インビザラインファースト(マウスピース小児矯正)の症例紹介|叢生(前歯のでこぼこ)の症状|非抜歯による矯正治療|治療期間は1年2か月(東京都港区・小学生女子)
●治療法:
インビザラインファースト(マウスピース小児矯正)
●非抜歯
●治療期間:
1年2か月
●費用:
約37万円(調整費、保定費まで含む総額制)
●リスク・副作用:
痛み・治療後の後戻り・歯根吸収・歯髄壊死・歯肉退縮
ーーーーーーーーーーーーーーーーーーーーーーー
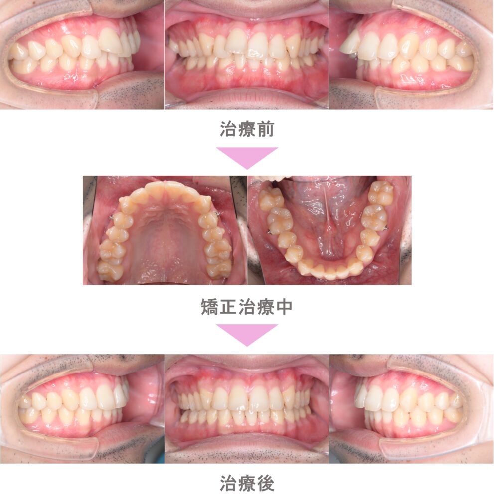
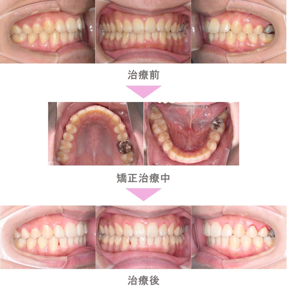
インビザラインファースト(小児矯正)の症例のご紹介です。この患者様は、東京都港区からご来院の小学生女子で、歯のでこぼことすき間があるのが気になりご来院されました。叢生(前歯のでこぼこ)の症状があり、取り外しが可能なインビザラインファーストにて非抜歯で治療を行いました。治療期間は1年2か月です。学校の給食の時間にはマウスピースが取り外せるので、ご飯を食べるときの注意点がなくやりやすかったとのことでした。歯の隙間も無くなり綺麗な歯並びになりました。
当院ではできる限り非抜歯での治療を目指しておりますが、症状によっては抜歯による矯正治療を行う方が良い場合があります。
歯並びのことでお悩みなどがある場合には、是非当院までご相談ください。初診相談は無料です。
矯正治療の流れ(初診相談~メインテナンスまで)
https://futakost-ortho.com/flow





