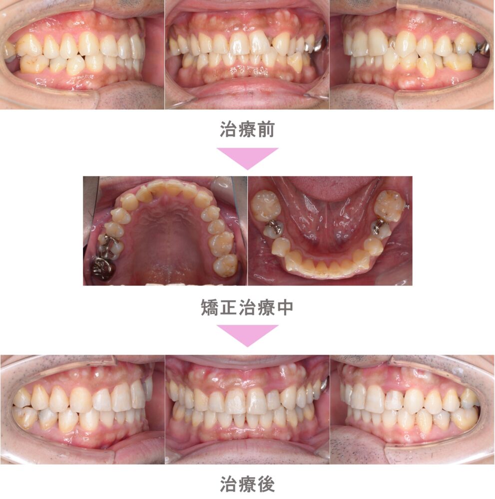
【症例】108