インビザライン矯正(マウスピース矯正)の症例紹介|出っ歯(上顎前突)と上下顎前突(口ゴボ)と叢生(前歯のでこぼこ)の症状|抜歯による矯正治療|治療期間は2年5か月(東京都世田谷区・大学生男性 )
●治療法:
インビザライン
●抜歯:
上2本、下1本(小臼歯)
●治療期間:
2年5か月
●費用:
約60万円(調整費、保定費まで含む総額制)
●リスク・副作用:
痛み・治療後の後戻り・歯根吸収・歯髄壊死・歯肉退縮
ーーーーーーーーーーーーーーーーーーーーーーー
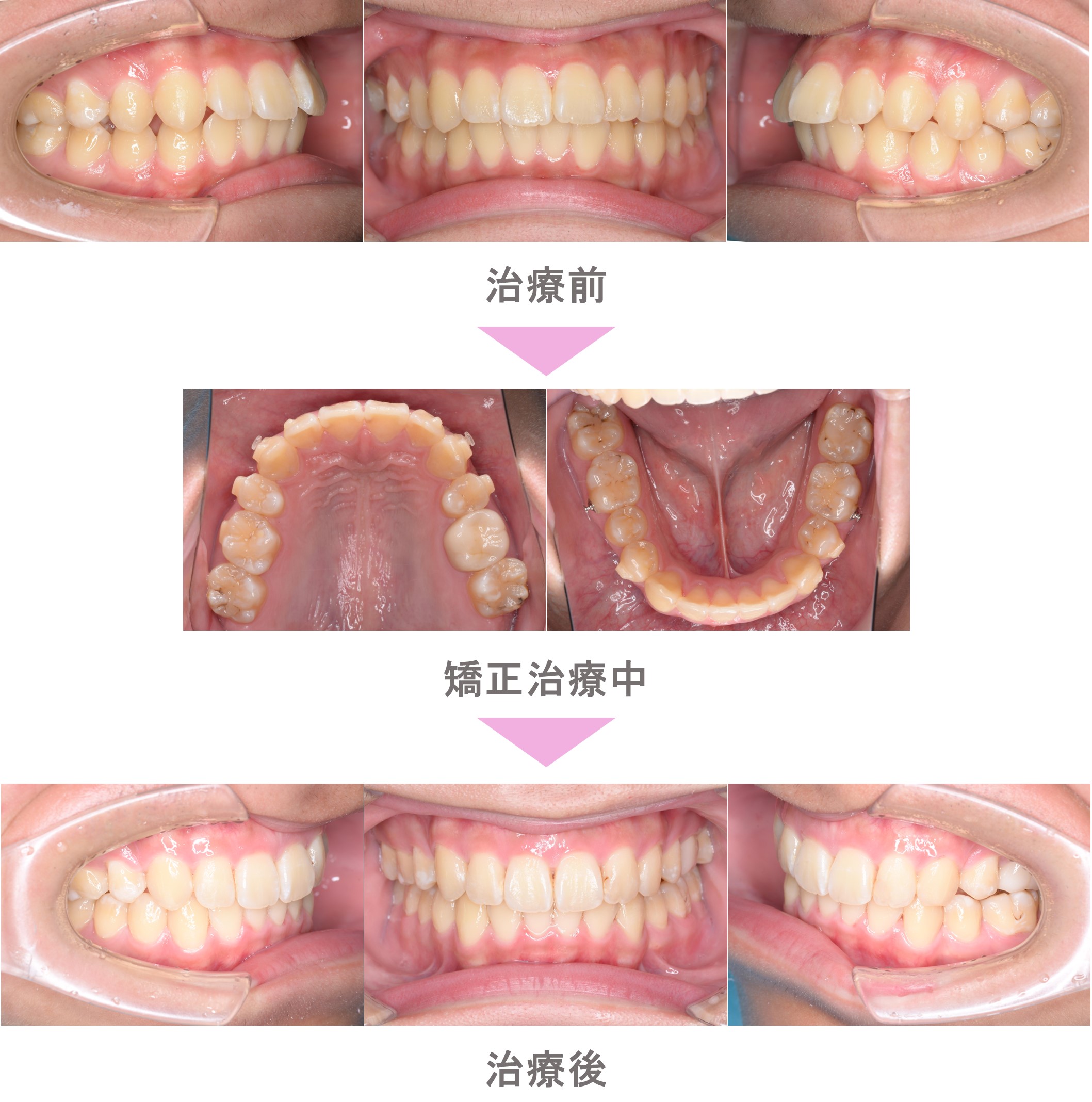
インビザライン矯正(マウスピース矯正)の症例のご紹介です。この患者様は、東京都世田谷区内からご来院の大学生男性で、口元が出ているのが気になってご来院されました。出っ歯(上顎前突)と上下顎前突(口ゴボ)と叢生(前歯のでこぼこ)の症状があり、装脱着が可能なインビザラインにて治療を行いました。また、口元のEラインをつくるために小臼歯の抜歯を行いました。治療期間は2年5か月です。横から見たときの前歯の印象が大きく変わり、綺麗な歯並びになりました。
当院ではできる限り非抜歯での治療を目指しておりますが、症状によっては抜歯による矯正治療を行う方が良い場合があります。
歯並びのことでお悩みなどがある場合には、是非当院までご相談ください。初診相談は無料です。
矯正治療の流れ(初診相談~メインテナンスまで)
https://futakost-ortho.com/flow






