インビザライン矯正(マウスピース矯正)の症例紹介|出っ歯と上下顎前突の症状|抜歯を伴う矯正治療|治療期間は2年6か月(神奈川県横浜市・20代女性 )
●治療法:
インビザライン
●抜歯:
上2本、下2本(小臼歯)
●治療期間:
2年6か月
●費用:
約60万円(調整費、保定費まで含む総額制)
●リスク・副作用:
痛み・治療後の後戻り・歯根吸収・歯髄壊死・歯肉退縮
ーーーーーーーーーーーーーーーーーーーーーーー
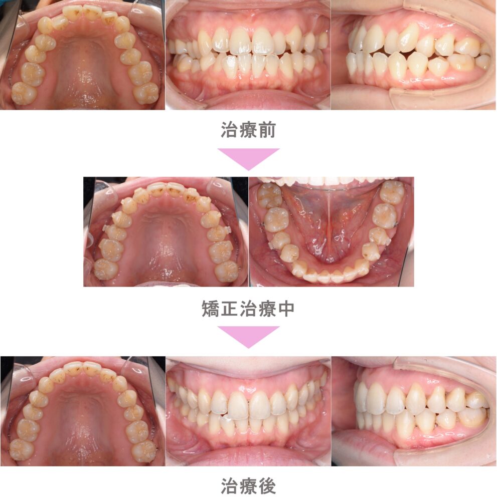
インビザライン矯正(マウスピース矯正)の症例のご紹介です。この患者様は、神奈川県横浜市内からご来院の20代女性で、出っ歯(上顎前突)と上下顎前突(口ゴボ)の症状がありました。治療法はインビザライン矯正。抜歯を伴う矯正治療を行い、キレイな歯並びになりました。治療期間は2年6か月です。
当院ではできる限り非抜歯での治療を目指しておりますが、症状によっては抜歯による矯正治療を行う方が良い場合があります。
歯並びのことでお悩みなどがある場合には、是非当院までご相談ください。初診相談は無料です。
矯正治療の流れ(初診相談~メインテナンスまで)
https://futakost-ortho.com/flow





