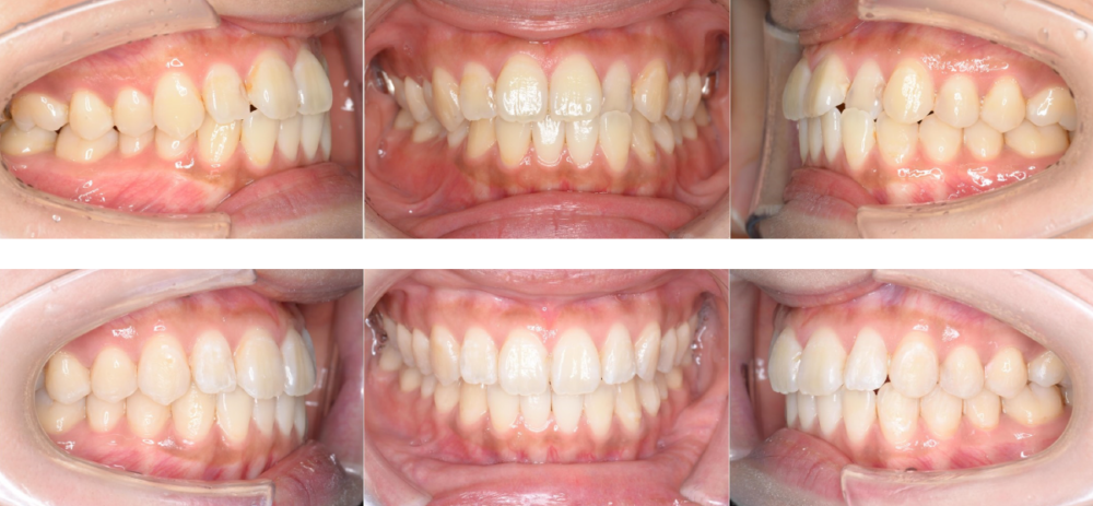
centerzure_a4