裏側矯正(舌側矯正)の症例紹介|受け口(反対咬合)と交叉咬合(すれ違い)の症状|非抜歯による矯正治療|治療期間は2年(神奈川県川崎市 )
●治療法:
上下とも裏側矯正
●非抜歯
●治療期間:
2年
●費用:
約100万円(調整費、保定費まで含む総額制)
●リスク・副作用:
痛み・治療後の後戻り・歯根吸収・歯髄壊死・歯肉退縮
ーーーーーーーーーーーーーーーーーーーーーーー
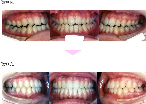
裏側矯正(舌側矯正)の症例のご紹介です。この患者様は、神奈川県川崎市からご来院で、受け口(反対咬合)と交叉咬合(すれ違い)の症状がありました。治療法は裏側矯正(舌側矯正)。非抜歯で矯正治療を行い、キレイな歯並びになりました。治療期間は2年です。
当院ではできる限り非抜歯での治療を目指しておりますが、症状によっては抜歯による矯正治療を行う方が良い場合があります。
歯並びのことでお悩みなどがある場合には、是非当院までご相談ください。初診相談は無料です。
矯正治療の流れ(初診相談~メインテナンスまで)
https://futakost-ortho.com/flow





