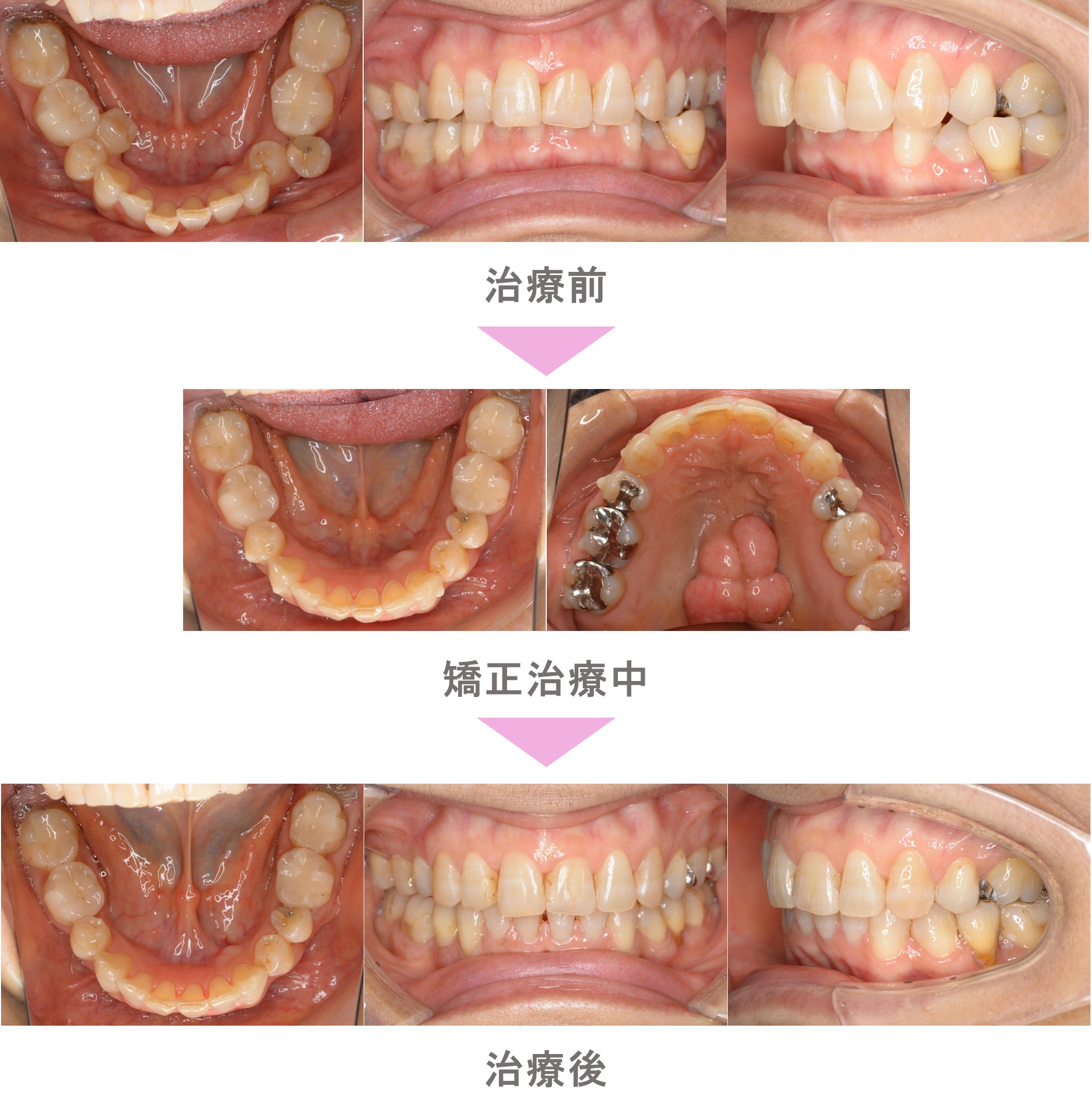
インビザライン矯正(マウスピース矯正)の症例紹介|叢生(前歯のでこぼこ)と過蓋咬合(深噛み)の症状|抜歯による矯正治療|治療期間は2年7ヵ月(神奈川県横浜市・50代女性 )
●治療法:
インビザライン
●抜歯
下1本(小臼歯)
●治療期間:
2年7か月
●費用:
約80万円(調整費、保定費まで含む総額制)
●リスク・副作用:
痛み・治療後の後戻り・歯根吸収・歯髄壊死・歯肉退縮
ーーーーーーーーーーーーーーーーーーーーーーー
インビザライン矯正(マウスピース矯正)の症例のご紹介です。この患者様は、神奈川県横浜市からご来院の50代女性で、叢生(前歯のでこぼこ)と過蓋咬合(深噛み)の症状の症状がありました。治療法はインビザライン矯正。1本抜歯で矯正治療を行い、キレイな歯並びになりました。治療期間は2年7ヵ月です。
当院ではできる限り非抜歯での治療を目指しておりますが、症状によっては抜歯による矯正治療を行う方が良い場合があります。
歯並びのことでお悩みなどがある場合には、是非当院までご相談ください。初診相談は無料です。
矯正治療の流れ(初診相談~メインテナンスまで)
https://futakost-ortho.com/flow






