インビザラインファースト(マウスピース小児矯正)の症例紹介|すきっ歯(空隙歯列)と過蓋咬合(深噛み)の症状|非抜歯による矯正治療|治療期間は1年(神奈川県横浜市・小学生女子)
●治療法:
インビザラインファースト(マウスピース小児矯正)
●非抜歯
●治療期間:
1年
●費用:
約37万円(調整費、保定費まで含む総額制)
●リスク・副作用:
痛み・治療後の後戻り・歯根吸収・歯髄壊死・歯肉退縮
ーーーーーーーーーーーーーーーーーーーーーーー
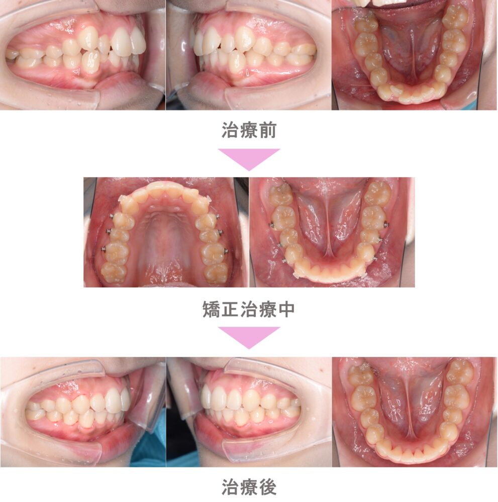
インビザラインファースト(小児矯正)の症例のご紹介です。この患者様は、神奈川県横浜市からご来院の小学生女子で、すきっ歯(空隙歯列)と過蓋咬合(深噛み)の症状がありました。治療法はインビザラインファーストで、治療期間は1年です。前歯部過蓋咬合の改善と空隙閉鎖、上下歯列の拡大を行い萌出スペースを確保しました。第二大臼歯萌出後、歯列が崩れた場合は、二期治療が必要になります。
当院ではできる限り非抜歯での治療を目指しておりますが、症状によっては抜歯による矯正治療を行う方が良い場合があります。
歯並びのことでお悩みなどがある場合には、二子玉川駅前矯正歯科までご相談ください。初診相談は無料です。
矯正治療の流れ(初診相談~メインテナンスまで)
https://futakost-ortho.com/flow





