裏側矯正(舌側矯正)の症例紹介|叢生(前歯のでこぼこ)と開咬(オープンバイト)の症状|抜歯による矯正治療|治療期間は1年9か月(神奈川県川崎市)
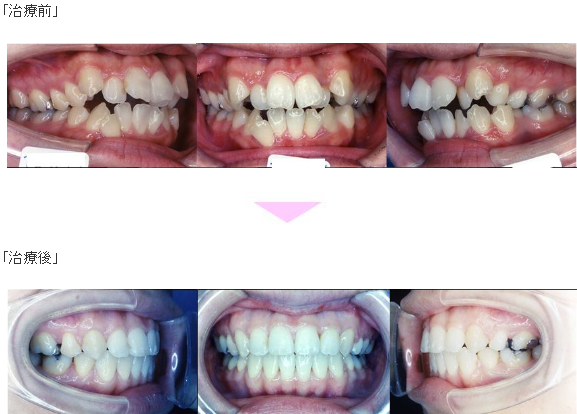
裏側矯正(舌側矯正)の症例のご紹介です。この患者様は、神奈川県川崎市からご来院で、叢生(前歯のでこぼこ)と開咬(オープンバイト)の症状がありました。治療法は裏側矯正(舌側矯正)。4本抜歯で矯正治療を行い、キレイな歯並びになりました。治療期間は1年9か月です。
当院ではできる限り非抜歯での治療を目指しておりますが、症状によっては抜歯による矯正治療を行う方が良い場合があります。
歯並びのことでお悩みなどがある場合には、是非当院までご相談ください。初診相談は無料です。
矯正治療の流れ(初診相談~メインテナンスまで)
https://futakost-ortho.com/flow
●治療法
上下とも裏側矯正
●抜歯
上2本、下2本(小臼歯)
●費用
約100万円(調整費、保定費まで含む総額制)
●付記
リスクとして、後戻りがあるのでしっかりリテーナーを入れる必要があります。矯正治療の一般的なリスクとして、歯根吸収、歯肉退縮、カリエス、歯周病、後戻り等々の可能性があります。






