インビザライン矯正(マウスピース矯正)の症例紹介|開咬(オープンバイト)と叢生(前歯のでこぼこ)の症状|非抜歯による矯正治療|治療期間は1年2か月(東京都世田谷区・20代女性)
●治療法:
インビザライン
●非抜歯
●治療期間:
1年2か月
●費用:
約60万円(調整費、保定費まで含む総額制)
●リスク・副作用:
痛み・治療後の後戻り・歯根吸収・歯髄壊死・歯肉退縮
ーーーーーーーーーーーーーーーーーーーーーーー
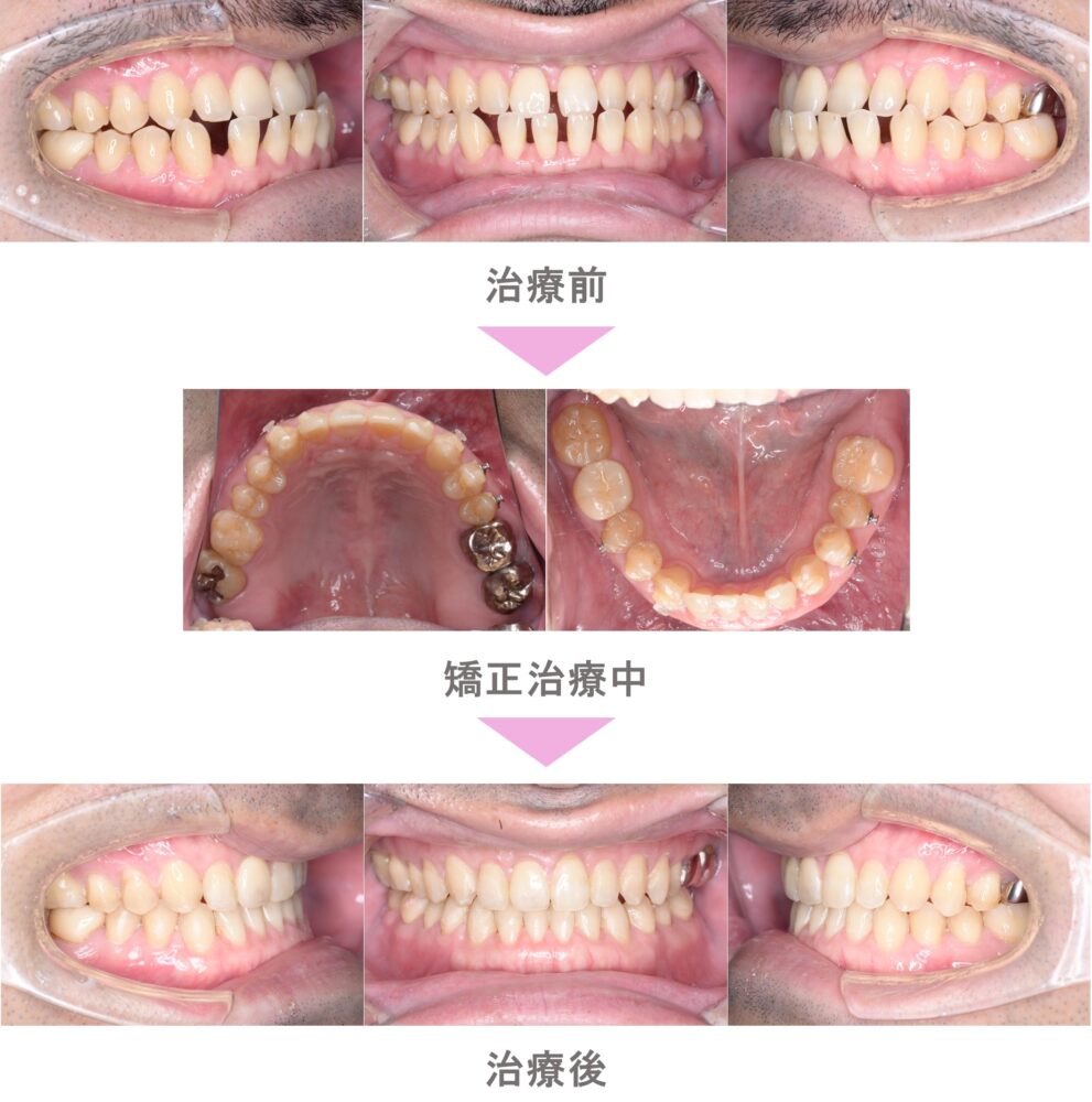
インビザライン矯正(マウスピース矯正)の症例のご紹介です。この患者様は、東京都世田谷区内からご来院の20代女性で、前歯が咬み合わないことが気になりご来院されました。開咬(オープンバイト)と叢生(前歯のでこぼこ)の症状があり、咬み合わせの改善に必要な”奥歯の圧下”が得意なインビザラインにて非抜歯で治療を行いました。治療期間は1年2か月です。噛み合わせが改善され、綺麗な歯並びになりました。
当院ではできる限り非抜歯での治療を目指しておりますが、症状によっては抜歯による矯正治療を行う方が良い場合があります。
歯並びのことでお悩みなどがある場合には、是非 二子玉川駅前矯正歯科までご相談ください。初診相談は無料です。
矯正治療の流れ(初診相談~メインテナンスまで)
https://futakost-ortho.com/flow





