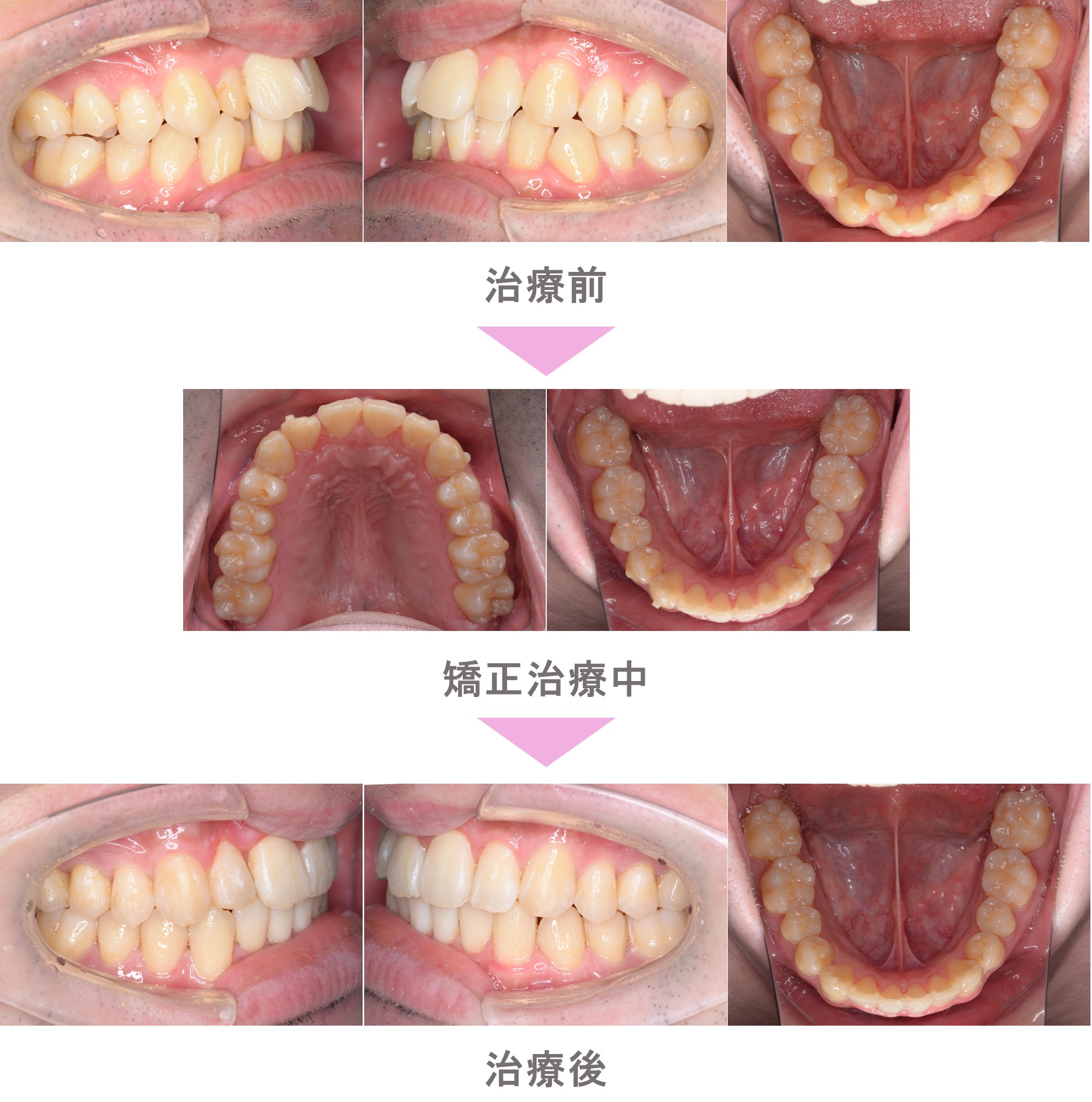
インビザライン矯正(マウスピース矯正)の症例紹介|叢生(前歯のでこぼこ)と出っ歯(上顎前突)の症状|非抜歯による矯正治療|治療期間は1年2か月(埼玉県吉川市・30代男性)
●治療法:
インビザライン
●非抜歯
●治療期間:
1年2か月
●費用:
約50万円(調整費、保定費まで含む総額制)
●リスク・副作用:
痛み・治療後の後戻り・歯根吸収・歯髄壊死・歯肉退縮
ーーーーーーーーーーーーーーーーーーーーーーー
インビザライン矯正(マウスピース矯正)の症例のご紹介です。この患者様は、埼玉県吉川市からご来院の30代男性で、叢生(前歯のでこぼこ)と出っ歯(上顎前突)の症状がありました。治療法はインビザライン矯正。非抜歯で矯正治療を行い、キレイな歯並びになりました。治療期間は1年2か月です。
当院ではできる限り非抜歯での治療を目指しておりますが、症状によっては抜歯による矯正治療を行う方が良い場合があります。
歯並びのことでお悩みなどがある場合には、是非当院までご相談ください。初診相談は無料です。
矯正治療の流れ(初診相談~メインテナンスまで)
https://futakost-ortho.com/flow





