インビザライン矯正(マウスピース矯正)の症例紹介|上下顎前突(口ゴボ)と出っ歯(上顎前突)の症状|抜歯による矯正治療|(東京都板橋区・20代女性 )

●治療法:
インビザライン

●抜歯:
上2本、下2本(小臼歯)

●費用:
約60万円(調整費、保定費まで含む総額制)

●リスク・副作用:
痛み・治療後の後戻り・歯根吸収・歯髄壊死・歯肉退縮

ーーーーーーーーーーーーーーーーーーーーーーー

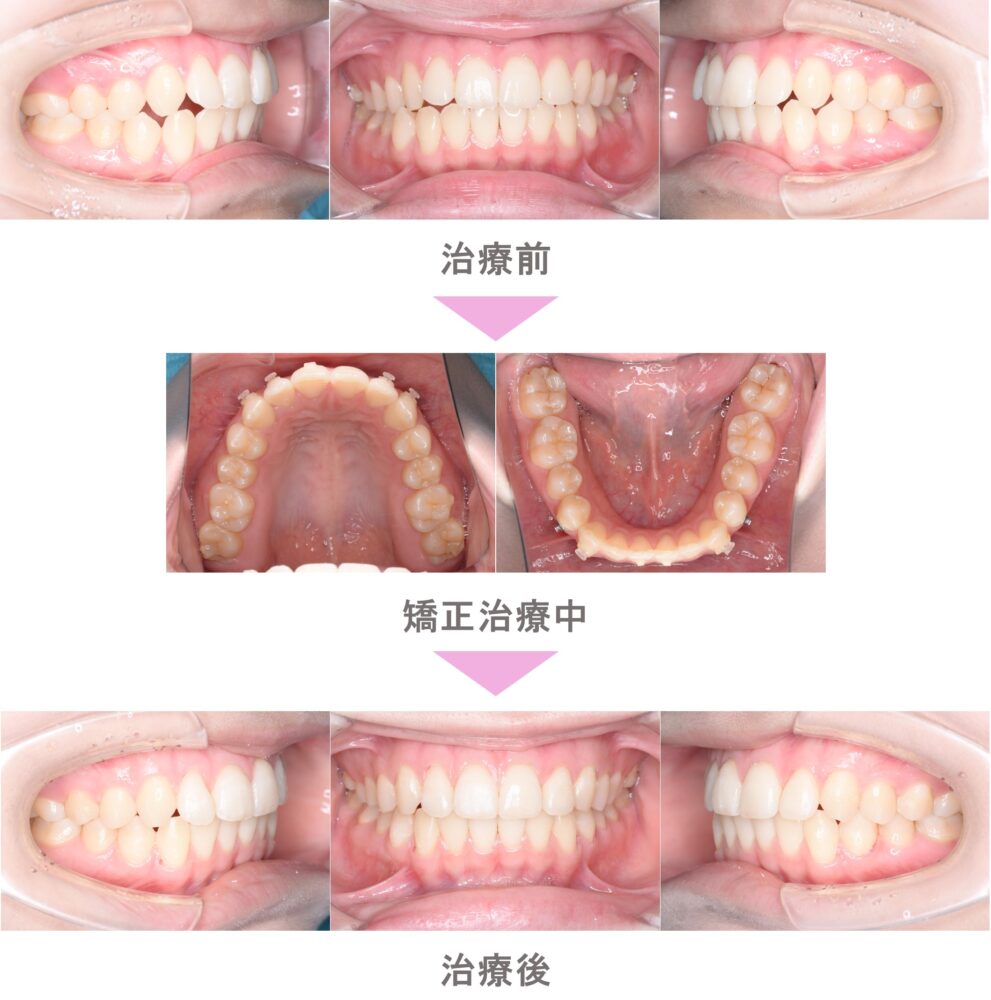
インビザライン矯正(マウスピース矯正)の症例のご紹介です。この患者様は、東京都板橋区内からご来院の20代女性で、上の歯が出ていることが気になってご来院されました。上下顎前突(口ゴボ)と出っ歯(上顎前突)の症状があり、矯正していることが目立ちにくいインビザラインにて治療を行いました。横から見た時の前歯の印象が変わり、綺麗な歯並びになりました。

当院ではできる限り非抜歯での治療を目指しておりますが、症状によっては抜歯による矯正治療を行う方が良い場合があります。

歯並びのことでお悩みなどがある場合には、是非当院までご相談ください。初診相談は無料です。

矯正治療の流れ(初診相談~メインテナンスまで)
https://futakost-ortho.com/flow