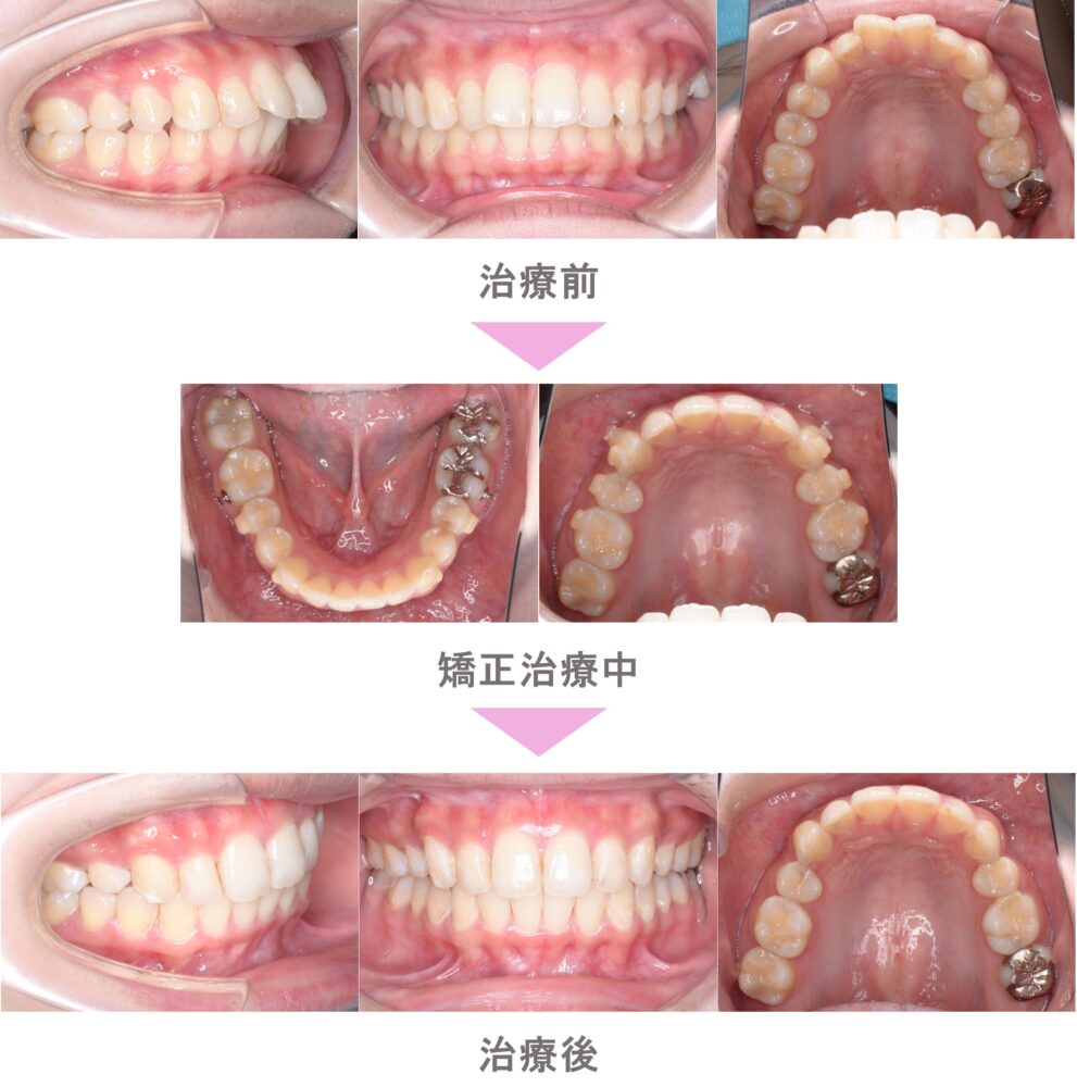
インビザライン矯正(マウスピース矯正)の症例紹介|出っ歯(上顎前突)と開咬(オープンバイト)と叢生(前歯のでこぼこ)の症状|抜歯による矯正治療|治療期間は1年11か月(神奈川県横浜市・20代女性 )
●治療法:
インビザライン
●抜歯:
上2本、下2本(小臼歯)
●治療期間:
1年11か月
●費用:
約50万円(調整費、保定費まで含む総額制)
●リスク・副作用:
痛み・治療後の後戻り・歯根吸収・歯髄壊死・歯肉退縮
ーーーーーーーーーーーーーーーーーーーーーーー
インビザライン矯正(マウスピース矯正)の症例のご紹介です。この患者様は、神奈川県横浜市内からご来院の20代女性で、上の歯が出ているのが気になってご来院されました。出っ歯(上顎前突)と開咬(オープンバイト)と叢生(前歯のでこぼこ)の症状があり、矯正していることが気付かれにくいインビザラインにて治療を行いました。また、歯の並ぶスペースを確保する為に小臼歯の抜歯を行いました。治療期間は1年11か月です。マウスピースの脱着が可能な為、治療期間中の食事の制限も少なく、普段の食事ができて良かったとのことでした。正面から見ても横から見ても綺麗な歯並びになりました。
当院ではできる限り非抜歯での治療を目指しておりますが、症状によっては抜歯による矯正治療を行う方が良い場合があります。
歯並びのことでお悩みなどがある場合には、二子玉川駅前矯正歯科までご相談ください。初診相談は無料です。
矯正治療の流れ(初診相談~メインテナンスまで)
https://futakost-ortho.com/flow





